SPI Mock Registry Exam A23-E23

0.0(0)
studied byStudied by 0 people
full-widthCall with Kai
GameKnowt Play
learnLearn
examPractice Test
spaced repetitionSpaced Repetition
heart puzzleMatch
flashcardsFlashcards
Card Sorting

1/599

encourage image

There's no tags or description

Looks like no tags are added yet.

Study Analytics
Name
Mastery
Learn
Test
Matching
Spaced

No study sessions yet.

600 Terms

1
New cards

Which of the following statements is true regarding the differences between a vector array compared to a phased sector array?

a. the vector array has a smaller footprint than the passed sector array
b. the vector array provides bette penetration capabilities than the phased sector array of the same MHz
c. the vector array is mechanically steered while the phased sector is electronically steered
d.the vector array has a smaller near field FOV than the phased sector array

the vector array has a smaller footprint than the passed sector array

2
New cards

When sound hits a boundary between two media of the same propagation speed at oblique incidence:

a. 100% reflection occurs
b. at least 50% reflection occurs
c. the entire beam will be refracted causing multiple refractions artifacts
d. no refraction will occur

no refraction will occur

3
New cards

Which of the following correctly describes the sensitivity of a testing technique?

a. if the test results is positive. sensitivity is the probability that the patient actually has the disease
b. the ability of a test to detect disease when it is present
c. if the test results is negative sensitivity is the probability that the patient does not have disease
d. the ability of a test to rule out disease when it is not present

the ability of a test to detect disease when it is present

4
New cards

In order to assess low velocity flow, which of the following operator adjustments should be made?

a. decrease wall filter setting and compression
b. increase scale setting
c. decrease compression
d. decrease the rejection and wall filter setting

decrease the rejection and wall filter setting

5
New cards

Which of the following will reduce color flash artifact?

a. decrease color filter
b. decrease color scale
c. decrease color priority
d. increase color gain

decrease color priority

6
New cards

There is 100% reflection when the beam strikes an interface at ______.

a. Rayleigh’s angle
b. oblique angle
c. Snell’s angle
d. critical angle

critical angle

7
New cards

If the amplifier power output is 2 times the amplifier power input, what is the value for gain?

a. 6dB
b. 10dB
c. 20dB
d.3dB

3dB

8
New cards

Volume averaging artifact, lobe artifact and slice thickness artifact all cause:

a. a copy of the original structure placed deeper on the image
b. false echoes filling an anechoic structure
c. a copy of the original placed more lateral on the image
d. multiple reflections equally spaced in a line extending from an air/tissue interface

false echoes filling an anechoic structure

9
New cards

The Sonographer can improve the axial resolution by:

a. using a higher frequency transducer
b. disputing the dynamic range
c. increasing the demodulation
d. adjusting the monitor contrast

using a higher frequency transducer

10
New cards

As frequency increases, penetration will

a. decrease
b. increase
c. depends on how the PE elements are arranged
d. increase

decrease

11
New cards

Increasing the number of pulses in a color packet will:

a. increase frame rate
b. increase frame rate
c. decrease color sensitivity
d. increase color priority

increase frame rate

12
New cards

Which of the following can change the image data displayed on an achieved exam on the ultrasound system?

a. change the placement of the Doppler cursor
b. change the transducer frequency used to create the image
c. change the gray map used to create the image
d. turn off harmonic imaging

change the gray map used to create the image

13
New cards

Diagnostic ultrasound is described s frequencies greater than:

a. 1MHz
b. 2MHz
c. 2.5MHz
d.3MHz

2MHz

14
New cards

Aliasing artifact does not occur with CW Doppler systems because:

a. CW Doppler transducers use higher frequency than PW Doppler systems
b. CW Doppler transducer use two separate elements, so they are not limited by pulse echo parameters like PRF and the Nyquist limit
c. CW Doppler transducers have higher PRF ranges than PW Doppler transducer
d. The PRF automatically increases as the velocity increases to maintain proper display

CW Doppler transducer use two separate elements, so they are not limited by pulse echo parameters like PRF and the Nyquist limit

15
New cards

A system that performs parallel processing will demonstrate:

a. two images side by side on the display
b. improved lateral resolution with degraded axial resolution
c. increased frame rates with reduced lateral resolution
d. improved lateral resolution with degraded temporal resolution

increased frame rates with reduced lateral resolution

16
New cards

The spatial pulse length is 4mm. What is the minimum axial resolution?

a. 1mm
b. 2mm
c. 8mm
d. 16mm

2mm

17
New cards

Blood flow volume changes in the body are mainly controlled by what two factors?

a. cardiac function and peripheral resistance
b. cardiac function and vessel radius
c. viscosity and friction
d.vessel radius and resistance

cardiac function and peripheral resistance

18
New cards

_________ artifact appears as multiple parallel, equidistant lines that look like steps on a ladder.

a. reverberation
b. range resolution
c. multi-path artifact
d. misregistration artifact

reverberation

19
New cards

For an US system to produce a real time flicker free image the minimum frame rate required is _____.

a. 60 MHz
b. 15 MHz
c. 10 MHz
d. 30 MHz

15 MHz

20
New cards

_______ refers to the process of programming the receiving elements to use the higher frequency reflections for more superficial structures and lower frequency reflections for deeper structure.

a. temporal compounding
b. dynamic frequency tuning
c. coded excitation
d. spatial compounding

dynamic frequency tuning

21
New cards

What is the best way to reduce slice thickness artifact that is causing false echoes in a superficial structure?

a. increase the transducer frequency
b. decrease the transducer frequency
c. turn off harmonic imaging
d. use a standoff pad

use a standoff pad

22
New cards

Increasing the frequency improves _____, _____, and _____.

a. axial resolution, lateral resolution, beam width
b. lateral resolution, intensity, beam width
c. depth of penetration, beam width, axial resolution
d. frequency, intensity, beam depth

axial resolution, lateral resolution, beam width

23
New cards

The sonographer may avoid aliasing by altering the:

a. transmit gain
b. increasing the sample volume length
c. increasing frequency
d. image depth

image depth

24
New cards

If the entire image is too dark, what console adjustment should you make first?

a. adjust the near field TGC
b. adjust the far field TGC
c. increase the overall gain
d. increase the output power

increase the overall gain

25
New cards

When working in a hospital setting, what is the best way to verify a patient’s identity?

a. ask the patient to verify their name and room #
b. ask the patient to verify their medical record number
c. ask the patient to verify their date of birth
d. check the hospital issued ID bracelet

check the hospital issued ID bracelet

26
New cards

The acoustic power is changed by -3d. The beam intensity _____.

a. is multiplied by 4
b. is multiplied by 3
c. decreases by half
d. doubles

decreases by half

27
New cards

_____ is the process that is performed in the beam former where the output voltage is varied to decrease the formation of lobe artifact.

a. autocorrelation
b. apodization
c. quadrature phase detection
d. spectral analysis

apodization

28
New cards

The speed of sound in tissue is primarily dependent on:

a. the ultrasound system
b. the media in which the sound travels
c. operator adjustments during the exam
d. the source

the media in which the sound travels

29
New cards
<p>Which of the following imaging techniques is designed to improve contrast resolution?</p><p>a. top left<br>b. top right <br>c. bottom left <br>d.bottom right</p>

Which of the following imaging techniques is designed to improve contrast resolution?

a. top left
b. top right
c. bottom left
d.bottom right

top left

30
New cards

Which of the following media has the highest propagation speed?

a. air
b. blood
c. bone
d. liver

bone

31
New cards

Assuming line density is constant at two lines per degree and you change from a 90 degree sector to a 45 degree sector, how many lines will be now produced?

a. 45
b. 90
c. 180
d. 360

90

32
New cards
<p>The arrow labelled letter A indicates which of the following wave parameters?</p><p>a. pulse repetition frequency <br>b. spatial pulse length <br>c. pulse duration <br>d. pulse repetition period</p>

The arrow labelled letter A indicates which of the following wave parameters?

a. pulse repetition frequency
b. spatial pulse length
c. pulse duration
d. pulse repetition period

pulse repetition period

33
New cards

Which of the following is considered the capactive component of the circulatory system?

a. capillaries
b. veins
c. heart chambers
d. arteries

veins

34
New cards

If the amplifier input power is 0.05mW and the amplifier output power is 5mW, what is the gain?

a. 20dB
b. 40dB
c. 100dB
d. 30dB

20dB

35
New cards

The ability to see flow in a very deep vessel is limited by the fact that:

a. blood moves at the faster rate than the surrounding tissues
b. blood has a very low attenuation rate
c. blood moves at the same speed was the surrounding tissues
d. blood is less reflective than soft tissues

blood is less reflective than soft tissue

36
New cards

When removing a protective grown:

a. untie the strings, pull grown forward from the shoulders using the neck strings to turn it inside out as it is removed, remove your gloves, wash your hadns
b. remove your gloves, untie the strings, pull the gown forward from eh center of the front of the gown to remove it with the exposed side out, roll it into a ball, wash your hands
c. untie the strings, roll the gown upward from the bottom edge to turn it inside out, pull it from the shoulders and off the arms, remove your gloves, wash your hands
d. remove your gloves, untie the strings, pull the gown forward from the shoulders using the neck strings, grab the inside shoulder seams to pull it off the arms and turn it inside out as it is removed, wash your hands

remove your gloves, untie the strings, pull the gown forward from the shoulders using the neck strings, grab the inside shoulder seams to pull it off the arms and turn it inside out as it is removed, wash your hands

37
New cards

Which of the following will improve the lateral resolution on the image?

a. adjust dynamic range
b. increase the focal zone number
c. decrease transducer frequency
d. decrease the PRF

increase the focal zone number

38
New cards

The magnitude of the Doppler shift in color Doppler determines:

a. the color luminance
b. the color threshold
c. the color hue
d. the peak velocity of the flow displayed as color

the color luminance

39
New cards

If you increase the sector angle from 45 to 90 degrees and no other console changes are made, what happens to the frame rate?

a. it is reduced to ½ the original frame rate
b. it doubles
c. it is reduced to ¼ the original rate
d. unchanged

it is reduced to ½ the original frame rate

40
New cards

Which of the following adjustments would improve the appearance of ultrasound enhancing agents on the image?

a. use multiple focal zones
b. increase the thermal index
c. turn off harmonic imaging
d. decrease output power

decrease output power

41
New cards

Which statement correctly describes a spectral waveform?

a. the presence of a spectral window indicates laminar flow is present in the vessel being evaluated
b. the size of the Doppler sample gate within the vessel lumen has little effect on the quality of the waveform
c. the absence of a spectral window indicates stenosis is present in the vessel being evaluated
d. the location of the Doppler cursor within the vessel lumen has a little effect on the quality of the waveform

the presence of a spectral window indicates laminar flow is present in the vessel being evaluated

42
New cards
<p>What color Doppler artifact is demonstrated on the image?</p><p>a. cross talk <br>b. flash<br>c. mirror image<br>d. defocusing</p>

What color Doppler artifact is demonstrated on the image?

a. cross talk
b. flash
c. mirror image
d. defocusing

flash

43
New cards

Decreasing the number of cycles in a pulse will:

a. increase the frequency of the wave
b. improve the axial resolution of the system
c. increase the wavelength
d. degrade the axial resolution of the system

improve the axial resolution of the system

44
New cards

Which of the following ultrasound technique has the highest temporal resolution?

a. 3D imaging
b. 2D imaging
c. Color Doppler
d. M-mode

M-mode

45
New cards

While imaging the thyroid, you increase the number of focal zones from one to three. How will this affect the image?

a. decreased spatial pulse length
b. decreased slice thickness
c. degraded temporal resolution
d. increased frame rate

degraded temporal resolution

46
New cards

The cine function off the ultrasound system:

a. is performed by the pulser
b. is only available on a phased array
c. is used to improve temporal resolution
d. is a type of post processing

is a type of post processing

47
New cards

How do you adjust your technique to reduce or eliminate cross talk on a Doppler tracing?

a. use the same approach and incident angle but use a CW non-imaging probe
b. use a smaller sample size
c. increase PRF
d. turn down the Doppler gain

turn down the Doppler gain

48
New cards

Tissue Doppler imaging uses _____ settings than PW Doppler.

a. lower frequency
b. lower filter
c. higher frequencies
d. higher filter

lower filter

49
New cards
<p>Review the image and the system settings listed along the right side. Use your mouse to position your cursor over the settings that should be increased to improve the diagnostic quality of the color Doppler image. Click to set the cursor and confirm your answer.</p><p>.</p>

Review the image and the system settings listed along the right side. Use your mouse to position your cursor over the settings that should be increased to improve the diagnostic quality of the color Doppler image. Click to set the cursor and confirm your answer.

.

green.

50
New cards

Which of the following transducers uses a beam former?

a. sector phased array
b. mechanical transducer
c. sequential linear array
d. sequential curved linear array

sector phased array

51
New cards
<p>Review the image and the system settings listed along the right side. Use your mouse to position your cursor over the settings that should be increased to improve the diagnostic quality of the color Doppler image. Click to set the cursor and confirm your answer. </p><p></p>

Review the image and the system settings listed along the right side. Use your mouse to position your cursor over the settings that should be increased to improve the diagnostic quality of the color Doppler image. Click to set the cursor and confirm your answer.

green

52
New cards

Which of the following is an advantage of harmonic imaging?

a. increased signal to noise ratio
b. increased beam penetration
c. increased beam width
d. increased lobe artifact

increased signal to noise ratio

53
New cards

Blood flow at a focal stenosis will demonstrate?

a. increased viscosity
b. increased pressure
c. decreased velocity
d. increased resistance

increased resistance

54
New cards

If beam intensity decreases from 10mW/cm² to level of 2.5mW/cm².

a. +3dB
b. -3dB
c. -6dB
d. +6dB

-6dB

55
New cards

On the region of interest on a 3D system, the X-axis represents the _____ and the Y-axis represents the ____.

a. height of the box, width of the box
b. width of the box, height of the box
c. height of the box, depth of the box
d. volume angle, data acquisition

width of the box, height of the box

56
New cards

Resistance to blood flow is primarily controlled by:

a. the length of the vessel
b. force of the cardiac contraction
c. the volume of blood in the vessel
d. the radius of the vessel

the radius of the vessel

57
New cards

How do the microbubbles in an ultrasound contrast agent change the image?

a. increase the resistance to flowing blood to make it more visible
b. increase vasodilation to move the bubbles more quietly so they are visible to ultrasound
c. increase the reflectivity of flowing blood
d. microbubbles cannot be used to evaluate arterial flow due to embolism risk

increase the reflectivity of flowing blood

58
New cards

Which of the following is a resistance artifact only seen with a gas/tissue interface?

a. mirror image
b. posterior shadowing
c. misregistration
d. ring down

ring down

59
New cards

As the frequency of a wave doubles, the wavelength ______.

a. increases exponentially by a factor of 2
b. is unchanged
c. decreases by half
d. doubles

decreases by half

60
New cards

Which of the following will be negatively affected by spatial compounding?

a. spatial resolution
b. temporal resolution
c. speckle reduction
d. signal to nosie ratio

temporal resolution

61
New cards

The Doppler shift is 5000Hz. The pulse repetition frequency is 9000Hz. Which of the following is true?

a. range ambiguity will occur
b. aliasing will occur
c. the peak pressure gradient is 36 mmHg
d. signal to noise ratio

aliasing will occur

62
New cards

________ artifact is caused by refraction and results in subtle image degradation.

a. scatter
b. comet tail
c. mulitpath
d. misregistration

multipath

63
New cards

Focusing of the transmitted and received beam occurs in the:

a. image processor
b. beam former
c. image former
d. signal processor

beam former

64
New cards

Activating harmonic imaging will result in ________.

a. increased production of grating lobes
b. improved contrast resolution
c. degraded lateral resolution
d. increased beam diameter

improved contrast resolution

65
New cards

What type of precautions is required for a patient with MRSA?

a. enteric precautions
b. contact precautions
c. protective environment precautions
d. droplet precautions

contact precautions

66
New cards

Increasing ______ will increase the ability of the system to display fine details on the image?

a. frequency
b. compression
c. pulse repetition frequency
d. pixel density

pixel density

67
New cards

________ refers to the ability of a system to detect low-amplitude echoes accurately.

a. quality factor
b. sensitivity
c. dynamic range
d. bandwidth

sensitivity

68
New cards

Which statement correctly describes reflection?

a. the greater the difference in acoustic impedance of the two media, the greater the amount of reflection at their interface
b. the greater the difference in propagation speed of the two media, the greater the amount of reflection a their interface,
c. the greater the difference in attenuation rate of the two media, the greater the amount of reflection at their interface,
d. the greater the difference in the distance the sound travels in each media, the greater the amount of reflection at their interface.

the greater the difference in acoustic impedance of the two media, the greater the amount of reflection at their interface

69
New cards

Which of the following is displayed with spectral Doppler, but not with color Doppler?

a. peak flow velocity
b. averse flow velocity
c. aliasing
d. flow direction

peak flow velocity

70
New cards
<p>Which of the following system controls would increase the color displayed on the image?</p><p>a. increase scale image<br>b. increase filter settings<br>c. reduce color gain<br>d. increase threshold settings</p>

Which of the following system controls would increase the color displayed on the image?

a. increase scale image
b. increase filter settings
c. reduce color gain
d. increase threshold settings

increase scale image

71
New cards

What component of the beam former protects the sensitive circuitry of the amplifier?

a. summer
b. transducer
c. transmit/receiver switch
d. pusle delay

transmit/receiver switch

72
New cards

Imaging in adults should never be performed with a thermal index level at or above _____ and imaging a fetus should never be performed with a thermal index level at or above _____.

a. 1, 2
b. 2, 1
c. 6, 3
d. 1.5, 0.7

6, 3

73
New cards

________ is defined as the range of frequencies contained in the ultrasound pulse.

a. range equation
b. dynamic range
c. quality factor
d. bandwidth

bandwidth

74
New cards

What determines the transducer frequency used for the evaluation of a foreign body?

a. age of the foreign body
b. composition of the foreign body
c. the radiologist reading the exam
d. depth of the foregin body

depth of the foreign body

75
New cards

How is the pulse repetition period reduced inn Doppler imaging?

a. use a lower frequency transducer
b. decrease Doppler gain
c. decrease the PRF
d. decrease imaging depth

decrease imaging depth

76
New cards
<p>What type of transducer produced the image?</p><p>a. sector phased array <br>b. linear sequential array <br>c. curved sequential array <br>d. vector phased array</p>

What type of transducer produced the image?

a. sector phased array
b. linear sequential array
c. curved sequential array
d. vector phased array

vector phased array

77
New cards

How will the thermal index change when increasing the overall gain to its maximum level?

a. increase
b. decrease
c. no change
d. it depends on the transmitted frequency used

no change

78
New cards
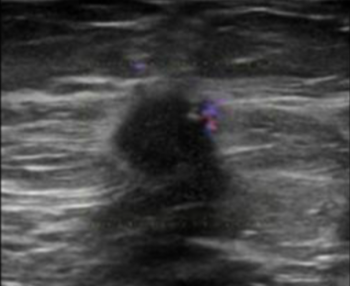
<p>What should be done to adjust and improve the color Doppler displayed on the image?</p><p>a. steer box <br>b. increase PRF <br>c. decrease sample volume<br>d. increase velocity scale</p>

What should be done to adjust and improve the color Doppler displayed on the image?

a. steer box
b. increase PRF
c. decrease sample volume
d. increase velocity scale

decrease sample volume

79
New cards

What determines the frequency of a capacitive micro machined ultrasound transducer?

a. the impedance of the flexible membrane
b. frequency of the drive voltage
c. frequency of the output signal
d. the thickness of the flexible membrane

frequency of the drive voltage

80
New cards

Which of the following will lead to more color displayed in real time in the abdominal aorta?

a. decrease color gain
b. decrease color threshold
c. increase sample size
d. increase frame rate

increase frame rate

81
New cards

Which of the following will maintain compliance with the ALARA principle?

a. reducing the number of images taken in standard protocol
b. reducing overall gain
c. reducing transducer frequency
d. minimizing the use of harmonic imaging

reducing the number of images taken in standard protocol

82
New cards

How is the detail resolution limit documented on phantom testing?

a. all 6 pins are displayed as a single reflector on the image
b. two separate pins are displayed as a single reflector on the image
c. documenting the width of the deepest pin displayed as a single reflector on the image
d. documenting the depth of the deepest pin that can be displayed

two separate pins are displayed as a single reflector on the image

83
New cards

What is the method used to estimate the ankle blood pressure in a standing patient?

a. diastolic blood pressure x 2
b. add 100mmHg to the systolic blood pressure
c. add 100mmHg to the diastolic blood pressure
d. systolic blood pressure x 2

add 100mmHg to the systolic blood pressure

84
New cards

Which of the following indicates the proper order for putting on personal protective equipment?

a. gown, mask, gloves, goggles
b. gloves, goggles, gown, mask
c. gown, mask, goggles, gloves
d. goggles, mask, gloves, gown

gown, mask, goggles, gloves

85
New cards

Transesophageal and transvaginal transducers are considered ______ devices that should be disinfected using _____.

a. semi-critical, high level disinfectant
b. critical, high level disinfectant
c. semi-critical, thermal sterilization
d. critical, thermal sterilization

semi-critical, high level disinfectant

86
New cards

Which of the following parameters will change when the Sonographer decreases the imaging depth?

a. increased PRF
b. decreased frame rate
c. decreased PRF
d. improved elevational resolution

increased PRF

87
New cards

Which of the following imaging techniques would be used to best evaluate the volume of an irregular mass?

a. elastography
b. harmonic 2D imaging in at least three imaging planes
c. harmonic 2D imaging in at least two imaging planes
d. 3D rendering

3D rendering

88
New cards

Which of the following is an advantage of a 2-D linear phased array over a 1-D linear phased array transducer?

a. ability to use electronic steering to vary the incident angle of the beam
b. ability to use single or multiple focal zones
c. ability to adjust the elevation focus
d. ability to adjust the lateral resolution

ability to adjust the elevation focus

89
New cards

Diagnostic ultrasound is described as frequencies greater than:

a. 1MHz
b. 2MHz
c. 2.5MHz
d. 3MHz

2MHz

90
New cards

Which statement regarding the difference between pulsed and continuous wave Doppler is correct?

a. CW Doppler offers significantly improved range resolution
b. CW Doppler tracings do not display a spectral window with any flow type
c. CW Doppler is limited in detection of a Doppler shift by the PRF of the system, but PW Doppler is not
d. CW Doppler requires one PE crystal, while PW Doppler uses two crystals

CW Doppler tracings do not display a spectral window with any flow type

91
New cards

Lateral resolution is primarily dependent upon:

a. frame rate
b. spatial pulse length
c. beam width
d. dynamic range

beam width

92
New cards

Increasing the edge enhancement setting will:

a. improve contrast resolution
b. amplify reflections on the edges of the image
c. increase image contrast
d. produce a smoother image

increase image contrast

93
New cards
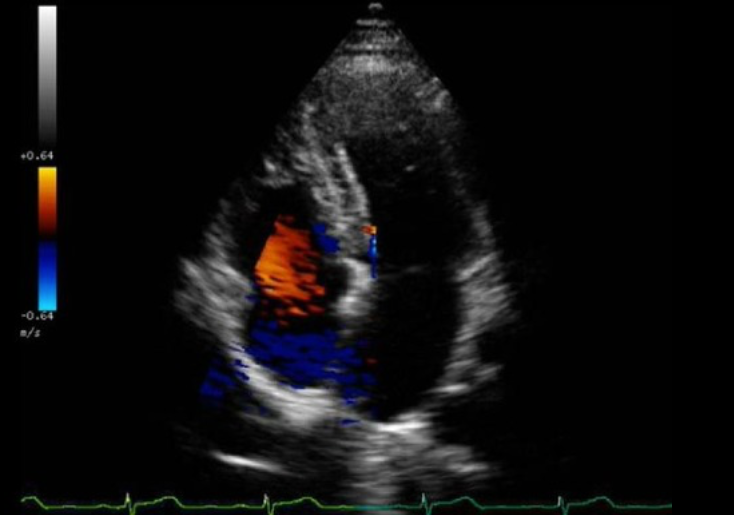
<p>What console control should be adjusted to improve the quality of the Doppler tracing?</p><p>a. increase the PW Doppler scale <br>b. adjust the placement of the Doppler cursor so it is more parallel to the blood flow<br>c. raise the baseline<br>d. reduce the wall filter setting</p>

What console control should be adjusted to improve the quality of the Doppler tracing?

a. increase the PW Doppler scale
b. adjust the placement of the Doppler cursor so it is more parallel to the blood flow
c. raise the baseline
d. reduce the wall filter setting

adjust the placement of the Doppler cursor so it is more parallel to the blood flow

94
New cards

What system, control should be turned off when attempting to demonstrate posterior enhancement from a suspected cyst?

a. harmonic imaging
b. color Doppler
c. time gain compensation
d. spatial compounding

spatial compounding

95
New cards
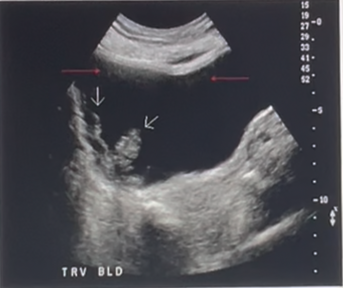
<p>What artifact is demonstrated on the US image by the red arrows?</p><p>a. reverberation<br>b. posterior enhancement <br>c. dirty posterior shadowing<br>d. defocusing</p>

What artifact is demonstrated on the US image by the red arrows?

a. reverberation
b. posterior enhancement
c. dirty posterior shadowing
d. defocusing

posterior enhancement

96
New cards

As the Doppler incident angle increases to 90 degrees the detected Doppler shift varies and approaches what value?

a. 1540 kHz
b. 0 kHz
c. 100 kHz
d. the maximum detectable Doppler shift

0 kHz

97
New cards

What is the proper method used to assess the size of the dead zone?

a. trace the area of the portion of the image that demonstrates reverberation at the top of the screen
b. measure the width of the area of reverberation at the top of the screen
c. trace the volume of the portion of the image that demonstrates reverberation at the top of the screen
d. measure from the top of the depth that uniform tissue is identified

measure form the top of the depth that uniform tissue is identified

98
New cards
<p>Which of the following is the best way to reduce the artifactual echoes the image indicated by the red arrows?</p><p>a. decrease power output setting by 25%<br>b. reduce TGC settings in the near field<br>c. decrease rejection <br>d. reduce TGC settings in the far field </p>

Which of the following is the best way to reduce the artifactual echoes the image indicated by the red arrows?

a. decrease power output setting by 25%
b. reduce TGC settings in the near field
c. decrease rejection
d. reduce TGC settings in the far field

reduce TGC settings in the near field

99
New cards

The Center for Disease Control recommend single-use sterile ultrasound gel for ultrasound exams performed during which of the following:

a. placement of central venous line
b. 2nd and 3rd trimester OB anatomy exams
c. scrotal exams
d. venous insufficiency exams

placement of central venous line

100
New cards

Which of the following can be used to improve beam penetration on cases of high body mass index?

a. activate harmonic imaging
b. increase transmit power
c. deactivate coded power
d. higher frequency transducer

increase transmit power