1/25
Looks like no tags are added yet.
Name | Mastery | Learn | Test | Matching | Spaced | Call with Kai |
|---|
No analytics yet
Send a link to your students to track their progress

balsene

balsene

deguna dobums, ožas daļa

deguna dobums, ožas daļa

deguna dobums, respiratorā daļa

injicēta plauša. alveolohematiskā barjera

injicēta plauša. alveolohematiskā barjera

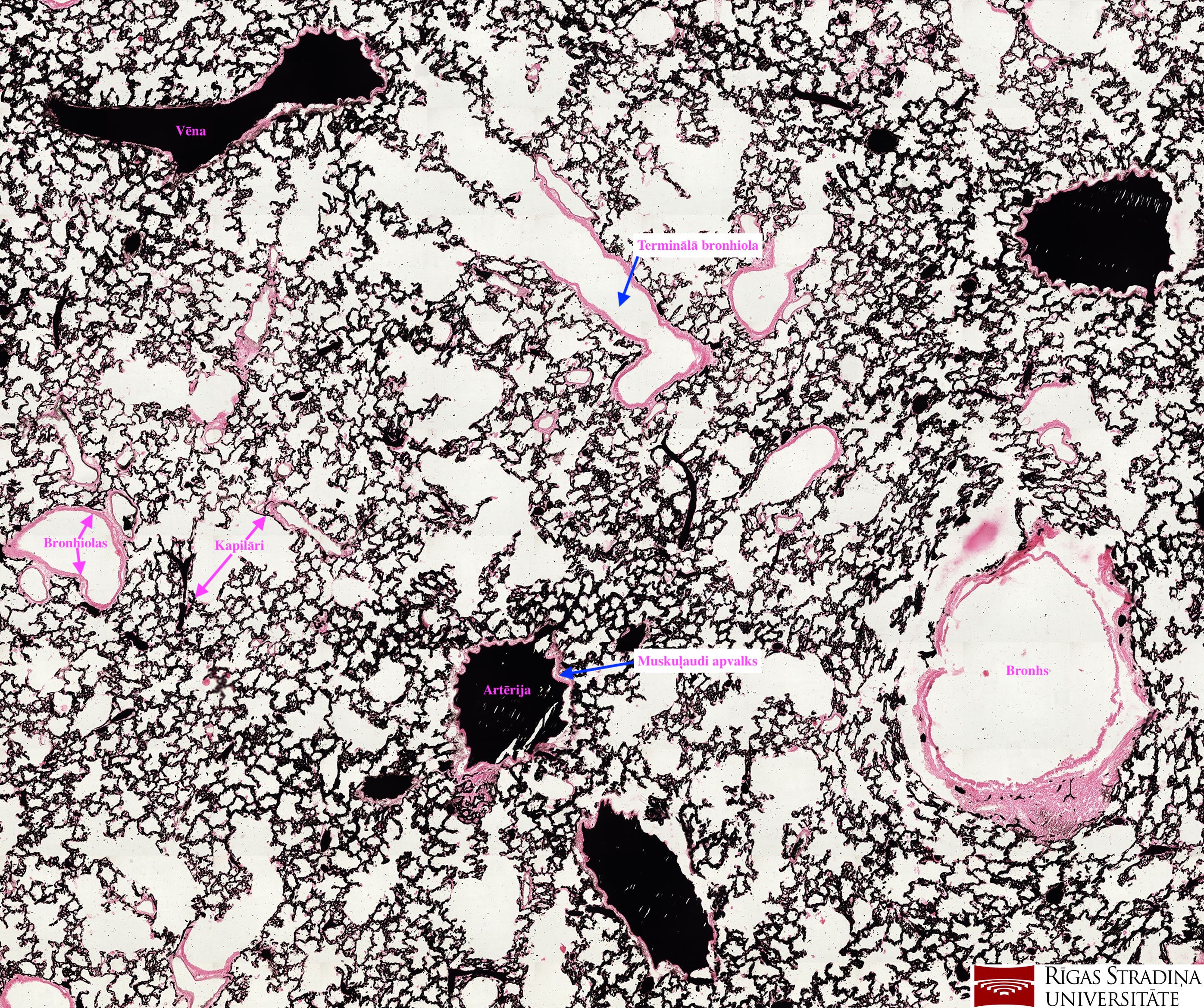
plaušas

plaušas

plaušas

plaušas

putekļi smēķētāja plaušu makrofāgos

putekļi smēķētāja plaušu makrofāgos

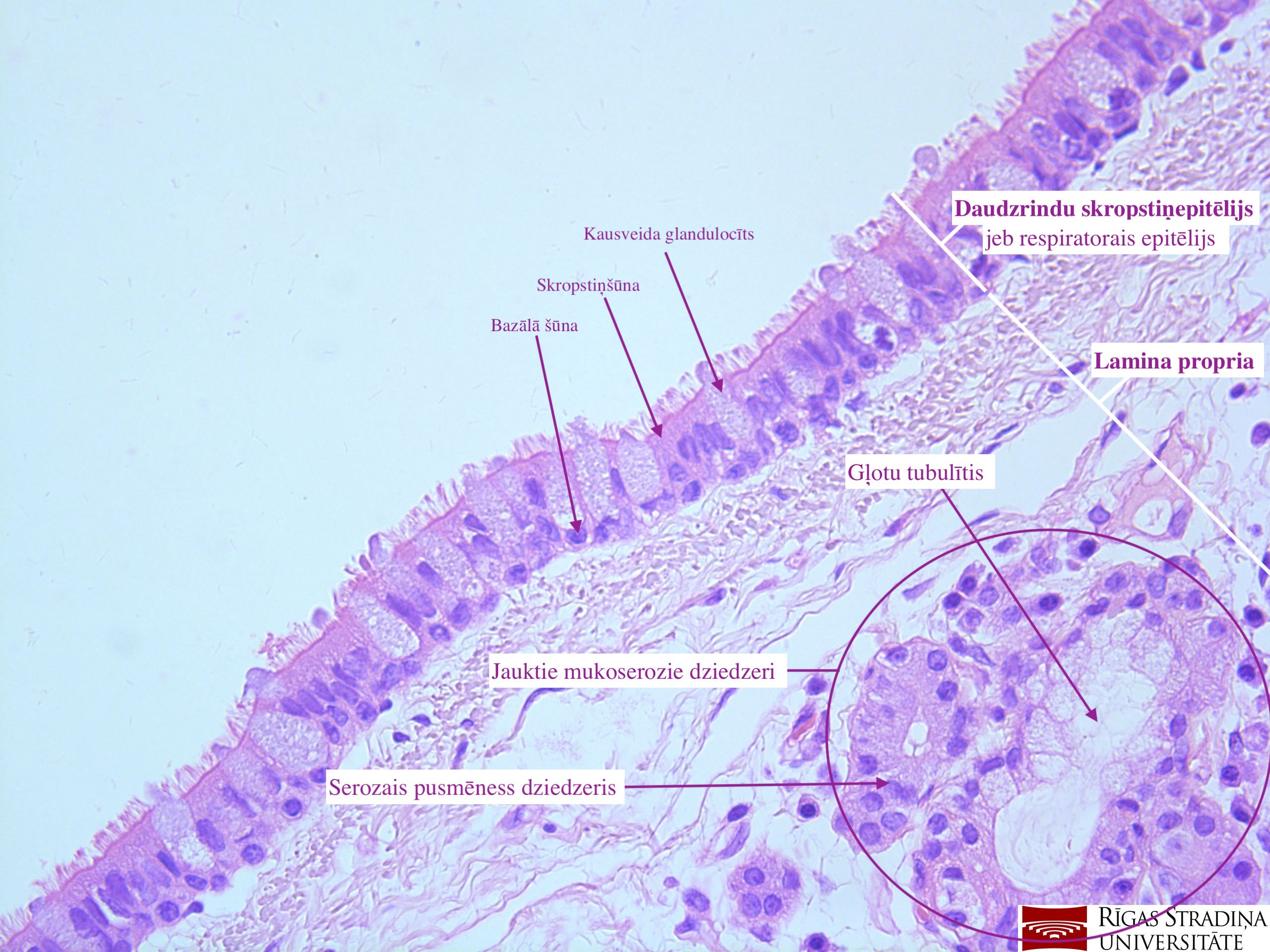
traheja

traheja

balsene

balsene

balsene

balsene

deguna dobuma ožas daļa

injicēta plauša, alveolohematiskā barjera

plaušas

traheja

traheja

traheja

deguna dobums, ožas daļa