MEDRADSC 3K03 Lecture 7 - Image Reconstruction and CT Numbers

0.0(0)
studied byStudied by 0 people
full-widthCall with Kai
GameKnowt Play
learnLearn
examPractice Test
spaced repetitionSpaced Repetition
heart puzzleMatch
flashcardsFlashcards
Card Sorting

1/14

encourage image

There's no tags or description

Looks like no tags are added yet.

Study Analytics
Name
Mastery
Learn
Test
Matching
Spaced

No study sessions yet.

15 Terms

1
New cards

DFOV is also called a

Zoom or target

2
New cards

What does DFOV determine?

How much raw data is used to reconstruct an image → diameter of reconstructed image

3
New cards

DFOV/SFOV cannot be larger than DFOV/SFOV

DFOV, SFOV

4
New cards

Small DFOV

Takes small portion of data and fills with matrix

5
New cards

Large DFOV

Condenses large amts of tissue into matrix, more data per pixel so decreases spatial resol

6
New cards

Image center

When reconstructing image, in addition to identifying DFOV diameter, must specify which part of SFOV we want

7
New cards

How can we specify which part of the SFOV we want?

  • Cartesian coordinates

    • Mathematical X & Y coordinates

  • RAS coordinates

    • Right/left, ant/post, sup/inf

    • Still cartesian but based on body locations

8
New cards

When is a narrow WW used?

Show tissues of similar densities, small difference in CT number

  • Values spread out over available greyscale

  • Small differences are going to be assigned separate shades of gray

9
New cards

Why do we want a narrow window to visualize the brain?

CSF, white and gray matter all have CT numbers close together

10
New cards

When do we use a wide WW?

To visualize tissues that vary greatly; can also decrease visualization of noise

11
New cards

Downside of a wide WW

Dec image contrast, difficult to see differences between gray and white matter

12
New cards

What are the different WW, WL needed for when visualizing a CT scan of the thorax?

  1. Mediastinum 

  2. Air filled lungs

  3. Ribs and calcifications

13
New cards
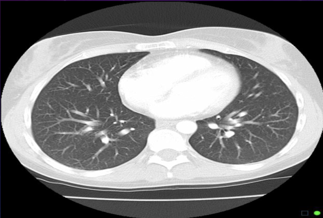
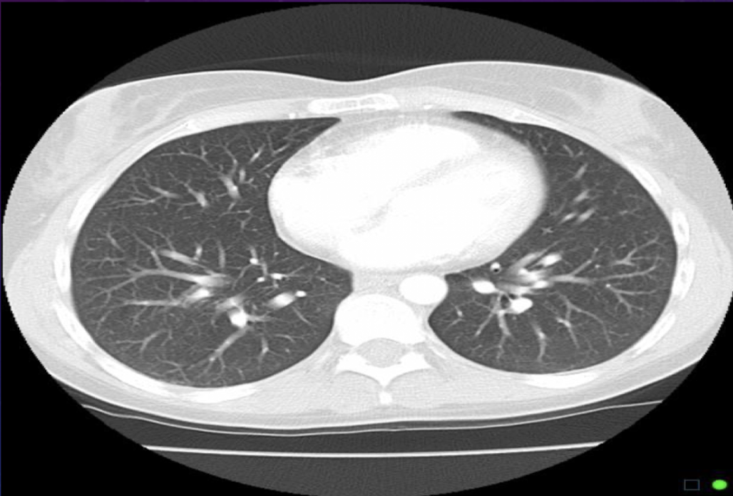
<p>For a lung window for a thorax scan, why do we want a wide WW?</p>

For a lung window for a thorax scan, why do we want a wide WW?

To show more gray for smaller structures

<p>To show more gray for smaller structures</p>
14
New cards
<p>When do we need a bone window for a thorax scan?</p>

When do we need a bone window for a thorax scan?

Requested if pt has suffered any trauma or if looking for calcifications

<p>Requested if pt has suffered any trauma or if looking for calcifications </p>
15
New cards

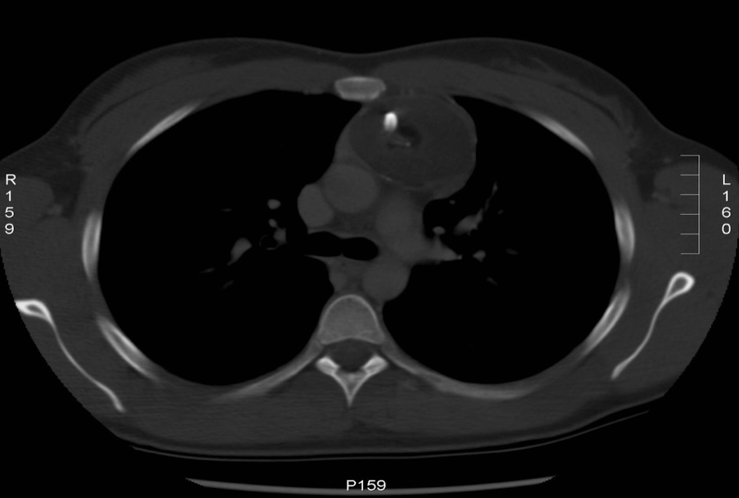
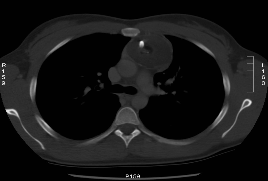
What can we see in a mediastinal window for a thorax scan that we can’t see in a lung scan?

Pulmonary artery