HA Head (Exam 3)

0.0(0)
studied byStudied by 1 person
0.0(0)
full-widthCall with Kai
GameKnowt Play
New
learnLearn
examPractice Test
spaced repetitionSpaced Repetition
heart puzzleMatch
flashcardsFlashcards
Card Sorting

1/39

encourage image

There's no tags or description

Looks like no tags are added yet.

Study Analytics
Name
Mastery
Learn
Test
Matching
Spaced

No study sessions yet.

40 Terms

1
New cards

Arcus senilis

Gray ring around eye

<p>Gray ring around eye</p>
2
New cards

Pterygium

Bulging bump from eye

<p>Bulging bump from eye</p>
3
New cards

Stye (eclezion)

Clogged pore around eye

<p>Clogged pore around eye</p>
4
New cards

Conjunctivits

Pink eye

<p>Pink eye</p>
5
New cards

Subconjuctiva bleed

Blood in eye

<p>Blood in eye</p>
6
New cards

Strabismus

One eye points inwards

<p>One eye points inwards</p>
7
New cards

Ptosis

Drooping of eyelid

<p>Drooping of eyelid</p>
8
New cards

Iris

Colored part of the eye

9
New cards

Pupil

The opening through which light enters the eye (black part)

10
New cards

Schlera

white of the eye

11
New cards

Conjunctiva

Delicate membrane lining the eyelids and covering the eyeball

<p>Delicate membrane lining the eyelids and covering the eyeball</p>
12
New cards

Cornea

The clear tissue that covers the front of the eye

<p>The clear tissue that covers the front of the eye</p>
13
New cards

Lens

the transparent structure behind the pupil that changes shape to help focus images on the retina

14
New cards

Herpes simplex

cold sores

<p>cold sores</p>
15
New cards

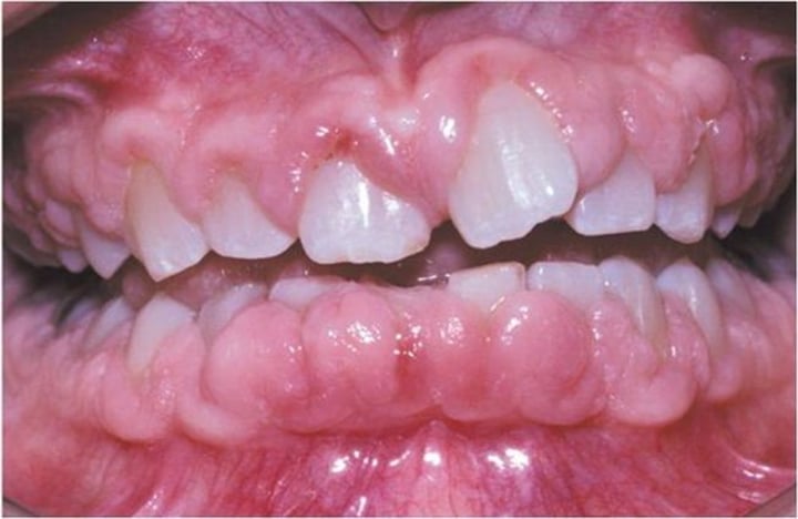
Gingival hypertrophy

Increased size of the gum encircling the teeth

<p>Increased size of the gum encircling the teeth</p>
16
New cards

Oral candidiasis (thrush)

involves white curd-like growth on the mucous membranes of the mouth

<p>involves white curd-like growth on the mucous membranes of the mouth</p>
17
New cards

Tinnitus

ringing in the ears

18
New cards

epistaxis

nosebleed

19
New cards

Glaucoma

increased intraocular pressure

20
New cards

Whisper test

Test in which an examiner whispers a word and asks the patient to repeat it to evaluate loss of high-frequency sounds.

21
New cards

Weber test

Test done by placing the stem of a vibrating tuning fork on the midline of the head and having the patient indicate in which ear the tone can be heard

Abnormal finding: sensorineural hearing loss

22
New cards

Rinne test

hearing acuity test performed with a vibrating tuning fork that is first placed on the mastoid process and then in front of the external auditory canal to test bone and air conduction

23
New cards

Romberg test

Patient stands with eyes closed and balances for 30-60 seconds

24
New cards

Maxillary sinus

knowt flashcard image
25
New cards

Ethmoid sinus

knowt flashcard image
26
New cards

Spenoid sinus

knowt flashcard image
27
New cards

Frontal sinus

knowt flashcard image
28
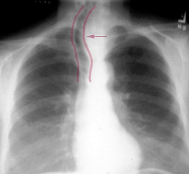
New cards

trachial deviation

a shifting of the trachea to either side of the midline of the neck caused by pneumothorax

<p>a shifting of the trachea to either side of the midline of the neck caused by pneumothorax</p>
29
New cards

Goiter

enlargement of the thyroid gland

<p>enlargement of the thyroid gland</p>
30
New cards

Graves disease

hyperthyroidism

31
New cards

Preauricular

1

<p>1</p>
32
New cards

Posterior auricular

2

<p>2</p>
33
New cards

Occipital

3

<p>3</p>
34
New cards

tonsillar

6

<p>6</p>
35
New cards

Submandibular

5

<p>5</p>
36
New cards

Submental

4

<p>4</p>
37
New cards

Superficial cervical

7

<p>7</p>
38
New cards

Deep cervical

8

<p>8</p>
39
New cards

Posterior cervical

9

<p>9</p>
40
New cards

Supraclavicular

10

<p>10</p>