1/34
Looks like no tags are added yet.
Name | Mastery | Learn | Test | Matching | Spaced |
|---|
No study sessions yet.
PA oblique thumb

AP thumb

Lateral Thumb

AP axial thumb

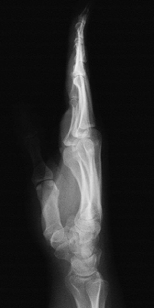
PA 4th digit

PA oblique 4th digit

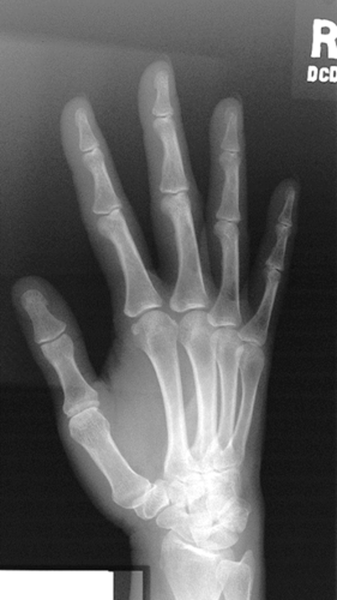
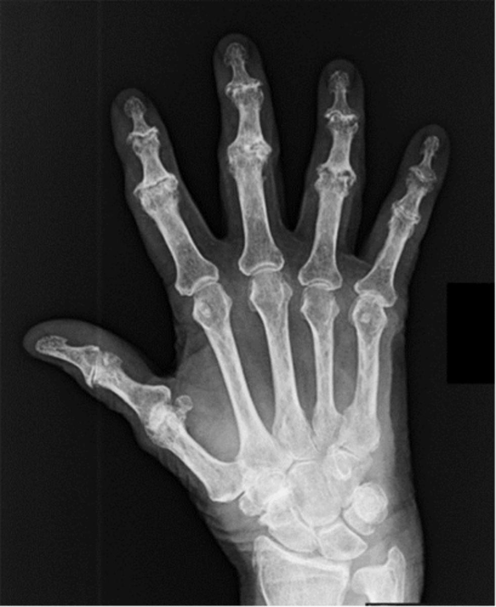
PA hand

PA oblique hand

lateral hand (extension)

Fan lateral hand

Ap oplique Bilateral hands

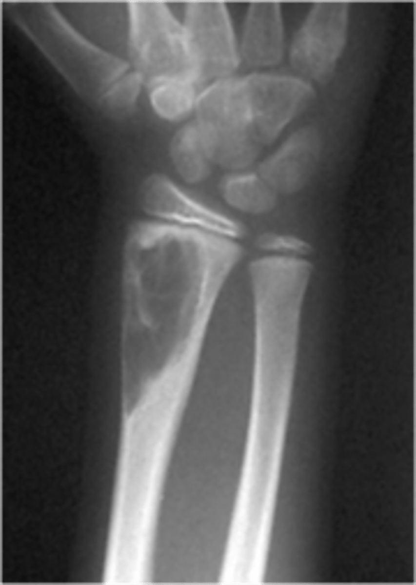
PA Wrist

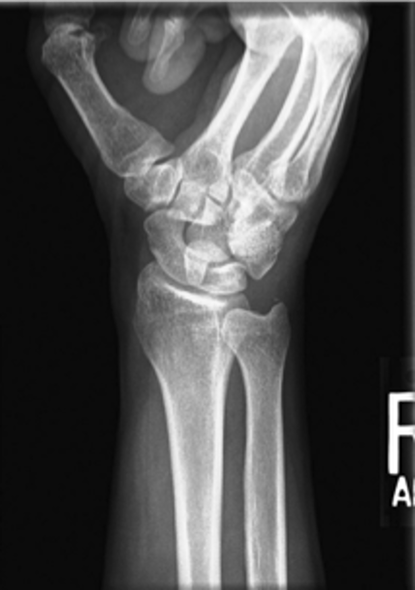
PA Oblique Wrist

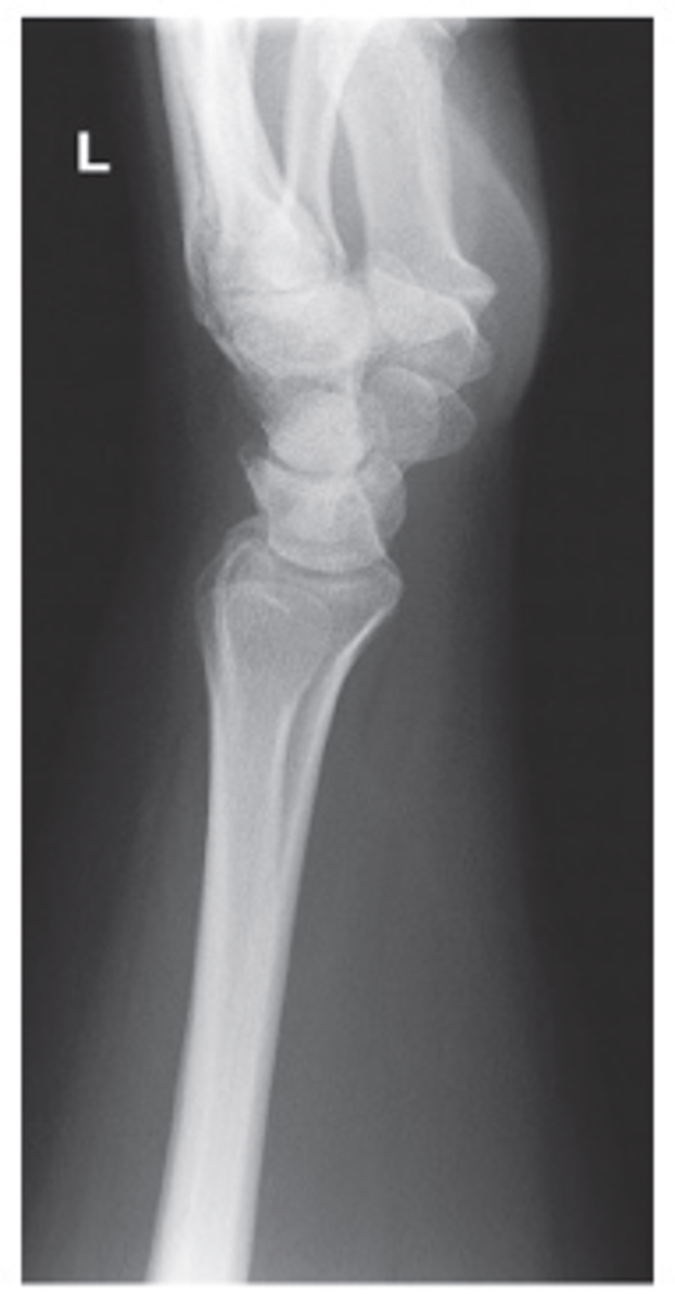
Lateral wrist

PA Axial Scaphoid

PA scaphoid modified stretcher

Tangential inferior superior carpal canal hand

AP forearm

Lateral forearm

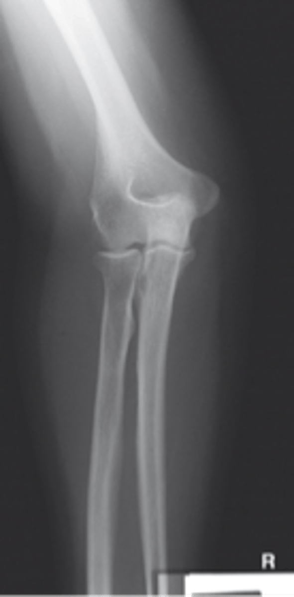
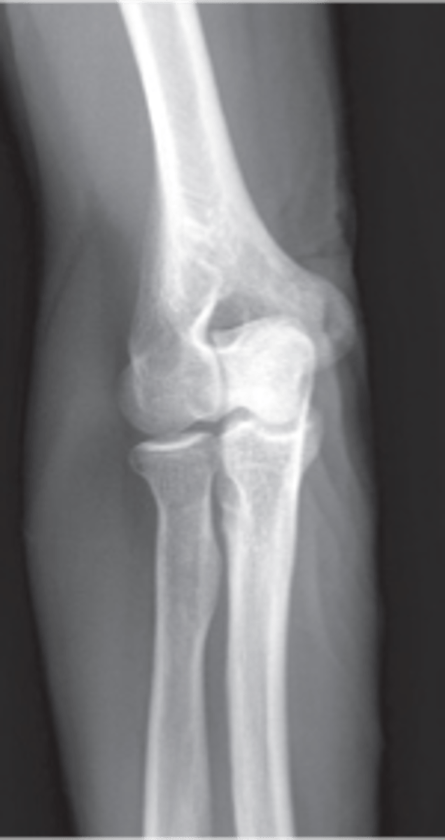
AP Elbow

AP elbow humerus parallel

AP elbow forearm parallel

AP Lateral (External) Oblique Elbow

AP medial (internal) oblique elbow

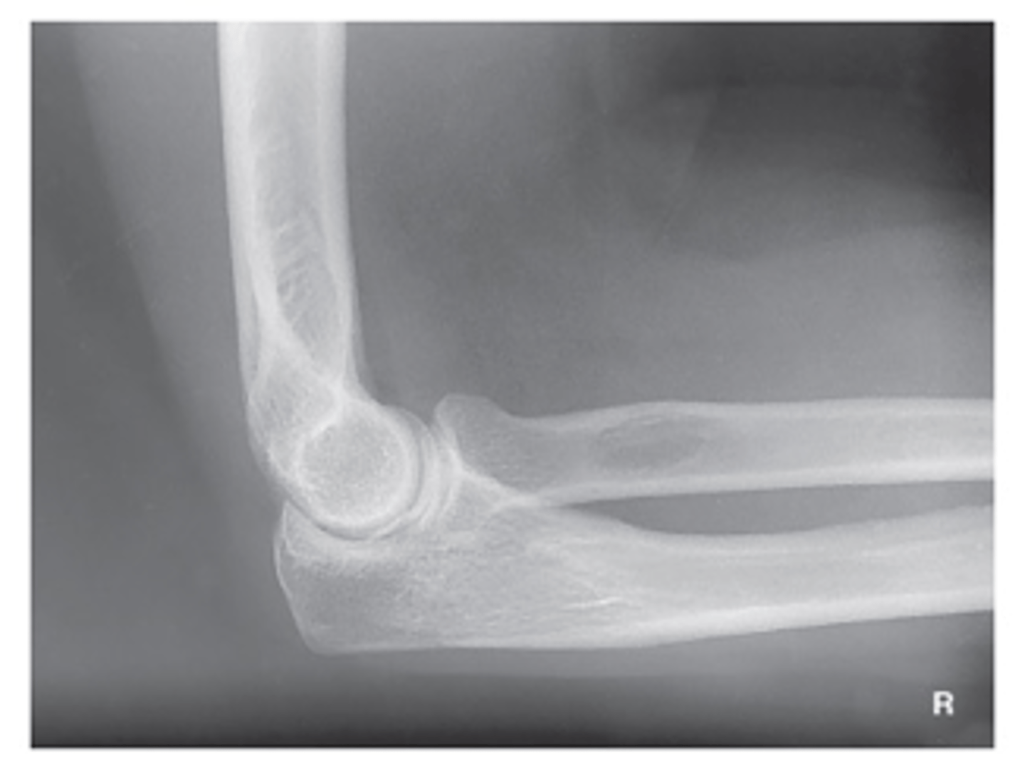
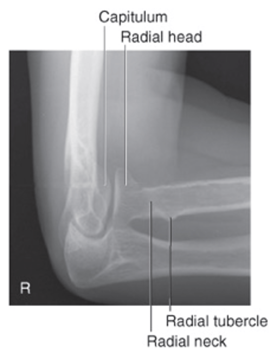
Lateral Elbow

Axial lateromedial for coronoid process elbow

Axial lateromedial for radial head elbow

fracture

Dislocation

osteoarthrosis

Bursitis (calcifications in associated tendons)

Osteoporosis

Bone tumors

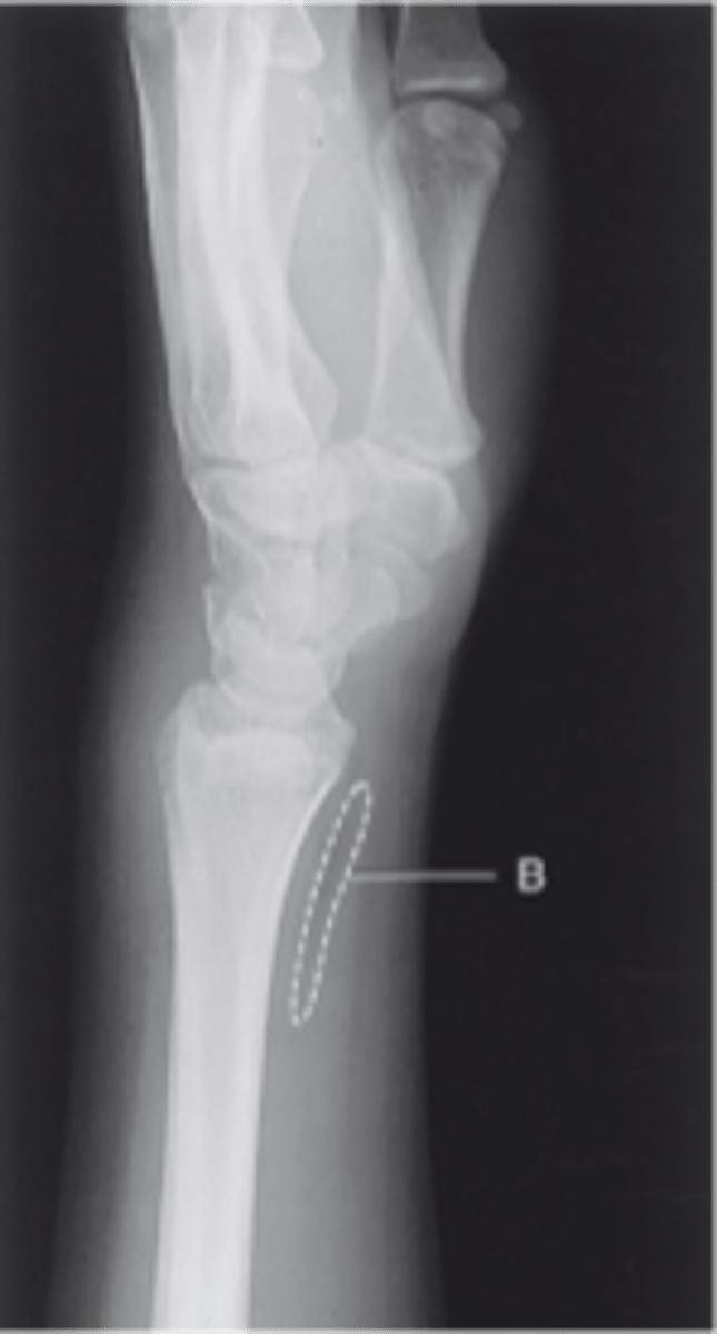
scaphoid fat pad

pronator fat stripe
