Haematology - Erythrocyte Morphology

0.0(0)
studied byStudied by 0 people
0.0(0)
full-widthCall with Kai
GameKnowt Play
New
learnLearn
examPractice Test
spaced repetitionSpaced Repetition
heart puzzleMatch
flashcardsFlashcards
Card Sorting

1/20

flashcard set

Earn XP

Description and Tags

RBCs

Study Analytics
Name
Mastery
Learn
Test
Matching
Spaced

No study sessions yet.

21 Terms

1
New cards
<p>Normal Canine and |Feline Erythrocyte Morphology </p>

Normal Canine and |Feline Erythrocyte Morphology

  • Anucleated

  • Circular

  • Biconcave in shape

  • Pink with a small area of central pallor

  • Size difference - Canine are slightly larger than feline

2
New cards

The most commonly seen morphological changes include:

  • Crenation

  • Schistocytes (resulting from Haemolysis)

  • Anisocytosis

  • Hypo and polychromasia

  • Autoagglutination

  • Rouleaux formation

  • Intracellular inclusions - Howell-Jolly Bodies, Heinz bodies, Babesia

3
New cards

Crenation looks like .. 

Distorted, shrivelled and spikey appearance due to an osmotic shift causing it to shrivel 

<p>Distorted, shrivelled and spikey appearance due to an osmotic shift causing it to shrivel&nbsp;</p>
4
New cards

Crenation - known as .. 

Echinocyte or Burr cells 

5
New cards

When does crenation occur? And what is it the result from?

  • Occurs when there is a disruption in the cells ability to maintain its ionic state

  • Commonly resulting from inappropriate blood sampling, handling, storage and testing techniques e.g. use of aged blood sample, EDTA tubes that have not been sufficiently filled

6
New cards

Why might crenation occur from EDTA tubes not being filled sufficiently enough?

Too much anticoagulant can cause the osmotic change and causes the liquid in the cells to be drawn out

7
New cards

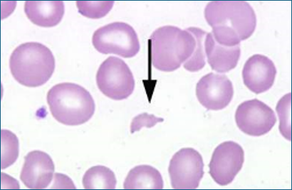
What is a Schistocyte? 

A fragmented RBC that is a result of cell haemolysis (bursting of the cells) 

8
New cards

What does a Schistocyte look like?

The cell swells and eventually burst 

<p>The cell swells and eventually burst&nbsp;</p>
9
New cards

Which patients are Schistocytes seen?

Patients with immune mediated haemolytic anaemia (IMHA) - body starts to attack its own blood cells 

10
New cards

What is the cause of a Schistocyte?

Inappropriate blood sample, handling, storage and testing techniques

11
New cards

What do Platelets (thrombocytes) look like?

Round/spindle shaped fragments of cytoplasm with no nucleus

<p>Round/spindle shaped fragments of cytoplasm with no nucleus </p>
12
New cards

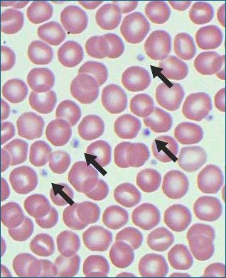
What is Anisocytosis?

Where a patient has either larger than or smaller than normal RBCs

13
New cards

What are the subsections of Anisocytosis? And what do they mean?

  • Macrocytosis - Larger than normal RBCs

  • Microcytosis - Smaller than normal RBCs

<ul><li><p>Macrocytosis - Larger than normal RBCs </p></li><li><p>Microcytosis - Smaller than normal RBCs </p></li></ul><p></p>
14
New cards

Common causes of Anisocytosis ..

  • Regenerative anemia (In dogs)

  • Immune-mediated haemolytic anemia (IMHA)

15
New cards
16
New cards
17
New cards
18
New cards
19
New cards
20
New cards
21
New cards