1/100
Looks like no tags are added yet.
Name | Mastery | Learn | Test | Matching | Spaced | Call with Kai |
|---|
No analytics yet
Send a link to your students to track their progress
What is the purpose of the Cytoskeleton?
It provides structural support for the cell, aides in cell motility (Movement) and moves organelles.
What are cells composed of?
They are composed of a plasma (Cell Membrane), cytoplasm, cytosol, nucleus, and cytoskeleton.
Cytosol
Clear gel within the cell sometimes referred to as Intracellular Fluid (ICF).
Cytoplasm
ALL FLUID and COMPONENTS between the nucleus and cell membrane (Includes the cytosol and cytoskeleton).
What molecules are embedded in the phospholipid bilayer?
Transmembrane proteins, peripheral proteins, cholesterol, and sugars (glycolipids and glycoproteins).

Plasma membrane proteins?
Membrane channel proteins, Glycoproteins, Enzymes, CAMs, Receptor proteins, and Second-messenger system.
What is the function of a receptor?
Binds to chemical messengers such as hormones sent by other cells.
What is the function of an enzyme?
Breaks down a chemical messenger and terminates its effects.
What is the function of a channel?
Allows solutes to pass into and out of the cell. Always open.
What is the function of a gated channel?
Opens and closes to allow solutes only at a certain time
What is the function of a Cell identity marker (Glycoprotein)?
Distinguishes the body's own cells from foreign cells.
What is the function of a Cell Adhesion Molecule (CAMs)?
Binds one cell to another
What is passive transport?
The movement of materials across the cell membrane without using energy (ATP). Occurs from high to low concentration.
What is simple diffusion?
Molecules move from high to low concentration, with or without a membrane, and with or without channel proteins.
What is facilitated diffusion?
Polar molecules move through a channel protein, from a high to low concentration.
What is osmosis?
WATER MOLECULES move directly through a membrane or through special proteins called Aquaporins. High to low concentration.
What is hypertonicity?
Solutions have high ECF osmolarity. Water moves out of the cell, causing the cell to shrink.
What is Isotonicity?
Solutions have the same osmolarity, no movement into or out of the cell.
What is Hypotonicity?
Solutions have low ECF osmolarity. Water moves into the cell, causing swelling and potential bursting.
What is active transport?
Utilizes energy to move substance against the concentration gradient, lower to higher concentration.
Depends on a few factors: ATP, membrane proteins, concentration of molecules, and membrane potentials.
What is bulk transport?
The movement of large molecules by way of vesicles.
What is endocytosis?
Transports materials into the cell
What is phagocytosis & pinocytosis?
phagocytosis brings in solids (cell eating) and pinocytosis brings in liquids (cell drinking).
What is exocytosis?
The transportation of materials out of the cell.
What is intracellular and extracellular fluid?
Intra - Known as cytosol, more gel like than ECF
Extra - Sometimes called "tissue fluid", includes plasma.
What is voltage?
Any difference in electrical charge (+) or (-).
The uneven distribution of ions across the membrane is controlled by protein pumps and leak channels. Resulting in more (+) ions outside, and more (-) ions inside the cell.
What is the resting membrane potential value?
RMP = -70mV
sodium-potassium pump
Moves 3 sodium ions out & 2 potassium ions into the cell.
Creates a (-) charge in the cell.
Muscle and nervous system rely on it.
Explain Depolarization and Repolarization
Depolar - Na+ channels open and Na+ enters cell making it more positive.
Repolar - Na+ channels close, K+ channels open, K+ rushes out of the cell
What are organelles?
Tiny organized structures that perform functions within our cells.
What are the membranous organelles?
They are covered with lipid membrane.
Nucleus, Mitochondria, Lysosomes, Peroxisomes, Smooth and Rough ER, and Golgi complex.
Describe the function of the nucleus
Genetic control center. Directs protein synthesis. Stores DNA. Site of DNA replication and transcription.
Describe the function of the rough and smooth ER
ROUGH ER - Site of protein AND lipid synthesis.
SMOOTH ER - Site of lipid synthesis
Describe the function of ribosomes
synthesize proteins
Describe the function of the Golgi complex
Synthesis sugars, modifies proteins, creates vesicles and lysosomes
Describe the function of a lysosome
Contains enzymes used for:
Digestion
Metabolism
Programmed cell death
Describe the function of peroxisomes
Contains redox enzymes for:
Oxidizing fatty acids
Protecting cell from free radicals
Describe the function of proteasomes
degrade unnecessary or damaged proteins
Describe the function of mitochondria
Responsible for Energy (ATP) synthesis
Describe the function of centrioles, centrosomes, and a basal body
Centrioles - Form mitotic spindle fibers during mitosis.
Centrosome - (Two Centrioles) Organize the mitotic spindle during mitosis.
Basal Body - (Single Centriole) Point of growth for cilium of flagellum.
What is the DNA and RNA base pairing?
DNA base pairing: A-T, G-C
RNA base pairing: A-U, G-C
Both DNA and RNA are nucleic acids
What are the steps of protein synthesis?
1. Transcription: DS DNA template, mRNA "copy" with RNA bases
2.Translation: Ribosome interprets mRNA code to construct protein
There are 3 steps of Translation: Initiation, Elongation, and Termination.
Technically 5 total steps in the process.
Types of mRNA
Messenger RNA - Genetic code
Transfer RNA - carries amino acid to ribosomes
Ribosomal RNA - forms ribosome
What is ATP?
Adenosine Triphosphate - ENERGY - is required for active transport. MOSTLY made during cellular respiration.
What is chemiosmosis?
Using the electrochemical H+ gradient to create ATP
Describe cellular respiration
It is how cells break down glucose molecules through oxidation reaction to create ATP and waste.
Steps of cellular respiration
1. Glycolysis
2. Krebs Cycle
3. Electron Transport Chain
What does cellular respiration look like chemically?
C6H12O6 + 6O2 + ADP + Pi --> 6CO2 + 6H2O + ATP

What are the molecules in the process?
Molecules to start:
C6H12O6 is Glucose
O2 is Oxygen
ADP and Pi combine to form ATP
Molecules produced:
CO2 is carbon dioxide (expelled)
H2O is Water
ATP is Energy
What is the interphase of the cell cycle?
G1 = Growth (Gap phase)
S phase = DNA division
G2 = Growth (Gap phase)
What is mitosis and cytokinesis?
Mitosis: Division of nucleus
Cytokinesis: The cell itself divides into two identical daughter cells.
Steps of Mitosis
Prophase: Nuclear membrane breaks down, chromatin condenses to chromosomes, spindle fibers form from centrioles, centrioles migrate to opposite ends.
Metaphase: Chromosomes line up in middle of the cell.
Anaphase: Chromosomes separate and are pulled to opposite poles of the cells.
Telophase: New nuclear membranes form around the two sets of chromosomes
What is histology?
The study of tissues.
What are the 4 major tissue types?
Epithelial tissue
Connective tissue
Muscle tissue
Nervous tissue
Describe the 4 major tissue types
Epithelial: Line cavities, cover surfaces, form glands.
Connective: Support, protection of organs & systems. (MOST DIVERSE)
Muscle: Body movement, and movement of substances through body.
Nervous: Conducts electrical impulses and processes information.
Exocrine glands and their modes of secretion
Merocrine - released through exocytosis in vesicles (Saliva and sweat)
Apocrine - Secretions released in apical cytoplasm (mammary glands, ceruminous wax glands)
Holocrine - Secretions via loss of entire cell (Oil glands)
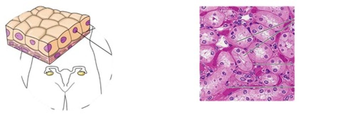
simple squamous epithelium
single layer of flattened cells

simple cuboidal epithelium
single layer of cube shaped cells

simple columnar epithelium
Made up of a single layer of tall cells that fit closely together

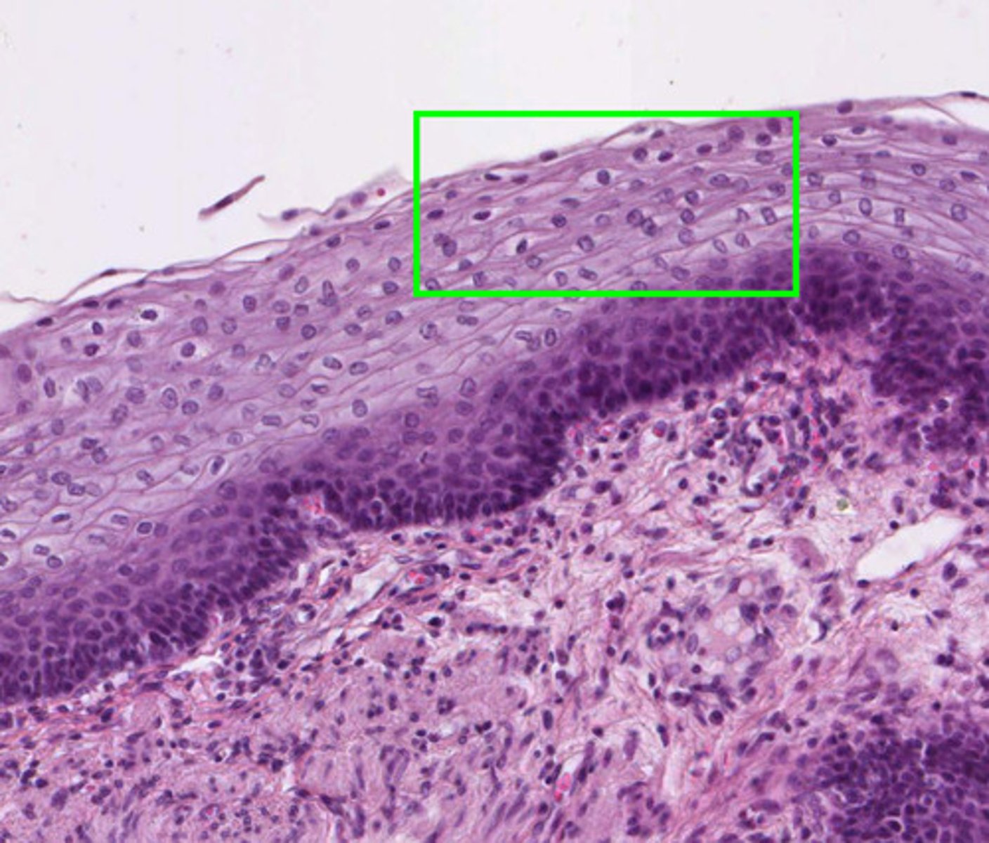
stratified squamous epithelium
protects underlying tissues in areas subjected to abrasion

Keratinizing stratified squamous epithelium
Epidermis
stratified cuboidal epithelium
Function: protection
Location: Largest ducts of sweat glands, mammary glands, and salivary glands.

stratified columnar epithelium
Function: protection and secretion
Location: rare in the body; small amounts in male urethra and in large ducts of some glands

psuedostratified columnar epithelium
Function:
Secretes substances, particularly mucus; propulsion of mucus by ciliary action
Location:
Male's sperm carrying duct; ciliated variety lines the trachea, most of the upper respiratory tract.

transitional epithelium
function: stretches readily and permits distension of urinary organ by contained urine
Location: lines the ureters, urinary bladder, and part of the urethra

areolar connective tissue
Function: wraps and cushions organs
Location: widely distributed under epithelia of body

adipose connective tissue
acts as a storage depot for fat

dense regular connective tissue
Function: attaches muscles to bones or to muscles; attaches bones to bones; withstands great tensile stress when pulling force is applied in one direction
Location: tendons, most ligaments, aponeuroses

dense irregular connective tissue
Function: able to withstand tension exerted in many directions; provides structural strength
Location: fibrous capsules of organs and joints; dermis of the skin; submucosa of digestive tract

elastic connective tissue
Function: allows recoil of tissue following stretching; maintains pulsatile flow of blood through arteries; aids passive recoil of lungs following inspiration
Location: walls of large arteries; within certain ligaments associated with vertebral column, within the walls of the bronchial tubes

hyaline cartilage
Most common type of cartilage; it is found on the ends of long bones, ribs, and nose

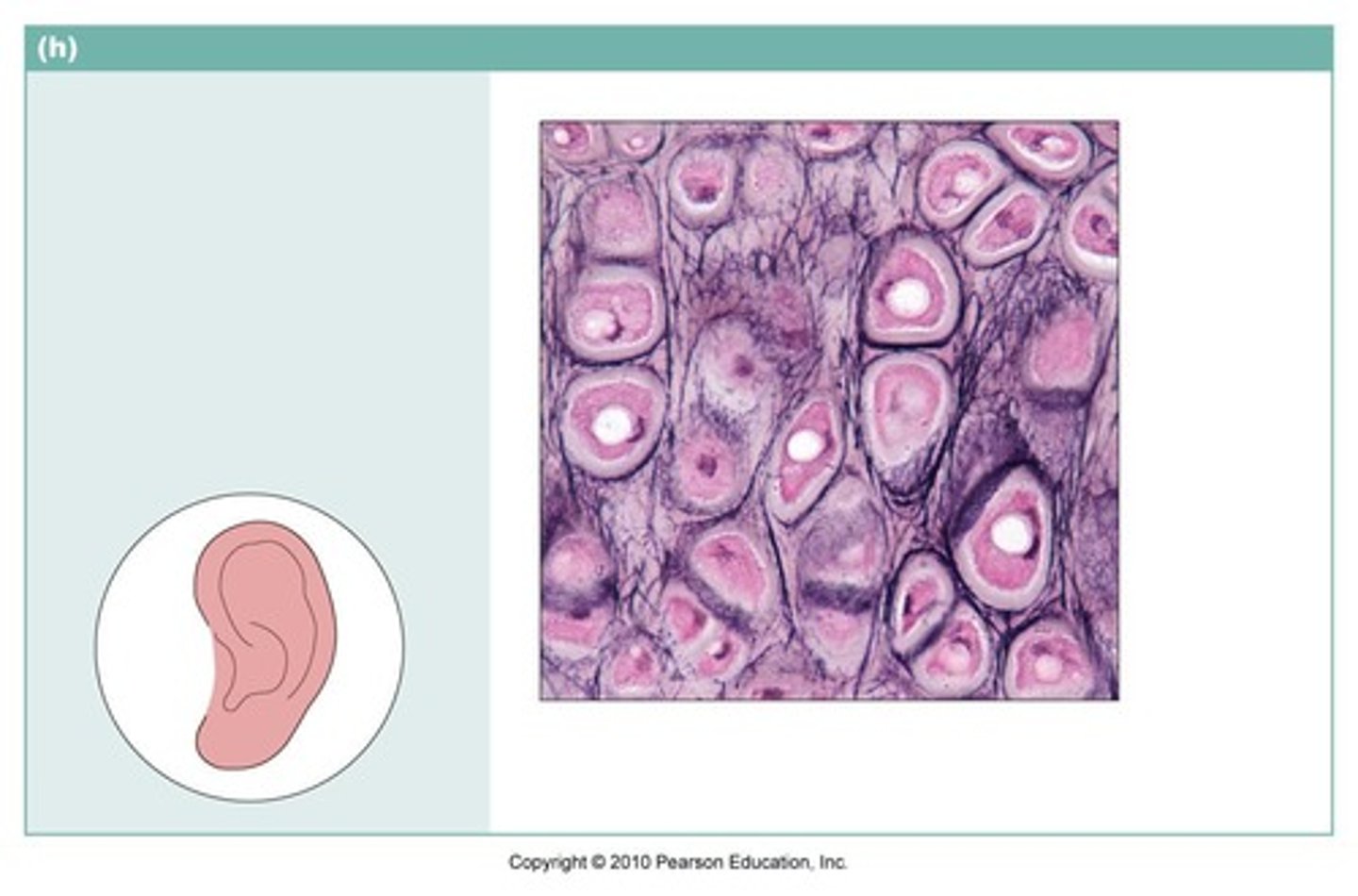
elastic cartilage
cartilage with abundant elastic fibers; more flexible than hyaline cartilage

Fibrocartilage
cartilage that contains fibrous bundles of collagen, such as that of the intervertebral disks in the spinal cord.

bone
Dense, hard connective tissue composing the skeleton
blood
Connective tissue made of plasma, erythrocytes, leukocytes, and platelets.

3 types of muscle tissue
skeletal muscle(voluntary)
cardiac muscle(involuntary)
smooth muscle(involuntary)

nervous tissue
A body tissue that carries electrical messages back and forth between the brain and every other part of the body.

4 types of membranes
cutaneous, mucous, serous, synovial
cutaneous membrane
The skin; composed of epidermal and dermal layers

mucous membrane
Membrane that secretes mucus that lubricates the surface of organs and keeps them moist.
serous membrane
Membrane that lines a cavity without an opening to the outside of the body
synovial membrane
The lining of a joint that secretes synovial fluid into the joint space.

function of intracellular connections
provide strength, resist stress, communication, and control permeability
types of intracellular junctions
tight junctions, desmosomes, hemidesmosomes, and gap junctions
tight junctions
prevent leakage of extracellular fluid across a layer of epithelial cells

Desmosomes
Anchoring junctions that prevents cells subjected to mechanical stress from being pulled apart; button like thickenings of adjacent plasma membranes connected by fine protein filaments

Hemidesmosomes
anchor epithelial cells to the basement membrane
gap junctions
Points that provide cytoplasmic channels from one cell to another with special membrane proteins. Also called communicating junctions.

atrophy
the wasting away of a body organ or tissue; any progressive decline or failure; to waste away

necrosis
tissue death
Apoptosis
process of programmed cell death

Regeneration
replacement of destroyed tissue by the same kind of cells

Fibrosis
the thickening and scarring of connective tissue, usually as a result of injury.
hypertrophy
increase in cell size

hyperplasia
increase in number of cells

Metaplasia
abnormal change in the nature of a tissue

Dysplasia
abnormal development or growth of cells, tissues, or organs (Ex: Cancer)
What are the steps of tissue repair after injury?
Inflammation
Proliferation
Maturation
inflammation
a localized response to an injury or to the destruction of tissues

proliferation
an increase in number, multiplication