1/226
Looks like no tags are added yet.
Name | Mastery | Learn | Test | Matching | Spaced | Call with Kai |
|---|
No analytics yet
Send a link to your students to track their progress
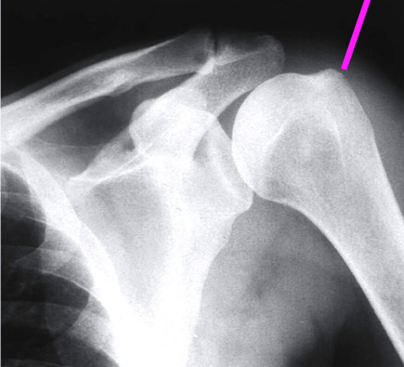
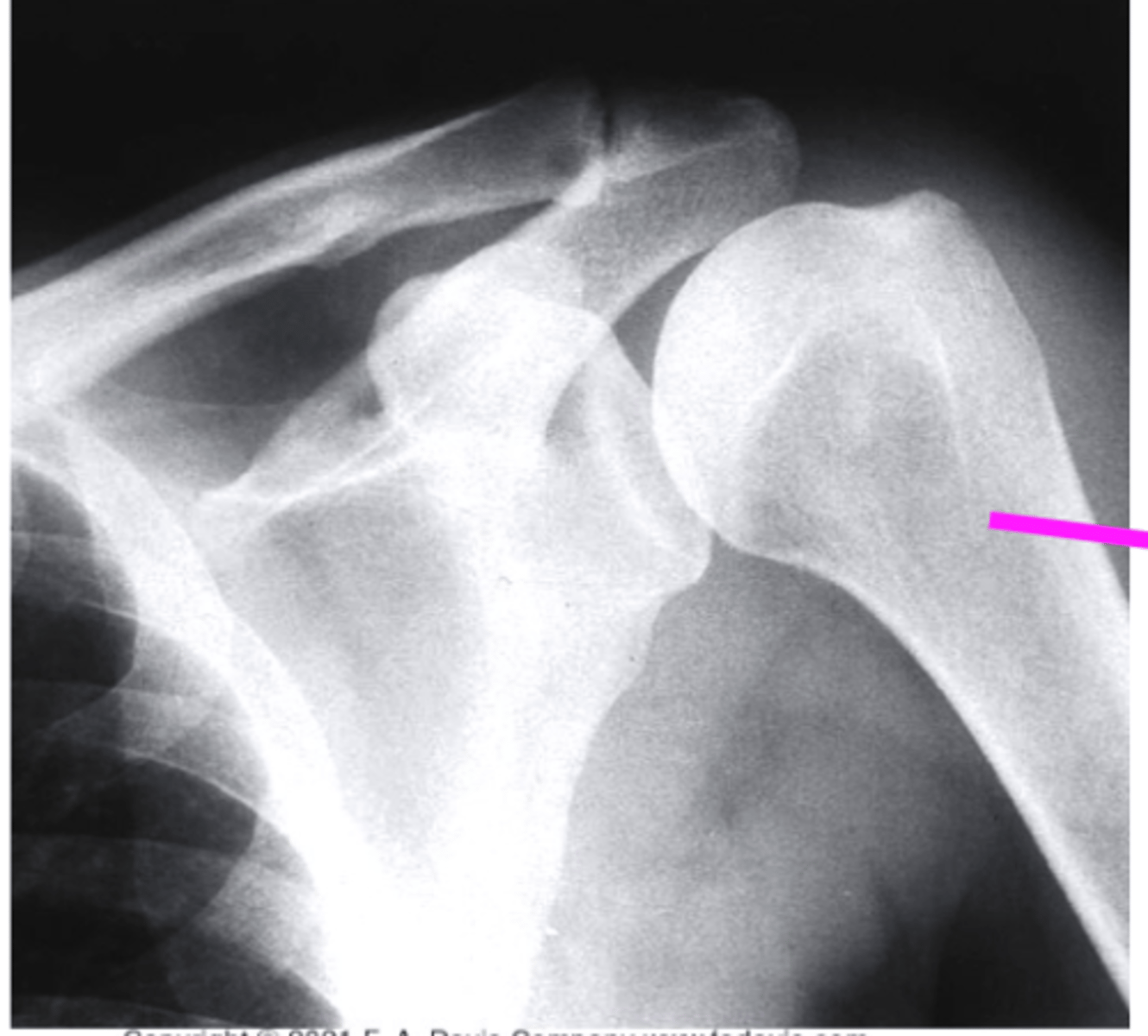
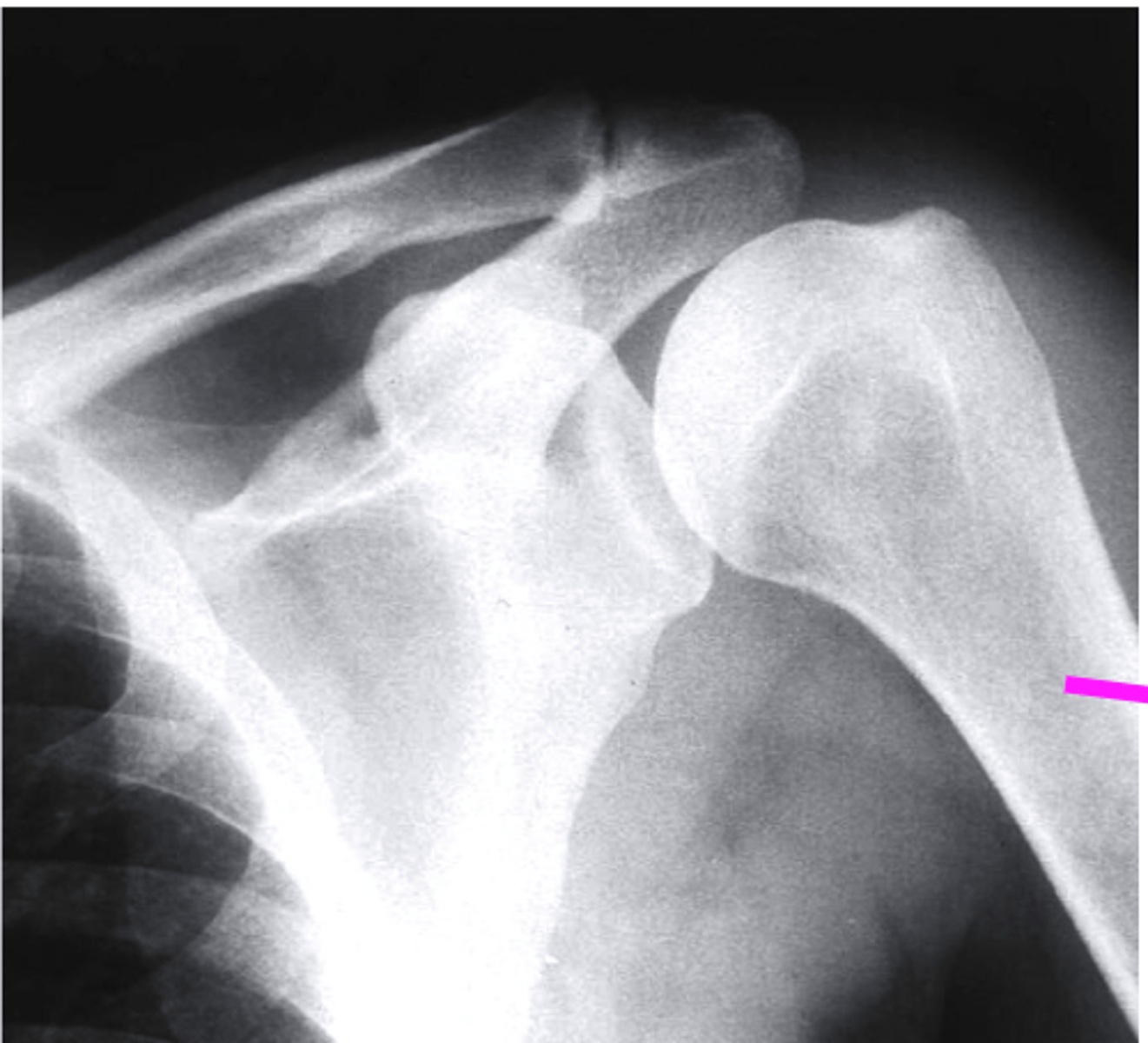
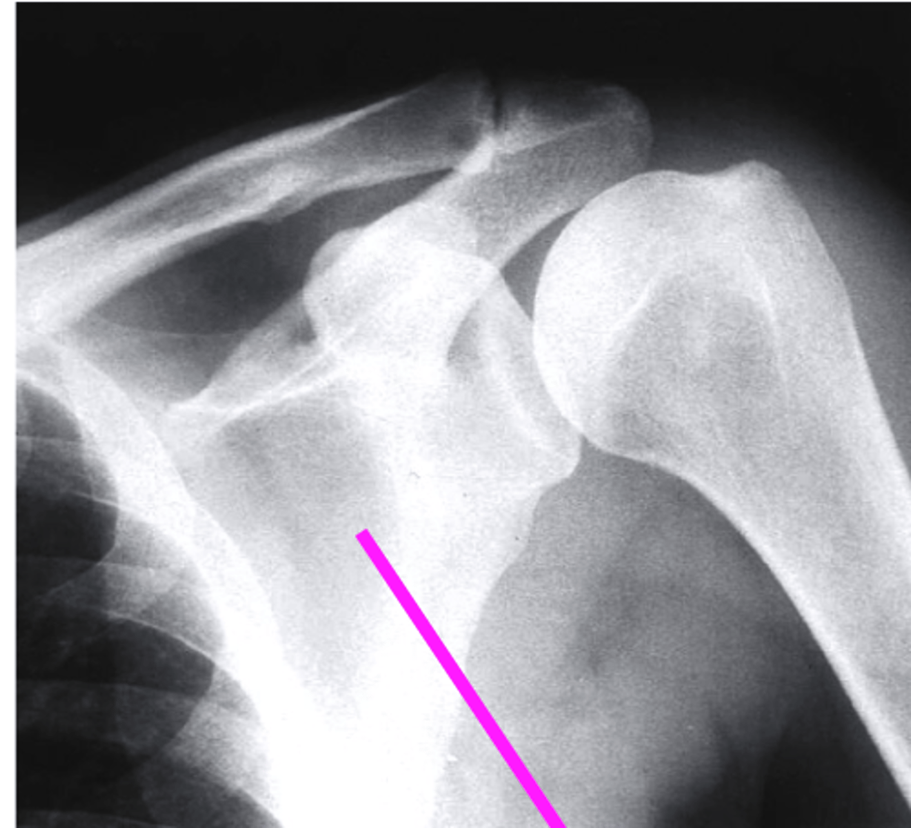
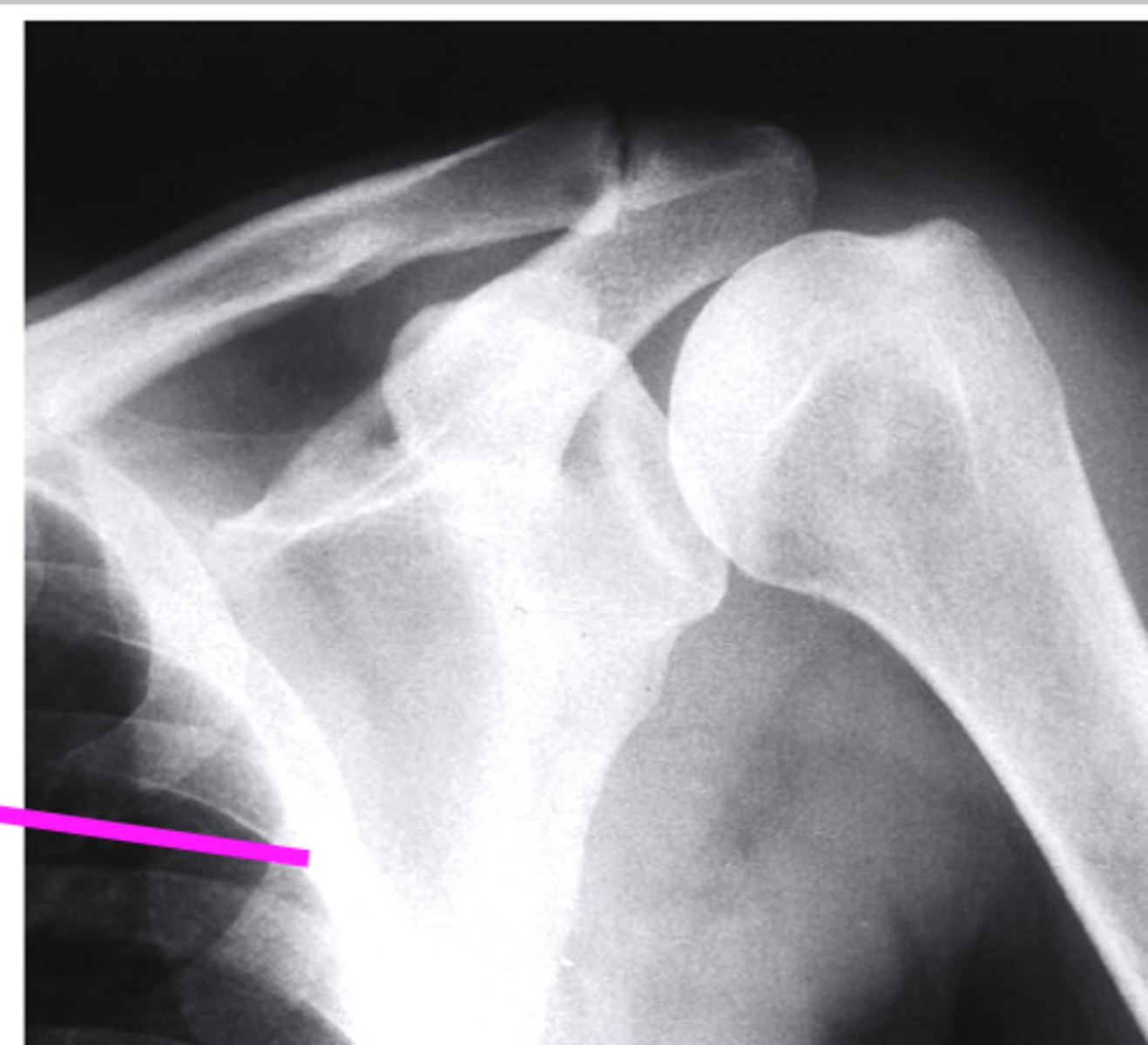
AP + ER
What view is this?

clavicle
what does the pink line point to?

spine of scapula
what does the pink line point to?

coracoid process
what does the pink line point to?

AC joint
what does the pink line point to?

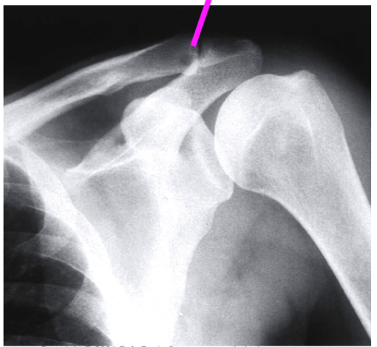
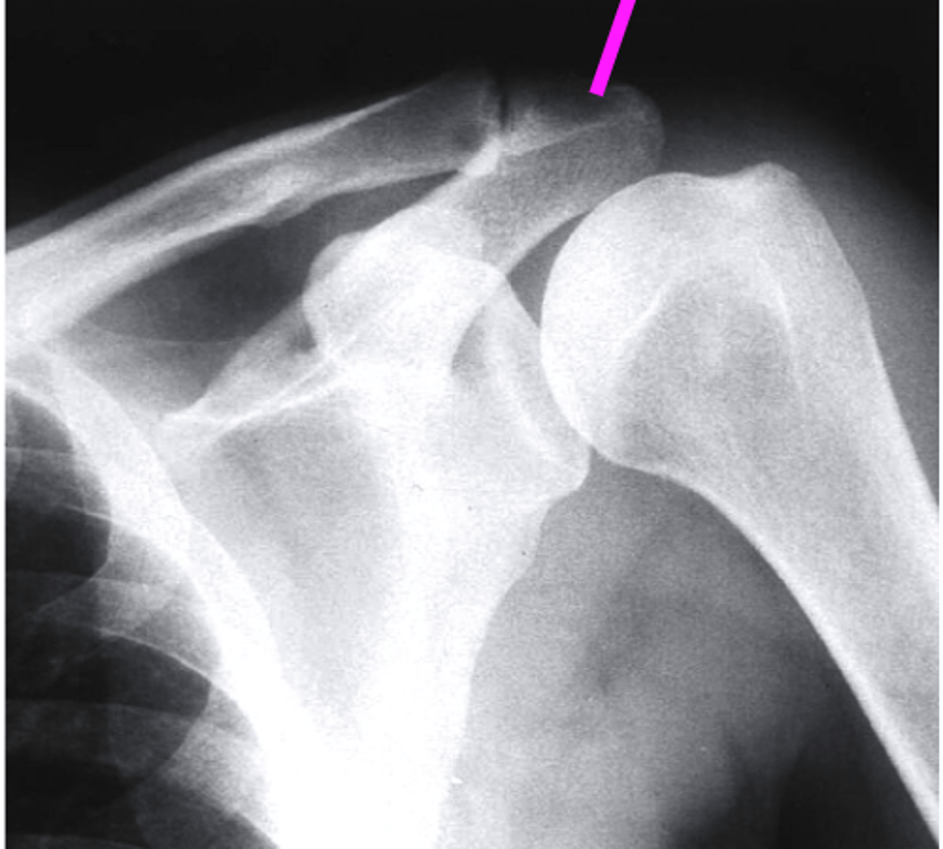
acromion
what does the pink line point to?

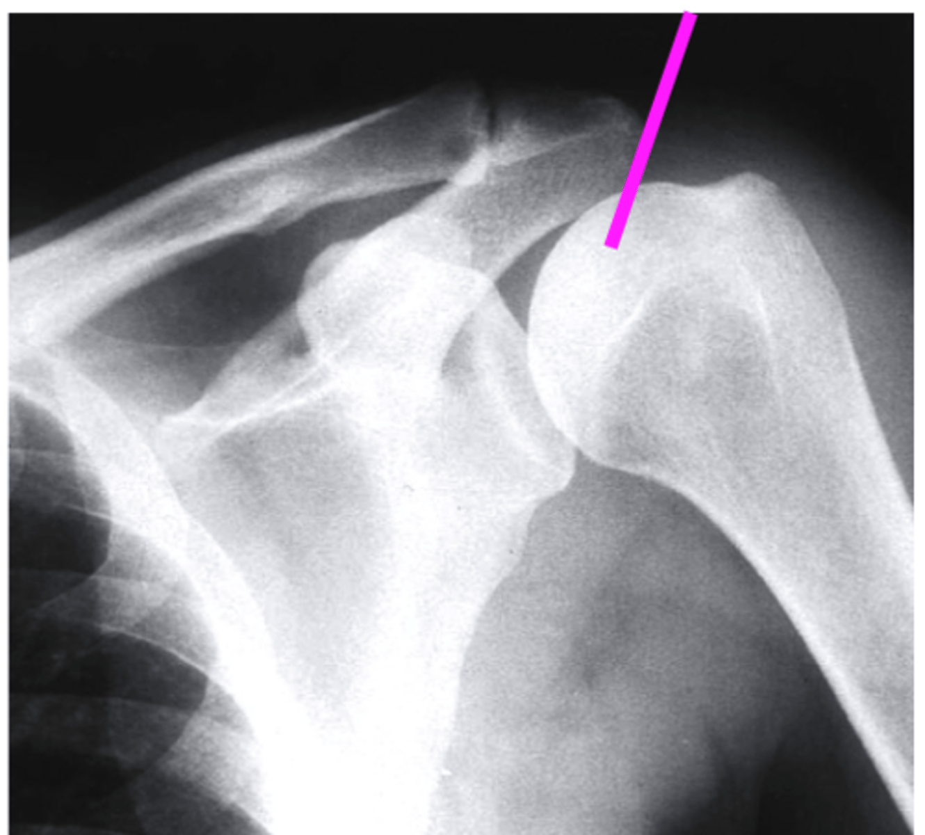
Humeral Head
what does the pink line point to?

Greater Tuberosity
what does the pink line point to?

lesser tuberosity
what does the pink line point to?

Anatomic Neck of Humerus
what does the pink line point to?

Surgical Neck of Humerus
what does the pink line point to?

Shaft of Humerus
what does the pink line point to?

glenoid fossa
what does the pink line point to?

body of scapula
what does the pink line point to?

axillary border of scapula
what does the pink line point to?

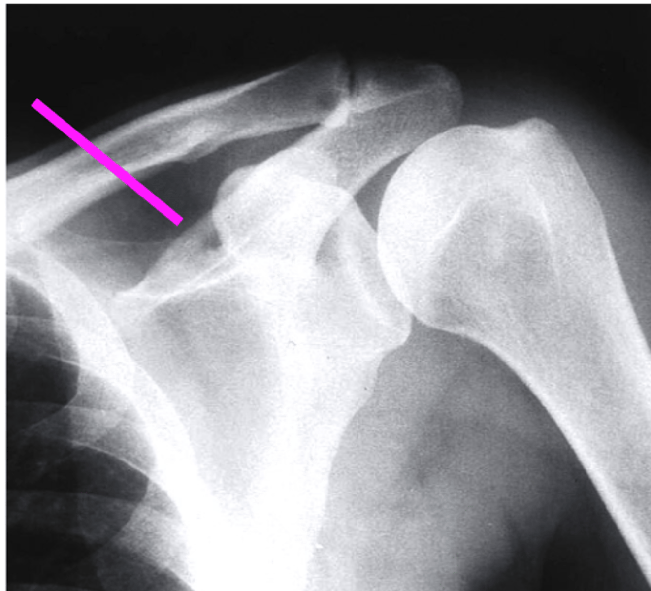
vertebral border of the scapula
what does the pink line point to?

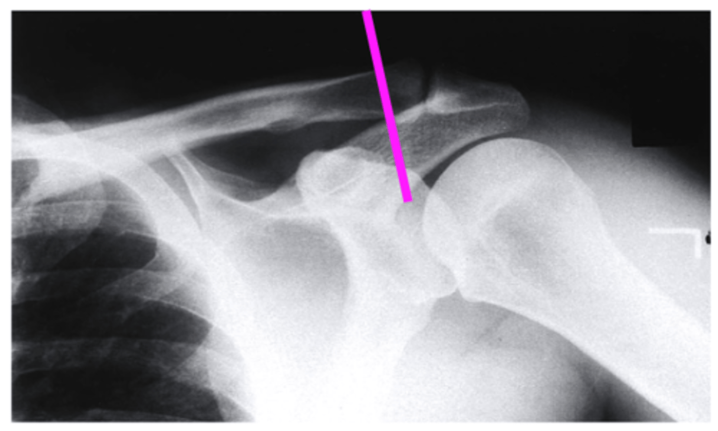
AP + IR
what view is this?

clavicle
what does the pink line point to?

spine of scapula
what does the pink line point to?

coracoid process
what does the pink line point to?

glenoid fossa of scapula
what does the pink line point to?

AC joint
what does the pink line point to?

acromion
what does the pink line point to?

Humeral Head
what does the pink line point to?

lesser tubercle
what does the pink line point to?

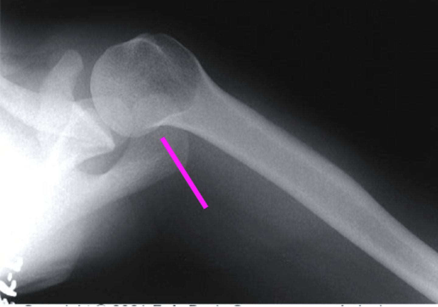
shoulder axillary
what view is this?

clavicle
what does the pink line point to?

the coracoid process
what does the pink line point to?

the glenoid fossa
what does the pink line point to?

acromion
what does the pink line point to?

humeral head
what does the pink line point to?

scapular Y lateral
what view is this

clavicle
what does the pink line point to?

coracoid process
what does the pink line point to?

acromion of scapula
what does the pink line point to?

humeral head
what does the pink line point to?

inferior angle of scapula
what does the pink line point to?

body of scapula
what does the pink line point to?

WB
Based on this photo, is this person WB or NWB?

Axial MRI
what imaging type and view is this?

glenoid
what does the pink line point to?

posterior glenoid labrum
what does the pink line point to?

anterior glenoid labrum
what does the pink line point to?

Humerus
what does the pink line point to?

Sagittal MRI
what view is this and what imaging type?

acromion
what does the pink line point to?

supraspinatus muscle and tendon
what does the pink line point to?

coracoid process
what does the pink line point to?

the glenoid fossa
what does the pink line point to?

Coronal MRI
what imaging type and view is this?

AC joint
what does the pink line point to?

supraspinatus muscle
what does the pink line point to?

superior labrum
what does the pink line point to?

inferior labrum
what does the pink line point to?

MRA
what type of imaging is this?

shoulder MRA
what type of imaging is this

superior glenoid labrum
what does the pink line point to?

inferior glenoid labrum
what does the pink line point to?

anterior glenoid labrum
what does the pink line point to?

posterior glenoid labrum
what does the pink line point to?

AP Elbow
what view is this

lateral epicondyle
what does the pink line point to?

medial epicondyle
what does the pink line point to?

Capitulum
what does the pink line point to?

coronoid process
what does the pink line point to?

shaft of ulna
what does the pink line point to?

shaft of the radius
what does the pink line point to?

radial tuberosity
what does the pink line point to?

radial head
what does the pink line point to?

radial neck
what does the pink line point to?

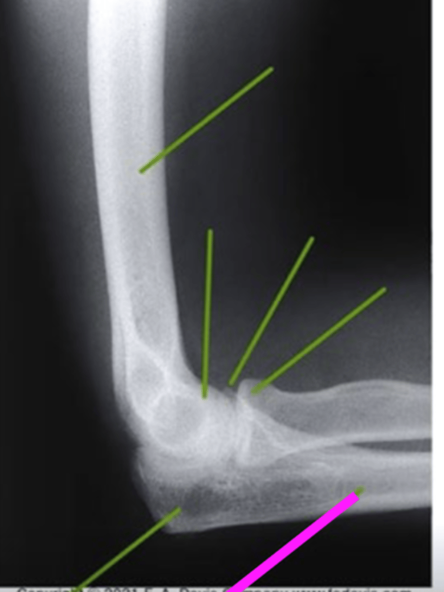
Lateral Elbow
what view is this

humerus
what does the pink line point to?

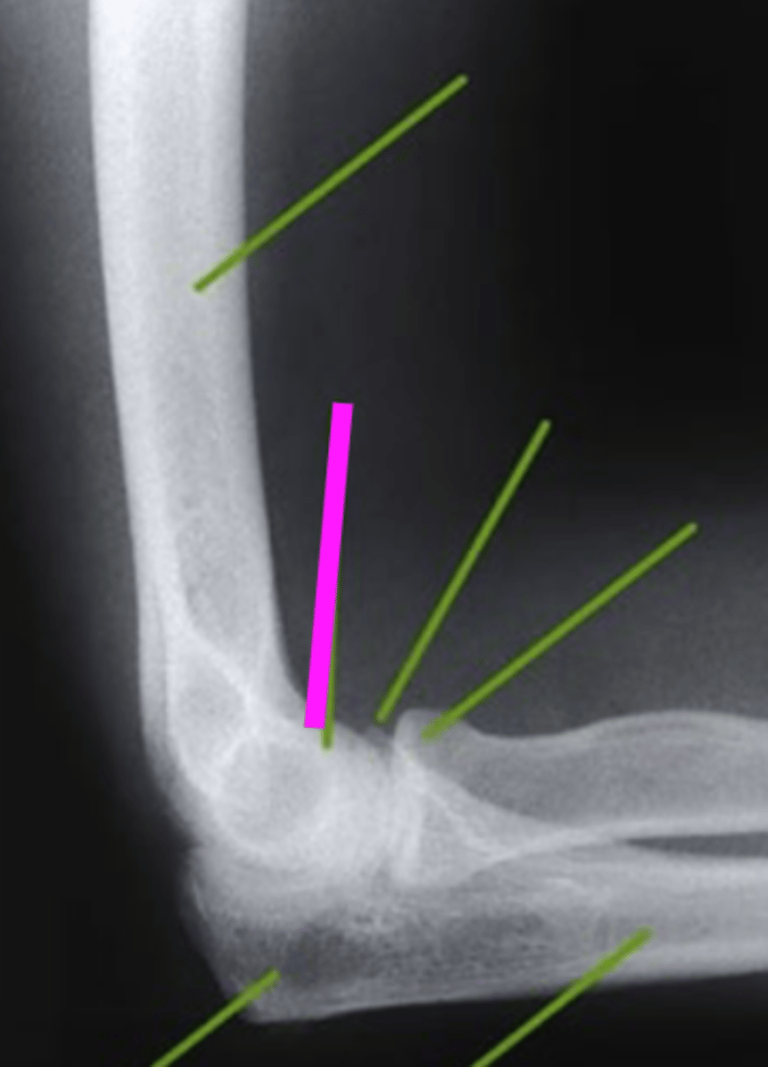
trochlear sulcus
what does the pink line point to?

coronoid process of olecranon
what does the pink line point to?

radial head
what does the pink line point to?

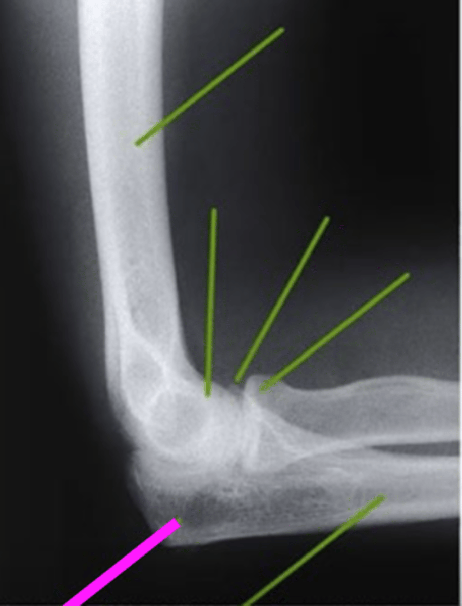
olecranon process
what does the pink line point to?

ulna
what does the pink line point to?

internal oblique elbow
what view is this

coronoid process
What does the blue line point to?

external oblique elbow
what view is this

radial head
what does the green line point to?

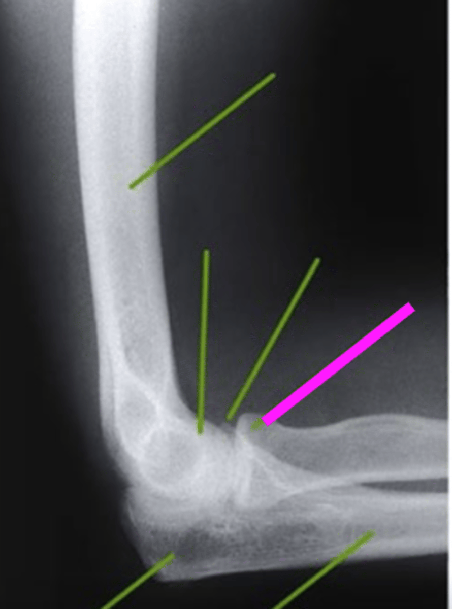
AP forearm
what view is this?

olecranon process
what does this pink line point to?

trochlea
what does this pink line point to?

capitulum
what does this pink line point to?

humeroradial joint
what does this pink line point to?

proximal radioulnar joint
what does this pink line point to?

radial tuberosity
what does this pink line point to?

radial styloid
what does this pink line point to?

distal radioulnar joint
what does this pink line point to?

scaphoid
what does this pink line point to?

lunate
what does this pink line point to?

lateral forearm
what view is this

olecranon process
what does this pink line point to?

ulna
what does this pink line point to?

radius
what does this pink line point to?

radiocarpal joint
what does this pink line point to?

Elbow MRI
what type of imaging is this?

humerus
what does this pink line point to?

ulna
what does this pink line point to?
