1/59
Looks like no tags are added yet.
Name | Mastery | Learn | Test | Matching | Spaced | Call with Kai |
|---|
No analytics yet
Send a link to your students to track their progress
1. What is another name for a cystic hygroma?
a. Granuloma
b. Lymphangioma
c. Arteriovenous fistula
d. Teratoma
b. Lymphangioma
2. What is the medical term for bulging eyes?
a. Exophthalmos
b. Exopglossia
c. Exoccularia
d. Exoglobia
a. Exophthalmos
3. Which of the following would be most likely associated with oligomenorrhea?
a. Graves disease
b. Parathyroid adenoma
c. Hypothyroidism
d. Cervical lymphadenopathy
a. Graves disease
4. Which of the following would have the clinical finding of pretibial myxedema?
a. Hashimoto thyroiditis
b. Addison disease
c. Graves disease
d. Pleomorphic carcinoma
c. Graves disease
5. Dysphagia is described as:
a. difficulty speaking
b. difficulty eating
c. difficulty chewing
d. difficulty swallowing
d. difficulty swallowing
6. The patient in Figure 12-23 complained of weight gain, menorrhagia, and increased cold sensitivity. What is the most likely diagnosis?
a. Parathyroiditis
b. Graves disease
c. Multiple intrathyroid parathyroid glands
d. Autoimmune lymphocytic thyroiditis
d. Autoimmune lymphocytic thyroiditis

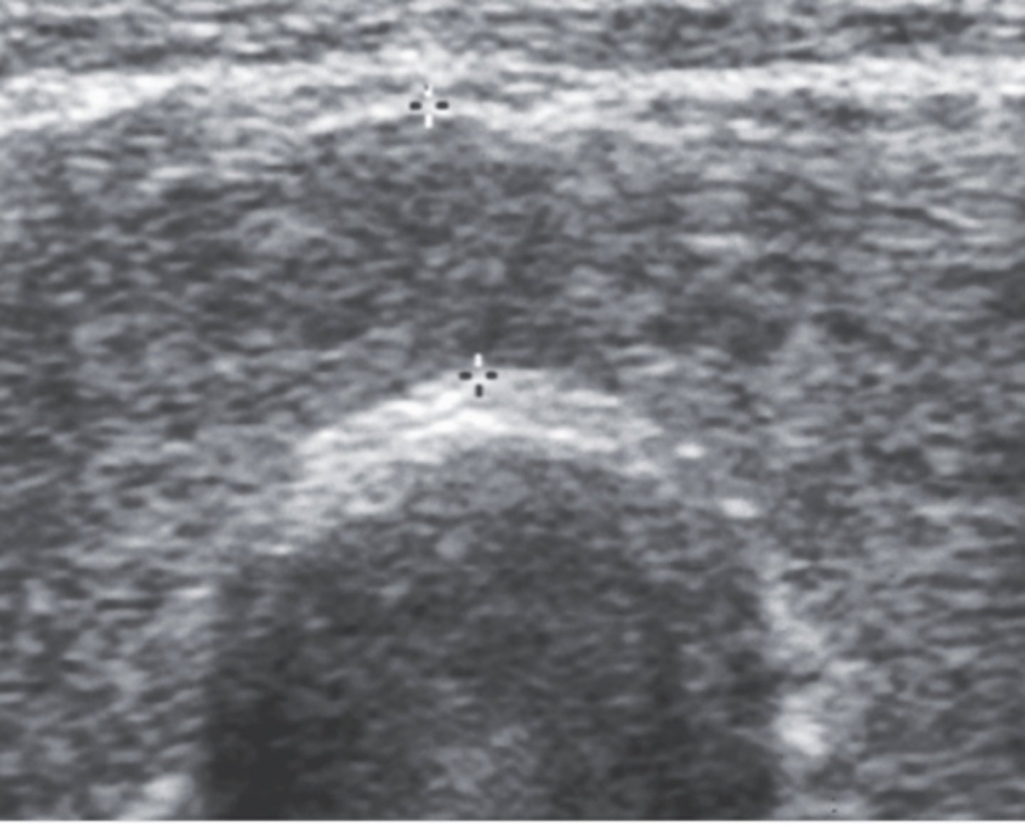
7. The transverse mid-neck image in Figure 12-24 is depicting a measurement that should not exceed:
a. 5 mm
b. 10 mm
c. 3 mm
d. 15 mm
b. 10 mm

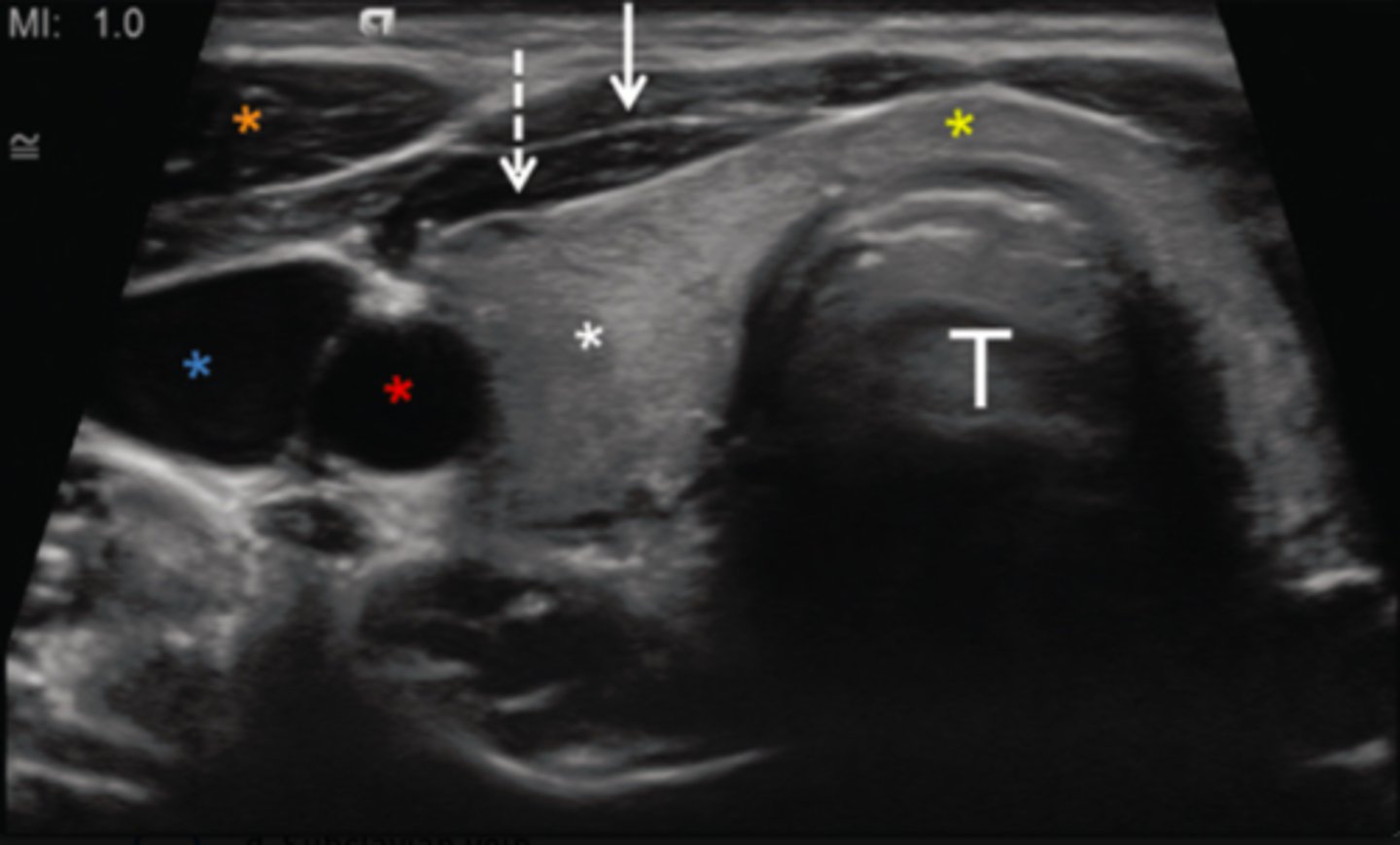
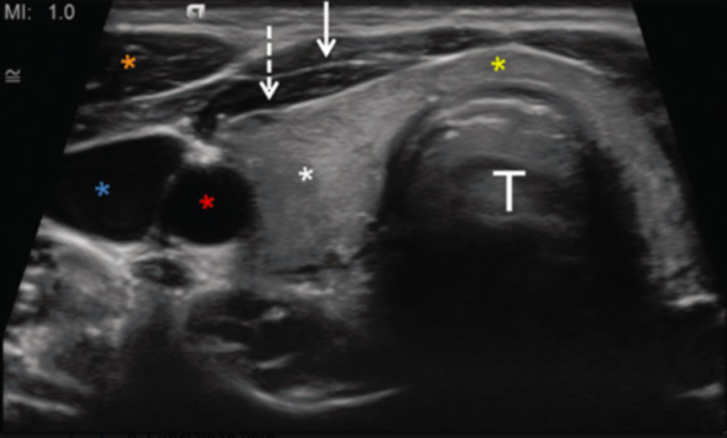
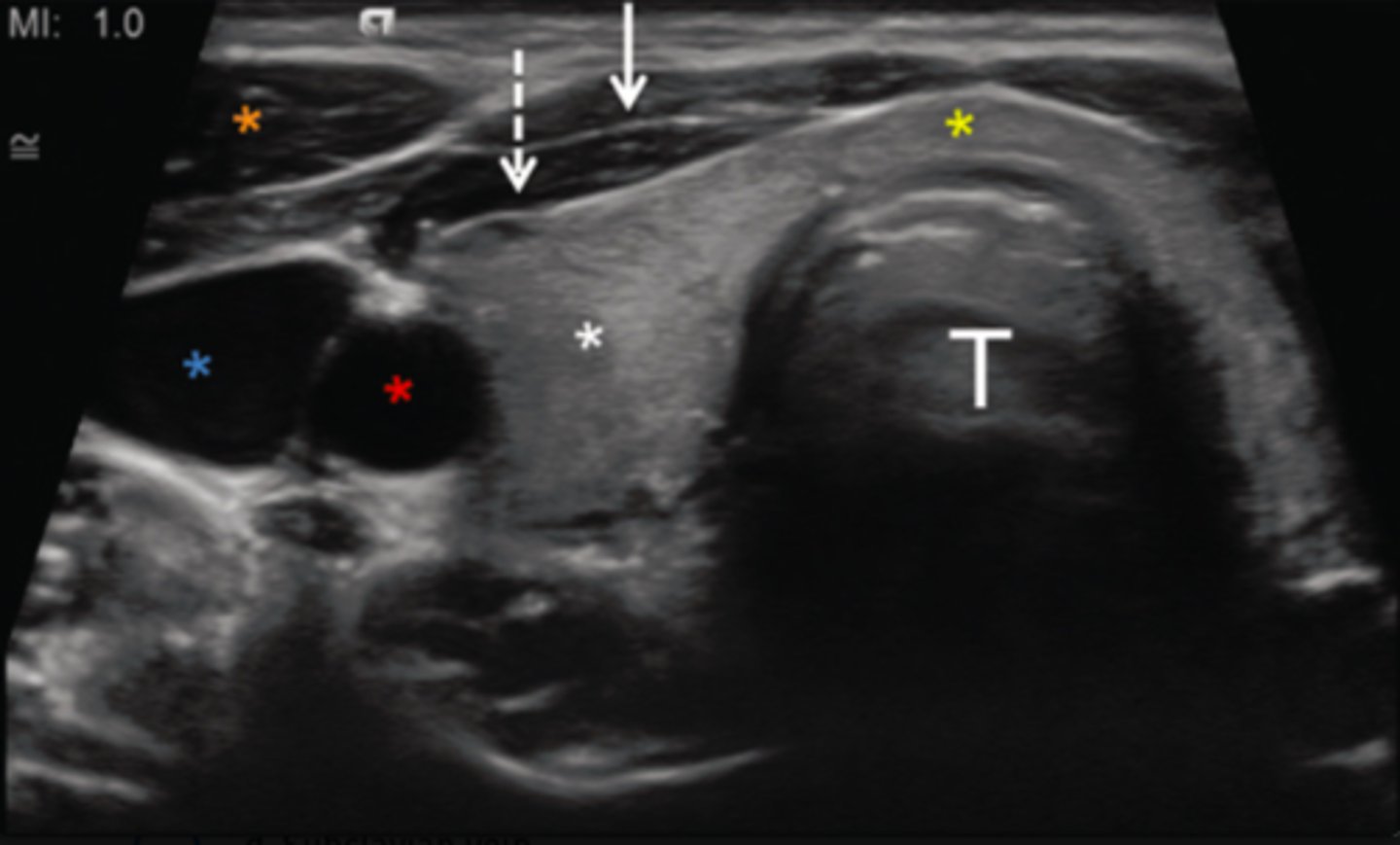
8. What does the red asterisk in Figure 12-25 indicate?
a. Common carotid artery
b. Internal carotid artery
c. Internal jugular vein
d. Subclavian vein
a. Common carotid artery

9. What does the blue asterisk in Figure 12-25 indicate?
a. External carotid artery
b. Internal carotid vein
c. Common carotid artery
d. Internal jugular vein
d. Internal jugular vein

10. What does the orange asterisk in Figure 12-25 indicate?
a. Right longus colli muscle
b. Right sternocleidomastoid muscle
c. Left longus colli muscle
d. Left sternocleidomastoid muscle
b. Right sternocleidomastoid muscle

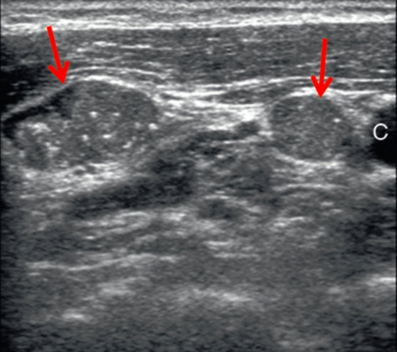
11. The structures identified by the arrows in Figure 12-26 were discovered in the lateral neck of a patient with a history of thyroidectomy due to papillary carcinoma. What do these structures most likely represent?
a. Parathyroid adenomas
b. Parathyroid cystadenomas
c. Metastatic disease within lymph nodes
d. Normal lymph nodes
c. Metastatic disease within lymph nodes

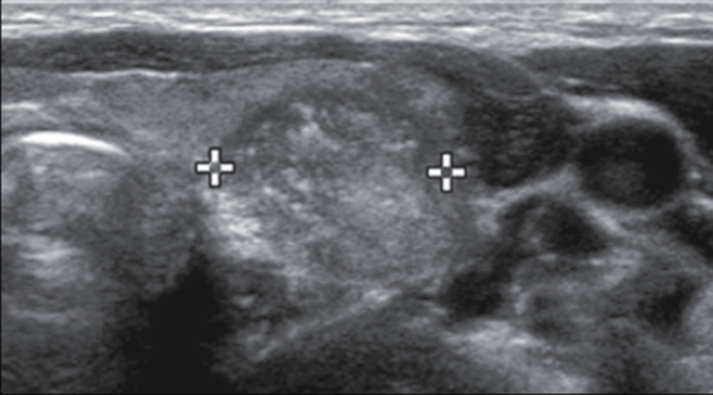
12. The structure that is measure in Figure 12-27 was discovered in an asymptomatic patient. Which of the following sonographic features is present and consequently most worrisome for malignancy?
a. Anechoic echogenicity
b. Internal microcalcifications
c. Eggshell calcifications
d. Colloid artifact
b. Internal microcalcifications

13. What does the structure noted in Figure 12-28 demonstrate?
a. Colloid cyst
b. Follicular carcinoma
c. Papillary carcinoma
d. Isoechoic thyroid nodule
a. Colloid cyst

14. Which of the following represents the formula for thyroid volume?
a. Length × width × thickness × 0.353
b. Length × width × thickness × 0.459
c. Length × width × thickness × 0.529
d. Length × width × thickness × 0.642
c. Length × width × thickness × 0.529
15. The abnormality indicated in Figure 12-29 most likely represents a:
a. benign thyroid nodule
b. papillary thyroid carcinoma
c. follicular thyroid carcinoma
d. medullary thyroid carcinoma
a. benign thyroid nodule

16. Which of the following would least likely indicative of a goiter?
a. Dysphagia
b. Dyspnea
c. Hoarseness
d. Hypercalcemia
d. Hypercalcemia
17. Which of the following digestive enzymes is contained within saliva?
a. Amylase
b. Bile
c. Sodium oxalate
d. Acetaldehyde
a. Amylase
18. What is the main duct of the parotid gland?
a. Wharton duct
b. Stenson duct
c. Wirsung duct
d. Sjögren duct
b. Stenson duct
19. Which of the following is also referred to as diffuse toxic goiter?
a. Hashimoto thyroiditis
b. Adenomatous goiter
c. Iodine deficiency syndrome
d. Graves disease
d. Graves disease
20. You are performing a transverse scan through the right lobe of the thyroid. You note that there are two anechoic circles immediately adjacent to the thyroid representing vascular structures. What is the most lateral vessel?
a. External jugular vein
b. Internal jugular vein
c. Internal carotid artery
d. Common carotid artery
b. Internal jugular vein
21. A patient with hypercalcemia presents to the sonography department for a neck sonogram. What abnormality in the neck should be suspected?
a. Parathyroid adenoma
b. Parotid gland enlargement
c. Thyroid papillary carcinoma
d. Hashimoto thyroiditis
a. Parathyroid adenoma
22. Benign congenital cysts located superior to the thyroid gland near the hyoid bone are referred to as:
a. branchial cleft cysts
b. follicular adenomas
c. thyroglossal duct cysts
d. parathyroid adenomas
c. thyroglossal duct cysts
23. Normally, how many parathyroid glands are found within the adult neck?
a. Three
b. Four
c. Six
d. Eight
b. Four
24. A cystic mass noted at the mandibular angle is most likely a:
a. branchial cleft cyst
b. follicular adenoma
c. thyroglossal duct cyst
d. parathyroid adenoma
a. branchial cleft cyst
25. Which of the following would more likely be a malignant thyroid nodule?
a. Cold nodule
b. Hot nodule
a. Cold nodule
26. Parathyroid glands control the release and absorption of which nutrient?
a. Thyroxine (T4)
b. Triiodothyronine (T3)
c. Calcitonin
d. Calcium
d. Calcium
27. A normal lymph node will not measure greater than:
a. 8 mm
b. 5 mm
c. 12 mm
d. 10 mm
d. 10 mm
28. With which of the following is elevated serum calcium associated?
a. Graves disease
b. Thyroglossal duct cyst
c. Parathyroid adenoma
d. Thyroid adenoma
c. Parathyroid adenoma
29. Which of the following best describes the normal appearance of a cervical lymph node?
a. A hypoechoic, oblong structure with a distinct echogenic hilum
b. A rounded, echogenic structure with small calcifications
c. A solid, hypoechoic mass that measures greater than 1 cm
d. A solid, echogenic mass that measures less than 1 cm
a. A hypoechoic, oblong structure with a distinct echogenic hilum
30. Which abnormality is associated with the sonographic findings of a thyroid inferno?
a. Hashimoto thyroiditis
b. Graves disease
c. Hyperparathyroidism
d. Cervical lymphadenopathy
b. Graves disease
31. All of the following are sonographic findings of malignant thyroid nodules except:
a. internal calcifications
b. hyperechoic mass
c. cervical node involvement
d. solitary mass
b. hyperechoic mass
32. All of the following are diagnostic findings of a likely benign thyroid nodule except:
a. anechoic nodule
b. eggshell calcification
c. hyperechoic nodule
d. cold nodule
d. cold nodule
33. Which of the following is the most common form of thyroid cancer?
a. Follicular
b. Anaplastic
c. Lymphoma
d. Papillary
d. Papillary
34. What is the most common cause of hypothyroidism?
a. Graves disease
b. Hashimoto thyroiditis
c. Papillary carcinoma
d. Parathyroid adenoma
b. Hashimoto thyroiditis
35. All of the following are sonographic findings of an abnormal lymph node except:
a. rounded shape
b. echogenic hilum
c. calcifications
d. enlargement
b. echogenic hilum
36. What is the most common cause of hyperthyroidism?
a. Graves disease
b. Hashimoto thyroiditis
c. Papillary carcinoma
d. Parathyroid adenoma
a. Graves disease
37. Which gland is located immediately anterior to the ear?
a. Submandibular gland
b. Sublingual gland
c. Thyroid gland
d. Parotid gland
d. Parotid gland
38. Which muscle does fibromatosis colli mostly affect?
a. Omohyoid
b. Longus colli
c. Sternocleidomastoid
d. Infrahyoid
c. Sternocleidomastoid
39. A 30-year-old patient presents to the sonography department for a thyroid sonogram with a history of weight loss, hair loss, and hyperthyroidism. You note that the patient has bulging eyes. What is the most likely diagnosis?
a. Hashimoto thyroiditis
b. Graves disease
c. Hyperparathyroidism
d. Cervical lymphadenopathy
b. Graves disease
40. The fluid produced by the thyroid gland that contains thyroid hormones is referred to as:
a. thyroxine
b. calcitonin
c. colloid
d. triiodothyronine
c. colloid
41. In the presence of Hashimoto thyroiditis, the thyroid produces:
a. too many thyroid hormones
b. too much calcium
c. too few thyroid hormones
d. too much iodine
c. too few thyroid hormones
42. A 45-year-old female patient presents to the sonography department with a palpable neck mass 6 months following a thyroidectomy for papillary carcinoma. Which of the following would be the most likely etiology of the palpable mass?
a. Torticollis
b. Lymphadenopathy
c. Sialadenitis
d. Graves disease
b. Lymphadenopathy
43. Which of the following is the duct that drains the submandibular gland?
a. Stensen duct
b. Wharton duct
c. Seigel duct
d. Partridge duct
b. Wharton duct
44. Which of the following does the thyroid gland utilize to produce its hormones?
a. Colloid
b. Iodine
c. Iron
d. Calcium
b. Iodine
45. Which muscles are located posterior to each thyroid lobe?
a. Sternocleidomastoid
b. Longus colli
c. Sternohyoid
d. Omohyoid
b. Longus colli
46. Which muscles are located lateral to each thyroid lobe?
a. Sternocleidomastoid
b. Longus colli
c. Sternohyoid
d. Omohyoid
a. Sternocleidomastoid
47. Which of the following is associated with congenital muscular torticollis?
a. Fibromatosis colli
b. Branchial cleft cyst
c. Pleomorphic adenoma
d. Sialadenosis
a. Fibromatosis colli
48. What structure may be confused for a thyroid or parathyroid mass because of its relationship to the trachea and the posterior aspect of the left thyroid gland?
a. Esophagus
b. Common carotid artery
c. Internal jugular vein
d. Sternothyroid
a. Esophagus
49. Which vascular structure is located closest to the thyroid lobes?
a. External carotid vein
b. External carotid artery
c. Internal jugular vein
d. Common carotid artery
d. Common carotid artery
50. A thyroid isthmus that measures greater than __________ is indicative of thyroid enlargement
a. 8 mm
b. 5 mm
c. 12 mm
d. 10 mm
d. 10 mm
51. Which of the following is the term for stones within the salivary duct?
a. Sjögren syndrome
b. Torticollis
c. Cervical lymphadenopathy
d. Sialolithiasis
d. Sialolithiasis
52. Which muscles are located anterior to the thyroid gland?
a. Sternocleidomastoid
b. Longus colli
c. Thyrocervical trunk
d. Strap
d. Strap
53. What is the first branch of the external carotid artery?
a. Internal carotid artery
b. Optic artery
c. Superior thyroid artery
d. Inferior thyroid artery
c. Superior thyroid artery
54. Psammoma bodies are:
a. hypoechoic structures
b. comet-tail artifacts emanating from inside as a colloid mass
c. punctate calcific deposits
d. mural or wall nodules within a solid mass
c. punctate calcific deposits
55. All of the following are hormones produced by the thyroid except:
a. thyroxine
b. iodine
c. triiodothyronine
d. calcitonin
b. iodine
56. Which of the following is the hormone that is the most abundantly produced by the thyroid?
a. Thyroxine
b. Iodine
c. Triiodothyronine
d. Calcitonin
a. Thyroxine
57. Which of the following is an autoimmune disease that affects the glands that produce moisture, leading to dysfunction of the salivary glands and dryness of the eyes, nose, skin, and mouth?
a. Wharton syndrome
b. Sjögren syndrome
c. Stenson syndrome
d. Sialadenosis syndrome
b. Sjögren syndrome
58. What type of gland is the thyroid gland?
a. Endocrine
b. Exocrine
c. Both A and B
d. Neither A nor B
a. Endocrine
59. The superior extension of the thyroid isthmus is referred to as the:
a. thyroglossal duct
b. branchial cleft
c. Yodeler lobe
d. pyramidal lobe
d. pyramidal lobe
60. Which of the following is the most common form of salivary gland cancer?
a. Mucoepidermoid carcinoma
b. Papillary carcinoma
c. Ancillary carcinoma
d. Medullary carcinoma
a. Mucoepidermoid carcinoma