1/180
Looks like no tags are added yet.
Name | Mastery | Learn | Test | Matching | Spaced |
|---|
No study sessions yet.
artery
(B)

vein
(A)

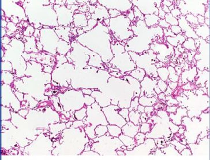
lung tissue

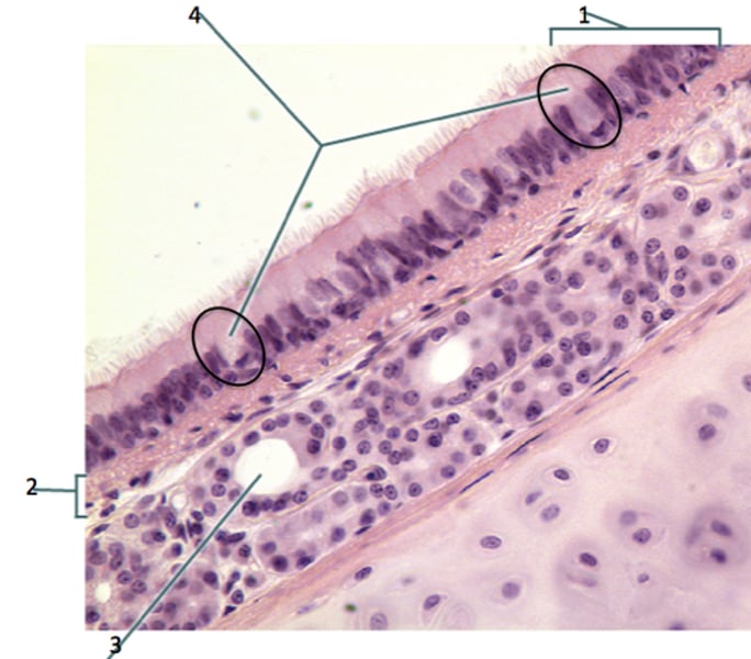
trachea

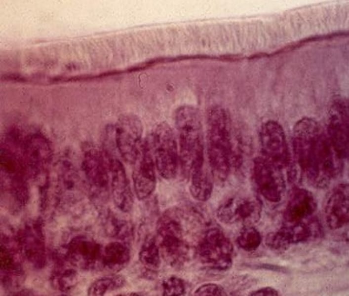
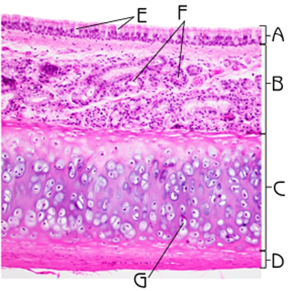
pseudostratified ciliated columnar epithelium (Trachea)

hyaline cartilage (trachea)
(C)

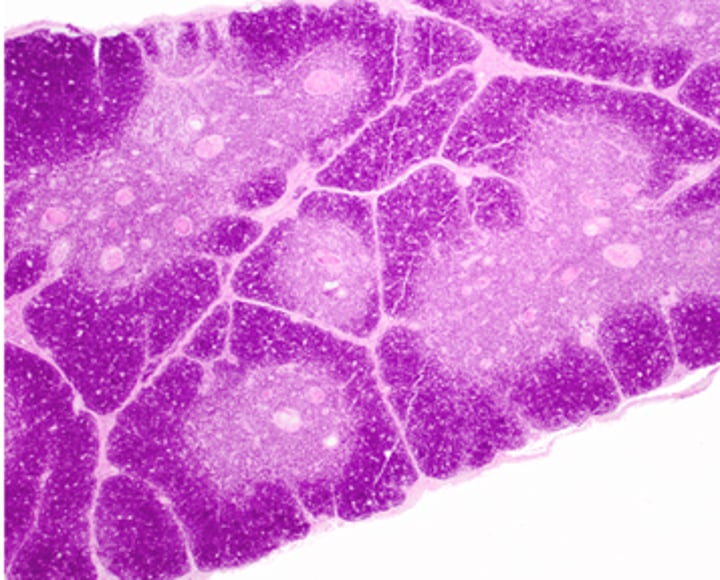
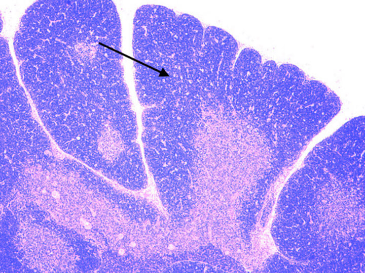
thymus

septa (thymus)
(B)

cortex (thymus)

Medulla (thymus)
(A)

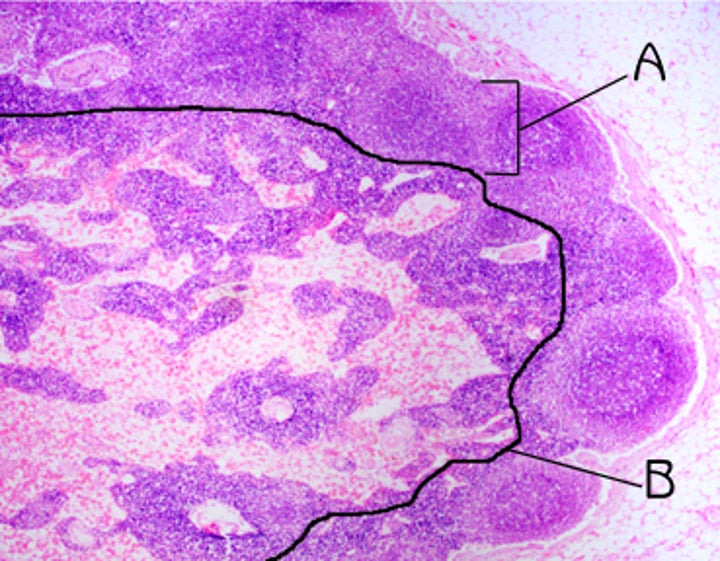
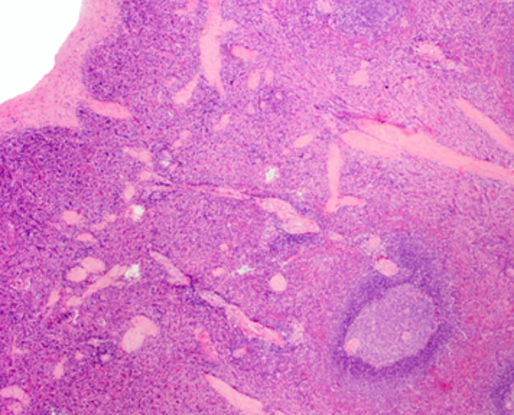
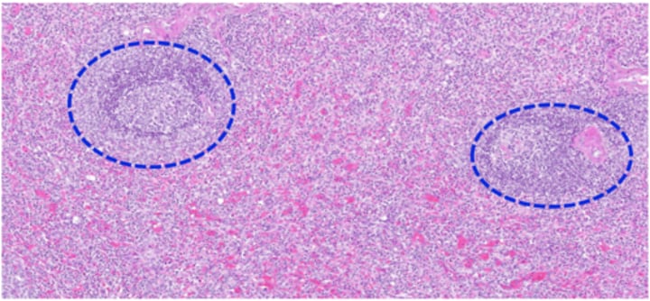
Lymph Node

spleen

white pulp (spleen)

red pulp (spleen)
(D)

Peyer's Patch

Palatine Tonsil

lymph nodes

lymph vessels

spleen

right lung

superior lobe (right lung)
(1)

middle lobe (right lung)
(2)

inferior lobe (right lung)
(3)

horizontal fissure (right lung)

oblique fissure (right lung)

apex (right lung)

base (right lung)

left lung

superior lobe (left lung)
(4)

inferior lobe (left lung)
(5)

oblique fissure (left lung)

apex (left lung)

base (left lung)

cardiac notch (left lung)

pulmonary arteries

pulmonary veins

thyroid cartilage

trachea

esophagus

tracheal cartilage

cricoid cartilage

nasopharynx

conchae

oropharynx

Laryngopharnx (hypopharynx)

epiglottis

vocal cords

right main bronchus

right superior lobar bronchus
(B)

right intermediate bronchus

right middle lobar bronchus
(D)

right inferior lobar bronchus
(E)

left main bronchus

left superior lobar bronchus

left inferior lobar bronchus

diaphragm

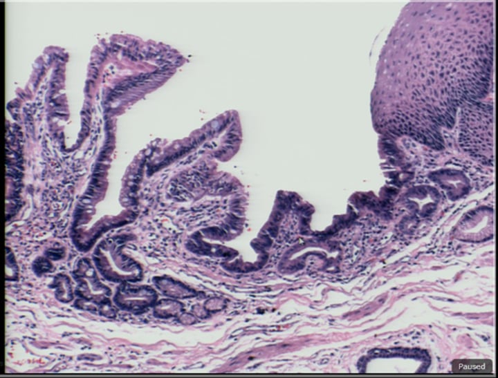
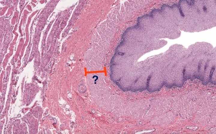
Esophagus

Mucosa of Esophagus

Submucosa of Esophagus

Muscularis Externa circular muscle of esophagus
(F)

muscularis externa longitudinal muscle of esophagus
(G)

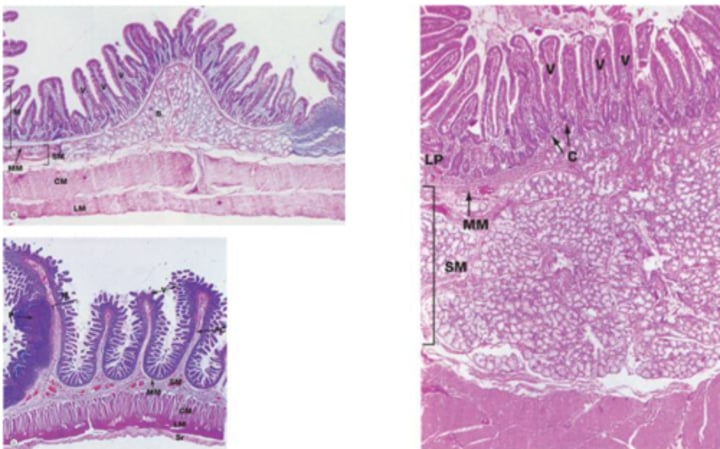
small intestine

microvilli of small intestine
(V)

liver

lobule of liver

central vein of liver

central incisor

lateral incisor

canine (cuspid)

pre-molars (bicuspids)

Molars

stomach

lower esophageal sphincter (stomach)

greater curvature of stomach

lesser curvature of stomach

cardia of stomach

fundus of stomach

body of stomach

pylorus of stomach

pyloric sphincter of stomach

rugae of stomach

greater omentum

liver

quadrate lobe of liver

caudate lobe of liver

left lobe of liver

right lobe of liver

gall bladder

cystic duct

common bile duct

pancreas
(B)

pancreatic duct

small intestine

duodenum

jejunum

ileum

large intestine

appendix

cecum

ascending colon
