1/9
Name | Mastery | Learn | Test | Matching | Spaced | Call with Kai |
|---|
No analytics yet
Send a link to your students to track their progress
Venules

Lymphatics

Arteriole

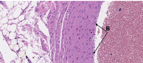
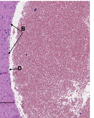
Tunica Media

Internal Elastic lamina

Tunica adventitia

Endothelium (D)

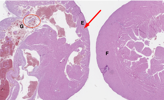
Atrium

Ventricle

AV Valve
