mri

0.0(0)
studied byStudied by 0 people
0.0(0)
full-widthCall with Kai
GameKnowt Play
New
learnLearn
examPractice Test
spaced repetitionSpaced Repetition
heart puzzleMatch
flashcardsFlashcards
Card Sorting

1/100

encourage image

There's no tags or description

Looks like no tags are added yet.

Study Analytics
Name
Mastery
Learn
Test
Matching
Spaced

No study sessions yet.

101 Terms

1
New cards

what occurs with a stationary charge?

an electric field is formed

2
New cards

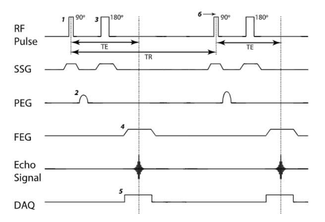
what is the sequence of image acquisition in MRI? (7)

  1. The SSG is turned on while a narrowband 90◦-pulse is applied. This causes excitation of voxels in the slice of interest and the magnetisation vectors of the voxels of that slice are flipped into the transverse plane.

  2. A PEG of a given strength is briefly applied to impart phase advancement/retardation to all spins in accordance with their voxel location along the y-direction.

  3. The SSG is again turned on so that at TE/2 an applied 180◦-pulse will affect spins in the chosen slice. Recall that this alters the position of each spin in its cycle of precession to cause an echo to be formed at TE.

  4. In anticipation of the echo signal at TE, the FEG is turned on. This causes the spins in the slice to precess at different frequencies in accordance with their voxel location along the x-direction.

  5. When the echo signal appears, it is sampled and used to fill the row of k-space corresponding to the strength of the applied PEG.

  6. When a time TR has elapsed since the beginning of the sequence, steps 1–5 are repeated with a different PEG strength to fill another row of k-space.

  7. When all rows of k-space are filled, the acquisition process is complete and the image may be obtained by a 2D-IFT.

<ol><li><p><span style="color: rgb(0, 0, 0);">The SSG is turned on while a narrowband 90◦-pulse is applied. This causes excitation of voxels in the slice of interest and the magnetisation vectors of the voxels of that slice are flipped into the transverse plane.</span></p></li><li><p><span style="color: rgb(0, 0, 0);">A PEG of a given strength is briefly applied to impart phase advancement/retardation to all spins in accordance with their voxel location along the y-direction.</span></p></li><li><p><span style="color: rgb(0, 0, 0);">The SSG is again turned on so that at TE/2 an applied 180◦-pulse will affect spins in the chosen slice. Recall that this alters the position of each spin in its cycle of precession to cause an echo to be formed at TE.</span></p></li><li><p><span style="color: rgb(0, 0, 0);">In anticipation of the echo signal at TE, the FEG is turned on. This causes the spins in the slice to precess at different frequencies in accordance with their voxel location along the x-direction.</span></p></li><li><p><span style="color: rgb(0, 0, 0);">When the echo signal appears, it is sampled and used to fill the row of k-space corresponding to the strength of the applied PEG.</span></p></li><li><p><span style="color: rgb(0, 0, 0);">When a time TR has elapsed since the beginning of the sequence, steps 1–5 are repeated with a different PEG strength to fill another row of k-space.</span></p></li><li><p><span style="color: rgb(0, 0, 0);">When all rows of k-space are filled, the acquisition process is complete and the image may be obtained by a 2D-IFT.</span></p></li></ol><p></p>
3
New cards

what is the Fourier transform?

mathematical function allowing to represent a function f(t) in terms of the different sinusoidal frequencies (omega) of which that function is composed

specifying the precise phasor associated with every possible sinusoid frequency contained in the function

in F(w), every location on independent w (omega) axis corresponds to a particular sinusoid of that frequency

higher/lower omega → higher/lower sinusoid frequency

integral F(w) (the area under the curve) = f(t) → inverse Fourier transform

<p>mathematical function allowing to represent a function f(t) in terms of the different sinusoidal frequencies (omega) of which that function is composed</p><p>specifying the precise phasor associated with every possible sinusoid frequency contained in the function</p><p>in F(w), every location on independent w (omega) axis corresponds to a particular sinusoid of that frequency</p><p>higher/lower omega → higher/lower sinusoid frequency</p><p>integral F(w) (the area under the curve) = f(t) → inverse Fourier transform</p>
4
New cards

how can we change TR and TE to alter T1 and T2 effect on image contrast?

A longer TR than T1 values of involved tissues reduces the effect of T1 on image contrast - for all tissues, longitudinal magnetisation will recover almost fully between repetitions

A much shorter TE than T2 values of tissues involved reduces effect of T2 on image contrast - little time for T2 relaxation to affect strength of recorded echo

Choosing both TR and TE so as to minimise the effects of both T1 and T2 will result in an image with contrast which reflects the spin/proton density - under these conditions the only factor significantly influencing the strength of the signal from a given voxel will be the number of spins in that voxel.

5
New cards

what are the desired characteristics of the main magnet of MRI (3)

  1. high flux density (field strength) - image SNR improves both at higher signal frequencies and for greater signal strengths.

  2. A high temporal stability - fluctuations in field strength lead both to image distortion and to loss of SNR

  3. high spatial uniformity or homogeneity - significant nonuniformity will lead to image distortion and loss of spatial resolution.

6
New cards

what occurs with a moving charge?

an electric and magnetic field is formed

magnetic field exerts force on a charged particle only if the particle is in motion

ie. electric current in a wire will be surrounded by magnetic field

7
New cards

what unit is used to represent the magnitude of flux density?

tesla (T) - SI unit

gauss (G)

1T = 10,000G

8
New cards

how does the human body react to electromagnetic radiation in varying spectrum?

The body becomes transparent to x rays, gamma rays, and longer wavelength radiation. In the middle of the spectrum, this no longer occurs.

<p><span style="color: rgb(0, 0, 0);">The body becomes transparent to x rays, gamma rays, and longer wavelength radiation. In the middle of the spectrum, this no longer occurs.</span></p>
9
New cards

discuss relationship between energy, wavelength, frequency?

frequency and wavelength are opposite to each other

energy directly proportional to frequency and inverse to wavelength

as energy increases, frequency increases and wavelength decreases

10
New cards

what is a magnetic dipole?

  • When current is flowing through a loop forms

  • Dipole

  • magnetic fields generated by magnet or electromagnet has two ends/poles

magnetic dipole - magnetic fields that are generated, whether generated by material like magnet or electromagnet, always has two poles

<ul><li><p><strong>When current is flowing through a loop forms</strong></p></li><li><p><strong>Dipole</strong></p></li><li><p>magnetic fields generated by magnet or electromagnet has two ends/poles</p></li></ul><p>magnetic dipole - magnetic fields that are generated, whether generated by material like magnet or electromagnet, always has two poles</p>
11
New cards

what is magnetic dipole moment?

when a magnetic dipole is placed in an external magnetic field, it experiences a force, changing the orientation of the dipole within a field. This is considered magnetic dipole moment, mu

the magnitude of magnetic dipole moment is proportional to current flowing in the loop and to the area enclosed by the loop. The direction is perpendicular to plane of the loop

the force exerted on a magnetic dipole by an external magnetic field makes the dipole line up with the field

<p>when a magnetic dipole is placed in an external magnetic field, it experiences a force, changing the orientation of the dipole within a field. This is considered magnetic dipole moment, mu</p><p>the magnitude of magnetic dipole moment is proportional to current flowing in the loop and to the area enclosed by the loop. The direction is perpendicular to plane of the loop</p><p>the force exerted on a magnetic dipole by an external magnetic field makes the dipole line up with the field</p>
12
New cards

what types of motion of atomic electrons give rise to magnetic dipole moments? (2)

1. Electrons in orbital motion about the nucleus may be thought of as tracing out ‘current’ loops, each of which will have an associated orbital magnetic moment.
2. An isolated electron can be thought of as spinning on its axis. This spin gives rise to an associated spin magnetic moment.

the vector sum of both magnetic moments for all electrons in an atom will determine the magnetic moment of the atom as a whole

13
New cards

discuss how magnetic moments of an entire object can vary, and what significant material magnetism depends on? (2)

magnetic moments from pairs of electrons point in opposite directions and cancel out in such a way that the atom as a whole has no magnetic moment.

when atoms in a material do each have a magnetic moment, they are usually aligned randomly relative to one another so that a bulk sample of the material exhibits no appreciable magnetism.

Significant material magnetism therefore relies upon two things:

  1. that individual atoms of the material exhibit an over-all magnetic moment

  2. magnetic moments are preferentially aligned in a particular direction.

14
New cards

how much energy would be needed to rotate a magnetic dipole to be perpendicular (parallel) or antiparallel to an external magnetic field?

to be perpendicular (parallel), E=mu*B

to be antiparallel, E=2mu*B

where mu is the magnetic dipole moment

and B is the shape of the field

15
New cards

what is ferromagnetism?

  • we are filled with hydrogen atoms - protons

    • protons are in groups

  • domains aligning magnetic field in same direction

    • reacting to external magnetic field

net magnetic moment, and bulk material contains small regions known as magnetic domains, where atomic magnetic moments are mainly aligned

alignment of magnetic domains can persist after removal of external field - making permanent magnets for use in MRI

<ul><li><p>we are filled with hydrogen atoms - protons</p><ul><li><p>protons are in groups</p></li></ul></li><li><p>domains aligning magnetic field in same direction</p><ul><li><p>reacting to external magnetic field</p></li></ul></li></ul><p>net magnetic moment, and bulk material contains small regions known as magnetic domains, where atomic magnetic moments are mainly aligned</p><p>alignment of magnetic domains can persist after removal of external field - making permanent magnets for use in MRI</p>
16
New cards

what is gyromagnetic ratio (γ)?

  • the gyromagnetic ratio of a particle or a system is the ratio of its magnetic moment to its angular momentum, and it is often denoted by the symbol y, gamma

  • values of y/2pi, in units of hertz per tesla (Hz/T), are often quoted instead of just y “gamma”.

The gyromagnetic ratio is the ratio of the magnetic moment of a nucleus to its angular
momentum

<ul><li><p><span style="color: rgb(0, 0, 0);"><strong>the gyromagnetic ratio of a particle or a system is the ratio of its magnetic moment to its angular momentum, and it is often denoted by the symbol <em>y</em>, gamma</strong></span></p></li><li><p><span style="color: rgb(0, 0, 0);"><strong>values of <em>y</em>/2pi, in units of hertz per tesla (Hz/T), are often quoted instead of just <em>y</em> “gamma”.</strong></span></p></li></ul><p><span style="color: rgb(0, 0, 0);">The gyromagnetic ratio is the ratio of the magnetic moment of a nucleus to its angular</span><span style="color: rgb(0, 0, 0);"><br></span><span style="color: rgb(0, 0, 0);">momentum</span></p>
17
New cards

compare MRI and CT signal?

  • MRI signal is very small - CT is much higher

  • MRI signal 5 in a million

  • MRI takes much longer compared to CT

18
New cards

what is nuclear precession?

  • proton spinning around axis

  • A spinning nucleus in a strong magnetic field can exist in either of two states:

  1. a low-energy state :magnetic dipole moment of the nucleus is oriented parallel to the field

  2. high-energy state : the magnetic dipole moment of the nucleus is oriented antiparallel to the field.

  • But not quite parallel but with a 54.7 degrees angle

the direction of the magnetic dipole moment vector of the nucleus will change with time in such a way that the tip of the vector traces a circle around the direction of the magnetic field (precession)

the rate of precession is equal to the Larmor frequency

<ul><li><p>proton spinning around axis</p></li><li><p><strong>A spinning nucleus in a strong magnetic field can exist in either of two states:</strong></p></li></ul><ol><li><p><strong>a low-energy state :magnetic dipole moment of the nucleus is oriented parallel to the field</strong></p></li><li><p><strong>high-energy state : the magnetic dipole moment of the nucleus is oriented antiparallel to the field.</strong></p></li></ol><ul><li><p><strong>But not quite parallel but with a 54.7 degrees angle</strong></p></li></ul><p>the direction of the magnetic dipole moment vector of the nucleus will change with time in such a way that the tip of the vector traces a circle around the direction of the magnetic field (precession)</p><p>the rate of precession is equal to the Larmor frequency</p>
19
New cards

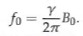
what is the Larmor frequency?

f0 = (gamma)/(2pi) x B0

omega = gamma*B

omega = frequency of precession

gamma = constant inherent to specific nucleus

B = magnetic field strength

<p>f0 = (gamma)/(2pi) x B0</p><p>omega = gamma*B</p><p></p><p>omega = frequency of precession</p><p>gamma = constant inherent to specific nucleus</p><p>B = magnetic field strength</p>
20
New cards

what is T1 time?

‘T1 time’ refers to interval where 63% of longitudinal magnetization is recovered

21
New cards

what is T2 time?

‘T2 time’ refers to interval where only 37% of original transverse magnetization is present.

22
New cards

what is net magnetisation?

net magnetisation (M) of a voxel is the vector sum of all the individual magnetic moments for the spins within the voxel

in the absence of an external magnetic field, voxel M = 0 → all spins are randomly oriented

in the presence of a field, M =/ 0, M will be pointing in the same direction as the external field

23
New cards

what is magnetisation?

The magnetisation, M, at any point within a sample of bulk material is then defined as the net magnetic dipole moment per unit volume. Magnetisation is a vector quantity and has units of amperes per meter (A/m).

24
New cards

what is an electromagnet?

Rather than relying on any form of material magnetism, in an electromagnet a magnetic field is generated as a result of current made to flow in a coil of wire. Each loop of the coil behaves as a large magnetic dipole, and since all loops in a coil have the same orientation, their dipole moments reinforce one another

<p><span style="color: rgb(0, 0, 0);">Rather than relying on any form of material magnetism, in an electromagnet a magnetic field is generated as a result of current made to flow in a coil of wire. Each loop of the coil behaves as a large magnetic dipole, and since all loops in a coil have the same orientation, their dipole moments reinforce one another</span></p>
25
New cards

discuss magnetic moment of atomic nucleus including protons and neutrons?

nucleons (protons and neutrons) both exhibit spin and have magnetic dipole moments, which are almost equal in magnitude and are opposite in direction

only nuclei with odd number of protons/neutrons have a nuclear magnetic dipole moment. pairs of identical nucleons tend to exist such that magnetic moments cancel each other out

<p>nucleons (protons and neutrons) both exhibit spin and have magnetic dipole moments, which are almost equal in magnitude and are opposite in direction</p><p>only nuclei with odd number of protons/neutrons have a nuclear magnetic dipole moment. pairs of identical nucleons tend to exist such that magnetic moments cancel each other out</p>
26
New cards

what occurs to many atomic nuclei in an strong magnetic field?

Before the external field is applied the spins have their magnetic moments oriented randomly and are in constant thermal motion.
When the external field, B0, is applied, each spin will become aligned such that its magnetic moment points either parallel to or anti-parallel to the field

27
New cards

what occurs at thermal equilibrium?

slightly more spins will exist in the low-energy (parallel) state than in the high energy (antiparallel) state.

28
New cards

how is MRI signal produced?

spins will constantly be making the transition between the two states, but, at any time the lower energy state will be more heavily populated. This excess of spins in the low-energy (parallel) state means that there will be a net magnetisation in the direction of the applied field. That is, the result of adding up the magnetic moment vectors for all of the tiny spins in the voxel will not be zero: rather, it will give a magnetisation for the voxel which points in the same direction as the external field.
We should point out here that in practice the excess of spins in the parallel state is very small: for typical MRI operating conditions it corresponds to only about five spins in every million.

excess spins generate the MRI signal, and so it is the smallness of this factor which results in the generation of extremely weak signals which must be detected in MRI.

<p><span style="color: rgb(0, 0, 0);">spins will constantly be making the transition between the two states, but, at any time the lower energy state will be more heavily populated. This excess of spins in the low-energy (parallel) state means that there will be a net magnetisation in the direction of the applied field. That is, the result of adding up the magnetic moment vectors for all of the tiny spins in the voxel will not be zero: rather, it will give a magnetisation for the voxel which points in the same direction as the external field.<br>We should point out here that in practice the excess of spins in the parallel state is very small: for typical MRI operating conditions it corresponds to only about five spins in every million. </span></p><p><span style="color: rgb(0, 0, 0);"> excess spins generate the MRI signal, and so it is the smallness of this factor which results in the generation of extremely weak signals which must be detected in MRI.</span></p>
29
New cards

what is a magnetic field gradient?

rather than a uniform magnetic field, the magnetic field varies linearly along the length of the platform.

<p>rather than a uniform magnetic field, the magnetic field varies linearly along the length of the platform.</p>
30
New cards

what are the desired nuclei properties for MR images, and what is the optimal atom used? (2)

in order to be of relevance for forming MR images, nuclei must possess certain properties:

  1. they should have a strong magnetic moment,

  2. and they should have a high physiologic concentration

1H hydrogen is best and most commonly used - abundant hydrogen in water, found almost everywhere in the body

31
New cards

what is nuclear magnetic resonance phenomenon?

certain atomic nuclei demonstrating the ability to reabsorb and re-emit radiofrequency energy when placed in a magnetic field

32
New cards

how does an MRI work - simple How MRI Works steps

  1. magnetic field aligns nuclei

  2. radiofrequency pulse tips nuclei

  3. nuclei precess giving off the radiofrequency signal (time taken to stop emitting is T2 relaxation)

  4. nuclei realigns with the magnetic field (time taken to realign is T1 relaxation)

33
New cards

what is the importance of gradient coils/gradients in MRI machine?

alter B field in 3 dimensions (x, y, z) producing smaller magnetic fields

localising RF signal in space - allows us to know where RF signals are coming from in bore to produce 3D images of tissue

helps provide contrast for diffusion/flow imaging

coils of wire producing linearly varying magnetic fields when current flows through them

34
New cards

what factors contribute to MRI signal? (4)

  1. number of spins contributing to signal (spins that do not have an opposing partner to cancel each other out and are thus participating in delivering NMR)

  2. flip angle

  3. gyromagnetic ratio

  4. magnetic field

<ol><li><p>number of spins contributing to signal (spins that do not have an opposing partner to cancel each other out and are thus participating in delivering NMR)</p></li><li><p>flip angle</p></li><li><p>gyromagnetic ratio</p></li><li><p>magnetic field</p></li></ol><p></p>
35
New cards

why is hydrogen chosen for MRI use? (3)

  1. abundance

  2. high gyromagnetic ratio

  3. present in nearly every organ of the body

36
New cards

what is spin and gyromagnetic ratio?

spin is a measurement of intrinsic angular momentum 

spin also gives proton intrinsic magnetic moment - allows proton to behave as bar magnet

this magnetic moment includes consideration of gyromagnetic ratio

gyromagnetic ratio is how big its magnetic moment is, given its spin

37
New cards

how does precession frequency change considering Larmor equation?

f = y x B

precession frequency of proton = gyromagnetic ratio constant x magnetic field strength

nuclei with different gyromagnetic ratios precess differently in the same magnetic field

in the same magnetic field strength, there will be increased precession frequency

amplitude scales with magnetic field strength

<p>f = y x B</p><p>precession frequency of proton = gyromagnetic ratio constant x magnetic field strength</p><p>nuclei with different gyromagnetic ratios precess differently in the same magnetic field</p><p>in the same magnetic field strength, there will be increased precession frequency</p><p>amplitude scales with magnetic field strength</p>
38
New cards

what is free induction decay?

in a perfect situation, protons are spinning at a same constant rate. however, each proton’s magnetic field alters neighbouring protons, resulting in some protons spinning faster and slower than others over time.

signal decays in a decaying exponential manner as protons become dephased and not in sync

T2 is how quickly signal decays

<p>in a perfect situation, protons are spinning at a same constant rate. however, each proton’s magnetic field alters neighbouring protons, resulting in some protons spinning faster and slower than others over time.</p><p>signal decays in a decaying exponential manner as protons become dephased and not in sync</p><p>T2 is how quickly signal decays</p>
39
New cards

what is echo time?

how long you wait to detect signal once spins have been knocked out of alignment with field/excited

parameter chosen by MRI technician deliberately to maximise contrast between tissues of interest

at certain echo time, tissue has different signal strength, corresponding to different brightness of tissue

<p>how long you wait to detect signal once spins have been knocked out of alignment with field/excited</p><p>parameter chosen by MRI technician deliberately to maximise contrast between tissues of interest</p><p>at certain echo time, tissue has different signal strength, corresponding to different brightness of tissue</p>
40
New cards

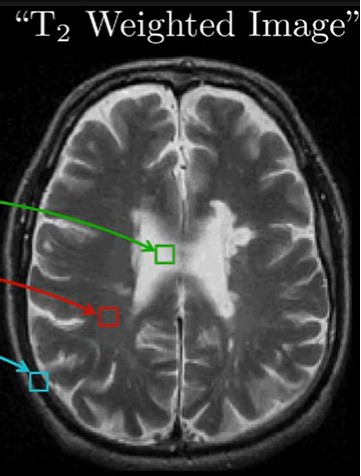
what is a T2 weighted image?

based on imaging using echo times, the voxel tells us how quickly the precessing spins in the voxel got out of phase with each other

bright if they dephase slowly

dark if they dephase quickly

<p>based on imaging using echo times, the voxel tells us how quickly the precessing spins in the voxel got out of phase with each other</p><p>bright if they dephase slowly</p><p>dark if they dephase quickly</p>
41
New cards

what is a spin density image?

in some tissues, greatest contrast is found when echo time is 0, if signal was detected immediately. the different brightness between tissue now reflects the difference in protons each tissue contains, no spin or spin dephasing occurs.

<p>in some tissues, greatest contrast is found when echo time is 0, if signal was detected immediately. the different brightness between tissue now reflects the difference in protons each tissue contains, no spin or spin dephasing occurs.</p>
42
New cards

what is T1 relaxation?

the time taken for spinning proton to realign with magnetic field once they are tipped out of alignment

slower than process of dephasing due to T2

43
New cards

what is T2 relaxation?

T2 is much shorter than T1

time taken for spinning proton to dephase

44
New cards

what is a T1 weighted image?

using repetition time to detect signal of tissues based on time to realign with magnetic field

tissues with long T1 - spins won’t have realigned with field, longitudinal magnetisation will be low → dark

tissues realigning quickly have more magnetisation → bright

<p>using repetition time to detect signal of tissues based on time to realign with magnetic field</p><p>tissues with long T1 - spins won’t have realigned with field, longitudinal magnetisation will be low → dark</p><p>tissues realigning quickly have more magnetisation → bright</p>
45
New cards

what is repetition time?

the amount of time the scanner waits in between excitations

longer TR → higher signal → longer scan

if TR is short, very little longitudinal signal is recovered → excited transverse magnetisation will be smaller

length of TR dictates the amount of signal each tissue begins its T2 decay with

<p>the amount of time the scanner waits in between excitations</p><p>longer TR → higher signal → longer scan</p><p>if TR is short, very little longitudinal signal is recovered → excited transverse magnetisation will be smaller</p><p>length of TR dictates the amount of signal each tissue begins its T2 decay with</p>
46
New cards

relationship between TR, TE, T1, T2?

T1 and T2 are intrinsic properties of the tissue of interest

TR and TE are parameters selected to change how the scan will detect T1 and T2

T1 → TR

T2 → TE

47
New cards

what are the components of the total magnetisation vector, how does it change following excitation and what magnetisation does it represent? (2)

  1. longitudinal component (z), which grows at a rate of T1 following excitation (realigning to magnetic field) → magnetisation available for next excitation

  2. transverse component (x, y) which decays at a rate of T2 following excitation (starts at maximum then reduces as it points upwards) → magnetisation currently delivering detectable signal

48
New cards

what is a flip angle?

Flip angles represent the degree of Mz rotation by the B1 field as it is applied along the x′-axis (or the y′-axis) perpendicular to Mz

Common flip angles are 90° (π/2) and 180° (π), although a variety of smaller and larger angles are chosen to enhance tissue contrast in various ways. A 90° angle provides the largest possible Mxy and detectable MR signal and requires a known B1 strength and time (on the order of a few to hundreds of µs).

Flip angles describe the angular displacement of the longitudinal magnetization vector from the equilibrium position

the angle the spin makes with respect to magnetic field

the more the flip angle, the higher the signal

<p><em>Flip angles</em> represent the degree of <em>M<sub>z</sub></em> rotation by the <strong><em>B</em></strong><sub>1</sub> field as it is applied along the <em>x</em>′-axis (or the <em>y</em>′-axis) perpendicular to <em>M<sub>z</sub></em></p><p>Common flip angles are 90° (<strong>π</strong>/2) and 180° (<strong>π</strong>), although a variety of smaller and larger angles are chosen to enhance tissue contrast in various ways. A 90° angle provides the largest possible <em>M<sub>xy</sub></em> and detectable MR signal and requires a known <strong><em>B</em></strong><sub>1</sub> strength and time (on the order of a few to hundreds of µs).</p><p>Flip angles describe the angular displacement of the longitudinal magnetization vector from the equilibrium position</p><p>the angle the spin makes with respect to magnetic field</p><p>the more the flip angle, the higher the signal</p>
49
New cards

what is a pulse sequence?

sequence of Larmor frequency excitation pulses designed to ensure that the resulting detected signal reflects the appropriate combination of T1, T2, T2*

50
New cards

what is a frequency encoding gradient?

using the gradient coil, applying two different currents to each half, creating magnetic field differential along x axis of slice selected when reading out signal, to help us determine signal location within a certain x slice

frequency of spins differs depending on x axis location

applied along x direction, during detection and sampling of readout signal → known as readout gradient

voxels at -x end will

<p>using the gradient coil, applying two different currents to each half, creating magnetic field differential along x axis of slice selected when reading out signal, to help us determine signal location within a certain x slice</p><p>frequency of spins differs depending on x axis location</p><p>applied along x direction, during detection and sampling of readout signal → known as readout gradient</p><p>voxels at -x end will </p>
51
New cards

what is a slice select gradient?

gradient applied to determine the slice plane of the image, determining the z coordinate common to all the voxels contributing to the image

direction of SSG magnetic field is the same as B0, but magnitude varies linearly as a function of z.

for negative z it opposes B0, for z=0, nothing happens to B0, for positive z it reinforces B0

field is weakest at -z end of patient and strongest at +z end. spins at -z are slower, and faster at +z

<p>gradient applied to determine the slice plane of the image, determining the z coordinate common to all the voxels contributing to the image</p><p>direction of SSG magnetic field is the same as B0, but magnitude varies linearly as a function of z. </p><p>for negative z it opposes B0, for z=0, nothing happens to B0, for positive z it reinforces B0</p><p>field is weakest at -z end of patient and strongest at +z end. spins at -z are slower, and faster at +z</p>
52
New cards

what is the phase encode gradient

localising NMR signal in y position

applied for a brief duration between 90 degree excitation pulse and 180 degree refocussing pulse

+y end voxels experience the most advancement of phase angle, y=0 voxels experience no change to phase angle, -y end experience most recession of phase angle

<p>localising NMR signal in y position</p><p>applied for a brief duration between 90 degree excitation pulse and 180 degree refocussing pulse</p><p>+y end voxels experience the most advancement of phase angle, y=0 voxels experience no change to phase angle, -y end experience most recession of phase angle</p>
53
New cards

what is k space?

sampled measurements of echo signals are arranged in k space to form MR image

k space is considered spatial frequency domain/Fourier domain

k space is divided into a grid, the number of columns it he number of samples taken in recording each echo signal, the number of rows is equal to the number of repetitions of measurements taken with different PEG strengths

signal with no PEG is the middle row of k space grid

to form MR image, inverse Fourier transform the k space grid

<p>sampled measurements of echo signals are arranged in k space to form MR image</p><p>k space is considered spatial frequency domain/Fourier domain</p><p>k space is divided into a grid, the number of columns it he number of samples taken in recording each echo signal, the number of rows is equal to the number of repetitions of measurements taken with different PEG strengths</p><p>signal with no PEG is the middle row of k space grid</p><p>to form MR image, inverse Fourier transform the k space grid</p>
54
New cards

what is a permanent magnet, and what are its pros and cons? (5+4)

large blocks of ferromagnetic material, usually alloys like iron, nickel, cobalt

pros

  • little maintenance

  • no cooling

  • no electrical power/cryogens → low operating costs

  • generate only weak stray fields

  • well suited with open system architectures

cons

  • very heavy, >10 tonnes

  • relatively weak fields

  • do not allow main field to be turned off in emergency

  • temperature dependent → complex thermal regulation

permanent magnets are in practice cost effective only for producing main fields weaker than 0.3T

55
New cards

what is a resistive electromagnet, and what are its pros and cons? (3+4)

generating B0 field by circulating large amounts of current through one or more wire coils

pros

  • inexpensive

  • light

  • allow main field to be switched off in emergency

cons

  • relatively weak fields

  • large amounts of electrical power, dissipated as heat

  • poor stability and uniformity - temperature dependent

  • substantial resistive heating - requires liquid coolant

56
New cards

what is a superconducting electromagnet, and what are its pros and cons? (1+5)

when a superconductor is cooled below critical temperature, it ceases to exhibit any electrical resistance

pros

  • producing very strong fields, very stable and uniform

cons

  • very high cost

  • do not allow rapid shut down of main field

  • generate significant fringe fields

  • only implemented in closed architecture systems

  • dangerous if heated up above critical temperature

considered cost effective only for generation of flux densities greater than 0.3T

57
New cards

what is T2* / T2 star?

B0 field isn’t perfectly homogenous

T2* results from inhomogeneities in the main magnetic field - may be the result of intrinsic defects in the magnet itself or from susceptibility-induced field distortions produced by the tissue or other materials placed within the field.

tiny differences in a good or bad magnetic field leads to different signal decay rates - the rate at which signal decays no longer reflects sample, it reflects the external conditions, such as how good/bad of a magnetic field we can produce

two protons exposed to magnetic field B=1.0T and 1.000001T - the spin in the higher field completes 42.6 more precession cycles than the first every second, spins will be out of phase by 180 degrees (cancelling each other out) in 11.7 milliseconds

relaxation due to field inhomogeneity

ability to contrast tissue is substantially reduced

the observed signal decay rate due to all the dephasing mechanisms present in the sample - more representative of magnetic environment, not molecular properties intrinsic to tissue

<p>B0 field isn’t perfectly homogenous</p><p>T2* results from inhomogeneities in the main magnetic field - may be the result of intrinsic defects in the magnet itself or from susceptibility-induced field distortions produced by the tissue or other materials placed within the field.</p><p>tiny differences in a good or bad magnetic field leads to different signal decay rates - the rate at which signal decays no longer reflects sample, it reflects the external conditions, such as how good/bad of a magnetic field we can produce</p><p>two protons exposed to magnetic field B=1.0T and 1.000001T - the spin in the higher field completes 42.6 more precession cycles than the first every second, spins will be out of phase by 180 degrees (cancelling each other out) in 11.7 milliseconds</p><p>relaxation due to field inhomogeneity</p><p>ability to contrast tissue is substantially reduced</p><p>the observed signal decay rate due to all the dephasing mechanisms present in the sample - more representative of magnetic environment, not molecular properties intrinsic to tissue</p>
58
New cards

what is spin echo and how does it help us find T2?

delivering the 180 degree pulse after 90 degree pulse makes protons rephase with each other, then begin process of dephasing again - net transverse magnetisation peaks again but at a lower amplitude

precession frequency/location of proton does not change

allows for true T2 contrast in tissue regardless of T2*

if we deliver 180 at time tau, in that time, spins will have dephased by a certain amount. following 180, it will take same amount of time to rephase

echo peaks decay - intrinsic T2 decay is not reversible, spins are still losing coherence due to self interactions

if 180 is delivered at time tau, echo appears at time 2tau - peak reaches T2 curve

amplitude helps to calculate T2 

<p>delivering the 180 degree pulse after 90 degree pulse makes protons rephase with each other, then begin process of dephasing again - net transverse magnetisation peaks again but at a lower amplitude</p><p>precession frequency/location of proton does not change</p><p>allows for true T2 contrast in tissue regardless of T2*</p><p>if we deliver 180 at time tau, in that time, spins will have dephased by a certain amount. following 180, it will take same amount of time to rephase</p><p>echo peaks decay - intrinsic T2 decay is not reversible, spins are still losing coherence due to self interactions</p><p>if 180 is delivered at time tau, echo appears at time 2tau - peak reaches T2 curve</p><p>amplitude helps to calculate T2&nbsp;</p>
59
New cards

what is the speed of light/c ?

3 × 10^8 m/s

60
New cards

how do you calculate energy from a given frequency?

E (eV) = hf

where h = Planck’s constant 4.14×10-15 eV.s

and f = frequency (Hz)

61
New cards

what is Planck’s constant?

4.14 × 10^-15 eVs

62
New cards

how can you calculate wavelength from frequency?

lambda = c/f OR lambda = hc/E

where c = speed of light 3×10^8m/s

f = frequency Hz

h = Planck’s constant 4.14×10^-15eVs

E = energy eV

63
New cards

what would be the nuclear magnetic moment of O18 and why?

0 - equal number of protons and neutrons, cancelling each other out

64
New cards

in the presence of strong magnetic field, how many spins will be extra aligned along M?

5 in a million - signal is very small, very few are in excess of spin-up state resulting in signal

65
New cards
<p>how do you calculate MRI signal/contrast sensitivity?</p>

how do you calculate MRI signal/contrast sensitivity?

p = proton density

<p>p = proton density</p>
66
New cards

how does MRI slice thickness vary based on bandwidth and Z Gradient strength?

linearly increases with bandwidth, and inverse to Z gradient strength

stronger gradient - narrower slice thickness

broader pulse - thicker slice

<p>linearly increases with bandwidth, and inverse to Z gradient strength</p><p>stronger gradient - narrower slice thickness</p><p>broader pulse - thicker slice</p>
67
New cards

which plane is the signal that is detected in NMR/MRI?

x and y plane

68
New cards

how do the 2 components of the RF magnetic fields in the x y plane behave with each other?

rotate opposite to each other

69
New cards

what is the term for the twisting of the total magnetisation away from its equilibrium position?

excitation

70
New cards

which plane does the MRI rotating frame share with the lab frame?

the z axis

71
New cards

how much is the magnetic field bringing about the SSG in relation to B0?

1000 times less than B0- will not influence B0

72
New cards

what would the difference in flip angle be for 2 nuclei A and B in the exact same conditions, but A has double the gyromagnetic ratio?

flip angle A will be double of flip angle B

73
New cards

how long is the duration of the RF pulse normally chosen to be in relation to the flip angle?

equal to the time required to achieve flip angle

74
New cards

will tissues with small molecules have short or long T2?

long T2

75
New cards

how is spin echo formed?

flipping proton direction by a radiofrequency pulse

76
New cards

what is a sinc pulse, and how do we change it to develop our slices?

since pulse is the RF pulse administered. we need a rectangular slice profile, which is formed through Fourier transformation

the oscillating tails of the sinc pulse help make a perfect rectangle slice, but this takes a very long time - required to reuncate (cut off tails) to reduce time, but slice becomes less rectangular

the more we truncate → the more time we save → the worse the distortion of the slice

<p>since pulse is the RF pulse administered. we need a rectangular slice profile, which is formed through Fourier transformation</p><p>the oscillating tails of the sinc pulse help make a perfect rectangle slice, but this takes a very long time - required to reuncate (cut off tails) to reduce time, but slice becomes less rectangular</p><p>the more we truncate → the more time we save → the worse the distortion of the slice</p>
77
New cards

what is delta k?

spaces between samples in k space

78
New cards

what are the tradeoffs for thin and thick slices in SSR? (2+2)

thin

  1. takes more time → potential for motion artefacts

  2. lower signal-to-noise ratio - less spins are present in each voxel to contribute to signal

thicker

  1. poorer spatial resolution

  2. increased susceptibility to partial volume artefacts

79
New cards

how do we calculate pixel size along x axis?

where FOVx is the field of view in x direction

Nx = number of pixels in direction - matrix size

<p>where FOVx is the field of view in x direction</p><p>Nx = number of pixels in direction - matrix size</p>
80
New cards

what factors increase mri signal? (4)

  • Increasing voxel size increases size of detected echoes -larger voxels will contain more spins, and exhibit a larger net magnetisation.

  • Increasing B0 field strength increases size of detected echoes - stronger B0-field causes larger imbalance between populations of low- and high-energy states → larger net magnetisation.

  • Increasing sensitivity of RF receiver coil increases size of detected echoes - larger detected voltage signal for a given amount of precessing magnetisation. It is a function of the coil design—in particular it’s geometry—and positioning.

  • choices of parameters TR and TE in a spin echo pulse sequence affects the size of the detected echoes: Excessively short values of TR will not allow significant longitudinal recovery of any tissue magnetisation, such that all echoes will be small. Excessively long values of TE will allow almost complete transverse decay of all tissue magnetisation, such that all echoes will be small

81
New cards

what factors influence mri noise? (2)

  • thermal noise both from patient and RF receiver coil and subsequent electronics. thermal noise in the coil and electronics is a result of the random thermal motion of electrons in these conductors. from the patient is the result of the random thermal motion of magnetic dipoles within the patient’s tissues.

  • Some noise can be removed by filtering the detected signal. The amount of this noise that ultimately enters the image is proportional to the bandwidth of the RF detection electronics. A smaller bandwidth is achieved by using weaker frequency encoding gradients (the weaker the FEG, the smaller the range of precessional frequencies that contribute to each echo).

82
New cards

how can we improve SNR?

  • Signal averaging, involves acquiring exactly the same echo signal(s) multiple times by repeatedly applying the same pulse sequence, and then averaging these.

  • These signals will be identical except for the presence of random noise: the effect of averaging is therefore to reduce the level of that noise relative to that of the signal itself. The resulting SNR increases in proportion to the square root of the number of signals that are averaged: that is, averaging N identical signals improves the SNR by a factor of sqrN

83
New cards

how is 2D MR imaging with a spin echo pulse sequence acquisition time calculated?

Ny - how many times you repeat PEG - matrix size in y direction

Nav - how many times you average (if you don’t average, Nav = 1)

<p>Ny - how many times you repeat PEG - matrix size in y direction</p><p>Nav - how many times you average (if you don’t average, Nav = 1)</p>
84
New cards

how is 3D MR imaging with a spin echo pulse sequence acquisition time calculated?

Ny - how many times you repeat PEG - matrix size in y direction

Nav - how many times you average (if you don’t average, Nav = 1)

Nz - how many times you repeat SSG

<p>Ny - how many times you repeat PEG - matrix size in y direction</p><p>Nav - how many times you average (if you don’t average, Nav = 1)</p><p>Nz - how many times you repeat SSG</p>
85
New cards

what is a partial volume artefact?

same as CT - voxel containing multiple tissues, resulting in blurring and creation of non existent tissue type - taking average of all tissues involved

Partial volume artifacts result in a loss of a spatial resolution and contrast and in the apparent presence of non-existent tissue types.

can be reduced by selecting thin slices

86
New cards

what is chemical shift artefact?

if a water molecule is close to fat molecule, which has hydrogen bonded to carbon, which is a stronger bond than water

hydrogen-carbon magnetic field will be different to hydrogen in water → affects protons detected in water molecule

water molecule close to fat, position will be shifted - chemical shift

fraction of a millimetre shift - still important in diagnostic radiography

The molecular environment in fat causes hydrogen nuclei in fat molecules to precess at a slightly lower frequency than the hydrogen nuclei in the water molecules of other soft tissues

87
New cards

what is chemical shift dependent/independent on?

  1. chemical shift is independent of the T2 relaxation time since all protons in a voxel of uniform chemical composition undergo the same chemical shift

  2. Chemical shift is linearly dependent on B0 strength

  3. Chemical shift is inversely proportional to gradient magnetic field strength*

88
New cards

what is a ringing artefact?

Ringing artifacts are more commonly observed when using small pixel sizes and when high contrast boundaries appear in the image

when Fourier transformed, frequencies added up, aiming for rectangular slice. Realistically there will be horns called Gibbs overshoot, leading to ringing artefact

<p><span><strong>Ringing artifacts are more commonly observed when using small pixel sizes and when high contrast boundaries appear in the image</strong></span></p><p><span><strong>when Fourier transformed, frequencies added up, aiming for rectangular slice. Realistically there will be horns called Gibbs overshoot, leading to ringing artefact</strong></span></p>
89
New cards

what is a wrap around artefact?

when sampling beyond Nyquist frequency, higher frequencies appear to be low frequency

<p>when sampling beyond Nyquist frequency, higher frequencies appear to be low frequency</p>
90
New cards

how do MRI contrast agents work?

  • Contrast agents are employed in MRI to increase the diagnostic potential of images

  • These operate by drastically reducing the T1 and/or T2 relaxation coefficients in specific region of image

  • These regions then exhibit high contrast against surrounding tissue

  • imaging effect of contrast on T1/T2

  • commonly gadolinium (Gd) for T1

  • iron oxide for T2

91
New cards

in MRI using spin echo pulse sequence, it is often possible to acquire images from multiple slices at the same time that it would otherwise take to acquire one such image. Explain why this is possible and how it is achieved

when we start 90 degree pulse, TE starts with end of 90 degrees, following by 180 degrees, but TR continues

until TR finishes completely, then another 90 degree pulse is given

long TR

after 180 degree pulse applied, we can apply another 90 degree pulse to another slice - only possible when TR is much longer than TE

this is possible because TR is long time, achieved by applying another 90 degree pulse after the 180 pulse and continue the process with another slice (usually not the next slice but the slice after that) - acquiring two adjacent slices could cause confusion in image acquisition

92
New cards

what is the effect of SSG strength on slice thickness?

inversely proportional, as SSG strength increases, slice thickness decreases

<p>inversely proportional, as SSG strength increases, slice thickness decreases</p>
93
New cards
<p>if RF pulses used in an MRI acquisition have a bandwidth of 11kHz, what gradient strength would be required to obtain slice thickness of 8mm?</p>

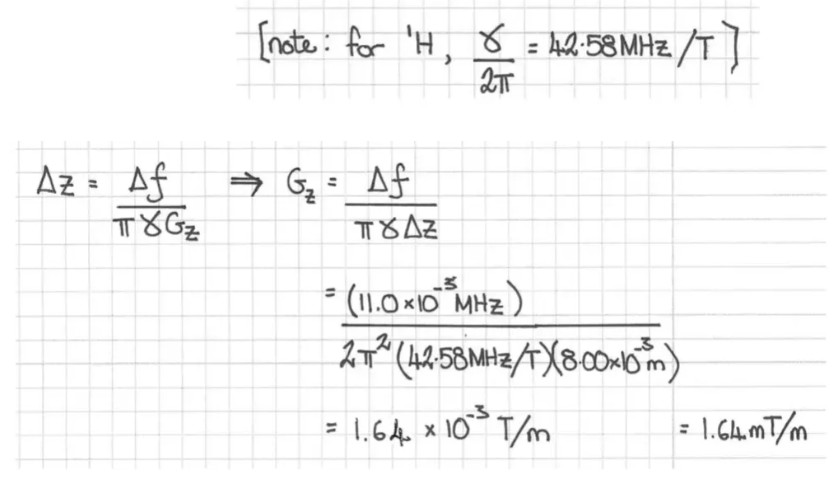
if RF pulses used in an MRI acquisition have a bandwidth of 11kHz, what gradient strength would be required to obtain slice thickness of 8mm?

knowt flashcard image
94
New cards

what is the flip angle formula for large and small angles?

knowt flashcard image
95
New cards

what is spatial resolution along FEG direction affected by? (4)

  1. sampling interval

  2. FEG strength

  3. T2* value

  4. delta k x

96
New cards

what factors increase total image acquisition time? (4)

  1. sampling echo signal at a smaller interval delta t

  2. increasing Nx intervals

  3. increasing Ny steps

  4. using stronger FEG gradient

97
New cards

what are the units of SSG magnet?

T/M tesla/metre

98
New cards

what happens to signal intensity as Mxy relaxes to 0?

signal intensity decreases

99
New cards

when is PEG applied in terms of pulses?

between 90 and 180 degree pulse, briefly

100
New cards

if the truncation of the sinc function is close to the lobe (centre), how does time to form a sinc pulse change?

the closer the truncation, the faster to form a sinc pulse