1/171
Looks like no tags are added yet.
Name | Mastery | Learn | Test | Matching | Spaced | Call with Kai |
|---|
No analytics yet
Send a link to your students to track their progress
axial
what plane is this

coronal
what plane is this slice

sagittal
what plane is this

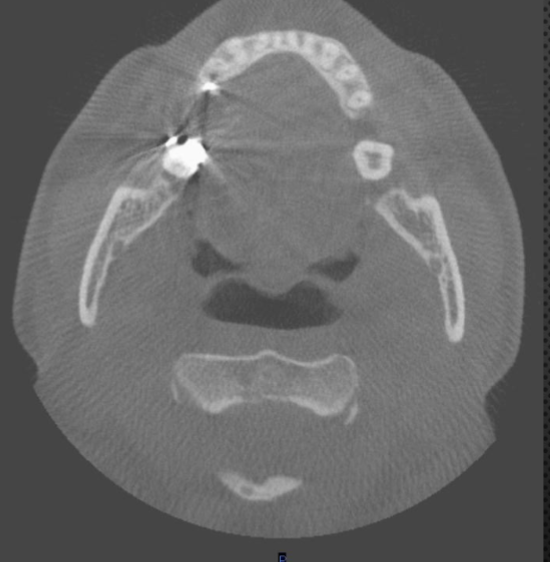
beam hardening
increase in beam energy due to the preferential absorption of LOWER-energy photons
cupping
distortion of metallic structure

hypodense
LESS attenuating structures that appear DARKER on imaging compared to surrounding tissues.
hyperdense
MORE attenuating structures on imaging, appearing BRIGHTER
MARs (metal artifact reduction)
software applied during reconstruction to minimize image artifacts caused by metal
beeam hardening (braces)
what is the cause of this artifact

increase number of views and exposure (increase #xrays and dose)
what can you do to decrease artifact
false
T/F CBCT provide equally good SOFT TISSUE quality as MDCT
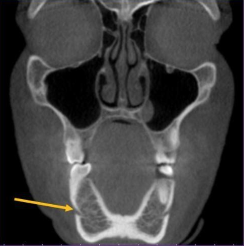
mental foramen
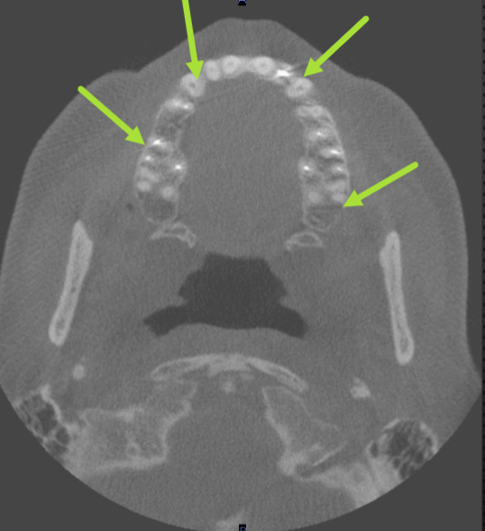
what is the structure indicated by the arrow

hard palate
identify the structure

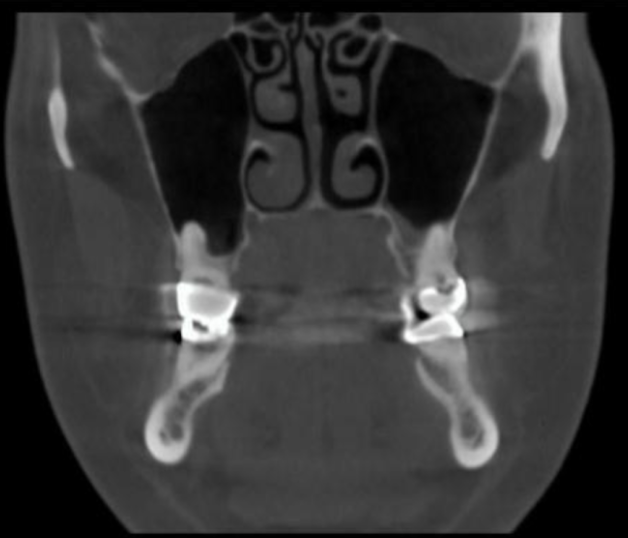
mandibular condyle
identify the structure

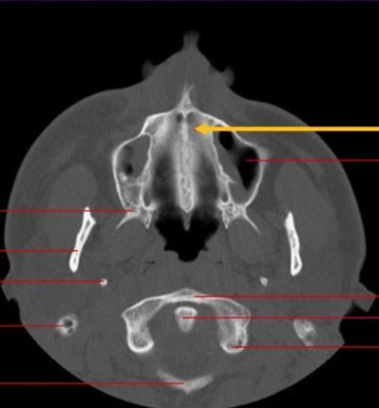
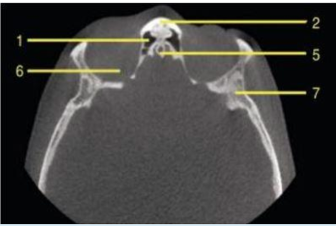
C2 odontoid process
what is 43

coronoid process
what is 52

orbit
what is 6

once
how many times does a CBCT rotate around a patient
false
T/F all else equal a LARGER field of view scan has MORE detail
undersampling/moire
what do you call the artifact seen here that causes alternating light and dark lines (not the metal)

cephalometric projections
CBCT raw images are similar to
hyperdense
in CBCT fluid is more _____ than air
metal
what is the most HYPERdense in CBCT
air
what is the most HYPOdense in CBCT
decrease: mA, FOV, exposure, and kVp
how is DOSE decreased in CBCT
true
T/F CBCT imaging results in less radiation exposure than MDCT
MDCT
which type of CT has the better soft tissue contrast
false
T/F CBCT with smaller voxel ALWAYS result in better spatial resolution
coronoid process
identify the structure

bone height
during implant planning, CBCT improves success by measuring…
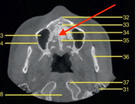
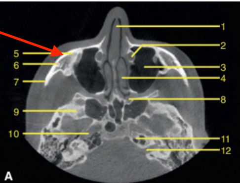
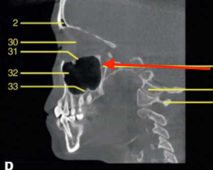
maxillary sinus
identify the structure

pyramid
what is the shape of CBCT beam
ramus (mandible)
identify structure

coronoid process
identify structure

submandibular fossa
identify 5

inferior alveolar canal
identify the structure

mandibular foramen (behind molars)
identify structure

mental foramen
identify the structure

lingual foramen
identify the structure

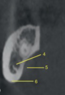
mandibular condyle
identify structure

glenoid fossa
identify the structure

articular eminence
identify the structure

styloid process
identify the structure

mastoid process
identify the structure

mastoid air cells
identify the HYPOdense structures

external auditory canal
identify the structure

maxillary tuberosity
identify the structure

hard palate
identify the structure

nasopalatine canal
identify the structure indicated by the ARROW

incisive foramen
identify the structure

anterior nasal spine
identify the structure

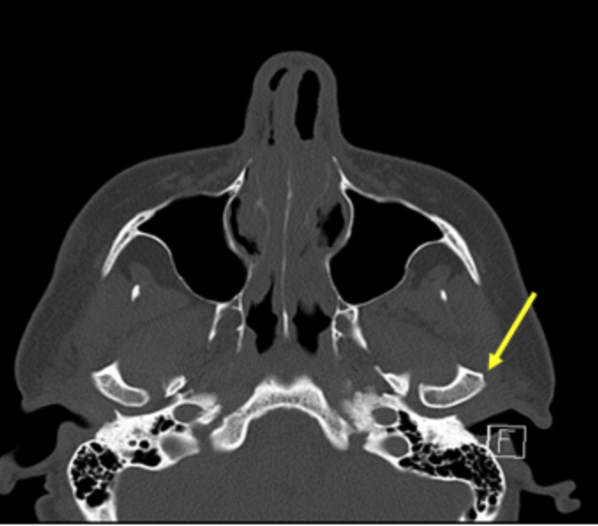
zygomatic process
identify the structure

zygomatic arch
what is indicated by the YELLOW

middle turbinates/concha
identify the structure

inferior nasal meatus
identify structure

nasal septum
identify structure

nasolacrimal duct
identify the structure

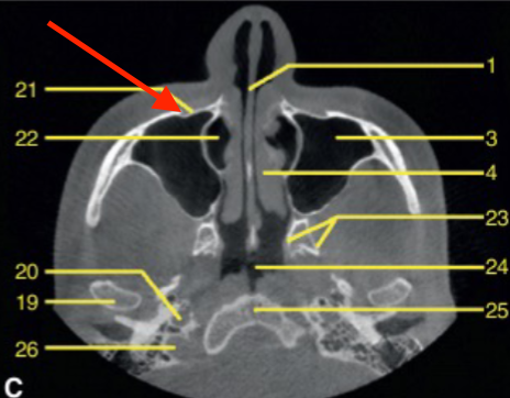
maxillary sinus
what is indicated by the GREEN dot

ostium (of maxillary sinus)
identify the structure

uncinate process
identify structure

sphenoid sinus
identify the structure

frontal sinus
identify the structure

ethmoid air cells
identify the structures

orbit
identify the structure

infraorbital foramen
identify structure

nasopharynx
identify the region indicated

oropharynx
identify 5

soft palate
identify the structure

tongue
identify the structure

palatine tonsils
identify the structure

epiglottis
identify the structure

epiglottis
identify the structure

C1
identify the structure

lateral pterygoid plate
what structure is the arrow pointing to

pterygopalatine fossa
identify the structure

hyoid
identify the structure

sella turcica
identify the structure

axial
what plane is this

level of maxilla (above maxillary teeth)
at what level is this

mandibular condyle
what structure is this

coronoid process
what structure is this

maxilla
which arch is this

pterygoid process
identify the structure

mandible
which arch is this

mandibular foramen
identify structure

apical of roots
at what level is this

genial tubercule
identify structure

coronal
what plane

posterior of maxillary sinus
where is this slice

mental foramen (at premolar region)
identify the structure

molar region
where is this slice located

mandibular canal/inferior alveolar canal
what is the ARROW pointing to

orbital roof
what are the arrows pointing to

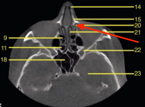
nasal floor
identify the structure indicated by the ARROW

midline (presence of septum)
what is the location of this slice

nasal bone
identify the structure

inferior turbinate/cochae
identify the structure

many sequential 2D projection images
how is CBCT capture
computer
what generates image volume in CBCT
INCREASED: energy, penetrability and dose, DECREASED: contrast and beam hardening artifact
result of INCREASED kVp