Home
Explore
Exams
Search for anything
Login
Get started
Home
Science
Biology
Histology Quiz 11
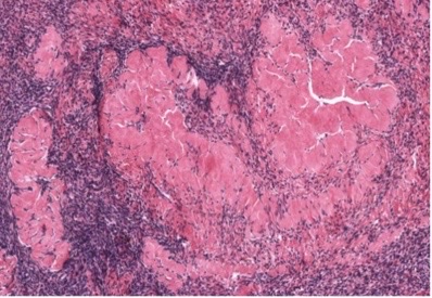
5.0
(1)
Rate it
Studied by 21 people
5.0
(1)
Rate it
Call Kai
Learn
Practice Test
Spaced Repetition
Match
Flashcards
Knowt Play
Card Sorting
1/34
Earn XP
Description and Tags
Biology
University/Undergrad
Add tags
Study Analytics
All Modes
Learn
Practice Test
Matching
Spaced Repetition
Call with Kai
Name
Mastery
Learn
Test
Matching
Spaced
Call with Kai
No study sessions yet.
35 Terms
View all (35)
Star these 35
1
New cards
primordial
what type of follicle?
2
New cards
primary
what type of follicle?
3
New cards
antral
what type of follicle?
4
New cards
1
how many follicles mature during each monthly cycle in humans?
5
New cards
atresia
degeneration process that other follicles undergo so only 1 dominant follicle can mature
6
New cards
corona radiata
layer of cells that surround oocyte in mature follicle and remain with oocyte during fertilization
7
New cards
antrum
grows in size in a mature follicle
8
New cards
cumulus oophorus
narrow stalk that connects the oocyte to granulosa and theca (ruptures during ovulation)
9
New cards
apoptosis of granulosa and oocyte, degeneration of follicle structure, phagocytosis
what is involved in follicular atresia?
10
New cards
mature, granulosum in tact
mature or atretic follicle? why?
11
New cards
atretic, granulosum in damaged
mature or atretic follicle? why?
12
New cards
progesterine
hormone produced by corpus luteum that induces growth of the uterine lining in preparation for possible fertilization and embryo implantation
13
New cards
temporary endocrine structure that produces estrogens to regulate uterus
function of corpus luteum
14
New cards
granulosum and follicular theca left behind by ovulated mature oocyte
what is the corpus luteum made of?
15
New cards
corpus albicans
what does the corpus luteum degenerate into if there is no fertilization?
16
New cards
it shrinks and is converted to ovarian stromal tissue
what happens to the corpus albicans over time?
17
New cards
atretic follicle
atretic follicle, corpus luteum, or corpus albicans?
18
New cards
corpus albicans
atretic follicle, corpus luteum, or corpus albicans?
19
New cards
corpus luteum
atretic follicle, corpus luteum, or corpus albicans?
20
New cards
receive oocyte form ovary, site of fertilization, mediate movement of eggs sperm and embryos
functions of oviducts
21
New cards
simple columnar with peg cells and ciliated cells
oviduct epithelium
22
New cards
highly folded mucosa with underlying muscularis
oviduct structure
23
New cards
peg cells
– Darker staining, non-ciliated cells \n – Secretory cells that produce multiple products
24
New cards
Fluid for lumen, Metabolic support for eggs and sperm, Factors for sperm capacitation
what do peg cells produce?
25
New cards
create current for movement, capture sperm during capicitation
functions of ciliated cells
26
New cards
embryo implantation, placenta formation, muscular contractions for childbirth
functions of the uterus
27
New cards
perimetrium, myometrium, endometrium
layers of the uterus (outside to inside)
28
New cards
3
how many layers/strata in the uterus myometrium?
29
New cards
outer and inner strata have parallel arrays but the middle layer has fiber bundles in many different directions
how are the myometrium fibers oriented?
30
New cards
downregulated
During pregnancy, gap junctions in the smooth muscle cells are _________ to prevent contractions
31
New cards
apical layer
“functional” endometrium layer that changes dramatically throughout the menstrual cycle
32
New cards
estrogens
what causes the changes in the endometrium during the ovarian cycle?
33
New cards
proliferative
which uterine stage?
34
New cards
secretory
which uterine stage?
35
New cards
menstrual
which uterine stage?
Explore top notes
IB Philosophy Ultimate Guide
Updated 269d ago
Note
Preview
AP BIOLOGY EXAM CRAM SHEET !!🧪🧬🦠
Updated 448d ago
Note
Preview
Chapter 5: One-Variable Data Analysis
Updated 1007d ago
Note
Preview
3.2: Profit
Updated 627d ago
Note
Preview
PROTEINS!1!!1!1!!!!!
Updated 1017d ago
Note
Preview
Chapter 10: Cell Growth and Division
Updated 1251d ago
Note
Preview
Chapter 11: Motivation and Emotion
Updated 1258d ago
Note
Preview
Reading Film (IB)
Updated 493d ago
Note
Preview
IB Philosophy Ultimate Guide
Updated 269d ago
Note
Preview
AP BIOLOGY EXAM CRAM SHEET !!🧪🧬🦠
Updated 448d ago
Note
Preview
Chapter 5: One-Variable Data Analysis
Updated 1007d ago
Note
Preview
3.2: Profit
Updated 627d ago
Note
Preview
PROTEINS!1!!1!1!!!!!
Updated 1017d ago
Note
Preview
Chapter 10: Cell Growth and Division
Updated 1251d ago
Note
Preview
Chapter 11: Motivation and Emotion
Updated 1258d ago
Note
Preview
Reading Film (IB)
Updated 493d ago
Note
Preview
Explore top flashcards
Introduction to Biology
Updated 360d ago
Flashcards (33)
Preview
Chapter 10 Review - Respiratory Drugs
Updated 1163d ago
Flashcards (67)
Preview
adv micro exam 2
Updated 1144d ago
Flashcards (108)
Preview
Fitz unit 4
Updated 1003d ago
Flashcards (73)
Preview
apush unit 2 test
Updated 826d ago
Flashcards (66)
Preview
Unit 2 (1607-1754)
Updated 611d ago
Flashcards (28)
Preview
日本文学・テスト1月24日
Updated 717d ago
Flashcards (25)
Preview
Animals - Russian
Updated 690d ago
Flashcards (50)
Preview
Introduction to Biology
Updated 360d ago
Flashcards (33)
Preview
Chapter 10 Review - Respiratory Drugs
Updated 1163d ago
Flashcards (67)
Preview
adv micro exam 2
Updated 1144d ago
Flashcards (108)
Preview
Fitz unit 4
Updated 1003d ago
Flashcards (73)
Preview
apush unit 2 test
Updated 826d ago
Flashcards (66)
Preview
Unit 2 (1607-1754)
Updated 611d ago
Flashcards (28)
Preview
日本文学・テスト1月24日
Updated 717d ago
Flashcards (25)
Preview
Animals - Russian
Updated 690d ago
Flashcards (50)
Preview