Neoplasias de pulmón

0.0(0)
studied byStudied by 0 people
0.0(0)
full-widthCall with Kai
GameKnowt Play
New
learnLearn
examPractice Test
spaced repetitionSpaced Repetition
heart puzzleMatch
flashcardsFlashcards
Card Sorting

1/50

encourage image

There's no tags or description

Looks like no tags are added yet.

Study Analytics
Name
Mastery
Learn
Test
Matching
Spaced

No study sessions yet.

51 Terms

1
New cards

Alrededor del … de los cánceres de pulmón ocurren en fumadores activos o en aquellos que dejaron de fumar recientemente

80%

2
New cards

Tipo de cáncer de pulmón y de mutación en no fumadores

Adenocarcinomas, mutaciones de EGFR

3
New cards

Cuáles son los carcinomas de Células No Pequeñas (NSCLC)

  • Adenocarcinoma

  • Carcinoma de cél escamosas (epidermoide)

  • Carcinoma de cél grandes

4
New cards

Carcinomas de Células Pequeñas (SCLC)

Células neuroendocrinas del pulmón, asociado a fumar

5
New cards

Lesiones precursoras

  • Displasia escamosa y carcinoma in situ

  • Hiperplasia adenomatosa atípica

  • Adenocarcinoma in situ

  • Hiperplasia difusa idiopática de células neuroendocrinas pulmonares

6
New cards
<p>Hiperplasia adenomatosa atípica</p>

Hiperplasia adenomatosa atípica

  • Mide menos de 5mm

  • Neumocitos displásicos

  • Pared alveolar ligeramente fibrótica

  • Paredes se engrosan

7
New cards
<p>Adenocarcinoma in situ</p>

Adenocarcinoma in situ

  • Mide < 3cm

  • Cél displásicas de alto grado a lo largo de los septos alveolares

8
New cards
<p>Hiperplasia difusa idiopática de células <strong>neuroendocrinas</strong> pulmonares</p>

Hiperplasia difusa idiopática de células neuroendocrinas pulmonares

  • Crecimiento nodular < 3mm

  • Núcleos en sal y pimienta en zona basal

9
New cards

Displasia escamosa y carcinoma in situ

  • Displasia severa del espesor de la pared epitelial

  • Mitosis en todos los niveles

  • Pérdida completa de maduración

  • Sin invasión

10
New cards

¿Dónde se tienden a ubicar los adenocarcinomas?

Periféricamente

11
New cards

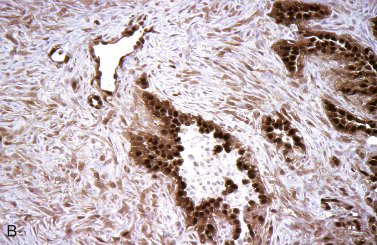
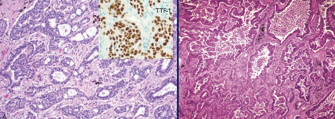
Qué factor expresan la mayoría de los adenocarcinomas

Factor de transcripción tiroidea-1 (TTF-1)

12
New cards

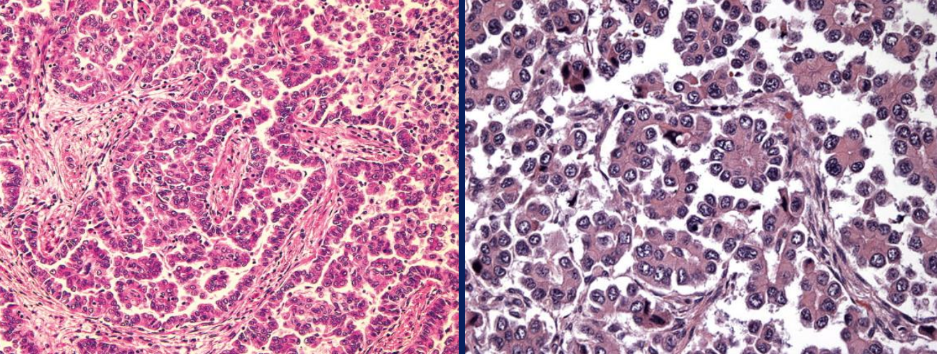
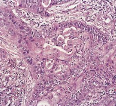
Adenocarcinoma

  • Tumor lobulado e irrecular, asociado a una cicatriz

  • Gris-blanquecino

13
New cards

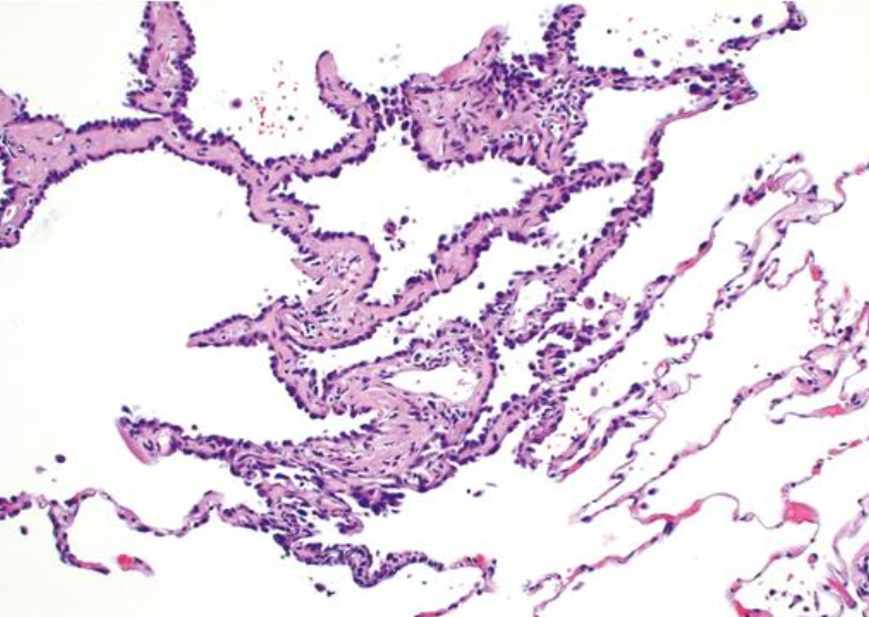
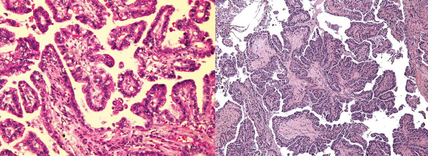
Patrón de adenocarcinoma

Lepídico, reviste la superficie de paredes alveolares, preservando arquitectura pulmonar

14
New cards
<p>Patrón de adenocarcinoma</p>

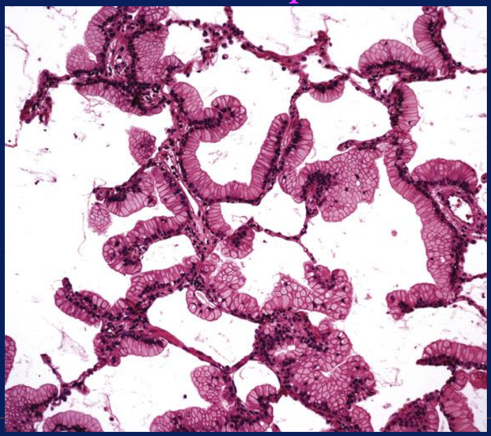
Patrón de adenocarcinoma

Patrón lepídico mucinoso

15
New cards

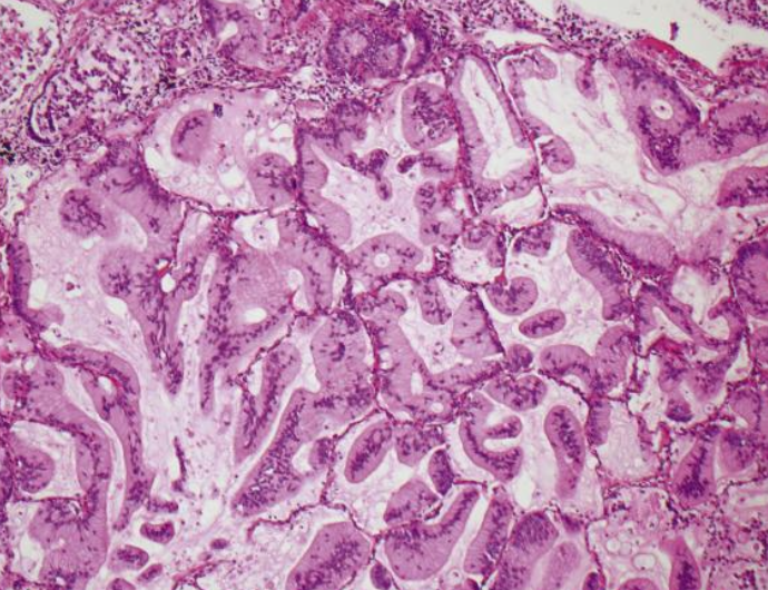
Patrón de adenocarcinoma

Tubular

16
New cards

Patrón de adenocarcinoma

Papilar

17
New cards

Patrón de adenocarcinoma

Micropapilar

18
New cards
<p>Patrón de adenocarcinoma</p>

Patrón de adenocarcinoma

Sólido mucicarmin

19
New cards

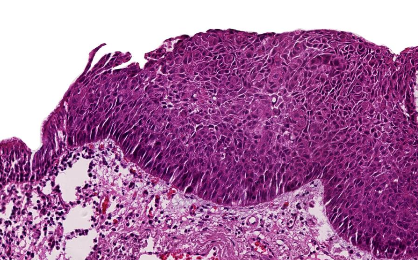
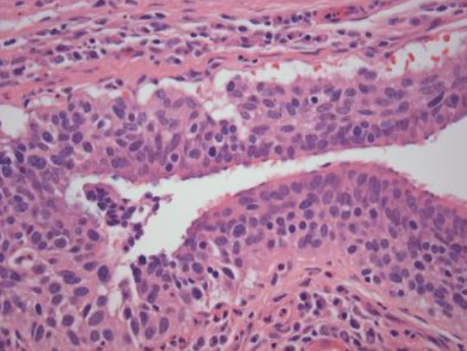
Carcinoma epidermoide muestra presencia de

queratinización o puentes intercelulares

20
New cards

¿Dónde predomina el carcinoma de células escamosas?

Lóbulos superiores, en la periferia porque está asociado a fumar

21
New cards

Característica en cuanto al crecimiento de carcinoma de células escamosas

Crecimiento central exofítico endobronquial

22
New cards

Característica morfológica macroscópica de los carcinomas de células escamosas

Tumores grandes con hemorragia y necrosis

23
New cards

Carcinoma de células escamosas

24
New cards
<p>Citología pulmonar</p>

Citología pulmonar

Carcinoma escamoso queratinizado de pulmón

25
New cards
<p>Carcinoma de células escamosas, nivel de diferenciación</p>

Carcinoma de células escamosas, nivel de diferenciación

Pobremente diferenciado

26
New cards
<p>Carcinoma de células escamosas, nivel de diferenciación</p>

Carcinoma de células escamosas, nivel de diferenciación

Moderadamente diferenciado

27
New cards
<p>Carcinoma de células escamosas, nivel de diferenciación</p>

Carcinoma de células escamosas, nivel de diferenciación

Bien diferenciado

28
New cards

Carcinoma que solo el 1% se presenta en no fumadores

Carcinoma de células pequeñas del pulmón, (neuroendócrino)

29
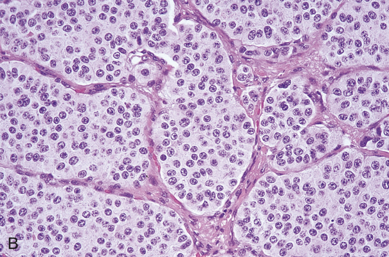
New cards
<p>Carcinoma de células pequeñas, dónde pueden surgir los tumores</p>

Carcinoma de células pequeñas, dónde pueden surgir los tumores

En bronquios principales o en periferia del pulmón

30
New cards
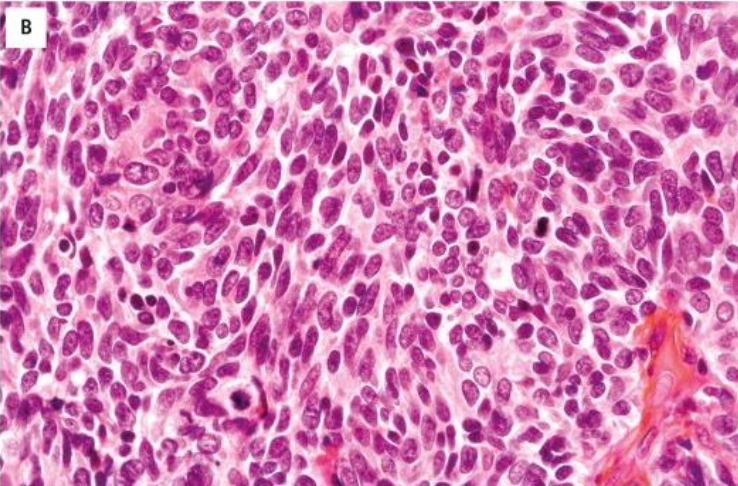
<p>Carcinoma de células pequeñas, características celulares</p>

Carcinoma de células pequeñas, características celulares

  • Células pequeñas redondas, ovaladas o fusiformes

  • Moldeamiento nuclear

  • Bordes celulares mla definidos

31
New cards
<p>Carcinoma de células pequeñas, características celulares</p>

Carcinoma de células pequeñas, características celulares

  • Patrón sal y pimienta

  • Nucleolo ausente

  • Conteo mitotico alto

32
New cards
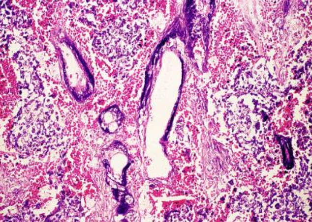
<p>EFECTO DE AZZOPARDI</p>

EFECTO DE AZZOPARDI

Tinción basofílica de las paredes vasculares debido a acumulación de ADN de núcleos necróticos

33
New cards
<p>Carcinoma de células grandes, microscopia</p>

Carcinoma de células grandes, microscopia

  • Núcleos grandes

  • Nucleolos prominentes

  • Moderada cantidad de citoplasma

34
New cards

Carcinoma de células grandes, macroscopia

Tumores grandes con necrosis y hemorragia

35
New cards
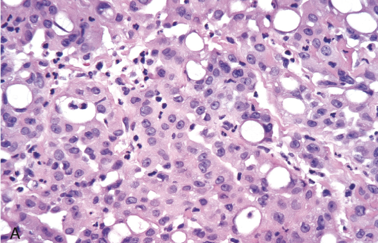
<p>Carcinoma de células gigantes</p>

Carcinoma de células gigantes

36
New cards

Sitios de metastasis carcinoma pulmonar

  1. Glándulas suprarrenales

  2. Hígado

  3. Cerebro

  4. Huesos

37
New cards
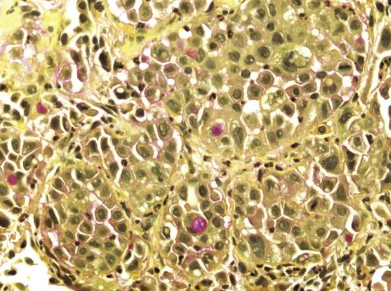
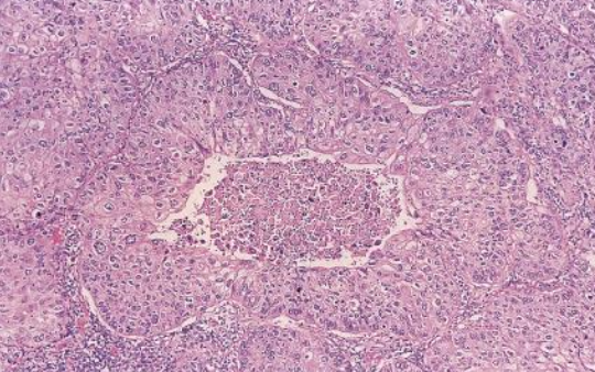
<p>Características de tumores carcinoides <strong>centrales</strong></p><p></p><p></p>

Características de tumores carcinoides centrales

  • Digitiformes o polipoides en luz bronquial revestidos por mucosa normal

  • < 4mm

  • Bronquios principales

  • Lesión en botón de cuello de camisa, cuando penetran tejido peribronquial

38
New cards

Características de tumores carcinoides periféricos

Sólidos y nodulares

39
New cards
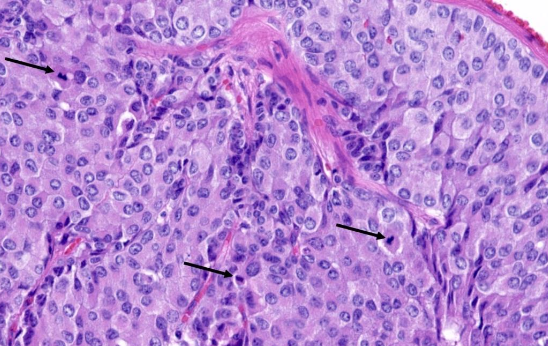
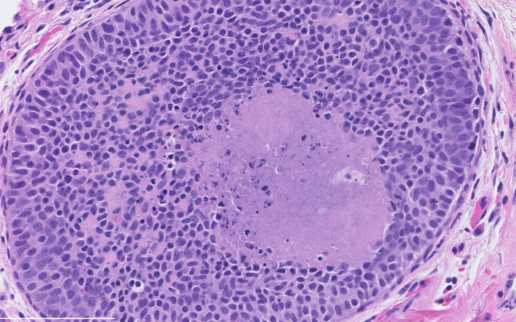
<p>Tumores carcinoides microscopicamente</p>

Tumores carcinoides microscopicamente

  • Células organoides (nidos)

  • Separados por estroma fibrovascular delicado

  • Células regulares

  • Núcleos redondos uniformes

40
New cards

Tumor carcinoide típico

<2 mitosis x 10 HPF, no necrosis

41
New cards

Tumor carcinoide atípico

2-10 mitosis x 10 HPF

Células más grandes

Pleomórficas con nucléolo prominente

Focos de necrosis

42
New cards
<p>¿Qué es?</p>

¿Qué es?

Tumor metastasico

43
New cards

Tumores metastásicos características

  • Patrón de crecimiento variable

  • Múltiples nódulos solitarios

44
New cards

Tumor metastásico

45
New cards

¿Qué es el mesotelioma?

Neoplasia maligna de origen pleural altamente agresivo

46
New cards
<p>Mesotelioma morfología</p>

Mesotelioma morfología

Tumor blando, gelatinoso, color rosa grisáceo

47
New cards

Mesotelioma mutación

Deleción homocigótica del cromosoma 9p, gen supresor tumoral CDKN2A

48
New cards

Tipos de mesotelomia

  1. Epiteloide

  2. Sarcomatoide

  3. Mixto

49
New cards
<p>Mesotelioma epiteloide</p>

Mesotelioma epiteloide

Parece adenocarcinoma: diferenciador

  • Calretinina, WT-1 CK5/6 positivos

50
New cards
<p>Mesotelomia mixto, qué son las células oscuras</p>

Mesotelomia mixto, qué son las células oscuras

La parte epiteloide

51
New cards
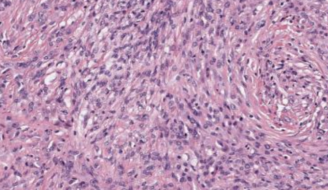
<p>Patrón sarcomatoide</p>

Patrón sarcomatoide

Positivo a veces para citoqueratina