1/19
Looks like no tags are added yet.
Name | Mastery | Learn | Test | Matching | Spaced | Call with Kai |
|---|
No study sessions yet.

THE PROCESSING ERROR DEPICTED IN THE PICTURE CAN BE DESCRIBED AS WHAT? THE CAUSE WAS DUE TO:
DARK AREA ON FILM
FILM EXPOSURE TO LIGHT BEFORE BEING PLACED IN PROCESSING SOLUTION

THE PROCESSING ERROR DEPICTED IN THE PICTURE CAN BE DESCRIBED AS WHAT? THE CAUSE WAS DUE TO:
FINGERPRINTS
HANDLING FILMS BY ITS EDGES UNTIL PROCESSING IS COMPLETE

THE PROCESSING ERROR DEPICTED IN THE PICTURE CAN BE DESCRIBED AS WHAT? THE CAUSE WAS DUE TO:
SCRATCHED FILM
DEVELOPER SOFTEN THE EMULSION, LEAVING IT SCRATCHED AND CAREFUL HANDLING, ESPECIALLY BEFORE FIXING, WILL PREVENT SCRATCHES

THE PROCESSING ERROR DEPICTED IN THE PICTURE CAN BE DESCRIBED AS WHAT? THE CAUSE WAS DUE TO:
STATIC ELECTRICITY
REMOVING FILM TO QUICKLY FROM PACKET

THE PROCESSING ERROR DEPICTED IN THE PICTURE CAN BE DESCRIBED AS WHAT? THE CAUSE WAS DUE TO:
CLEAR FILM
ACCIDENTALLY POURING FIXER INTO DEVELOPER TANK AND DEVELOPER INTO FIXER TANK. FILMS PASS THROUGH THE FIXER FIRST, THEN DEVELOP. TURNS CLEAR

THE PROCESSING ERROR DEPICTED IN THE PICTURE CAN BE DESCRIBED AS WHAT? THE CAUSE WAS DUE TO:
WHITE FIXER SPOTS
FILM SPLASHED WITH FIXER BEFORE PRECESSING (DEVELOPER)

THE PROCESSING ERROR DEPICTED IN THE PICTURE CAN BE DESCRIBED AS WHAT? THE CAUSE WAS DUE TO:
DEVELOPER CUT OFF
NOT ENOUGH DEVELOPER IN THE TANK. SOLUTION ONLY COVERS HALF THE FILM. RESULTS IN A STRAIGHT WHITE BORDER

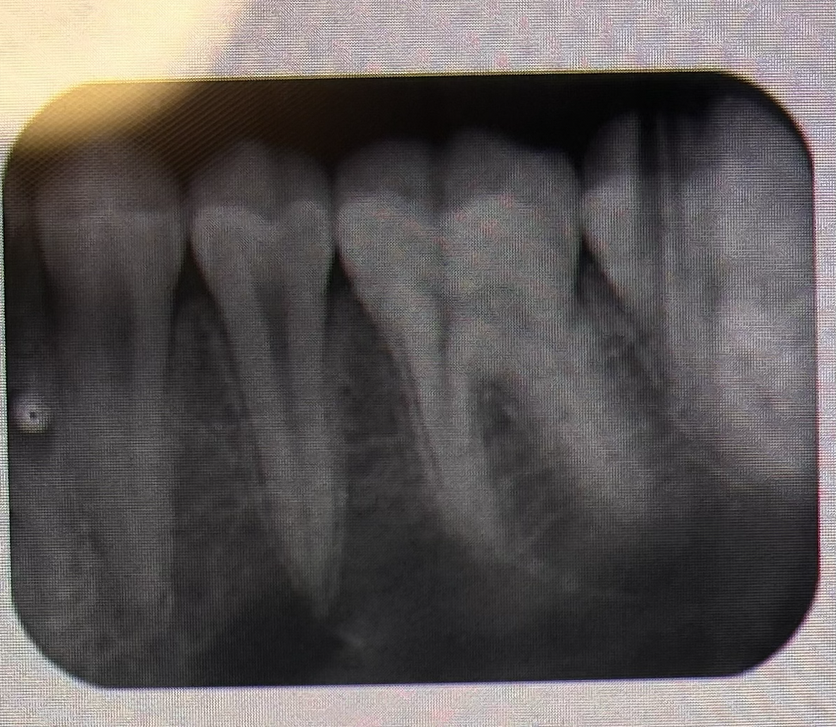
THE PROCESSING ERROR DEPICTED IN THE PICTURE CAN BE DESCRIBED AS WHAT? THE CAUSE WAS DUE TO:
ROLLER MARKS
FROM DIRTY ROLLERS ON AUTOMATIC PROCESSORS

THE PROCESSING ERROR DEPICTED IN THE PICTURE CAN BE DESCRIBED AS WHAT? THE CAUSE WAS DUE TO:
FIXER CUT-OFF
NOT ENOUGH FIXER IN TANK. SOLUTION ONLY COVERS HALF OF THE FILM. RESULTS IN A STRAIGHT BLACK BORDER

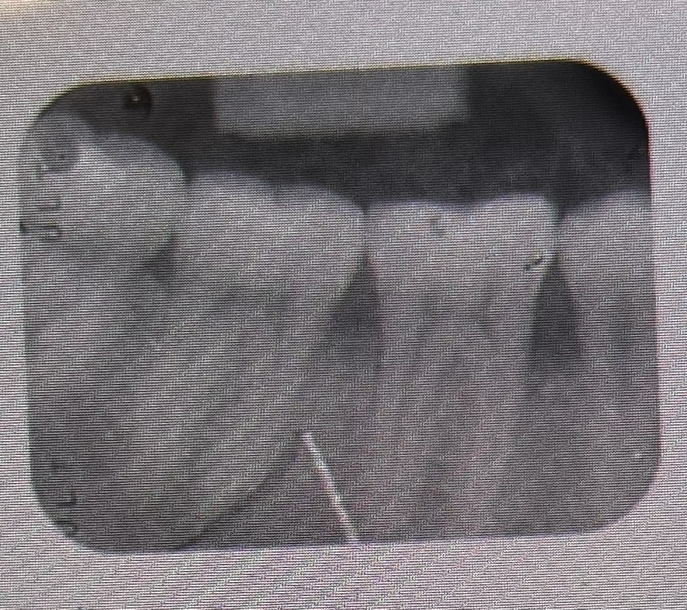
THE PROCESSING ERROR DEPICTED IN THE PICTURE CAN BE DESCRIBED AS WHAT? THE CAUSE WAS DUE TO:
2 OVERLAPPING FILMS
FILMS STUCK TOGETHER DURING PROCESSING

THE PROCESSING ERROR DEPICTED IN THE PICTURE CAN BE DESCRIBED AS WHAT? THE CAUSE WAS DUE TO:
OVERDEVELOPED FILM
DEVELOPING SOLUTION IS NORMALLY 81-83 DEGREES FERINHET. IF IT GETS TO HOT, FILM WILL LOOK DARK OR BLACK

THE PROCESSING ERROR DEPICTED IN THE PICTURE CAN BE DESCRIBED AS WHAT? THE CAUSE WAS DUE TO:
RETICULATION
SUDDEN TEMPERATURE CHANGE BETWEEN DEVELOPER AND WATER BATH WILL RESULT IN ETICULATION OF THE FILM EMULSION

THE PROCESSING ERROR DEPICTED IN THE PICTURE CAN BE DESCRIBED AS WHAT? THE CAUSE WAS DUE TO:
EXHAUSTED DEVELOPER
THE DEVELOPER SOLUTION IS TO WEAK RESULTING IN THE FILM TO BE LIGHTER THAN NORMAL

THE PROCESSING ERROR DEPICTED IN THE PICTURE CAN BE DESCRIBED AS WHAT? THE CAUSE WAS DUE TO:
BROWN STAIN ON FILM
FIXER SOLUTION TOO OLD, CHEMICALS EXHAUSTED OR INADEQUATE WASHING WITH WATER
WHICH OF THE FOLLOWING FACTORS WILL AFFECT THE LIFE OF THE PROCESSING SOLUTIONS
NUMBER OF FILMS PROCESSED
TIME ELAPSED SINCE LAST CHANGE
SIZE OF FILMS PROCESSED
DIGITAL IMAGES ARE NOT RADIOGRAPHS, THEY ARE:
ELECTRONIC SIGNALS
CAPTURED BY SENSORS
DISPLAYED ON A MONITOR
CAN BE PRINTED
EMAILED TO INSURANCE COMPANIES OR OTHER DENTIST
WHAT ARE THE 2 BASIC METHODS OF ACQUIRING DIGITAL X-RAY IMAGES?
DIRECT IMAGING
IN DIRECT IMAGING
IN DIRECT IMAGING, THE CCD (CHARGED COUPLED DEVICE) FOUND IN DIRECT DIGITAL IMAGING SENORS IS MADE OF WHAT?
SILICON
BARRIERS ARE USED ON CCD’S (CHARGED COUPLED DEVICE) AND PSP’S (PHOSPHOR STORAGE PLATE) BECAUSE DIGITAL SENSORS ARE NOT WHAT?
DISPOSABLE
AUTOCLAVE ABLE
Digitizing film-based radiographs is similar to placing film on a duplicator light box. This type of indirect imaging is slightly less ___ than __.
DETAILED
DIRECT IMAGING