1/91
Looks like no tags are added yet.
Name | Mastery | Learn | Test | Matching | Spaced |
|---|
No study sessions yet.
1. Progeria is a genetic condition that causes ____.
| a. | pattern baldness as early as age twenty |
| b. | socially inappropriate vocal outbursts and muscular twitches |
| c. | a high incidence of cancer with any exposure to sunlight |
| d. | muscular and mental deterioration shortly after puberty |
| e. | premature aging which typically leads to death in the early teens |
| e. | premature aging which typically leads to death in the early teens |
2. Linked genes are ____.
| a. | genes whose effects combine to influence a single characteristic |
| b. | different alleles of the same gene |
| c. | genes that affect two different traits and lead to a 9:3:3:1 phenotype ratio in a dihybrid cross |
| d. | genes that do not sort independently because they are physically near each other on the same chromosome |
| e. | genes on two different chromosomes |
d. | genes that do not sort independently because they are physically near each other on the same chromosome |
3. Exceptions to the principle of independent assortment were discovered and explained by ____ as resulting from genes being physically associated with each other on the same chromosome.
| a. | Watson |
| b. | Sturtevant |
| c. | Morgan |
| d. | Mendel |
| e. | Crick |
| c. | Morgan |
4. The principles of linkage and recombination were discovered using which organism?
| a. | yeast |
| b. | E. coli |
| c. | viruses |
| d. | fruit flies |
| e. | cattle |
| d. | fruit flies |
5. Which process exchanges alleles between homologous chromosomes?
| a. | mitosis |
| b. | genetic recombination |
| c. | asexual reproduction |
| d. | independent assortment |
| e. | anaphase |
| b. | genetic recombination |

6. Suppose that in studies of genes on the same chromosome you find the following recombination frequencies:
In this case, it would be proper to say that a, c, and b are ____.
| a. | linked genes |
| b. | different alleles of the same gene |
| c. | a trisomy resulting from nondisjunction |
| d. | linked genes that are not physically possible since the recombination frequencies do not add up |
| e. | three inverted genes |
| a. | linked genes |

7. Suppose that in studies of genes on the same chromosome you find the following recombination frequencies:
Why is the total distance between a and b less than the distance between a and c plus the distance between c and b?
| a. | a and b are not linked |
| b. | the distances were calculated incorrectly |
| c. | b is in between genes a and c |
| d. | double crossovers between a and b decrease recombinants |
| e. | all three genes encode the same trait |
| d. | double crossovers between a and b decrease recombinants |
8. Recombination frequency is ____.
| a. | high if two genes are linked |
| b. | a physical measurement of the distance between two genes on a chromosome |
| c. | low if crossovers are common between two genes |
| d. | measured in centigrams |
| e. | used to create linkage maps |
| e. | used to create linkage maps |
9. Genetic studies of an animal show that eye color is controlled by an autosomal gene with the dominant allele (R) for red eye color and the recessive allele (r) for yellow eye color. A second autosomal gene has the dominant allele (T) for paws with thumbs and the recessive allele (t) for paws without thumbs. The genetic cross RRTT x rrtt creates offspring with genotype RrTt. One of those dihybrids is mated in a testcross (RrTt x rrtt). Based on the principle of independent assortment, the testcross should produce offspring with the phenotype ratio ____.
| a. | 3 red-eyed with thumbs : 1 yellow-eyed without thumbs |
| b. | 1 red-eyed with thumbs : 1 yellow-eyed with thumbs: 1 red-eyed without thumbs: 1 yellow-eyed without thumbs |
| c. | 1 red-eyed with thumbs : 1 yellow-eyed without thumbs |
| d. | 9 red-eyed with thumbs : 3 yellow-eyed with thumbs: 3 red-eyed without thumbs: 1 yellow-eyed without thumbs |
| e. | 3 yellow-eyed with thumbs : 1 red-eyed without thumbs |
| b. | 1 red-eyed with thumbs : 1 yellow-eyed with thumbs: 1 red-eyed without thumbs: 1 yellow-eyed without thumbs |
10. Genetic studies of an animal show that eye color is controlled by an autosomal gene with the dominant allele (R) for red eye color and the recessive allele (r) for yellow eye color. A second autosomal gene has the dominant allele (T) for paws with thumbs and the recessive allele (t) for paws without thumbs. The genetic cross RRTT x rrtt creates offspring with genotype RrTt. One of those dihybrids is mated in a testcross (RrTt x rrtt). If the two genes are completely linked (no recombination occurs between them), then the testcross should produce offspring with the phenotype ratio ____.
| a. | 3 red-eyed with thumbs : 1 yellow-eyed without thumbs. |
| b. | 1 red-eyed with thumbs : 1 yellow-eyed with thumbs: 1 red-eyed without thumbs: 1 yellow-eyed without thumbs. |
| c. | 1 red-eyed with thumbs : 1 yellow-eyed without thumbs. |
| d. | 9 red-eyed with thumbs : 3 yellow-eyed with thumbs: 3 red-eyed without thumbs: 1 yellow-eyed without thumbs. |
| e. | 1 yellow-eyed with thumbs : 1 red-eyed without thumbs. |
c. | 1 red-eyed with thumbs : 1 yellow-eyed without thumbs. |
11. If two genes are linked on the same chromosome, then ____.
| a. | they tend to segregate away from one another during meiosis |
| b. | the more crossing-over occurs between them |
| c. | the less crossing-over occurs between them |
| d. | they tend to segregate away from one another during mitosis |
| e. | they control the same trait |
| c. | the less crossing-over occurs between them |
12. A recombinant phenotype is ____.
| a. | a different combination of the traits seen in either parent |
| b. | identical to the traits seen in both parents |
| c. | an expression of dominant traits only |
| d. | an expression of recessive traits only |
| e. | the result of crossing two homozygous dominant individuals |
| a. | a different combination of the traits seen in either parent |
13. What is another name for map unit?
| a. | linkage |
| b. | genotype |
| c. | locus |
| d. | centimorgan |
| e. | autosome |
| d. | centimorgan |
14. The map distances for four linked genes are as follows: A is 22 cM from B, B is 7 cM from C, C is 9 cM from D, B is 2 cM from D, A is 20 cM from D, and A is 29 cM from C. Based on these data, what is the order of these four genes on the chromosome?
| a. | ABCD |
| b. | ADBC |
| c. | ABDC |
| d. | BADC |
| e. | CADB |
| b. | ADBC |
15. When two genes on the same chromosome are located 10 map units from each other, ____ of the offspring from a testcross for genetic linkage should have a recombinant phenotype.
| a. | over 75% |
| b. | about 50% |
| c. | about 25% |
| d. | about 10% |
| e. | about 5% |
| d. | about 10% |
16. When two genes are located on different chromosomes, ____ of the offspring from a testcross for genetic linkage should have a recombinant phenotype.
| a. | over 75% |
| b. | about 50% |
| c. | about 25% |
| d. | about 10% |
| e. | about 5% |
| b. | about 50% |
17. Recombination frequency for two genes is a function of the ____.
| a. | distance between the two genes on a single chromosome |
| b. | overall size of the chromosome on which the genes are located |
| c. | distance between the two chromosomes on which the two genes are located |
| d. | relative sizes of the two chromosomes on which the two genes are located |
| e. | sex of the parent that supplies each gene |
| a. | distance between the two genes on a single chromosome |
18. In Drosophila melanogaster, the allele for red eyes is dominant over the allele for purple eyes, and the allele for a gray body is dominant over the allele for a black body. A testcross was done to check for genetic linkage between the genes for these traits. The results for the offspring are listed below:
478 flies with red eyes and a gray body
27 flies with red eyes and a black body
462 flies with purple eyes and a black body
33 flies with purple eyes and a gray body
Which of the choices below best represents the map distance between the genes for these two traits?
| a. | 50.0 map units |
| b. | 30.0 map units |
| c. | 47.0 map units |
| d. | 27.0 map units |
| e. | 6.0 map units |
| e. | 6.0 map units |
19. In Drosophila melanogaster, the allele for long wings is dominant over the allele for vestigial wings, and the allele for a gray body is dominant over the allele for a black body. A testcross was done to check for genetic linkage between the genes for these traits, with the following results for the offspring:
410 flies with long wings and a gray body
105 flies with long wings and a black body
390 flies with vestigial wings and a black body
95 flies with vestigial wings and a gray body
Which of the choices below best represents the map distance between the genes for these two traits?
| a. | 25.0 map units |
| b. | 40.0 map units |
| c. | 10.0 map units |
| d. | 100.0 map units |
| e. | 9.5 map units |
| a. | 25.0 map units |
20. As an undergraduate research assistant, you are given a genetic mapping project. You are told that genes a and b are 7.4 map units from each other and that genes b and c are 5.7 map units from each other. You perform a testcross to determine the map distance between a and c. Which of the following results would indicate that c lies between a and b?
| a. | 11.1 map units |
| b. | 15.0 map units |
| c. | 2.0 map units |
| d. | 14.8 map units |
| e. | 13.1 map units |
| c. | 2.0 map units |
21. Genetic map units represent ____.
| a. | absolute physical distances between genes |
| b. | locations of different alleles of a gene |
| c. | the chromosome on which a given gene is located |
| d. | the actual DNA sequence of a gene |
| e. | relative positions of genes with respect to one another |
e
22. Which process results in the production of offspring who are recombinant for two genes on the same chromosome?
| a. | movement of transposable elements |
| b. | pairing of nonhomologous chromosomes |
| c. | gene duplication |
| d. | exon shuffling |
| e. | crossing over between homologous chromosomes |
| e. | crossing over between homologous chromosomes |
23. Sex-linked genes are ____.
| a. | expressed differently based on the sex of an individual |
| b. | linked to the SRY sex-determining gene |
| c. | located on sex chromosomes |
| d. | determinants of the sex of an individual |
| e. | found exclusively in one sex or the other |
| c. | located on sex chromosomes |
24. Which statement correctly describes the inheritance of sex chromosomes?
| a. | A woman will pass on a specific X chromosome to all of her daughters. |
| b. | A woman will pass on an X chromosome to half of her children. |
| c. | A woman will pass on an X chromosome to all of her children. |
| d. | A woman’s genetic contribution determines the sex of her children. |
| e. | A man will pass on an X chromosome to all of his children. |
| c. | A woman will pass on an X chromosome to all of her children. |
25. Sex-linked genes are ____.
| a. | found on autosomes |
| b. | only found on the Y chromosome |
| c. | only inherited from the mother |
| d. | involved in sex determination and can be found on any chromosome |
| e. | found on the X and Y chromosomes |
| e. | found on the X and Y chromosomes |
26. In humans, sex determination generally depends upon the ____.
| a. | presence of the X chromosome |
| b. | number of X chromosomes present |
| c. | environment in the womb |
| d. | presence of the Y chromosome |
| e. | number of autosomes |
| d. | presence of the Y chromosome |
27. The X chromosome ____.
| a. | carries the SRY gene |
| b. | is present in two copies in males |
| c. | pairs with an autosome during meiosis |
| d. | carries many genes that are not involved in sex determination |
| e. | is not present in males |
| d. | carries many genes that are not involved in sex determination |
28. An autosome is a ____.
| a. | chromosome other than a sex chromosome |
| b. | structure used to transport genetic material to the cytoplasm |
| c. | chromosome containing a group of genes involved in autoimmune disorders |
| d. | region of the DNA that is self-replicating |
| e. | cellular body involved in autoimmune disorders |
| a. | chromosome other than a sex chromosome |
29. In birds and butterflies, males contain ____ sex chromosomes and females contain ____ sex chromosomes.
| a. | XY; XX |
| b. | ZZ; ZW |
| c. | ZY; XW |
| d. | XX; XY |
| e. | ZW; ZZ |
| b. | ZZ; ZW |
30. In humans, males are the ____ sex, and females are the ____ sex.
| a. | autosomal, maternal |
| b. | recessive, dominant |
| c. | dominant, recessive |
| d. | homogametic, heterogametic |
| e. | heterogametic, homogametic |
| e. | heterogametic, homogametic |
31. During normal human embryonic development, if ____, then the SRY gene switches development toward ____.
| a. | a Y chromosome is present; maleness |
| b. | an X chromosome is present; femaleness |
| c. | two X chromosomes are present; femaleness |
| d. | the X chromosome is absent; maleness |
| e. | a Y chromosome is present; femaleness |
| a. | a Y chromosome is present; maleness |
32. Which individual may be a carrier for a recessive X-linked trait in humans?
| a. | a homozygous recessive male |
| b. | a homozygous recessive female |
| c. | a homozygous dominant female |
| d. | a heterozygous female |
| e. | a heterozygous male |
| d. | a heterozygous female |
33. In Drosophila melanogaster, the gene for eye color is located on the X chromosome. The allele for red eye color (Xw+) is dominant over the allele for white eye color (Xw). You examine a vial of 100 flies that are all offspring from a single genetic cross. You see only red-eyed females present, but you see both red-eyed and white-eyed males present. The genotypes of the parents were ____.
| a. | Xw+Xw+; Xw+Y |
| b. | XwXw; Xw+Y |
| c. | Xw+Xw; XwY |
| d. | Xw+Xw; Xw+Y |
| e. | XwXw; XwY |
| d. | Xw+Xw; Xw+Y |
34. In Drosophila melanogaster, the gene for eye color is located on the X chromosome. The allele for red eye color (Xw+) is dominant over the allele for white eye color (Xw). You examine a vial of 100 flies that are all offspring from a single genetic cross. You find both red-eyed females and white-eyed females as well as both red-eyed males and white-eyed males. The genotypes of the parents were ____.
| a. | Xw+Xw+; XwY |
| b. | Xw+Xw; XwY |
| c. | XwXw; Xw+Y |
| d. | Xw+Xw; Xw+Y |
| e. | XwXw; XwY |
| b. | Xw+Xw; XwY |
35. In Drosophila melanogaster, the gene for eye color is located on the X chromosome. The allele for red eye color (Xw+) is dominant over the allele for white eye color (Xw). You examine a vial of 100 flies that are all offspring from a single genetic cross. You see only red-eyed females and white-eyed males present. The genotypes of the parents were ____.
| a. | Xw+Xw+; XwY |
| b. | Xw+Xw; XwY |
| c. | XwXw; Xw+Y |
| d. | Xw+Xw; Xw+Y |
| e. | XwXw; XwY |
| c. | XwXw; Xw+Y |
36. In Drosophila melanogaster, the gene for eye color is located on the X chromosome. The allele for red eye color (Xw+) is dominant over the allele for white eye color (Xw). You examine a vial of 100 flies that are all offspring from a single genetic cross. You find only red-eyed females and red-eyed males present. Flies from the vial were allowed to interbreed, and in the next generation you find only red-eyed females, but you find both red-eyed and white-eyed males. The genotypes of the original parents were ____.
| a. | Xw+Xw+; XwY |
| b. | Xw+Xw; XwY |
| c. | XwXw; Xw+Y |
| d. | Xw+Xw; Xw+Y |
| e. | XwXw; XwY |
| a. | Xw+Xw+; XwY |
37. A woman with normal blood clotting mates with a man who has hemophilia. Their first child is a boy who has hemophilia. Tests show that the father and son both have the same form of hemophilia, that it is X-linked, and that the boy has normal genetic inheritance. You can predict that if the couple has more children together, it is likely that ____.
| a. | all of the children will have hemophilia |
| b. | half of the boys and none of the girls will have hemophilia |
| c. | none of the other children should have hemophilia |
| d. | all of the boys and half of the girls will have hemophilia |
| e. | half of the boys and half of the girls will have hemophilia |
| e. | half of the boys and half of the girls will have hemophilia |
38. A woman with normal blood clotting mates with a man who also has normal blood clotting. Their first child is a boy who has hemophilia. Tests show that the child's hemophilia is X-linked and that he has normal genetic inheritance. You can predict that if the couple has more children together, then it is likely that ____.
| a. | all of the children will have hemophilia |
| b. | half of the boys and none of the girls will have hemophilia |
| c. | none of the rest of children should have hemophilia |
| d. | all of the boys and half of the girls will have hemophilia |
| e. | half of the boys and half of the girls will have hemophilia |
| b. | half of the boys and none of the girls will have hemophilia |
39. In placental mammals, such as humans, the dosage compensation mechanism to equalize expression of sex-linked genes in males and females involves ____.
| a. | doubling the gene expression for most genes on the X chromosome in males |
| b. | doubling the number of X chromosomes in males during embryonic development |
| c. | having all major genes on the X chromosome also present on the Y chromosome |
| d. | halving the gene expression for most genes on each X chromosome in females |
| e. | inactivating one of the two X chromosomes in most female somatic cells |
| e. | inactivating one of the two X chromosomes in most female somatic cells |
40. If you see a male calico cat, you can be fairly certain that his diploid cells have a sex chromosome combination of ____.
| a. | XYY |
| b. | XY |
| c. | XX |
| d. | XXY |
| e. | XO |
| d. | XXY |

41. The change in the chromosomes depicted between the top and the bottom in the accompanying figure represents a(n) ____.
| a. | inversion |
| b. | duplication |
| c. | reciprocal translocation |
| d. | deletion |
| e. | Philadelphia chromosome |
| c. | reciprocal translocation |

42. The change in the chromosome depicted between the top and the bottom in the accompanying figure represents a(n) ____.
| a. | inversion |
| b. | duplication |
| c. | reciprocal translocation |
| d. | deletion |
| e. | Philadelphia chromosome |
| a. | inversion |

43. The change in the chromosome depicted between the top and the bottom in the accompanying figure represents a(n) ____.
| a. | inversion |
| b. | duplication |
| c. | reciprocal translocation |
| d. | deletion |
| e. | Philadelphia chromosome |
| b. | duplication |

44. The change in the chromosome depicted between the top and the bottom in the accompanying figure represents a(n) ____.
| a. | inversion |
| b. | duplication |
| c. | reciprocal translocation |
| d. | deletion |
| e. | Philadelphia chromosome |
| d. | deletion |
45. In humans, a deletion from chromosome 5 typically leads to severe mental retardation and a malformed larynx; this disorder is known as ____.
| a. | Turner syndrome |
| b. | Down syndrome |
| c. | cri-du-chat |
| d. | Triple-X syndrome |
| e. | Klinefelter syndrome |
| c. | cri-du-chat |
46. If a hypothetical human female of genotype XX had no Barr body in any of her cells, ---____.
| a. | she would be phenotypically male |
| b. | she would be considered triploid |
| c. | the genes on both X chromosomes would be expressed |
| d. | she would have Turner syndrome |
| e. | she would have a Y chromosome |
| c. | the genes on both X chromosomes would be expressed |
47. The presence of genes that encode many types of hemoglobin in mammals, but not in other vertebrates that evolved earlier, is evidence of ____ of genetic material.
| a. | an inversion |
| b. | the duplication |
| c. | reciprocal translocation |
| d. | the deletion |
| e. | both duplication and deletion |
| b. | the duplication |
48. Individuals who have therapy-related myeloid neoplasms (t-MN) often have deletions of chromosome 5. These deleted genes are ____.
| a. | completely inactive |
| b. | expressed at lower levels in these individuals due to haploinsufficiency |
| c. | expressed at higher levels in these individuals due to dosage compensation |
| d. | usually involved in promoting entry into mitosis |
| e. | usually involved in promoting entry into meiosis |
| b. | expressed at lower levels in these individuals due to haploinsufficiency |
49. Chemical compounds released during tobacco use can cause ____.
| a. | sickle-cell anemia |
| b. | color blindness |
| c. | cancer |
| d. | cystic fibrosis |
| e. | hemophilia |
| c. | cancer |
50. Nondisjunction refers to the ____.
| a. | failure of sister chromatids to separate during mitosis |
| b. | improper pairing of nonhomologous chromosomes during meiosis |
| c. | failure of sister chromatids to pair during mitosis |
| d. | failure of homologous pairs or sister chromatids to separate during meiosis |
| e. | failure of homologous pairs to separate during mitosis |
| d. | failure of homologous pairs or sister chromatids to separate during meiosis |
51. Individuals with extra or missing copies of one or more chromosomes are called ____.
| a. | polyploids |
| b. | haploids |
| c. | aneuploids |
| d. | euploids |
| e. | diploids |
| c. | aneuploids |
52. Individuals with three or more copies of each of their chromosomes are called ____.
| a. | polyploids |
| b. | haploids |
| c. | aneuploids |
| d. | euploids |
| e. | diploids |
| a. | polyploids |
53. Which is most likely to happen to a human polyploid?
| a. | natural abortion |
| b. | death around the age of 1 year |
| c. | survival until the early teens |
| d. | survival until the mid-thirties |
| e. | death around the age of 1 month |
| a. | natural abortion |
54. In cells of human individuals with three or more X chromosomes, ____.
| a. | one X chromosome remains active and the others are inactivated |
| b. | all of the X chromosomes remain active |
| c. | two X chromosomes remain active and the others are inactivated |
| d. | two X chromosomes remain active in females and one remains active in males; the rest are inactivated |
| e. | only one X chromosome is inactivated |
| a. | one X chromosome remains active and the others are inactivated |
55. In humans, an extra copy of chromosome 21 typically leads to moderate to severe mental retardation and sterility, as well as to a greater likelihood of heart defects and other problems. This disorder is known as ____.
| a. | Turner syndrome |
| b. | Down syndrome |
| c. | cri-du-chat |
| d. | Triple-X syndrome |
| e. | Klinefelter syndrome |
| b. | Down syndrome |
56. Which condition would most likely lead to an apparently normal human female?
| a. | Turner syndrome |
| b. | Down syndrome |
| c. | cri-du-chat |
| d. | Triple-X syndrome |
| e. | Klinefelter syndrome |
| d. | Triple-X syndrome |

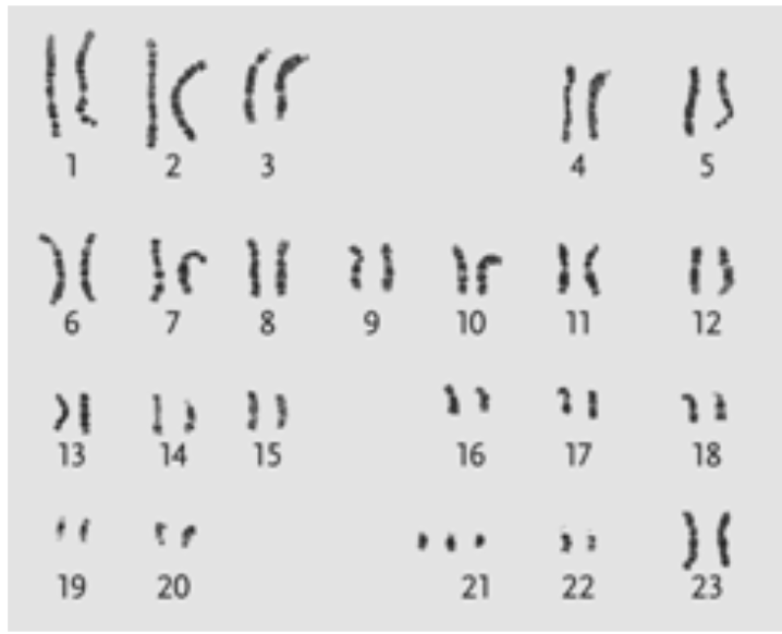
57. Which genetic condition is revealed in the karyotype display shown in the accompanying figure?
| a. | Turner syndrome |
| b. | Down syndrome |
| c. | cri-du-chat |
| d. | Triple-X syndrome |
| e. | Klinefelter syndrome |
| b. | Down syndrome |
58. About half of all flowering plant species, including many important crop plants, are ____.
| a. | polyploids |
| b. | haploids |
| c. | aneuploids |
| d. | monoploids |
| e. | diploids |
| a. | polyploids |
59. Which statement correctly describes autosomal recessive inheritance?
| a. | Individuals who are heterozygous for the recessive allele display the trait. |
| b. | Individuals who are homozygous for the recessive allele display the trait. |
| c. | Individuals who are homozygous for the dominant allele are known as carriers. |
| d. | Autosomal alleles are found on the X and Y chromosomes. |
| e. | Individuals will never express these traits. |
| b. | Individuals who are homozygous for the recessive allele display the trait. |
60. About 10-15% of African Americans in the US are carriers for ____, an autosomal recessive genetic disorder in which a defective version of the hemoglobin protein is produced.
| a. | Duchenne muscular dystrophy |
| b. | phenylketonuria |
| c. | achondroplasia |
| d. | sickle-cell anemia |
| e. | cystic fibrosis |
| d. | sickle-cell anemia |
61. Carriers of the sickle-cell allele have a genetic advantage because they have ____.
| a. | lower blood pressure |
| b. | the ability to carry more oxygen in their blood |
| c. | increased resistance to malaria |
| d. | hyperactive immune systems |
| e. | extra red blood cells |
| c. | increased resistance to malaria |
62. About 4% of individuals of Northern European descent are carriers for ____, an autosomal recessive genetic disorder in which a defective membrane transport protein leads to deficient chloride levels in extracellular fluids.
| a. | Duchenne muscular dystrophy |
| b. | phenylketonuria |
| c. | achondroplasia |
| d. | sickle-cell anemia |
| e. | cystic fibrosis |
| e. | cystic fibrosis |
63. An individual who is a carrier of a genetically inherited disease ____.
| a. | has the disease, and all of their offspring will have the disease |
| b. | does not have the disease but must have a parent with the disease |
| c. | does not have the disease but may have offspring with the disease |
| d. | has the disease and must have a parent with the disease |
| e. | does not have the disease but must have a parent with the disease and may have offspring with the disease |
| c. | does not have the disease but may have offspring with the disease |
64. Most hospitals in the United States routinely test all newborns for ____, an autosomal recessive disorder in which a metabolic abnormality causes a buildup of compounds that damage brain tissue and can lead to mental retardation unless a restricted diet is followed.
| a. | Duchenne muscular dystrophy |
| b. | phenylketonuria |
| c. | achondroplasia |
| d. | sickle-cell anemia |
| e. | cystic fibrosis |
| b. | phenylketonuria |
65. This autosomal dominant genetic trait is associated with a gene on human chromosome 4 and causes a type of dwarfing due to defective cartilage formation.
| a. | Duchenne muscular dystrophy |
| b. | phenylketonuria |
| c. | achondroplasia |
| d. | sickle-cell anemia |
| e. | cystic fibrosis |
| c. | achondroplasia |
66. Which genetic condition has an X-linked recessive inheritance pattern?
| a. | Duchenne muscular dystrophy |
| b. | phenylketonuria |
| c. | achondroplasia |
| d. | sickle-cell anemia |
| e. | cystic fibrosis |
| a. | Duchenne muscular dystrophy |
67. You are a genetic counselor, and a couple comes to you with concerns that if they have a child together, he or she could have cystic fibrosis. Genetic tests reveal that the woman is a carrier for cystic fibrosis but the man is not. How should you advise them?
| a. | Half of their children will have cystic fibrosis, and the other half will be carriers. |
| b. | All of their children will have cystic fibrosis. |
| c. | There are no concerns, because none of their offspring have a chance of inheriting the cystic fibrosis allele. |
| d. | While none of their children will have cystic fibrosis, each child will have a 50% chance of being a carrier. |
| e. | All of their children will have a 25% chance of having cystic fibrosis. |
| d. | While none of their children will have cystic fibrosis, each child will have a 50% chance of being a carrier. |
68. You are genetic counselor, and a couple comes to you with concerns that if they have a child together, he or she could have sickle-cell anemia. Genetic tests reveal that both the man and woman are carriers for sickle-cell anemia. How should you advise them?
| a. | Half of their children will have sickle-cell anemia, and the other half will be carriers. |
| b. | All of their children will have sickle-cell anemia. |
| c. | There are no concerns, because none of their offspring have a chance of inheriting the sickle-cell allele. |
| d. | While none of their children will have sickle-cell anemia, each child will have a 50% chance of being a carrier. |
| e. | All of their children will have a 25% chance of having sickle-cell anemia. |
| e. | All of their children will have a 25% chance of having sickle-cell anemia. |
69. Prenatal diagnosis techniques such as amniocentesis and chorionic villus sampling remove cells produced by the embryo. These cells are then used ____.
| a. | to treat diseases |
| b. | for implantation to produce pregnancy |
| c. | to develop embryonic stem cells |
| d. | to test for the presence of mutant alleles or chromosomal alterations |
| e. | for cloning |
| d. | to test for the presence of mutant alleles or chromosomal alterations |
70. A mutation in the human gene for a fibroblast growth factor receptor (FGFR) appears to be responsible for ____.
| a. | Duchenne muscular dystrophy |
| b. | phenylketonuria |
| c. | achondroplasia |
| d. | sickle-cell anemia |
| e. | cystic fibrosis |
| c. | achondroplasia |
71. Cytoplasmic inheritance refers to genes found in ____.
| a. | sex chromosomes |
| b. | mitochondria and chloroplasts |
| c. | viruses |
| d. | bacteria |
| e. | linkages |
| b. | mitochondria and chloroplasts |
72. Why are mitochondrial genes inherited in a non-Mendelian pattern?
| a. | The mitochondrial genes are on the X chromosome. |
| b. | The mitochondrial genes are autosomal. |
| c. | The mitochondrial genes are not separated by meiosis. |
| d. | Both parents contribute an equal number of mitochondrial genes to the offspring. |
| e. | A zygote receives most of its cytoplasm from the male parent. |
| c. | The mitochondrial genes are not separated by meiosis. |
73. For most multicellular eukaryotes, including humans, mitochondria are inherited ____.
| a. | only from the father |
| b. | from both the father and the mother |
| c. | from the mother for female offspring and from the father for male offspring |
| d. | randomly from either the father or the mother |
| e. | only from the mother |
| e. | only from the mother |
74. When one parental allele is expressed and the other is silenced, the phenomenon is called ____.
| a. | sex-linked inheritance |
| b. | uniparental inheritance |
| c. | cytoplasmic inheritance |
| d. | genomic imprinting |
| e. | maternal inheritance |
| d. | genomic imprinting |
75. One mechanism of genomic imprinting silences an allele by DNA ____.
| a. | methylation |
| b. | mutation |
| c. | transposition |
| d. | deletion |
| e. | inversion |
| a. | methylation |
76. Haploinsufficiency ____.
| a. | produces Barr bodies |
| b. | results from elevated gene dosage |
| c. | occurs when a diploid organism has only one functional copy of a gene |
| d. | occurs due to gene duplication |
| e. | refers to the loss of a whole set of chromosomes |
| c. | occurs when a diploid organism has only one functional copy of a gene |

77. Examine the pedigree in the figure above. Individuals affected by the genetic condition in question are indicated by filled squares or circles. Which inheritance pattern is most likely correct for this condition in this family?
| a. | autosomal dominant |
| b. | X-linked recessive |
| c. | X-linked dominant |
| d. | cytoplasmic inheritance |
| e. | autosomal recessive |
| b. | X-linked recessive |

78. Examine the pedigree in the accompanying figure. Individuals affected by the genetic condition in question are indicated by filled squares or circles. Which inheritance pattern is most likely correct for this condition in this family?
| a. | autosomal dominant |
| b. | X-linked recessive |
| c. | X-linked dominant |
| d. | cytoplasmic inheritance |
| e. | autosomal recessive |
| a. | autosomal dominant |

79. Examine the pedigree in the figure above. Individuals affected by the genetic condition in question are indicated by filled squares or circles. Which inheritance pattern is most likely correct for this condition in this family?
| a. | autosomal dominant |
| b. | X-linked recessive |
| c. | X-linked dominant |
| d. | cytoplasmic inheritance |
| e. | autosomal recessive |
| c. | X-linked dominant |

80. Examine the pedigree in the figure above. Individuals affected by the genetic condition in question are indicated by filled squares or circles. Which inheritance pattern is most likely correct for this condition in this family?
| a. | autosomal dominant |
| b. | X-linked recessive |
| c. | X-linked dominant |
| d. | cytoplasmic inheritance |
| e. | autosomal recessive |
| e. | autosomal recessive |
81. You are a genetic counselor, and a couple comes to you with concerns that if they have a child together, he or she could have hemophilia. The man has an X-linked recessive form of hemophilia, but the woman does not. Genetic tests reveal the woman is not a carrier for hemophilia. How should you advise them?
| a. | Half of their children will have hemophilia. |
| b. | All of their sons and half of their daughters will have hemophilia. |
| c. | None of their children will have hemophilia, but all of their daughters will be carriers for hemophilia. |
| d. | Each of their sons will have a 50% chance of having hemophilia, and each of their daughters will have a 50% chance of being carriers. |
| e. | All of their sons will have hemophilia, and all of their daughters will be carriers. |
| c. | None of their children will have hemophilia, but all of their daughters will be carriers for hemophilia. |
82. You are a genetic counselor, and a couple comes to you with concerns that if they have a child together, he or she could have hemophilia. The woman has an X-linked recessive form of hemophilia, but the man does not. How should you advise them?
| a. | Half of their children will have hemophilia.. |
| b. | All of their sons and half of their daughters will have hemophilia. |
| c. | None of their children will have hemophilia, but all of their daughters will be carriers for hemophilia. |
| d. | Each of their sons will have a 50% chance of having hemophilia, and each of their daughters will have a 50% chance of being carriers. |
| e. | All of their sons will have hemophilia, and all of their daughters will be carriers. |
| e. | All of their sons will have hemophilia, and all of their daughters will be carriers. |
83. You are a genetic counselor, and a couple comes to you with concerns that if they have a child together, he or she could have hemophilia. Neither of them has hemophilia, but the woman's biological father did have an X-linked recessive form of hemophilia. How should you advise them?
| a. | Half of their children will have hemophilia. |
| b. | All of their sons and half of their daughters will have hemophilia. |
| c. | None of their children will have hemophilia, but all of their daughters will be carriers for hemophilia. |
| d. | Each of their sons will have a 50% chance of having hemophilia, and each of their daughters will have a 50% chance of being carriers. |
| e. | All of their sons will have hemophilia, and all of their daughters will be carriers. |
| d. | Each of their sons will have a 50% chance of having hemophilia, and each of their daughters will have a 50% chance of being carriers. |
Choose the mode of inheritance that has been determined for each of the following genetic conditions in humans. Some choices may be used more than once.
a. | autosomal recessive |
b. | autosomal dominant |
c. | X-linked recessive |
d. | X-linked dominant |
e. | aneuploidy |
Down Syndrome
e. | aneuploidy |
Choose the mode of inheritance that has been determined for each of the following genetic conditions in humans. Some choices may be used more than once.
a. | autosomal recessive |
b. | autosomal dominant |
c. | X-linked recessive |
d. | X-linked dominant |
e. | aneuploidy |
Achondroplasia
b. | autosomal dominant |
Choose the mode of inheritance that has been determined for each of the following genetic conditions in humans. Some choices may be used more than once.
a. | autosomal recessive |
b. | autosomal dominant |
c. | X-linked recessive |
d. | X-linked dominant |
e. | aneuploidy |
Sickle-cell anemia
a. | autosomal recessive |
Choose the mode of inheritance that has been determined for each of the following genetic conditions in humans. Some choices may be used more than once.
a. | autosomal recessive |
b. | autosomal dominant |
c. | X-linked recessive |
d. | X-linked dominant |
e. | aneuploidy |
Hereditary Enamel Hydroplasia
d. | X-linked dominant |
Choose the mode of inheritance that has been determined for each of the following genetic conditions in humans. Some choices may be used more than once.
a. | autosomal recessive |
b. | autosomal dominant |
c. | X-linked recessive |
d. | X-linked dominant |
e. | aneuploidy |
Phenylketonuria
a. | autosomal recessive |
Choose the mode of inheritance that has been determined for each of the following genetic conditions in humans. Some choices may be used more than once.
a. | autosomal recessive |
b. | autosomal dominant |
c. | X-linked recessive |
d. | X-linked dominant |
e. | aneuploidy |
Duchenne Muscular Dystrophy
c. | X-linked recessive |
Choose the mode of inheritance that has been determined for each of the following genetic conditions in humans. Some choices may be used more than once.
a. | autosomal recessive |
b. | autosomal dominant |
c. | X-linked recessive |
d. | X-linked dominant |
e. | aneuploidy |
Cystic Fibrosis
a. | autosomal recessive |
Choose the mode of inheritance that has been determined for each of the following genetic conditions in humans. Some choices may be used more than once.
a. | autosomal recessive |
b. | autosomal dominant |
c. | X-linked recessive |
d. | X-linked dominant |
e. | aneuploidy |
Red-green colorblindness
c. | X-linked recessive |
Choose the mode of inheritance that has been determined for each of the following genetic conditions in humans. Some choices may be used more than once.
a. | autosomal recessive |
b. | autosomal dominant |
c. | X-linked recessive |
d. | X-linked dominant |
e. | aneuploidy |
Progeria
b. | autosomal dominant |