1/121
Looks like no tags are added yet.
Name | Mastery | Learn | Test | Matching | Spaced | Call with Kai |
|---|
No analytics yet
Send a link to your students to track their progress

Différentiel des pseudo-inclusions nucléaires
• Papillary thyroid carcinoma
• Medullary thyroid carcinoma
• Melanoma
• Liver (benign and malignant hepatocytes)
• Meningioma
• Lung adenocarcinoma
Différentiel d’un cytoplasme granulaire
• Granular cell tumor (lysosomes)
• Acinar cell carcinoma (zymogens)
• Oncocytic/Hürthle cell neoplasms (mitochondria)
• Neuroendocrine tumors (neurosecretory granules) •
Hepatocytes/tumors
• Melanoma (melanosomes)
• Adrenal cortical/tumors
• Leydig cells/tumors


Différentiel d’un pattern “tigroid”
• Seminoma/Dysgerminoma (most classic!)
• Clear cell renal cell carcinoma
• Ewing sarcoma/PNET
• Other glycogen-rich tumors

Différentiel corps psammeux
Papillary thyroid carcinoma
• Serous ovarian tumors
• Mesothelioma
• Papillary renal cell carcinoma
• Meningioma
• Somatostatinoma (duodenum)
• Prolactinoma (pituitary)
• Lung micropapillary adenocarcinoma
Endosalpingiosis
Hyperplasie mésothéliale
Adénofibrome séreux
Adéquation cyto gynéco (thinprep)
à peu près 3 cellules par HPF
5000 cellules en milieu liquide
8000 à 12000 en smear
Classification pour le col
Nom
Catégories
Bethesda
- NEGATIVE FOR INTRAEPITHELIAL LESION OR MALIGNANCY (NILM)
- SQUAMOUS CELL LESIONS
o Atypical squamous cells (ASC)
o Of undetermined significance (ASC-US)
o Cannot exclude HSIL (ASC-H)
o Low-grade squamous intraepithelial lesion (LSIL)
o High-grade squamous intraepithelial lesion (HSIL)
o Squamous cell carcinoma
- GLANDULAR CELL LESIONS
o Atypical glandular cells (AGC)
o Atypical glandular cells favors neoplasia (AGC)
o Endocervical carcinoma In situ (AIS)
o Adenocarcinoma
Quand retrouve t on des cellules endométriales dans des situations physiologiques
<12 jours chez femme préménopausée
A reporter si femme plus de 45 ans

1) Diagnostic
2) Associé à quel autre organisme
1) Trichomonas
2) Leptothrix


Diagnostic
Candida albicans

frottis, diagnostic
effet DIU
1) cellules larges vacuolisées, pseudo-signet ring (photos)
2)
Petites cellules à gros noyau
chromatine fine (DD HSIL)

Quels sont les HPV haut risque
16, 18, 31, 33, 45, 52, 56
HPV bas risque
6 et 11
Critères CIN1
Obligatoires
Cellule mature (cytoplasme abondant)
Noyau 3x plus grande que cellule intermédiaire
Atypies nucléaires
Noyaux irréguliers
Hyperchromasie
Chromatine grossière
Optionnels
Halo périnucléaire
Binucléation
Contours nets

Femme de 40 ans, frottis cervical
1) Diagnostic
2) Caractéristiques cliniques
3) Cytomorphologie
Différenciation
Noyaux
Autres
4)
DD importants
1) Adenocarcinome in situ (AIS)
2) femme d’environ 40 ans
3)
Différenciation glandulaire
Feathering (aile et plumes)
Cylindrique
Organisation en picket fence
Rosettes
Noyaux
Hyperchromes
Serrés
Cigar-like
Pas de nucléoles
Apoptoses fréquentes
Associé à SIL
4)
HSIL
Métaplasie tubaire
Emdomètre exfolié

1) Proporations de diagnostiques de
ASCUS
ASCH
2) Risque d’un HSI pour ASCUS et ASCH
3) prise. en charge pour ASCUS et ASCH
1)
5%
0,5%
2)
2-10%
50%
3)
ASCUS = test HPV
si positif = recontrôle à 1 an et si persistant = colposcopie
si négatif = screening habituel
ASCH = colposcopie directe

Patiente de 50 ans, frottis cervical
1) Diagnostic
2) critères
1) Adenocarcinome cervical
2)
Même que AIS avec
Macro-nucléoles
Diathèse tumorale
Chromatine très irrégulière
Cellules isolées

femme post ménopausique, frottis cervical
1) Diagnostic
2) Cytomorphologie
Architecture
Noyaux
Autres
1) Adenocarcinome endmétrial
Sphères, petits amams
Macronucléoles, hyperchromasie, cytoplasme vacuolisé
Bags of polys, diathèse tumorale

Frottis : Grandes cellules matures avec halo périnucléaire net et hyperchromasie modérée.
1) diagnostic principal
2) dd pertinents
3) clés d’exclusion
4) conduite
1) LSIL
2)
Réactionnel (NILM)
ASC-US
3)
Koïlocytes = noyaux agrandis et atypiques ± halo
Halos bénins = pas d’hyperchromasie
ASC-US = pas suffisant quantitativement ou qualitativement
4)
Test HPV.
Si + = contrôle à 1 an, si + = conisation
si - = retour au screening

Frottis : Petites cellules hyperchromatiques à N/C élevé en amas syncytiaux.
1) diagnostic principal
2) dd pertinents
3) clés d’exclusion
4) conduite
1) HSIL
2)
Métaplasie tubaire (cils, terminal bars)
Atrophie
Carcinome épidermoïde non kératinisant
AIS
3)
HSIL : hyperchromasie marquée + contours irréguliers
Atrophie : noyaux réguliers, chromatine fine
AIS : différenciation glandulaire (feathering, rosettes)
Carcinome épidermoïde non kératinisant : parfois impossible à distinguer
4) Colposcopie obligatoire.

Diathèse tumorale, atypies importantes nucléole proéminent
1) diagnostic principal
2) dd pertinents
3) clés d’exclusion
4) conduite
1) Carcinome épidermoïde
2)
HSIL
Atrophie
Réparation
3)
Nucléole franc, diathèse et cellules en tétard (kératinisant)
Nucléole et diathèse pas vu dans HSIL
4)
Biopsie urgente

Cellules squameuses matures avec atypie nucléaire légère, insuffisante pour LSIL.
1) diagnostic principal
2) dd pertinents
3) clés d’exclusion
4) conduite
5) risque HSIL
1) ASC-US
2)
LSIL débutant
Atrophie
Réparation
3)
LSIL → koïlocytes francs + hyperchromasie
Atrophie → chromatine fine, noyaux réguliers
Réparation → nucléoles + disposition en nappes planes
4)
Test HPV
Si +, contrôle à 1 an, si persistance colposcopie
Si -, retour au screening
5) 5-10%

Petites cellules immatures hyperchromatiques évoquant HSIL mais sans critères complets.
1) diagnostic principal
2) dd pertinents
3) clés d’exclusion
4) conduite
5) risque HSIL
1) ASC-H
2)
HSIL
Métaplasie squameuse atypique
Atrophie sévère
3)
HSIL → hyperchromasie marquée + contours très irréguliers
Métaplasie → atypie légère + chromatine fine
Atrophie → noyaux réguliers, syncytium bien limité
4)
colposcopie immédiate
5)
50%

Hyperchromatic crowded groups avec différenciation glandulaire (rosettes, feathering).
1) diagnostic principal
2) dd pertinents
3) clés d’exclusion
4) conduite
1) AIS
2)
AGC
Adénocarcinome invasif
HSIL
Métaplasie tubaire
3)
AIS = différenciation columnar + feathering ou rosettes
4)
Colposcopie + ECC
Grandes cellules glandulaires atypiques avec nucléoles proéminents ± diathèse tumorale.
1) diagnostic principal
2) dd pertinents
3) clés d’exclusion
4) conduite
1) Adénocarcinome
2)
AIS
AGC
Réaction/réparation
3)
Diathèse tumorale
Nucléoles marqués
Cellules grandes et rondes
Bags of polys
4)
Colposcopie
Biopsie

Cellules endométriales chez patiente de plus de 45 ans
1) comment rapporter
2) différentiel
3) clé diagnostique
4) conduite
1)
Other : cellules endométriales exfoliées
2)
Small blue nuclei
Cervicite folliculaire
Endocervical atrophique écrasé
3)
Présence de cytoplasme et cohésion → endométrial
Cellules nues sans cytoplasme → squameux
4)
Pas biopsie automatique.
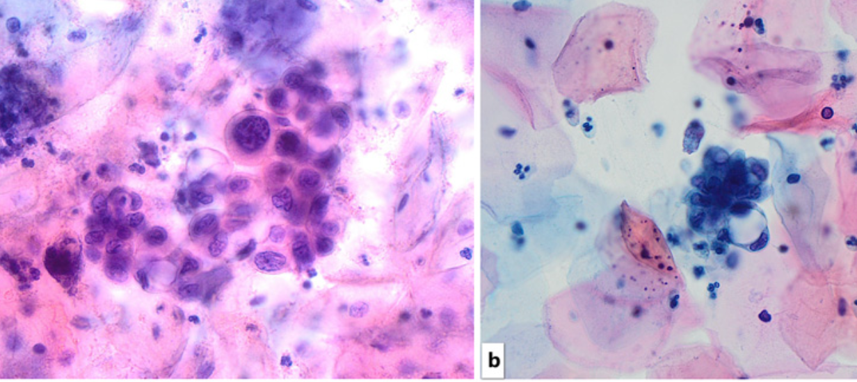
origine de corps psammeux
Carcinome séreux de l’ovaire
Tumeur borderline
trompes
terminologie diagnostique pour cytologie pulmonaire et risque de malignité
- Non diagnostic
- Négatif pour cellules malignes (risque faible)
- Cellules atypiques (risque de malignité à 50%)
- Suspect de malignité (risque de malignité à 80-90%)
- Positif pour cellules malignes (100%)
Cytologie pulmonaire normale
Cellules ciliées
Goblet cells
Cellules basales
Macrophages alvéolaires
Lymphocytes et rares neutrophiles
DD tumeurs malignes associées aux corps psammeux dans un prélèvement pulmonaire
Mésothéliome
Adénocarcinome papillaire
Métastase thyroïde ou ovaire

Comment s’appelle ce phénomène (photo)
Il est associé à quel pathologie
1) Ciliophytopthoria
2) Infection à adenovirus

Lavage broncho-avléolaire
1) Diagnostic
2) Contexte
3) Colorations
1) Pneumocystis Jiroveci
2) Immunosuppression (HIV)
3) Giemsa permet de voir le pneumocystis. On voit que des amas protéinacés au Pap

BAL
Amyloïdose

BAL
Granulomatose avec polyangéite

BAL
Protéinose alvéolaire
Différenciation en cytologie entre adénocarcinome in situ et invasif
impossible

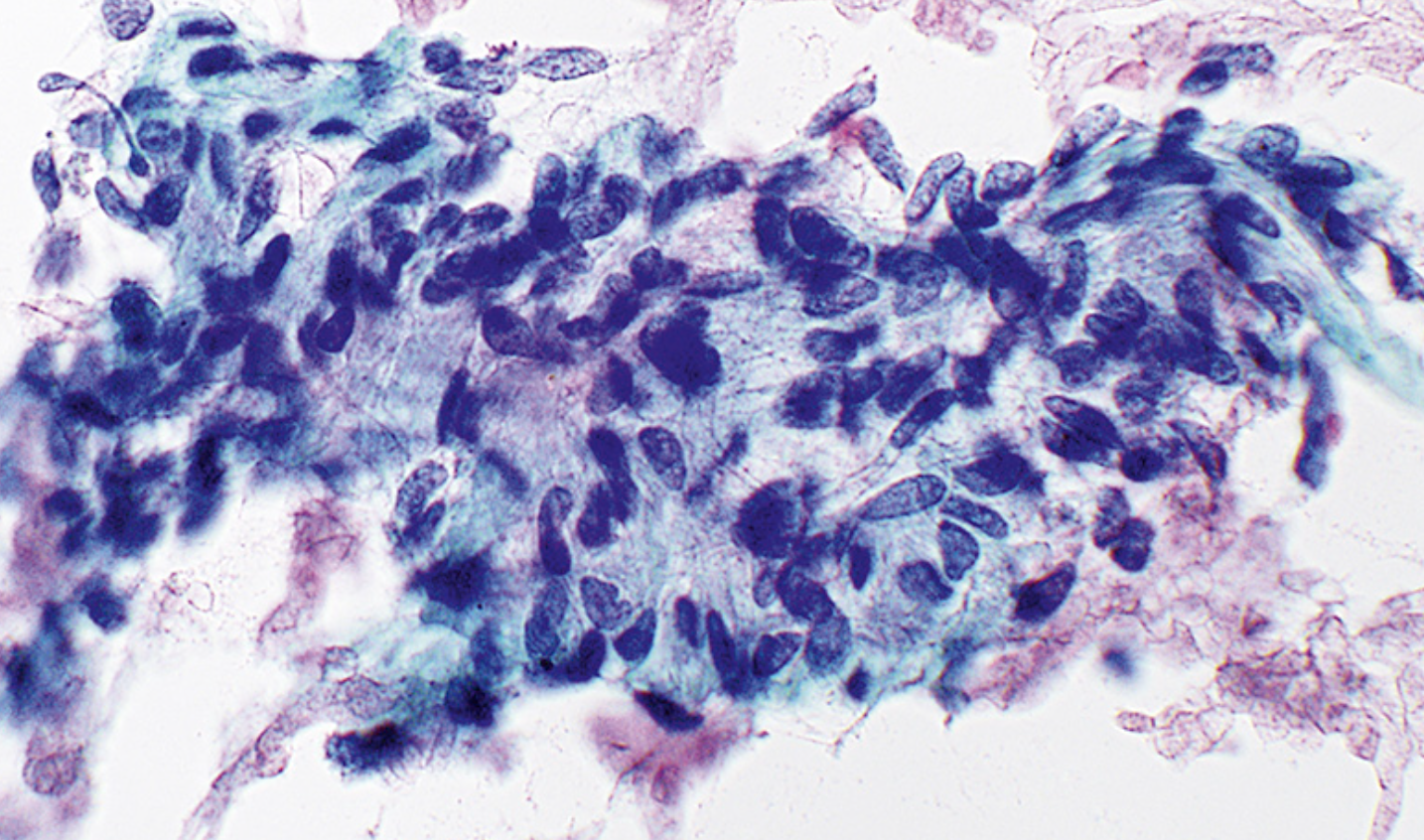
Tumeur des glandes salivaires
1) Diagnostic
2) aspect typique
1) Carcinome adénoïde kystique
2) cellules épithéliales entourant un matériel hyalin

Tumeur du médiastin
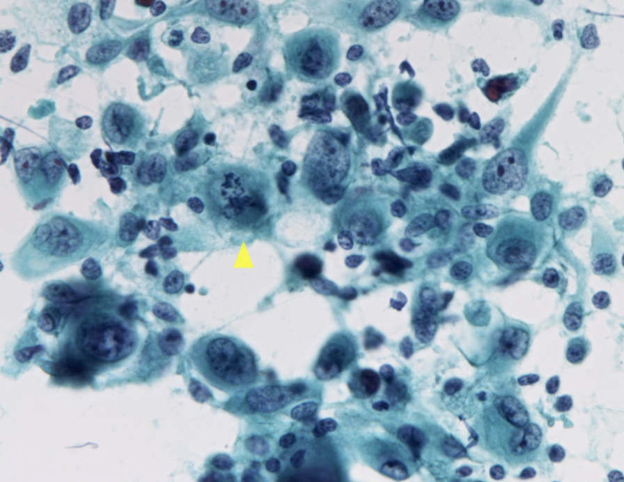
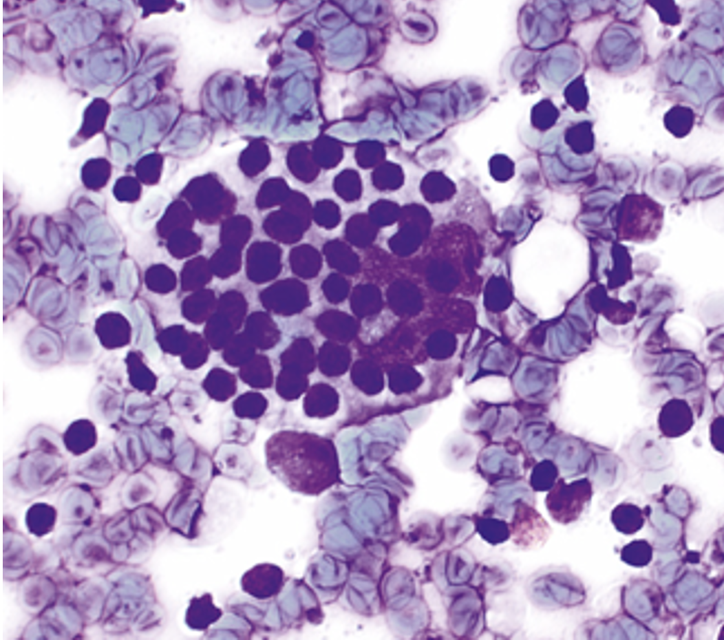
Séminome
Aspect tigroid du fond
Cellules grand nucléolées
Fond lymphocytaire
Noyau glycogénique

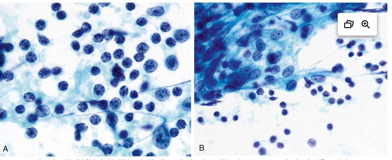
Tumeur du médiastin
Carcinome NUT
- Cellules monomorphes
- Peu cohésives
- Chromatine vésiculeuse
- Cytoplasme scant/modéré
- Aspect “fried egg”
- Infiltrat neutrophilique (distinctif)

Urines
1) Diagnostic
1) BK virus
Question 1 en face d’une cytologie urinaire
Si réponse 1 négative, 2ème question
Si réponse 1 et 2 négatives : conclusion
1) Atypies ?
2) Papilles fibrovasculaires ?
3) Négatif pour carcinome urothélial
Urines : diagnostic cytologique si absence d’atypies mais axes fibrovasculaires
Carcinome urothélial de bas grade

1) Critère obligatoire pour atypies légères selon critères de Paris (uro)
2) Quelle est la conduite devant atypies légères
1) N/C >0,5
+ au moins 1/3 de
Hyperchromasie
Chromatine grossière
Irrégularité membrane nucléaire
2)
Cause identifialbe (inflammation, traitement) = négatif
Pas de causes = Atypique (AUC)

1) Critère obligatoire pour atypies sévères selon critères de Paris (uro)
2) Conduite si atypies sévères
1)
N/C > 0,7
Hyperchromasie
+ ½ des suivants
Chromatine irrégulière
Noyaux irréguliers
2)
Rares cellules (5-10) : suspect pour carcinome urothélial de haut grade
Nombreuses cellules : positif pour carcinome urothélial de haut grade
Immunohistochimie des cellules mésothéliales
WT1
Calrétinine
CK5-6
D2-40
CK7
Catégories diagnostiques pour cytologie mésothéliale (péricarde, plèvre, péritoine)
Négatif pour cellules malignes
Cellules atypiques
Suspect par cellules malignes
Positif pour cellules malignes
IHC méso VS adéno
Méso : Calrétinine, WT1, CK5-6, D2-40
Adéno : Berep-4
Sensitivité de la cytologie des séreuses
Pas très bonne : 58-71%
Morphologie typique des cellules mésothéliales
Halo périphérique
“Windows” intercellulaires
Binucleation possible
Noyau rond

Caractéristique cytologique mésothéliome
Marqueurs spécifiques à l’IHC
Clusters morulaires (“mulberry”)
Cytomégalie
Nucléole proéminent
N/C souvent trompeusement normal
Perte de BAP1 et MTAP

Indication cytologie péritonéale
Staging cancer ovaire, trompes, endomètre
Stade FIGO si cytologie péritonéale + pour cancer de l’ovaire
IC3
Différence entre un carcinome séreux de bas grade/borderline et un haut grade
HGSC :
- Atypie marquée
- Cellules isolées nombreuses
Borderline/LGSC :
- Atypie légère
- Amas cohésifs branchés
- Mitose rare
PAX8 peut être positif dans
Endométriose
Mésothélium bénin
Certains mésothéliomes
Carcinomes müllériens

Cytologie duodénale : diagnostic
Giardia Lamblia

Cytologie duodénale : diagnostic
Microsporidiose

Cytologie duodénale : diagnostic
Cryptosporidiose
Cytologie du sein
1) nom de la classification
2) type de prélèvement
3) qualité
4) catégories
1) Yokohama
2) FNA du sein
3) 7 ou + fragments
20 ou + cellules par fragment
4)
Inadéquat
Bénin
Atypique : confirmer par biopsie
Suspect : confirmer par biopsie
Malin : confirmer par biopsie
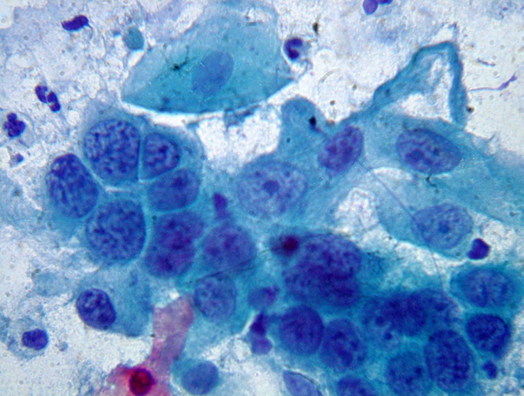
Catégories diagnostiques cytologie thyroïdienne
Nom de la classification et des catégories
risque de malignité
attitude
- Système de Bethesda
- Non diagnostique (1)
o 1-10% risque de malignité
- Bénin (2)
o 3% de risque de malignité
- Atypique (AUS : atypia of undetermined significance/FLUS : folicular lesion of undetermined significance) (3)
o 6-30% de risque de malignité
o Attitude : répéter, moléculaire, lobectomie
- Suspicious for follicular neoplasm (SFN) or follicular neoplasm (FN) specify if Hurtle (4)
o 10-40% de malignité
o Attitude : lobectomie
- Suspect de malignité (5)
o 45-75% de malignité
o Chirurgie
- Malin (6)
o 97 à 99% de risque de malignité
o chirurgie
Critères d’adequacy pour la thyroide et exceptions
- Plus de 6 groupes de cellules folliculaires avec 10 cellules par groupe
- Exceptions :
o Colloide abondante = nodule colloidien
o Inflammation abondante
o Atypie

Nodule thyroïdien.
1) Diagnostic cytologique selon bethesda
2) terme diagnostic
3) entités histologiques possibles
4) Cytologie
5) DD carcinome folliculaire
1) Bénin, Bethesda II
2) nodule folliculaire bénin
3)
Adénome folliculaire
Nodule adénomatoïde
Goitre multinodulaire
4)
Cellules folliculaires (macrofollicules>microfollicules)
Colloïde
Cellules de Hurtle
Macrophages
5)
Plus de microfollicules

1) Diagnostic cytologique bethesda
2) Diagnostic
1) Bénin = bethesda 2
2) Thyroïdite de Hashimoto

1) Diagnostic cytologique bethesda
2) Diagnostic
1) Bénin = bethesda 2
2) Thyroïdite de De Quervain (thyroidite granulomateuse)

1) Diagnostic cytologique bethesda
2) Diagnostic
1) Bénin = bethesda 2
2) Maladie de Graves Basedow
Un goitre amyloïde doit faire penser à quelle entité
Carcinome médullaire
Définition microfollicule
Moins de15 cellules arrangées en cercle qui est au moins complet à 2/3 de sa cirfconférence.

1) Diagnostic cytologique bethesda
1) Néoplasie folliculaire = bethesda IV

1) Diagnostic cytologique bethesda
1) Néoplasie folliculaire de type Hurthle cell type

1) Diagnostic cytologique bethesda
2) Diagnostic histologique
1) Bethesda VI : malin
2) Carcinome papillaire

1) Diagnostic cytologique bethesda
2) Diagnostic histologique
1) Bethesda VI : malin
2) Carcinome anaplasique
Système de classification de la cytologie des glandes salivaires et % de malignité selon les catégories
1) non de la classification
2) catégories + malignité
1) classification de Milan
2)
Non diagnostique : 25%
Non néoplasique : 10%
AUS : 20%
Néoplasique bénin 5%
SUMP (potentiel malin indéterminé) : 35%
Suspectde malignité : 60%
Malin : 90%

Cytologie glande salivaire
1) catégorie
2) diagnostic
1) Non néoplasique
2) Lésion lympho-épithéliale bénigne

Cytologie glande salivaire
1) Catégorie
2) Diagnostique possible évoquant cette catégorie
1) AUS
2) Carcinome mucoepidermoïde de bas grade (mucine extracellulaire abondante + atypies faibles)

Cytologie parotide
1) Catégorie selon Milan
2) Diagnostic
1) Bénin
2) Adénome pléomorphe

Cytologie parotide
1) Catégorie selon Milan
2) Diagnostic
1) Bénin
2) tumeur riche en cellules myoépithéliales : DD entre myoépithéliome ou adénome pléomorphe sans échantillonage de la composante épithéliale

Cytologie parotide
1) Catégorie selon Milan
2) Diagnostic
3) pourquoi cette catégorie
1) SUMP
2) adénome à cellules basales (forme membraneuse à droite)
3) impossible à différencier cytologiquement du carcinome à cellules basales. Pleins de DD malins existent (carcinome épidermoïde basaloïde, carcinome adénoïde kystique, carcinome polymorphe etc..)

Cytologie parotide
1) Catégorie selon Milan
2) Diagnostic
1) Bénin
2) Tumeur de Warthin
Différentiel des tumeurs basaloïdes
Sialadénite
Adénome à cellules basales
Carcinome à cellules basales
Carcinome adénoïde kystique
Adénome pléomorphe cellulaire
Métastase d’un carcinome épidermoïde basaloïde
Métastase d’un carcinome basocellulaire
Carcinome polymorphe
Carcinome à petites cellules
Pilomatricome
Diagnostic différentiel des tumeurs oncocytaires
Tumeur de Warthin
Oncocytome
Carcinome muco-épidermoïde warthin like
Adénome pléomorphe
Carcinome à cellules acinaires
Carcinome oncocytaire
Métastase rénale

Cytologie parotide
1) Catégorie selon Milan
2) Diagnostic
1) bénin (éventuellement SUMP)
2) Oncocytome

Cytologie salivaire
1) Catégorie selon Milan
2) Diagnostic
3) catégorie si on retrouve que du mucus
1) Malin
2) Carcninome mucoépidermoide
3) AUS : dd sialadénite vs mucoépidermoïde de bas grade
Cytologie salivaire
1) Catégorie selon Milan
2) Diagnostic
1) Malin
2) Carcinome à cellules acinaires

Cytologie salivaire
1) Catégorie selon Milan
2) Diagnostic
1) Malin
2) carcinome adénoïde kystique

Cytologie salivaire
1) Catégorie selon Milan
2) Diagnostic
1) Malin
2) carcinome des canaux salivaires

Cytologie salivaire
1) Catégorie selon Milan
2) Diagnostic
1) Malin
2) Carcinome sécrétoire
Cytologie salivaire (glandes mineures)
1) Catégorie selon Milan
2) Diagnostic
1) Malin
2) adénocarcinome polymorphe

Cytologie salivaire (glandes mineures)
1) Catégorie selon Milan
2) Diagnostic
1) Malin
2) Carcinome épithelial-myoepithelial
Terminologie diagnostique cytologie ganglions lymphatiques
Pas de terminologie standardisée
Non diagnostic
bénin
atypique
suspect
malin

cytologie ganglion lymphatique
diagnostic
Bartonella

cytologie ganglion lymphatique
diagnostic
Nom donné à ce phénomène (photo)
Rosai-Dorfmann
Empéripolèese

cytologie ganglion lymphatique
diagnostic
Cellules présentes
Elements cellulaires absents
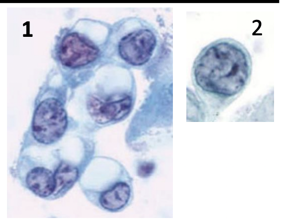
maladie de Kikuchi
Macrophages avec corps tingibles
Pas de neutrophiles ou de plasmocytes
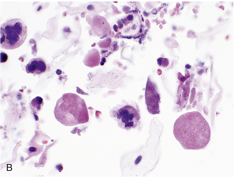
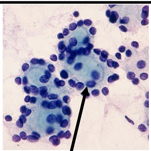
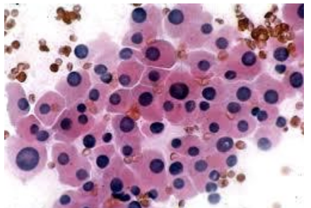
Techniques cytologiques et indications pour la cytologie du pancréas
- FNA
o Percutané
o EUS guidée
- Lésions kystiques
o Prélever liquide
o Moléculaire, cytologie
- Brushing biliaire
o En cas de sténose canalaire, sans masse
- ROSE
o Surtout pour juger de l’adéquation en temps réel

kyste du pancréas
1) diagnostic
2) morphologie
3) biochimie
4) altérations moléculaire
5) risque de malignité
1) pseudokyste
2) nécrose, débris, histiocytes
3)
CEA : variable
Glucose : élevé
Amylase : très élevée
4) aucune
4) aucun

Kyste du pancreas
1) diagnostic
2) morphologie + colorations spéciales
3) biochimie
4) altérations moléculaire
5) risque de malignité
1) Cystadénome séreux
2)
débris, rares cellules cubiques riches en glycogène, paucicellulaire
PAS+, PASD-
3)
CEA : très bas
Glucose : élevé
Amylase bas
4) VHL
5) virtuellement 0%

Kyste du pancreas
1) diagnostic
2) morphologie
3) biochimie
4) altérations moléculaire
5) altérations moléculaire de haut risque
6) risque de malignité
1) IPMN
2) Cellules avec beaucoup de mucine
3)
CEA : élevé
Glucose : bas
Amylase : élevée
4) KRAS, GNAS
5) TP53, SMAD4, CDKN2A, Pik3CA
6) 1 à 85%

Kyste du pancreas
1) diagnostic
2) morphologie
3) biochimie
4) altérations moléculaire
5) altérations moléculaire de haut risque
6) risque de malignité
1) Mucinous cystic neoplasm
2) Mucineux, stroma ovarien
3) tous les marqueurs sont variables
4) KRAS
5) TP53, SMAD4 perte, CDKN2A, Pik3CA, PTEN,
6) 1-34%

Kyste du pancreas
1) diagnostic
2) morphologie
3) biochimie
4) altérations moléculaire
5) risque de malignité
1) néoplasie solide pseudopapillaire
2) hémorragie, cellules dissociées, noyaux indentés
3) variable
4) CTNNB1
5) 10-15%

Kyste du pancreas
1) diagnostic
2) morphologie
3) biochimie
4) altérations moléculaire
5) altérations moléculaire de haut risque
6) risque de malignité
1) NET kystique
2) aspect organoïde, noyaux poivre et sel
3) variable
4) MEN, VHL
5) perte ATRX
6) 5-10%
terminologie diagnostique cytologie du pancreas
1) Nom
2) catégories, entités et risque de malignité
1) Papanicolaou
2)
Non-diagnostique (I) 5-25%
Négatif pour malignité (II) 0-15%
Pancréatite
Atypique (III) 30-40%
Néoplasique (IV) 5-95%
Cystadénome séreux
SPN
NET
Kyste mucineux
Suspect de malignité (V) 80-100%
Malin (VI) 99-100%
Carcinome ductal
Caricnome acinaire
Lymphome
Métastase
Carcinome neuroendocrine

1) terminologie papanicolaou
2) diagnostic
3) critères
4) situations à haut risque de faux+
1) Malin, VI
2) Adénocarcinome ductulaire pancréatique
3)
Anisocaryose : rapport ¼
Désorganisation architecturale : drunken honeycomb
Contour nucléaire irrégulier
Hyper/hypochrome
Nucléole
Nécrose
Cellules malignes isolées
Perte SMAD4
4)
Stent
Cholangite sclérosante

1) terminologie papanicolaou
2) diagnostic
3) critères
4) grading
1) Malin
2) NET
3)
Chromatine poivre et sel
Amas lâches
Synaptophysine + chromogranine +
4)
G1 = <3%ki, <2mitoses/mm2
G2 = 3-20%ki, 2-20mitoses/mm2
G3 = >3%ki, >20mitoses/mm2