Renal Histology

0.0(0)
studied byStudied by 0 people
0.0(0)
full-widthCall with Kai
GameKnowt Play
New
learnLearn
examPractice Test
spaced repetitionSpaced Repetition
heart puzzleMatch
flashcardsFlashcards
Card Sorting

1/5

encourage image

There's no tags or description

Looks like no tags are added yet.

Study Analytics
Name
Mastery
Learn
Test
Matching
Spaced

No study sessions yet.

6 Terms

1
New cards

X = Cortex

Y = Medulla

Z = Renal Pelvis

Label this histological slide of the kidney

<p>Label this histological slide of the kidney</p>
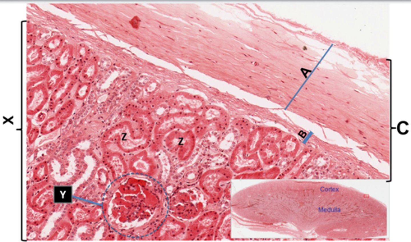
2
New cards

X - Cortex

Y - Renal corpuscle

Z - Renal tubule

A - Outer layer of the capsule

B - Inner layer of the capsule

C - Capsule

Label this histological slide of the kidney capsule region

<p>Label this histological slide of the kidney capsule region</p>
3
New cards

Zona glomerulosa

What region of the adrenal gland is displayed here?

<p>What region of the adrenal gland is displayed here?</p>
4
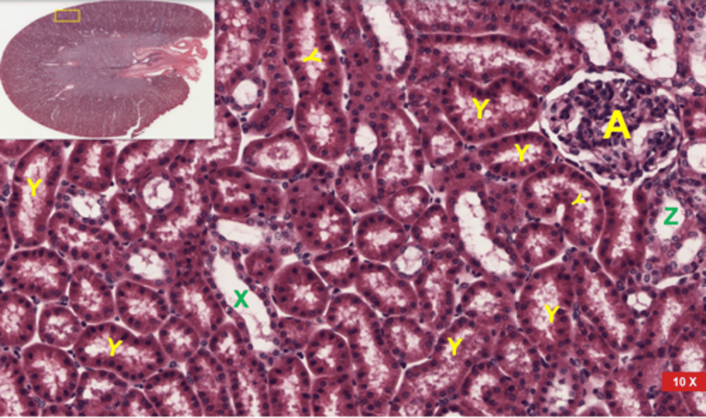
New cards

X - Collecting Duct

Y - Proximal Convoluted Tubule

Z - Distal Convoluted Tubule

A - Renal Corpuscle

Label the renal cortex

<p>Label the renal cortex</p>
5
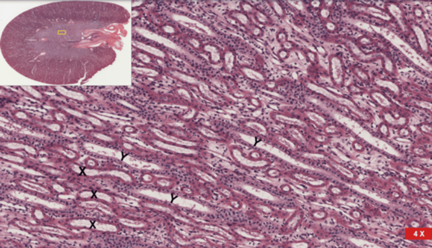
New cards

X - Loop of Henle

Y - Collecting Ducts

Label the renal medulla

<p>Label the renal medulla</p>
6
New cards

X - Renal Tubule

Y - Afferent Arteriole

Z - Renal Corpuscle

A - Juxtaglomerular apparatus

B - RBC

C - Podocytes

Label this kidney region

<p>Label this kidney region</p>