27: Cartilage & Bone

0.0(0)
studied byStudied by 0 people
0.0(0)
full-widthCall with Kai
GameKnowt Play
New
learnLearn
examPractice Test
spaced repetitionSpaced Repetition
heart puzzleMatch
flashcardsFlashcards
Card Sorting

1/172

encourage image

There's no tags or description

Looks like no tags are added yet.

Study Analytics
Name
Mastery
Learn
Test
Matching
Spaced

No study sessions yet.

173 Terms

1
New cards

Cartilage

Bone

What two things make up firm CT?

2
New cards

Diffusion

How do avascular cartilage receive nutrients?

3
New cards

Hyaline cartilage

Elastic cartilage

Fibrocartilage

What are the three type of cartilage

4
New cards

hyaline cartilage

most prevalent type of cartilage:

5
New cards

hyaline cartilage

identify the cartilage:

<p>identify the cartilage:</p>
6
New cards

hyaline cartilage

identify the cartilage:

<p>identify the cartilage:</p>
7
New cards

hyaline cartilage

identify the cartilage:

<p>identify the cartilage:</p>
8
New cards

hyaline cartilage

identify the cartilage:

<p>identify the cartilage:</p>
9
New cards

hyaline cartilage

what type of cartilage is located at all articular joint surfaces?

10
New cards

Hyaline cartilage

what type of cartilage is located in the respiratory system?

11
New cards

hyaline cartilage

what type of cartilage is found in fetuses?

12
New cards

hyaline cartilage

what type of cartilage are costal ribs made of?

13
New cards

elastic cartilage

-similar to hyaline but also contains elastic fibers

14
New cards

elastic cartilage

what type of cartilage is found in the external ear?

15
New cards

elastic cartilage

what type of cartilage is the Eustachian tube made of?

16
New cards

elastic cartilage

what type of cartilage is the Layrnx (epiglottis) made of?

17
New cards

fibrocartilage

what type of cartilage are the vertebral discs (IVD) made of?

18
New cards

fibrocartilage

-hydrated (resists compression) but also contains collagen I so also high in tensile strength

19
New cards

fibrocartilage

what type of cartilage do the temporomandibular joints contain?

20
New cards

fibrocartilage

what type of cartilage does the pubic symphysis contain?

21
New cards

Fibrocartilage

What type of cartilage is the meniscus made of?

22
New cards

false

t/f: all cartilage has its own vacsular supply

23
New cards

true

t/f: all cartilage is aneural

24
New cards

type II collagen

what type of collagen is abundant in all cartilages?

25
New cards

Hyaline cartilage

What cartilage has the following functions:

Resist compression

Cushioning

26
New cards

Hyaline cartilage

What cartilage has collagen II and aggrecan in it's matrix?

27
New cards

Elastic cartilage

What type of cartilage has the following function:

Flexible support

28
New cards

Elastic cartilage

What type of cartilage has collagen II, aggrecan, and elastic fibers?

29
New cards

Fibrocartilage

What type of cartilage has the following function:

Resist compression

Resist shearing forces

30
New cards

Fibrocartilage

What type of cartilage has collagen II, collagen I, versican, and aggrecan?

31
New cards

Hyaline cartilage (except for articular cartilage)

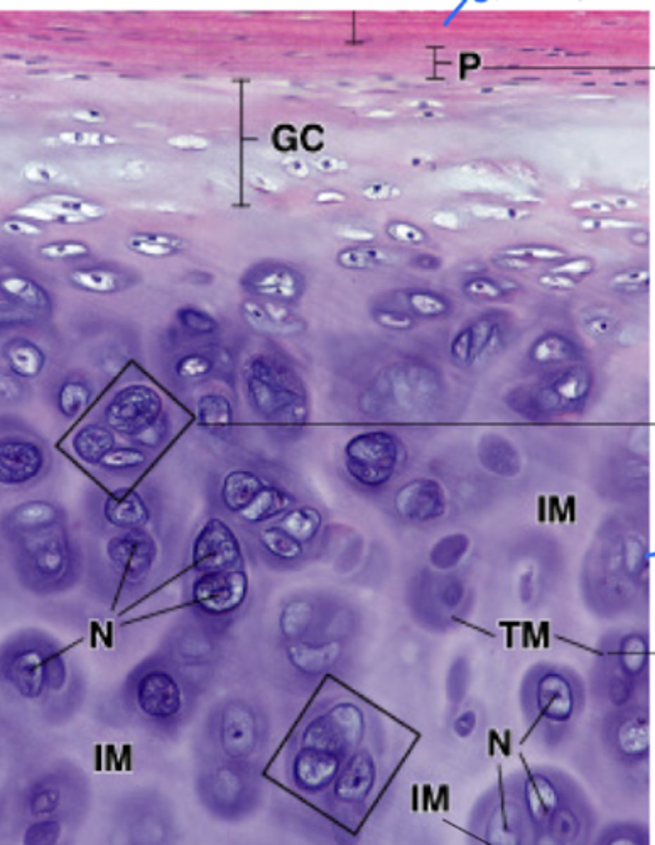
Elastic cartilage

What type of cartilage has a presence of perichondrium

32
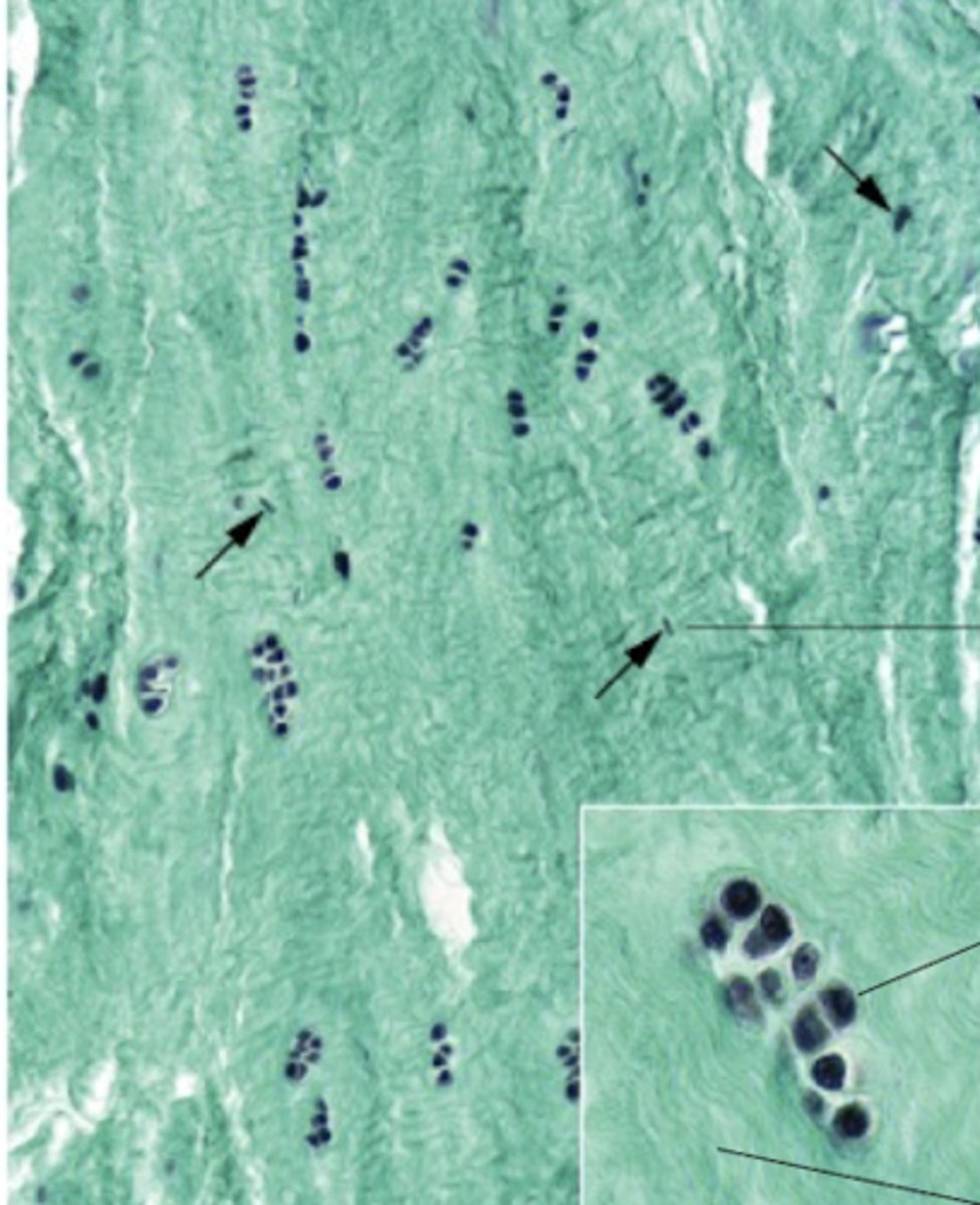
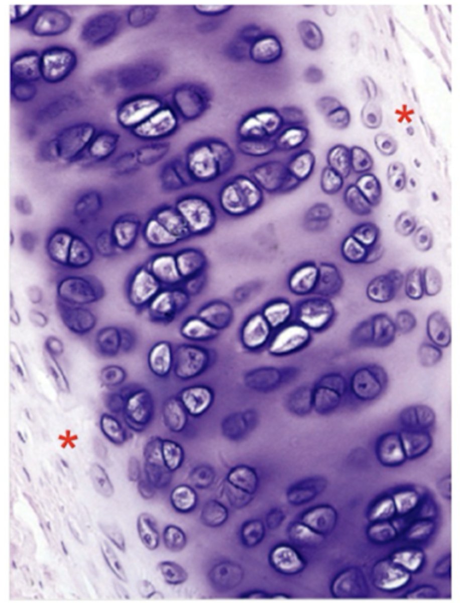
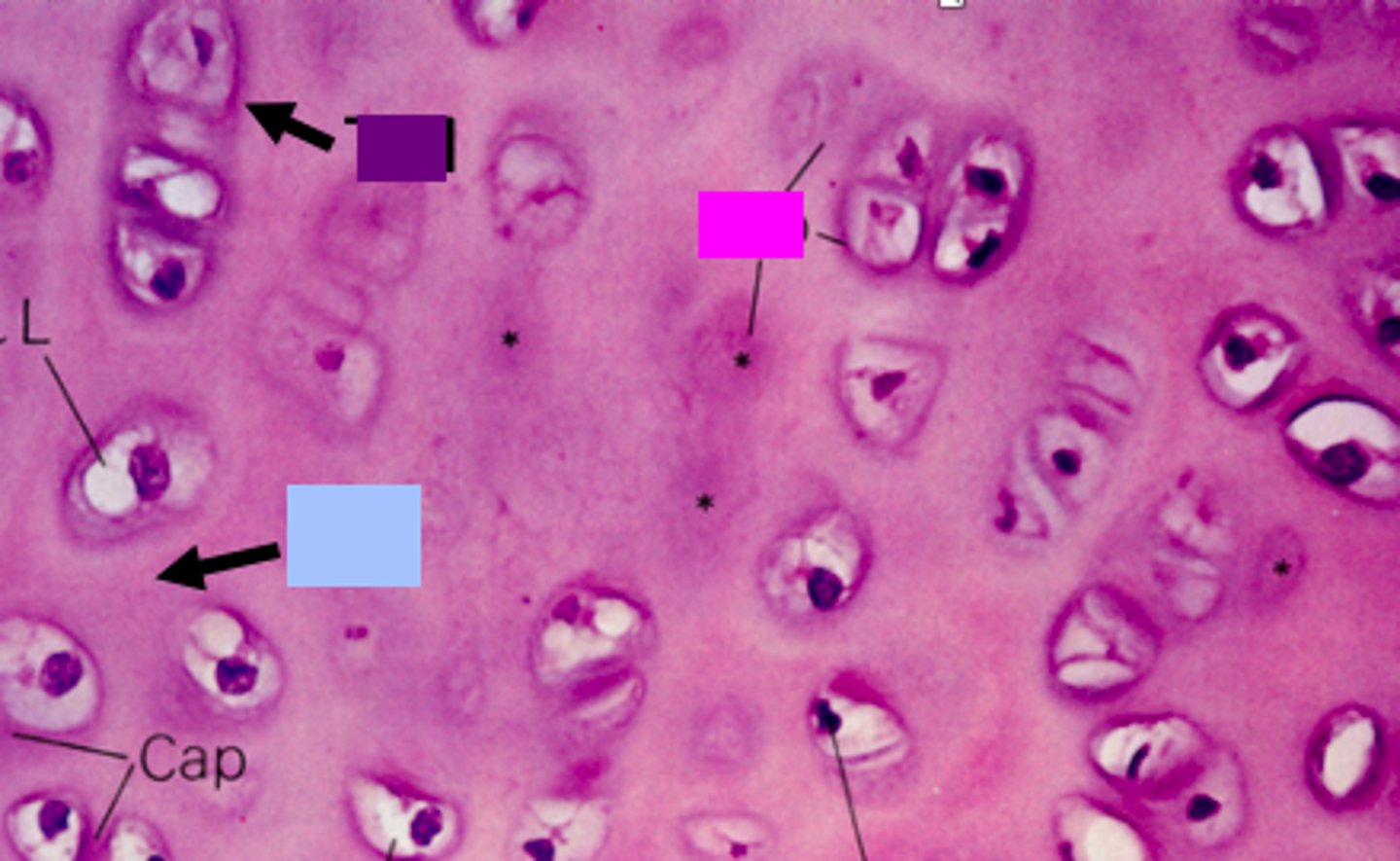
New cards

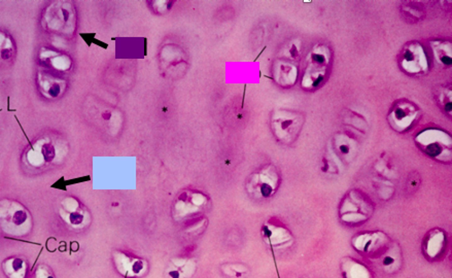
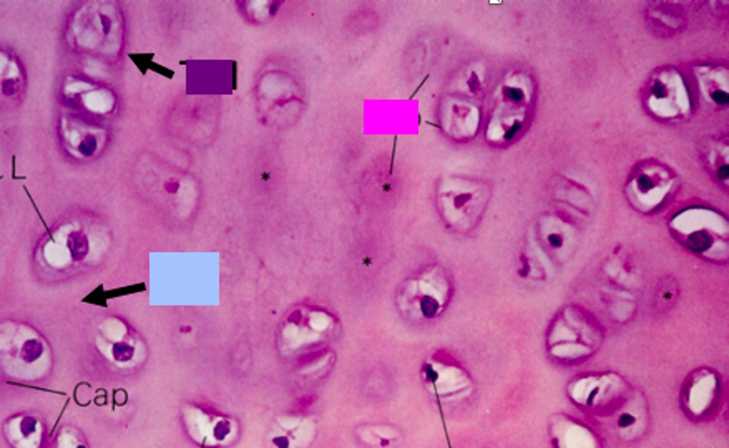
isogenous groups

identify the pink box:

<p>identify the pink box:</p>
33
New cards

Descendants from a single cell

What is an isogenous group?

34
New cards

interterritorial matrix

identify the blue box:

<p>identify the blue box:</p>
35
New cards

territorial matrix

identify the purple box:

<p>identify the purple box:</p>
36
New cards

Basophilic

Territorial matrix (TM) has strong __________ staining

37
New cards

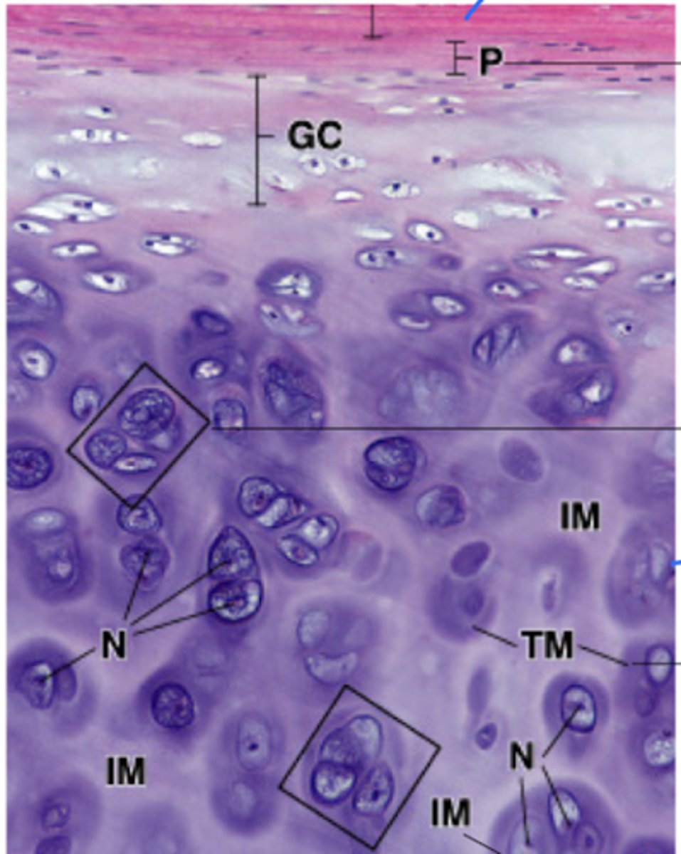
Perichondrium (collagen- I rich)

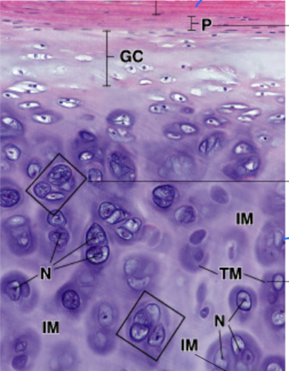
What does the P stand for?

<p>What does the P stand for?</p>
38
New cards

Territorial matrix

What does the TM stand for?

<p>What does the TM stand for?</p>
39
New cards

Interterritorial matrix

What does the IM stand for?

<p>What does the IM stand for?</p>
40
New cards

Chondrocyte

What does #1 point to?

<p>What does #1 point to?</p>
41
New cards

Extracellular matrix (ECM)

What does #2 point to?

<p>What does #2 point to?</p>
42
New cards

Lacuna

What does #3 point to?

<p>What does #3 point to?</p>
43
New cards

Nucleus

What does #4 point to?

<p>What does #4 point to?</p>
44
New cards

true

t/f: all cartilage experiences both appositional and interstitial growth

45
New cards

Appositional growth

What type of growth is from the perichondrium, forms at surface and increases in girth?

46
New cards

Interstitial growth

What type of growth are there cell divisions within the matrix resulting in increases in length and girth?

47
New cards

lacuna

chondrocytes are located in the _______

48
New cards

Lacuna

A chondrocyte fully occupies the _________, closely attaching the ECM

49
New cards

osteoarthritis

degradation of hyaline cartilage at articular surfaces caused by wear and tear:

50
New cards

rheumatoid arthritis

degradation of hyaline cartilage and inflamed synovium due to autoimmunity

51
New cards

osteoarthritis

identify the cartilage disease:

<p>identify the cartilage disease:</p>
52
New cards

rheumatoid arthritis

identify the cartilage disease:

<p>identify the cartilage disease:</p>
53
New cards

elastic cartilage

identify the cartilage:

<p>identify the cartilage:</p>
54
New cards

elastic cartilage

identify the cartilage:

<p>identify the cartilage:</p>
55
New cards

elastic cartilage

identify the cartilage:

<p>identify the cartilage:</p>
56
New cards

Elastic cartilage

Identify the cartilge

<p>Identify the cartilge</p>
57
New cards

fibrocartilage

which type of cartilage does NOT have perichondrium?

58
New cards

Dense CT (has col I)

Hyaline cartilage (has col II)

Fibrocartilage is a combination of what?

59
New cards

Nucleus of a fibroblast cell

What does the arrow point to?

<p>What does the arrow point to?</p>
60
New cards

Isogenous group of chondrocytes

What would this be called in a fibrocartilage?

<p>What would this be called in a fibrocartilage?</p>
61
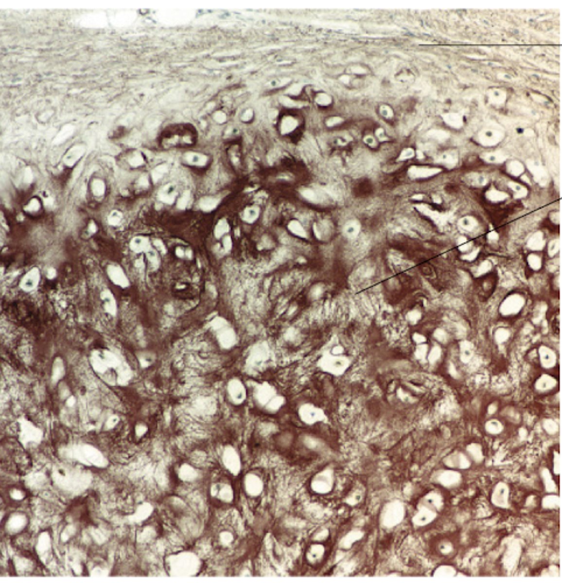
New cards

Collagen fibers in fibrocartilage

What is stained green?

<p>What is stained green?</p>
62
New cards

fibroblasts

additionally to chondroblasts, what cells do fibrocartilage have that elastic and hyaline not have?

63
New cards

fibrocartilage

identify the cartilage:

<p>identify the cartilage:</p>
64
New cards

Negative (basophilic)

What type of charges do proteoglycans have?

65
New cards

Positive (eosinophilic)

What type of charges do collagen have?

66
New cards

GAG

Aggrecan = aggrecan core protein + _______

67
New cards

Nucleus pulposus

What does the NP stand for?

<p>What does the NP stand for?</p>
68
New cards

Anulus fibrosus

What does the AF stand for?

<p>What does the AF stand for?</p>
69
New cards

Herniated disc

What is it when a portion of the nucleus pulposus protrudes into the intervertebral foramen, pressing on one of the spinal nerves in the process

70
New cards

Synovial joint

What type of joint is shown?

<p>What type of joint is shown?</p>
71
New cards

Articular cartilage (no perichondrium)

What type of cartilage is shown?

<p>What type of cartilage is shown?</p>
72
New cards

Articular cartilage

Arthritis is caused by degradation of what type of cartilage?

<p>Arthritis is caused by degradation of what type of cartilage?</p>
73
New cards

connective tissue

What type of tissue is bone?

74
New cards

Mineralized

is the extracellular matrix of bone mineralized or not mineralized?

75
New cards

Bone

What has the following function:

Support

Calcium and phosphate storage

76
New cards

Fibers: Collagen I

Ground substance: Proteoglycan

What makes up the organic extracellular matrix of bones?

77
New cards

Hydroxyapatite Ca10(PO4)6(OH)2

What makes up the inorganic extracellular matrix of bones?

78
New cards

Appositional

What type of growth are bones?

79
New cards

woven bone

-immature bone

-disorderly arrangement of collagen

80
New cards

True

T/F: Bones have vascular blood supply

81
New cards

compact

spongy

two types of lamellar bone are:

82
New cards

periosteum

identify the blue box:

<p>identify the blue box:</p>
83
New cards

endosteum

identify the purple box:

<p>identify the purple box:</p>
84
New cards

Epiphysis

What is shown at #1?

<p>What is shown at #1?</p>
85
New cards

Metaphysis

What is shown at #2?

<p>What is shown at #2?</p>
86
New cards

Diaphysis

What is shown at #3?

<p>What is shown at #3?</p>
87
New cards

Periosteum

What is shown at #4 (red)?

<p>What is shown at #4 (red)?</p>
88
New cards

Bone marrow

What is shown at #5?

<p>What is shown at #5?</p>
89
New cards

Articular cartilage

What is shown at #6 (blue)?

<p>What is shown at #6 (blue)?</p>
90
New cards

compact bone

what type of lamellar bone has:

-Haversian systems

-concentric lamellae

91
New cards

Spongy bone

What type of bone is formed first?

92
New cards

Spongy bone

What type of bone has a lamellated matrix?

<p>What type of bone has a lamellated matrix?</p>
93
New cards

Hyaline cartilage

Identify this tissue

<p>Identify this tissue</p>
94
New cards

Osteons

Mature compact bone is composed of __________

95
New cards

Volkmann's canal (or transverse canal)

What connects osteons inside and outside the bone?

96
New cards

Haversian canal

What is the center of an osteon called?

97
New cards

Endosteum

What is shown at #1?

<p>What is shown at #1?</p>
98
New cards

Inner circumferential lamella

What is shown at #2?

<p>What is shown at #2?</p>
99
New cards

Volkmann's canal

What is shown at #3?

<p>What is shown at #3?</p>
100
New cards

Haversian canal

What is shown at #4?

<p>What is shown at #4?</p>