Microbio LAB (8.1 and 8.2) Parasitology 1-3

0.0(0)
studied byStudied by 0 people
full-widthCall with Kai
GameKnowt Play
learnLearn
examPractice Test
spaced repetitionSpaced Repetition
heart puzzleMatch
flashcardsFlashcards
Card Sorting

1/54

encourage image

There's no tags or description

Looks like no tags are added yet.

Study Analytics
Name
Mastery
Learn
Test
Matching
Spaced

No study sessions yet.

55 Terms

1
New cards

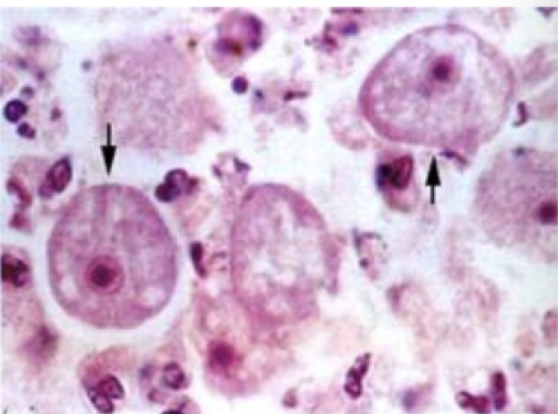
Entamoeba histolytica

Motility: pseudopod

Mode of transmission: fecal-oral

Infective stage: cyst

disease: amebiasis

parts to look for

  • central karyosome

  • bullseye nucleus

  • consumes red blood cells

  • look for RBCs inside organism

  • can eat through lining of GI tract and kill host

2
New cards

Entamoeba histolytica

3
New cards

Naegleria fowleri

Motility: pseudopod

Mode of transmission: travels up the nose

  • water enters the nose of an organism then travels up olfactory nerve to the brain

Infective stage: trophozoite

disease: primary amoebic meningoencephalitis (PAM)

parts to look for

  • large karyosome that take up whole nucleus

4
New cards

Naegleria fowleri

5
New cards

Acanthamoeba spp.

Motility: pseudopod

Mode of transmission: contaminated water or soil contact

Infective stage: trophozoite or cyst

disease: keratitis (eye), amebic encephalitis

parts to look for

  • karyosome takes up half of the nucleus

6
New cards

Acanthamoeba spp.

7
New cards

Balantidium coli

Motility: cilia

Mode of transmission: fecal-oral

Infective stage: cyst

disease: Balantidiasis

  • also, may people go asymptomatic

parts to look for

  • large kidney bean shaped nucleus

8
New cards

Balantidium coli

9
New cards

giardia lamblia

Motility: flagella

Mode of transmission: fecal-oral

Infective stage: cyst

disease: Giardiasis “Hikers’ diarrhea”

parts to look for

  • symmetrical heart shape

  • flagella

  • two nuclei

  • organelles positioned in such a way that it resembles a face

10
New cards

giardia lamblia

<p></p>
11
New cards

Trichomonas vaginalis

Motility: flagella

Mode of transmission: sexual intercourse

Infective stage: trophozoite

disease: Trichomoniasis

  • male: usually asynptomatic

  • female: vaginal discharge

parts to look for

  • pear shaped

  • undulating membrane

  • flagella

  • axostyle

12
New cards

Trichomonas vaginalis

<p></p>
13
New cards

Trypanosoma brucei

motility: flagella

mode of transmission: bite from tsetse fly

infective stage: trypanomastigtoe

Host: Tsetse fly —> human

ideas; African Sleeping sickness

14
New cards

Trypanosoma brucei

15
New cards

Trypanosoma cruzi

motility: flagella

mode of transmission: bite from kissing bug

infective stage: trypomastigote

Host: kissing bug —> human

Disease: Chaga’s disease

16
New cards

Trypanosoma cruzi

17
New cards

Leishmania donovani

motility: flagella

mode of transmission: bite from sand fly

infective stage: promastigote

Host: sand fly —> human

disease: Leishmaniasis

18
New cards

Leishmania donovani

19
New cards

Cryptosporidium parvum

motility: none

mode of transmission: females oral, ingestion of oocyst

infective stage: oocyst

host: humans and other animals

disease: cryptosporidiosis

20
New cards

Cryptosporidium parvum

21
New cards

toxoplasma gondii

motility: none

mode of transmission: ingestion of oocyst

infective stage: oocyst

host: feline —> rodent, bird, human

disease: toxoplasmosis

22
New cards

toxoplasma gondii

23
New cards

plasmodium species

motility: none

mode of transmission: bite from female anopheles mosquito

infective stage: sporozoite

host: female anopheles mojito —> human

disease: malaria

24
New cards

plasmodium species

25
New cards

Specimen collection Principles

Use aseptic technique, sterile containers, and label everything properly

collect before starting antimicrobial therapy

adequate amount of material must be collected

blood cultures: require 6-8 samples

sputum samples: 2 per day for 3 days

26
New cards

transport media

keeps bacteria alive until it can be cultured in the lab

  • prevents normal flora from overgrowing the pathogen

  • prevents the specimen form drying out

ex: vials for tissue samples and scrapings, stool, and urine samples

27
New cards

urine culture colony counts

when performing a urine colony count both the number (quantitative) of cells and the type (qualitative) of bacteria growing is important

28
New cards

Clean catch and Midstream method

the correct way to perform a urinalysis

1) use a sterile container, clean outer urethral orifice, catch urine midstream

2) Urinalysis- Qualitative and Quantitative

  • determine the identify of the bacterial infection

29
New cards

Qualitative urinalysis

most UTI’s are caused by E. coli

specialized media can be used to culture urine

  • MacConkey’s Agar: pink/ purple color

  • Eosin Methylene Blue Agar: metallic green

  • Chromagar: varies

  • CLED: highlighter green

30
New cards

Quantitative urinalysis

use a calibrated loop (0.001mL)

streak plate an dincubate

count colonies

determine number of microbes per mL

  • 1,000 (dilution factor) x number of colonies = microbes/mL

determine clinical significance

ex: 40 colonies x 1000 = 40,000 microbes/ mL of urine

31
New cards

Quantitative Urinalysis Chart

knowt flashcard image
32
New cards

Throat culture

1) swab throat (tongue depressor to only get desired region)

2) process swab

  • direct culture: sample is placed on growth media (small private practice)

  • transport media: swab is taken form patient to lab (big hospital)

3) streak on blood agar

  • positive result= beta hemolysis caused by streptococcus pyogenes

33
New cards

Enterotube II

multitest media system that identifies Gram Negative rods int he family Enterobacteriaceae

12 compartments that perform 15 biochemical tests

oxidase test used to differentiate organisms in the family Enterobacteriaceae (Oxidase Negative- from Pseudomonadaceae (Oxidase Positive)

34
New cards

Round worms

cylindrical, non-segmented worms

sex organs on separate worms

no hooks or suckers to attach to host

inhabit the intestinal tract, blood, organs, tissues

35
New cards

flat worms

flat body shape

may be hermaphrodites

have hooks/ suckers to attach to host

inhabit intestinal tract, blood, organ tissues

36
New cards

Ascaris lumbricoides

Mode of transmission: ingestions of ova/ egg

infective stage: egg

host: human

Disease: Ascaris or Ascariasis

37
New cards

Ascaris lumbricoides

knowt flashcard image
38
New cards

Enterobius vermicularis

Mode of transmission: ingestions of ova/ egg

infective stage: egg

host: human

Disease: Pinworm

39
New cards

Enterobius vermicularis

knowt flashcard image
40
New cards

Trichuris trichiura

Mode of transmission: ingestions of ova/ egg

infective stage: egg

host: human

Disease: Whipworm

41
New cards

Trichuris trichiura

knowt flashcard image
42
New cards

Necator americanus

Mode of transmission: larvae penetrate skin

infective stage: larvae

host: human

Disease: hookworm

43
New cards

Necator americanus

knowt flashcard image
44
New cards

Anisakis simplex

Mode of transmission: eat uncooked infected fish

infective stage: larvae

host: marine mammal —> human, fish, squid

Disease: Anisakiasis

45
New cards

Anisakis simplex

knowt flashcard image
46
New cards

Trichinella spiralis

Mode of transmission: eat pork with encysted larvae

infective stage: encysted larvae

host: pig —> human

Disease: trichinosis

47
New cards

Trichinella spiralis

knowt flashcard image
48
New cards

Loa loa

Mode of transmission: bite from mango fly

infective stage: microfilariae

host: mango fly —> human

vector: mango fly

Disease: African Eye worm

49
New cards

loa loa

knowt flashcard image
50
New cards

Wuchereria bancrofti

Mode of transmission: mosquito bite

infective stage: microfilariae

host: mosquito —> human

Vector: Mosquito

Disease: Elephantiasis

51
New cards

Wuchereria bancrofti

knowt flashcard image
52
New cards

Onchocerca volvulus

Mode of transmission: bite form black fly

infective stage: microfilariae

host: black fly —> human

vector: black fly

Disease: river blindness

53
New cards

Onchocerca volvulus

knowt flashcard image
54
New cards

Dracunculus medinensis

Mode of transmission: drinking water with cyclops

infective stage: larvae (inside the cyclops)

host: cyclops —> human

vector: cyclops

Disease: guinea worm

55
New cards

Dracunculus medinensis

knowt flashcard image