1/11
Looks like no tags are added yet.
Name | Mastery | Learn | Test | Matching | Spaced |
|---|
No study sessions yet.

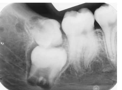
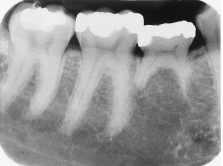
Select the most appropriate term for the anomaly associated with the 1st molar.
diastema
concrescence
dilaceration
dilaceration

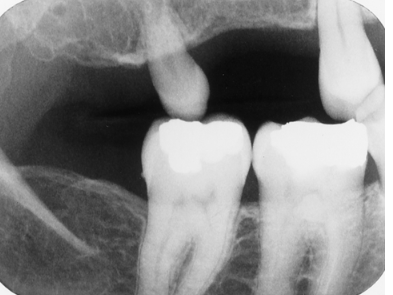
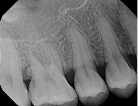
List the anomalies seen in this radiograph of the 3rd molar region.
Impacted 2nd molar and microdontic 3rd molar
Impacted 3rd molar and supernumerary 4th molar
Impacted 2nd molar; microdontic, impacted 3rd molar; and dilacerated mesial root of the 2nd molar
Impacted 3rd molar; impacted, supernumerary 4th molar; and dilacerated mesial root of the 2nd molar
Impacted 3rd molar; impacted, supernumerary 4th molar; and dilacerated mesial root of the 2nd molar

What term best describes this tooth?
supernumerary
peg lateral
microdont
macrodont
microdont

What term(s) best describe(s) the most distal mandibular tooth?
supernumerary
microdont
cute
all of the above
microdont

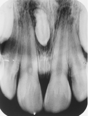
In this image you can see the two central incisors and a single lateral incisor. Clinically, there was a notch in the midincisal area. The anomaly here is
gemination
fusion
twinning
microdontia
gemination

Study the lateral incisor. What feature(s) can you not regarding this tooth?
accessory lingual cusp
dens in dente
dilacerated crown
peg lateral
all of the above
all of the above

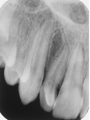
What dental anomaly is seen in this image?
supernumerary tooth
external root resporption
dens in dente
dens in dente

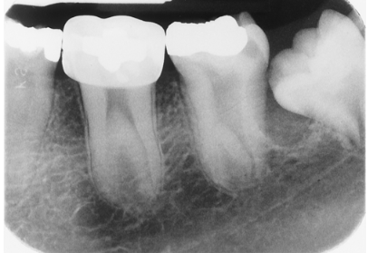
What dental anomaly is seen in this image?
dilaceration
taurodontism
supernumerary tooth
congenitally missing tooth
taurodontism

What dental anomaly is seen in this image?
dilaceration
microdontia
supernumerary tooth
congenitally missing tooth
congenitally missing tooth

Which term BEST describes the dental anomaly is seen in this image?
supernumerary tooth
dilaceration
mesiodens
teeny tiny tooth
mesiodens

What dental anomaly is present in this image?
pulpal sclerosis
pulp stones
hypercementosis
enamel pearl
enamel pearl

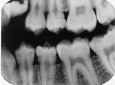
Note the occlusal anatomy of the occlusal surface of the mandibular 2nd molar that has just erupted. Now look at the maxillary 2nd premolar and lower premolars. What is your assessment of these teeth?
enamel hypoplasia
rampant caries
dentin dysplasia
Don't look at me, I don't diagnose.
enamel hypoplasia