1/31
Looks like no tags are added yet.
Name | Mastery | Learn | Test | Matching | Spaced |
|---|
No study sessions yet.
Four Types of Body Tissues
Epithelial Connective Muscular Nervous
Epithelial Tissue
Major tissue of glands inner lining of body cavities and hollow organs
Epithelial Tissue Blood Supply
Lack blood vessels
Basement Membrane
Anchors epithelial tissue to connective tissue
Squamous Epithelial
Thin flat scale-like cells
Cuboidal Epithelial
Cube-shaped cells
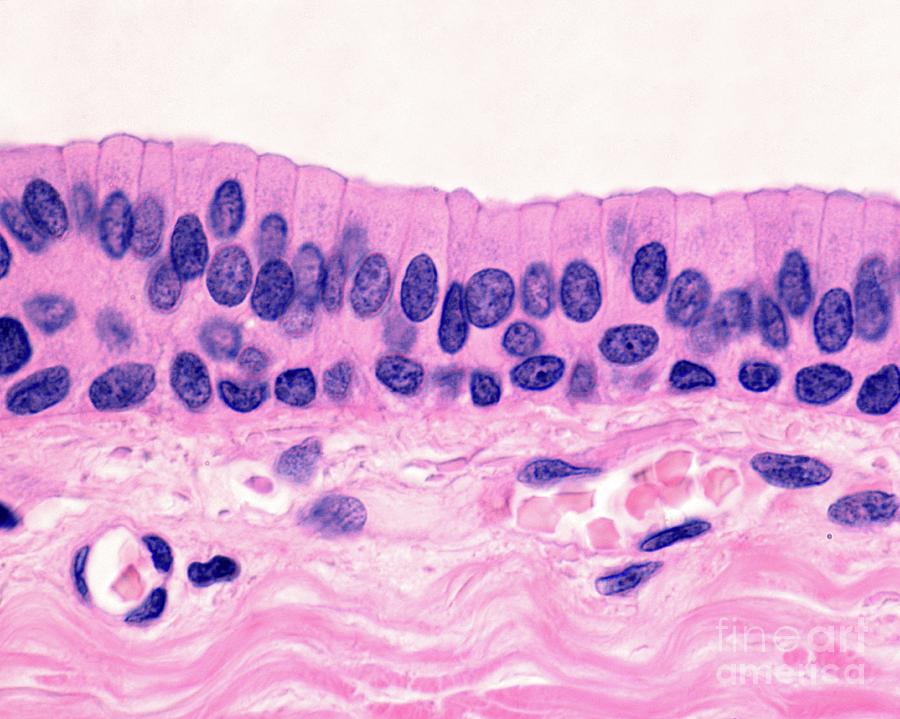
Columnar Epithelial
Tall elongated cells often with goblet (mucus) cells and cilia
Epithelial Arrangement
Simple = one row of cells Stratified = multiple rows
Simple Columnar Epithelium
One row nuclei at same level
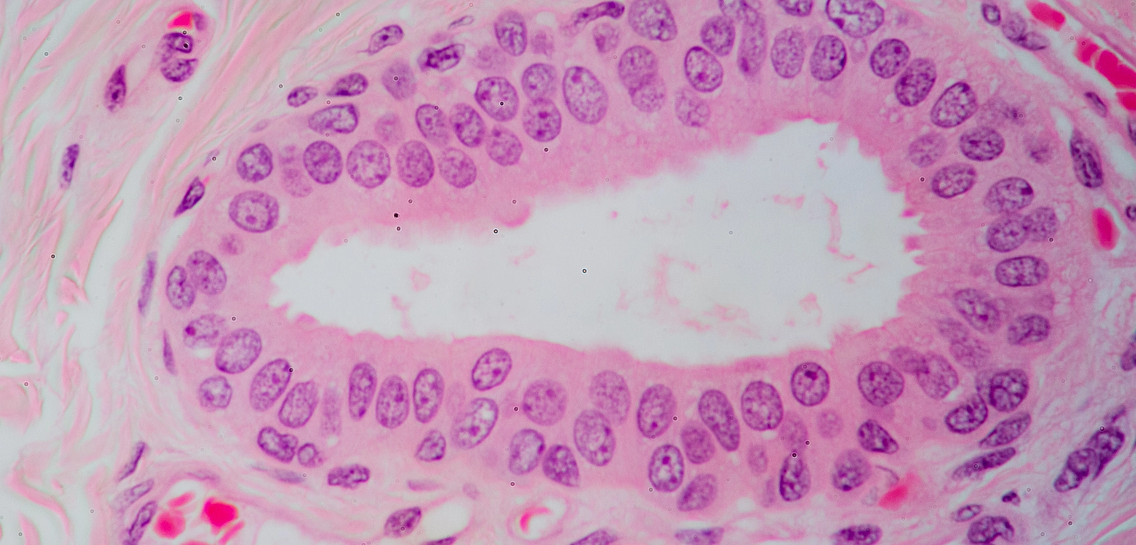
Stratified Columnar Epithelium
2–7 rows nuclei aligned in each row
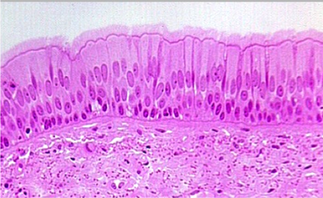
Pseudostratified Columnar Epithelium
Appears multilayered but only one row nuclei not aligned
Nervous Tissue
Found in brain spinal cord and nerves
Neuron
Basic conducting cell of nervous system
Neuroglia
Supporting non-conducting nervous system cells
Muscle Tissue Types
Skeletal Smooth Cardiac
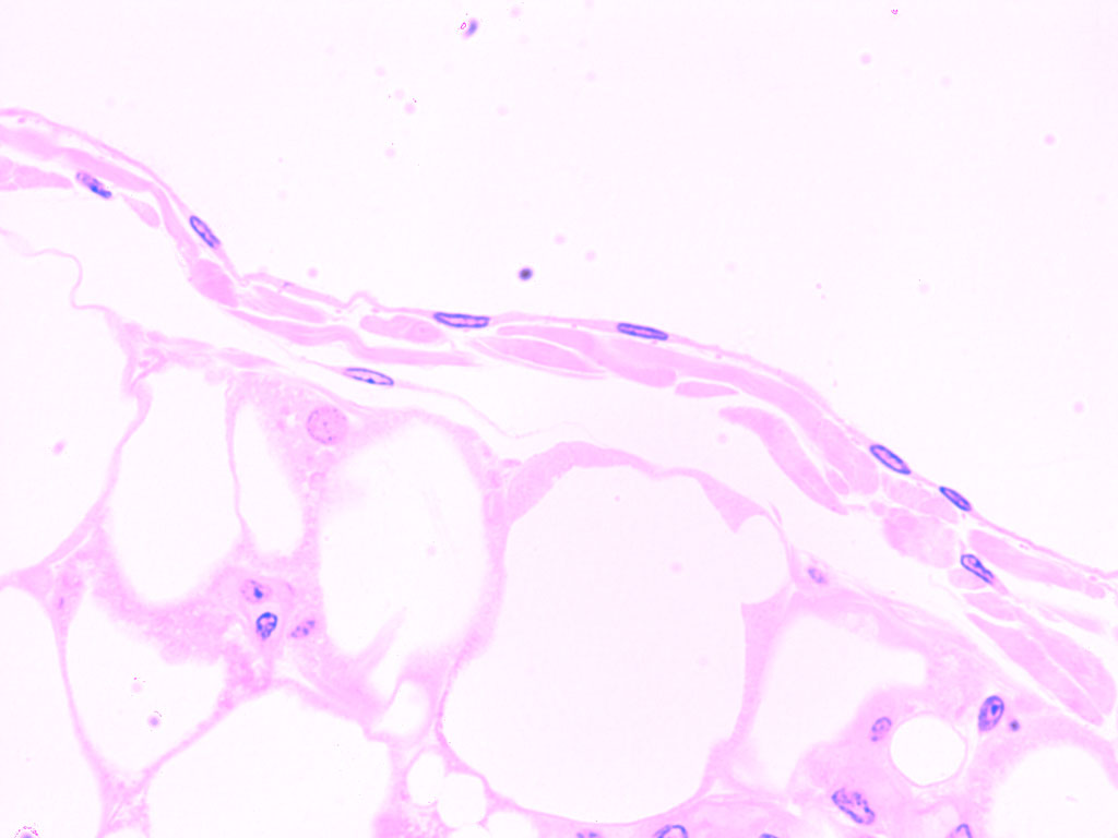
Skeletal Muscle
Attached to bones voluntary multinucleated striated cylindrical parallel fibers
Smooth Muscle
In digestive organs blood vessels bladder involuntary one nucleus per cell no striations
Cardiac Muscle
Heart only striated involuntary one nucleus per cell cylindrical with intercalated discs
Intercalated Discs
Structures separating cardiac muscle cells
Connective Tissue Functions
Binds supports protects stores fat produces blood cells
Connective Tissue Matrix
Material between cells where specialized structures are embedded
Fibroblast
Major connective tissue cell that creates fibers
Collagenous Fibers
Strong non-elastic made of collagen examples ligaments and tendons
Elastic Fibers
Made of elastin elastic but less strong examples vocal cords
Reticular Fibers
Thin widespread hold adipose tissue together found around kidneys spleen lymph nodes.

simple squamous epithelium

simple cuboidal epithelium

simple columnar epithelium

stratified squamous epithelium

stratified cuboidal epithelium

stratified columnar epithelium

pseudostratified columnar epitheloum