1/14
Looks like no tags are added yet.
Name | Mastery | Learn | Test | Matching | Spaced | Call with Kai |
|---|
No study sessions yet.
prognosis
prospect of recoovery as anticipated from usual course of disease or peculiarities of the case
excellent, good, fair, questionable, poor, hopeless
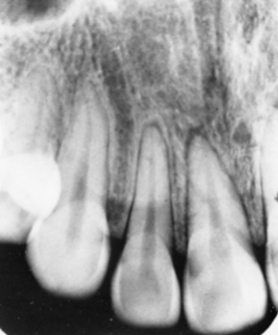
concussion
dental injury from hard impact
there may be no radiographic changes
tooth may have widened PDL space
pulp space may greatly reduce in size or disappear after months or years
if a young tooth devitalizes due to concussion, pulp space may remain wider than other teeth as the patient ages
if the pulp space of one tooth is a different size than surrounding teeth, suspect a non-vital tooth

lateral luxation
tooth is displaced mesially, distally, buccally, or lingually
often accompanied by fracture of alveolar bone
may have apical displacement
should try to reposition tooth into socket if possible

extrusion
tooth travels incisally out of socket, or partially
avulsion → tooth completely leaves socket
can mimic appearance of a periapical lesion, but crown appears supererupted
questionable prognosis → depends on how soon tooth is repositioned into socket

intrusion
tooth travels apically into the socket
poorest prognosis
high degree of damage to neurovascular bundles at apex of tooth, which gets squashed

coronal fracture and intrusion
coronal fracture involves enamel only; enamel and dentin; or enamel, dentin, and pulp
prognosis depends on how much tooth structure is lost
prognosis is good as long as there is no pulp involvement
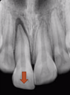
root fracture
radiolucent line travels through root of tooth — horizontal, vertical, or oblique
most tooth fractures are too small to detect radiographically
horizontal fractures have a better prognosis than vertical fractures
vertical fractures prone to bacterial intrusion
widening of PDL space indicates presence of fracture
the more apical the fracture is, the better the prognosis
vertical root fracture has vertical separation of apical third of root
shows radiolucent area

alveolar process fracture
radiolucent line travels through the bone

mandibular body fracture
fracture in mandibular body
if you see one fracture, be on a close lookout for a second mandibular fracture
jaw fracture often comes in pair

mandibular condyle fracture

orbital blowout fracture
look for “trap door”
inferior orbit breaks because it is the weakest

zygomatic fracture
injury on patient’s left

LeFort I
horizontal fracture of maxilla
least amount of force to cause fracture

LeFort II
pyramidal horizontal
fracture of maxilla and nose

LeFort III
craniofacial disjunction
bone is not stabilized and is mobile
face not attached to cranium
fracture near orbits
least common injury, with extreme force needed to occur
