1/52
Looks like no tags are added yet.
Name | Mastery | Learn | Test | Matching | Spaced | Call with Kai |
|---|
No analytics yet
Send a link to your students to track their progress
Provisional fixed restorations
Define the following:
Temporary or Interim restorations that are placed on the prepared tooth or teeth including dental implant(s) while awaiting fabrication and placement of the final restoration
- To establish Form, Function (occlusal and phonetics), and Esthetics during treatment time
- To verify therapeutic outcome and patient's acceptance (or consider it as part of pt's education) before definitive prostheses
What is the purpose of provisional restorations? (2)
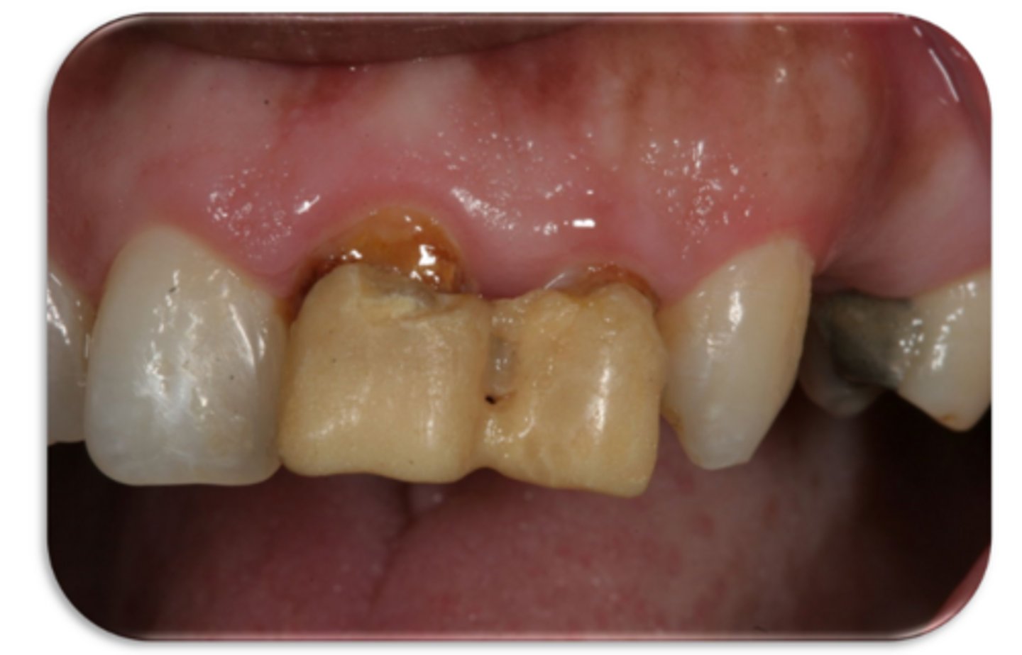
- Overall pretty good
- Slight shinny spot in center of crown due to underlying metal
What is wrong with the crown on #8?

C - should be EASY to clean
A Good Provisional Restorations should possess all the following criteria EXCEPT:
a. Protection: Pulpal Tissue + Soft/Hard Tissue
b. Positional Stability
c. Difficult To Clean
d. Non-Impinging Margin
e. Strength & Retention
f. Esthetics
g. Aid in Diagnosis
h. Oral Function
- Material that will prevent the conduction of temperatures
- Well adapted margins to prevent leakage
- Protect Tissues- to preclude the forces transferred to a surgical site over the edentulous areas
- Evaluate - Periodontal tissue response
What is important about the material of a provisional restoration in regards to pulpal tissue?
Positional stability
What principle of provisional restorations states that the prepared teeth should not be allowed to extrude or drift in any way?
Oral function
What principle of provisional restorations states that the crown should be able to function occlusally and potentially prevent TMJ and neuromuscular imbalance?
Easy to clean
What principle of provisional restorations states that the crown should permit patient to keep restoration and its surrounding tissue clean?

- Closed embrasures
- Bulky/hyper-contoured
- Poor shade selection
What is wrong with this crown?

Non-impinging margin
What principle of provisional restorations aims to avoid over or under extended margins that will cause gingival
inflammation?
- Proliferation
- Recession
- Hemorrhage
What are 3 consequences of a restoration impinging on the gingiva?
Strength and retention
What principle of provisional restorations resist the forces to which is subjected without breaking or dislodging from tooth and that a crown should remain intact during removal (reuse if necessary)?
Healing abutments
This image shows transformation of an existing fixed provisional prosthesis into an implant-supported fixed provisional prosthesis with the use of _________

Esthetics
What principle of provisional restorations prioritizes good appearance and patient acceptance?
D. All of the above
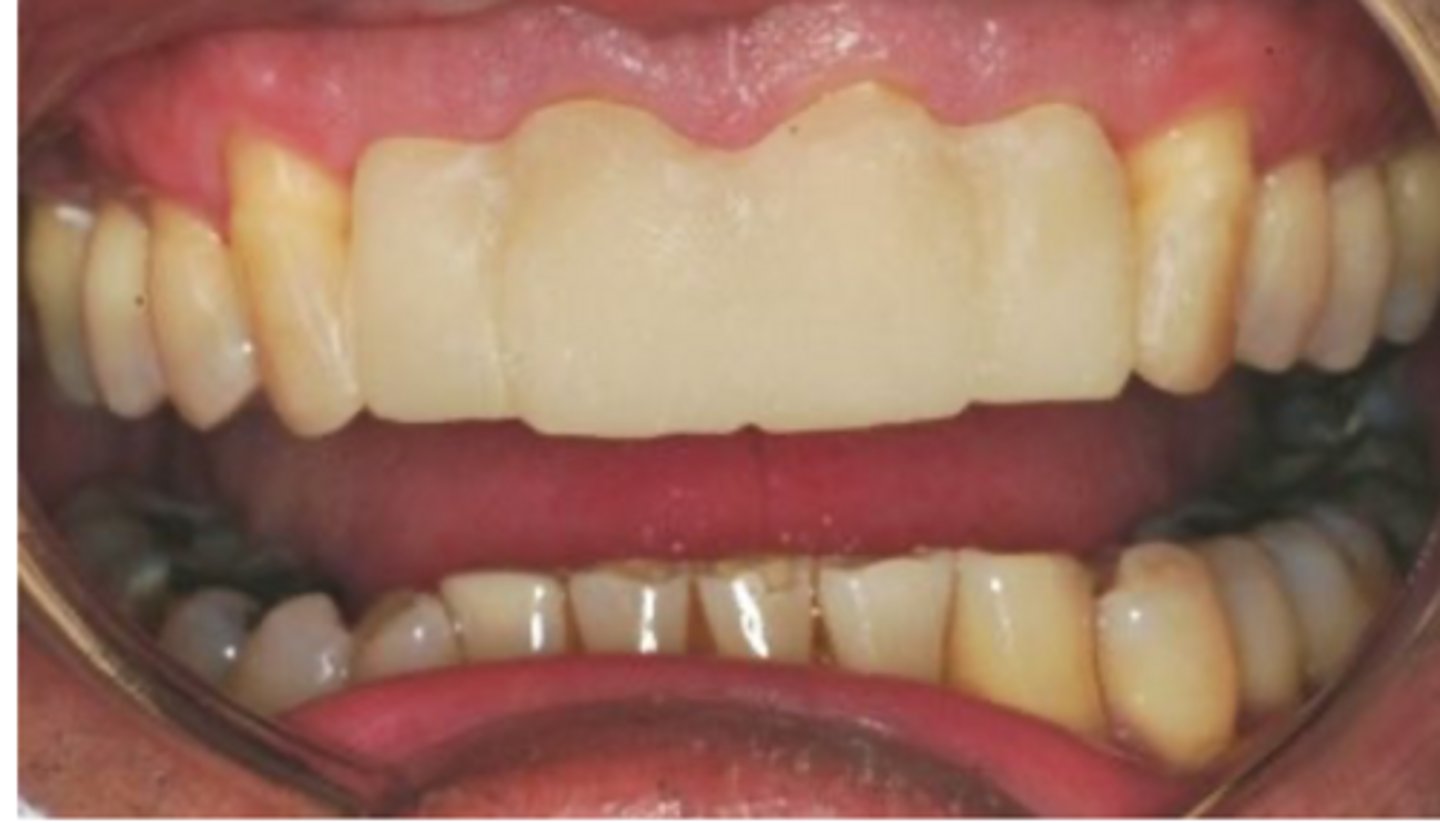
What are the problems associated with these provisional restorations?
A. There is not enough space for materials so the temporary restorations are overcontoured
B. The shade does not match the adjacent teeth
C. The anatomical form does not follow the anatomical form of the adjacent teeth
D. All of the above

C. Unacceptable (poor shade matching and form - under-reduction)
What would you grade this provisional restorations?
A. Excellent
B. Acceptable
C. Unacceptable

Aid in diagnosis
What principle of provisional restorations considers the following...
- Verify: VDO*, Esthetics, Function
- Guideline : "Blueprint" for laboratory communication
- VDO
- Esthetics
- Function
What 3 things should you verify in your aid in diagnosis?
VDO (aka occlusal vertical dimension - OVD)
Define the following:
The distance measured between two points when the occluding members are in contact
Direct fabrication w/o template (Block Temp)
ID the temp fabrication method:
- Done directly on the prepared tooth w/o template
- Require competent to proficient skilled dentist
NO
Is the direct fabrication w/o template (Block Temp) recommended in predoc?
Direct Fabrication w/o template (Block Temp)
Which temp fabrication technique is shown here?

Direct fabrication with template
ID the temp fabrication method:
- Done directly on the prepared tooth with a template
- Require mounted diagnostic casts and wax up
- Require fabrication of template: Clear Thermoplastic Template or other type of templates
- Risk of acute pulpal inflammation due exothermal reaction and chemical irritation from the free monomer (if using PMMA)
- Require additional relining to make provisional restoration fits properly
Direct fabrication with template
Which temp fabrication technique is shown here?

Indirect Fabrication with Template
ID the temp fabrication method:
- Done outside of the mouth or on a stone cast or a flexible cast.
- Advantages: avoid locking into undercuts, less trauma for the pulp
- Work can be delegated to auxiliary personnel
Prefabricated provisional crowns (acrylic and Bis-GMA)
If an emergency patient comes in, what is a potential option for a crown that is offered from the dispensary?
Prefabricated provisional crowns
Which temp fabrication technique is shown here?

CEREC machine
What temp fabrication technique allows for one-visit final restorations?
Custom made provisional restorations
ID the temp fabrication method:
- Laboratory or Manually Made (See Indirect Fabrication using Template)
- CAD/CAM
- Fit
- Contours
- Contacts
- Appearance
What four factors do we use when Determining Criteria for Success of Provisional Crown?
Fit
What criteria for Determining Criteria for Success of Provisional Crown takes into consideration margins and retention?
Contacts
What criteria for Determining Criteria for Success of Provisional Crown takes into consideration proximal and occlusal communication with adjacent teeth?
Contour
What criteria for Determining Criteria for Success of Provisional Crown takes into consideration embrasures?
Appearance
What criteria for Determining Criteria for Success of Provisional Crown takes into consideration color and surface finish?
direct
Fabrication of a temporary crown intraorally with a clear thermoplastic template from your diagnostic wax up cast is considered to be a ____________ technique
To provide protection to the underlying tooth structure, comfort and oral function
What is the main purpose of fabricating a temporary crown?
Determine the thickness of the temporary crown to match the future desired restorative material and decide whether more tooth reduction is necessary.
What does this tool allow you to do?

Appearance (3D appearance will be challenging), also contacts/contour
Which of the four factors determining criteria for success of a provisional crown are you most concerned for here?

- Fit (path of insertion)
- Appearance (color, surface finish)
Which of the four factors determining criteria for success of a provisional crown are you most concerned for here?

Contacts (proximal and occlusal)
Which of the four factors determining criteria for success of a provisional bridge are you most concerned for here?

Fit (fracture on #30 --> finish line needs to be below restoration)
Which of the four factors determining criteria for success of a provisional bridge are you most concerned for here?

- Increases chair time
- Unaesthetic outcome
- Unhappy patient
What are three issues with no wax up and no clear thermoplastic template?
Undercut from prepared tooth or from adjacent tooth
What causes a locked temp crown?
- Early identification of undercuts, lubricate and block out undercuts before fabrication
- If it is too late, cut temp crown using high speed carbide bur and be careful not to touch the underlying tooth structure
How can you address a locked temp crown from an undercut?
True
T/F: Under-contoured, hypo-occlusion, no proximal contacts, short or undercontoured margin, lack of retention can all be repaired, relined, or refabricated. For lack of retention, a tooth prep may be modified
True
T/F: Over-contoured, Hyper occlusion can be rectified by adjusting and contouring
Before
Appearance and shade matching should be discussed ________ initiating the tooth preparation
Plastic
Temporary crown is made by _______ and it can be broken or dislodged
True
T/F: All of the following are post-op instructions after temporary cementation:
- Avoid eating sticky foods (chewing gum, gummy bear etc)
- Because we use temporary cement, it can be washed out quickly
- Pt may experience some hypersensitivity to hot and cold
- Brush and floss regularly
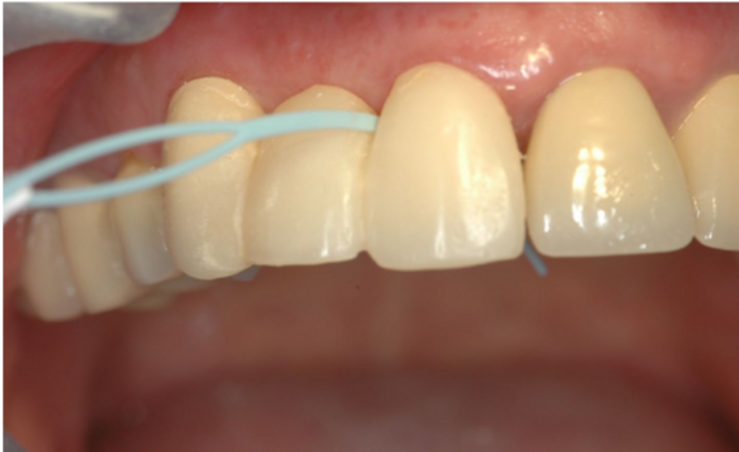
- When you floss, pull the floss out instead of pulling upward because it can dislodge the temp crown
- Clean the temp crown from inside and apply Vaseline or toothpaste inside the crown and place it back on the tooth
- Call dental office to return for a re-cementation or refabrication
- DO NOT SLEEP with it
What can you do if a temporary crown becomes loose or falls out?
- Keep the temporary crown
- Call dental office to make an appointment and bring your temporary crown for re-cementation or refabrication
What can you do if a temporary crown falls out and cannot be placed back on the tooth?
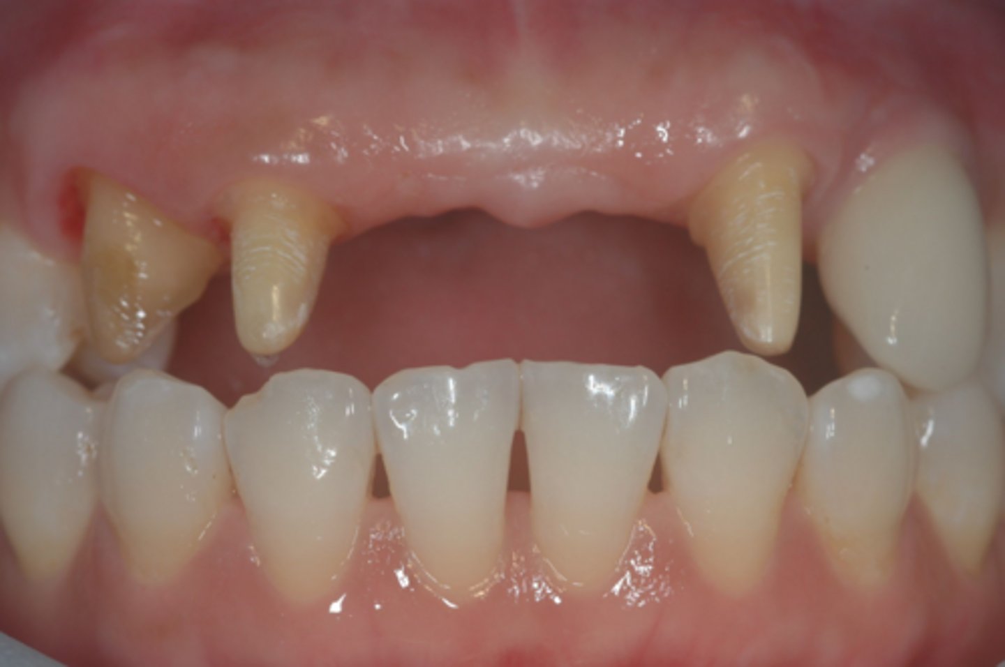
- OMFS: Remove impacted canines and bone grafting
- Orthodontic Treatment
- OMFS: Implant placement
- Prosthodontic Treatment
What is the interdisciplinary team involved for a case where a patient has impacted maxillary canines they would like to remove?
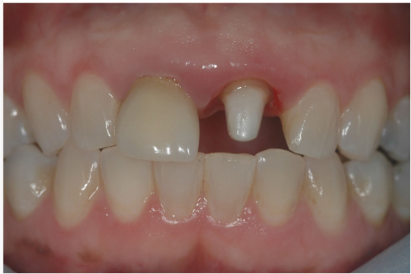
Tooth-colored abutment
The patient is unhappy about the shade of the canine, what alternative abutment could you suggest?
