1/65
Looks like no tags are added yet.
Name | Mastery | Learn | Test | Matching | Spaced | Call with Kai |
|---|
No analytics yet
Send a link to your students to track their progress
What are the general characteristics of connective tissues?
Connective tissues are the most distributed tissues in the body, supporting, binding, and protecting other tissues and organs.
What is ground substance in connective tissues?
Ground substance is the gel-like material in the extracellular matrix that fills the space between cells and fibers, facilitating nutrient and waste exchange.
How does the extracellular matrix differ in bone and blood?
In bone, the extracellular matrix is mineralized with calcium salts, making it strong, while in blood, it is fluid, allowing for the transport of nutrients, gases, and waste.
What is the difference between fixed and wandering cells in connective tissue?
Fixed cells remain in place, while wandering cells, like white blood cells, move to fight off infections.
What is the function of fibroblasts?
Fibroblasts are large, star-shaped cells that produce fibers and ground substance, helping to repair damaged cells.
What role do macrophages play in connective tissue?
Macrophages are large, motile cells that help fight infections by engulfing pathogens.
What is the function of mast cells?
Mast cells are round with granules; they release histamine and heparin, which cause inflammation during allergic reactions.
What are the three types of fibers in connective tissue and their functions?
Collagen fibers (thick, parallel bundes) provide strength and support, elastic fibers (thin, branched fibers) allow stretch and recoil, and reticular fibers (thin, highly branched) form supportive networks.
What is the role of histamine in the body?
Histamine is released during allergic reactions and inflammation, increasing blood flow and causing swelling.
What do antihistamines do?
Antihistamines block histamine receptors, reducing symptoms like itching, swelling, and redness.
How does sunlight affect the skin?
Sunlight helps produce vitamin D, but excessive UV exposure can damage skin cells, leading to sunburn, wrinkles, and increased skin cancer risk.
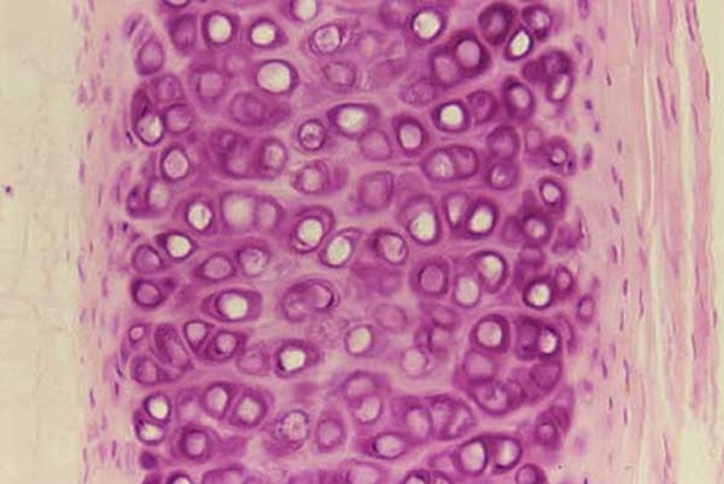
What is the general structure of cartilage?
Cartilage is a flexible connective tissue with chondrocytes in lacunae, providing support and flexibility.
How does cartilage receive nutrients?
Cartilage receives nutrients through diffusion from surrounding tissues due to its avascular nature, which makes it slow to heal.
What are the three types of cartilage and their functions?
Hyaline cartilage reduces friction in joints, elastic cartilage allows flexibility while maintaining shape, and fibrocartilage provides support and flexibility.
What are the general characteristics of bone?
Bone is a hard, mineralized connective tissue that supports and protects organs, stores minerals, and houses marrow for blood cell production.
What are the main components of blood?
Blood is a fluid connective tissue composed of plasma and formed elements, transporting nutrients, gases, hormones, and waste.
What are the functions of red blood cells?
Red blood cells carry oxygen using hemoglobin and remove carbon dioxide from the body.
What is the function of white blood cells?
White blood cells defend against pathogens and remove damaged cells.
What role do platelets play in the blood?
Platelets help in blood clotting and wound healing.
What are the four types of membranes in the body?
The four types of membranes are serous, mucous, cutaneous, and synovial, each serving different protective and functional roles.
What is the function of serous membranes?
Serous membranes reduce friction and allow movement between organs, found in areas like the lungs.
What is the function of mucous membranes?
Mucous membranes trap pathogens and protect from infection in areas open to the outside of the body.
What is the role of cutaneous membranes?
Cutaneous membranes protect the body and prevent water loss, forming the outer layer of skin.
What is the function of synovial membranes?
Synovial membranes produce and secrete synovial fluid, found in joints like elbows and knees.
Connective tissue
function as binding tissue
Extracellular matrix
outside protein that surrounds organs
Ground substance
part of ACM that is not fiber
Macrophages
irregular cells that eat foreign materials/other cells
Mast cells
detects unusualities and start inflammatory responses
Fibroblasts
becomes fibrocytes in connective tissue
Collagen fibers
secreted into the extracellular space
Elastic fibers
contains rubber protein that allow stretching
Reticular fibers
connect to collagen fibers making networks to support
Chondroblasts
becomes chondrocytes in cartilage
what is the structure of Hyaline cartilage?
amorphous but firm matrix; collagen fibers form an imperceptible network; chondroblasts produce the matrix and when mature (chondrocytes) lie in lacunae

Elastic cartilage
more elastic fibers than hyaline cartilage
what is the structure of Fibrocartilage
Matrix like but less firm than that in hyaline; thick collagen fibers predominate. (between hyaline cartilage and connective tissues)

Osteoblasts
produce the organic part of the matrix
Osteon
structural unit of compact bone
Serous membrane
lines cavities along with fluid
Mucous membrane
moist tissues lining inside of the body
Cutaneous membrane
what makes up the skin
Synovial membrane
connective tissue that lines joints
What is the structure of loose connective tissue?
Gel-like matrix containing all three fiber types.

What are the functions of loose connective tissue?
Connects skin to muscles and fills space in the body.
Where is loose connective tissue located?
Under the skin, lining the digestive and respiratory tract.
What is the primary function of adipose tissue?
Energy storage and insulation.

Where can adipose tissue be found?
Subcutaneous (under the skin) and visceral fat (around organs).
What is the structure of reticular connective tissue?
Loose fibers of reticular fibers.

What is the function of reticular connective tissue?
To support organs.
Where is reticular connective tissue located?
Lymph nodes, spleen, tonsils, and bone marrow.
What is the structure of dense regular connective tissue?
Parallel fibers.

What is the function of dense regular connective tissue?
Connective tissue that holds bones to bones and muscles to bones. regular
Where is dense regular connective tissue found?
Forms the dermis of the skin and the capsules.
What is the structure of dense irregular connective tissue?
Proteins arranged randomly.

What is the function of dense irregular connective tissue?
Connective tissue that holds bones to bones and muscles to bones.irregular
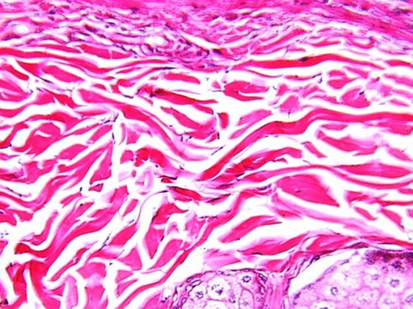
What is the structure of elastic connective tissue?
Stretching fibers.

What is the function of elastic connective tissue?
Allows tissues to stretch out and return to shape.
Where is elastic connective tissue found?
walls of large arteries; within certain ligaments associated with the vertebral column; within the walls of the bronchial tubes
where is hyaline cartilage found?
joints
function of hyaline cartilage?
supports and reinforces; serves as resilient cushion; resists compressive stress
where is fibrocartilage found?
intervertebral discs
function of fibrocartilage?
tensile strength with the ability to absorb compressive shock
structure of bone?
periosteum, compact bone, spongy bone, marrow, blood vessels, nerves
explain why the aorta must contain both collagen and elastic fibers?
The aorta contains both elastic and collagen fibers to achieve a unique combination of extreme elasticity and exceptional tensile strength. Elasticity allows it to absorb the high-pressure surge of blood from the heart, while strength prevents it from rupturing under that force.
explain how the cells in loose connective tissue help the body respond to an injury to the skin?
When the skin is injured, cells in loose connective tissue play a crucial role in healing and defense. Fibroblasts produce collagen and other fibers to rebuild the extracellular matrix, helping close the wound and restore tissue structure. Macrophages act as immune responders, clearing debris and pathogens through phagocytosis while releasing signals that recruit other immune cells to the site. Mast cells trigger inflammation by releasing histamine, which increases blood flow and vessel permeability, allowing immune cells to reach the injury quickly. Together, these cells coordinate inflammation, tissue repair, and immune defense to support recovery.