1/55
Looks like no tags are added yet.
Name | Mastery | Learn | Test | Matching | Spaced |
|---|
No study sessions yet.
How many births do congenital anomalies of the face affect?
1 in 600 births
What is a routine part of basic US protocol?
Fetal Facial evaluation
What causes an increased factor for scanning the face?
If family history or congenital anomalies are found
When are facial features identified?
End of the first trimester

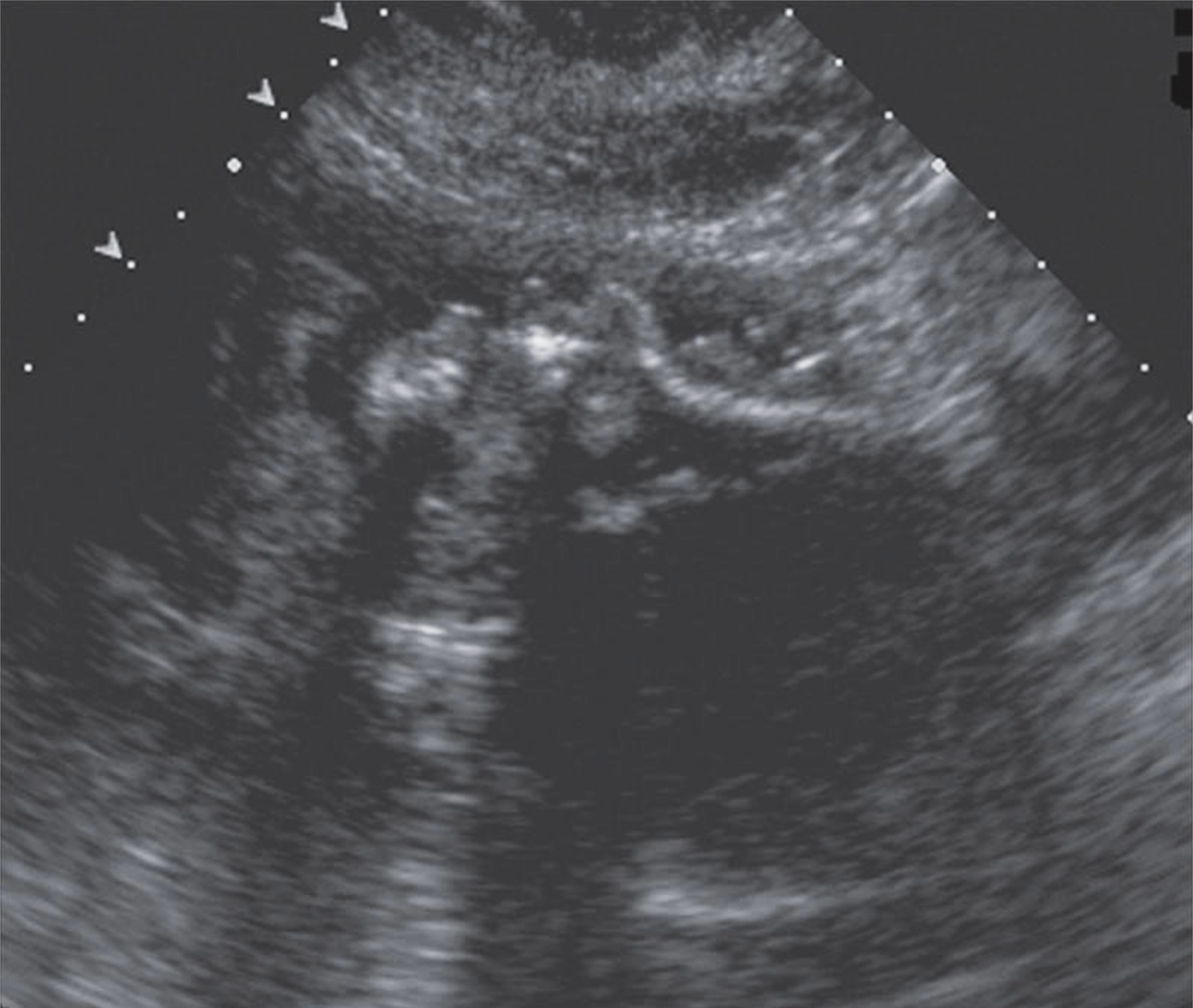
What are these images showing?
Facial Evaluation
What view is best for the cleft lip and palate?
Modified Coronal View

What are these images showing?
Cleft Lip and Palate
What is the best view for evaluating the maxilla and orbits?
Coronal Plane
What do you also evaluate in the coronal plane?
Lens of the eyes

What is this image showing?
Coronal view of facial structures (maxilla, upper lip, mandible, nasal bones, lower eyelids
What view do you use when evaluating the nasal bones, soft tissue, and mandible(chin)?
Longitudinal view
What view do you use when evaluating the orbital abnormalies, intraorbital distances, maxilla, mandible & tongue?
Transverse View

What is this image showing?
Transverse view of fetal face
How do you evaluate the abnormalities of the forehead?
Evaluated by profile
Series of midsagittal scans through the face
How do you evaluate the abnormalities of the frontal bone?
Use a curvlinear surface
Differentiation of forehead, nose, lips, & chin
What are differential diagnosis for abnormalities of the face?
Anterior cephaloceles
Hypertelorism
What do you evaluate when scanning the skull?
Its shape
What is craniosynostosis?
Premature closure of any or all six of the cranial sutures
What is Clover Leaf abnormality?
A misshapen skull
What is associated with a Clover Leaf skull?
Assoc. with skeletal dysplasias (thanatophoric dysplasia) (dwarfism)
Ventriculomegaly

What are these images showing?
Misshaped skulls
What is Trigonocephaly?
Premature closure of metopic suture
What is the sonographic appearance of trigonocephaly?
Elongated (tall) forehead in sagittal
Triangular shape in axial

What is this image showing?
Trigonocephaly
What is frontal bossing?
Lemon shaped head
What is Strawberry shaped?
Bulging of the frontal bones

What is this image showing?
Frontal Bossing

What is this image showing?
Strawberry Shaped Skull
What is Midface Hypoplasia or Maxillary Hypoplasia?
With depressed or absent nasal bridge
Underdevelopment of middle structures of face
What are Midface Hypoplasia or Maxillary Hypoplasia associated with?
Chromosomal anomalies (Trisomy 21)
Craniosynostosis syndromes (Apert’s)
Limb & skeletal abnormalities
What can be absent and how is its absence used in midface hypoplasia?
Fetal nasal bone may be small or absent
Used as predictor for Chromosomal anomalies (Trisomy 21)

What are these images showing?
Midface Hypoplasia or Maxillary Hypoplasia

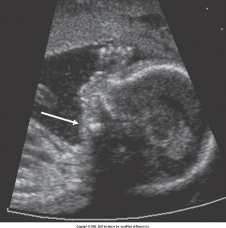
What is this image showing?
Absent nasal bone What
What is frontonasal dysplasia?
Median cleft syndrome
Defects involving eyes, forehead, & nose
What are the sign/ ultrasound appearance of Frontonasal dysplasia?
Hypertelorism – primary US finding
Bifid nose – cleft or division, split
Broad nasal bridge
ML defect of frontal bone
“Widow’s peak” hairline
When is the Nuchal Translucency measured?
Measured between 11 & 13 weeks 6 days
CRL should be within range of 45-84 mm
What is the normal measurement of the nuchal translucency?
< 3 mm is considered normal
What does an increased nuchal translucency measurement associated with?
Aneuploidy
Dependent on size and extent

What are these images showing?
Nuchal Translucency
What is included in the nasal triad?
1.Nostril symmetry
2.Nasal septum integrity
3.Continuity of upper lip
What also should be ruled out when scanning the upper nose and lip?
Cleft Lip
Cleft Palate
Tumors
Epignathus
Teratoma

What is this image of?
Upper lip and nose
What part of ultrasound can help make the diagnosis of nose or upper lip abnormality (cleft lip or palate)?
3D/4D
What is Macroglossia?
Protrusion or enlarged tongue
What is macroglossia associated with?
Beckwith-Wiedemann Syndrome
Trisomy 21
What is Micrognathia?
Small/depressed chin
Seen in profile
What is associated with Micrognathia?
Chromosomal anomalies
Trisomy 18 & Triploidy
Skeletal dysplasia’s
Primary mandibular disorders
What is polyhydramnios associated with in relation to the tongue?
Inability to swallow

What is this image showing?
Micrognathia

What is this image showing?
Macroglossia
Where is the fetal mandible(chin) seen best?
In a profile view
What else should a sonographer evaluate when scanning through the mandible?
Check for masses of the face and identify the origin

What are these images showing?
Micrognathia
Are malformations of the ear predicted on US?
No, are rarely predicted on US
If malformations of the ear are found, what are they?
•Low-set ears
•Small ears

What are these images showing?
Fetal Ears