1/9
Name | Mastery | Learn | Test | Matching | Spaced | Call with Kai |
|---|
No study sessions yet.
interphase

prophase

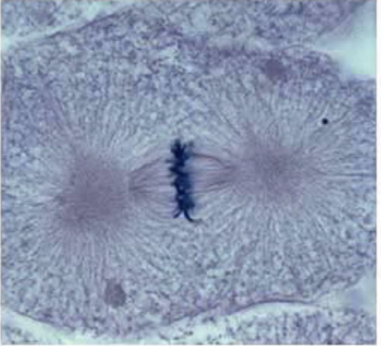
metaphase

anaphase

telophase

chromatin fibers appear as coiled/thickened, condensed structures of chromosomes
centrosome migrates to opposite poles
nucleolus and nuclear membrane disappear
asters radiate around each centrioles
mitotic spindles start to form
special characteristic of prophase
spindle captured all chromosomes and all are lined at the middle of the cell
all chromosomes are at metaphase plate to ensure sister chromatids will split evenly
special characteristic of metaphase
sister chromatids are seperated and pulled toward opposite poles
special characteristic of anaphase
cleavage furrow starts to appear
nuclear membrane and nucleolus start to reappear
chromosomes uncoil and assume threadlike appearance
asters and mitotic spindles disappear
special characteristics of telophase
division of cytoplasm
usually happens alongside telophase
completely seperated daughter cells are formed soon after mitosis
special characteristic of cytokinesis