1/4
Looks like no tags are added yet.
Name | Mastery | Learn | Test | Matching | Spaced |
|---|
No study sessions yet.
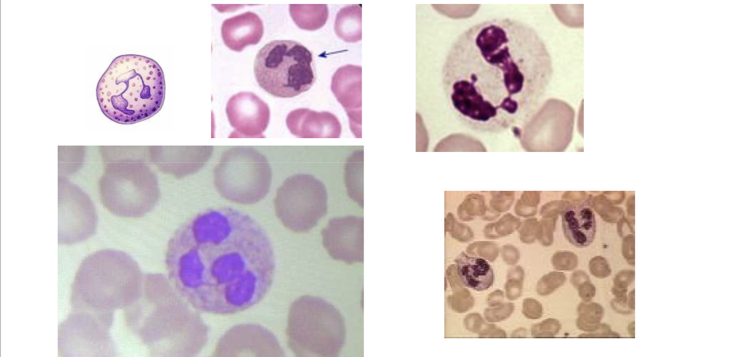
Neutrophils: fragmented nuclei

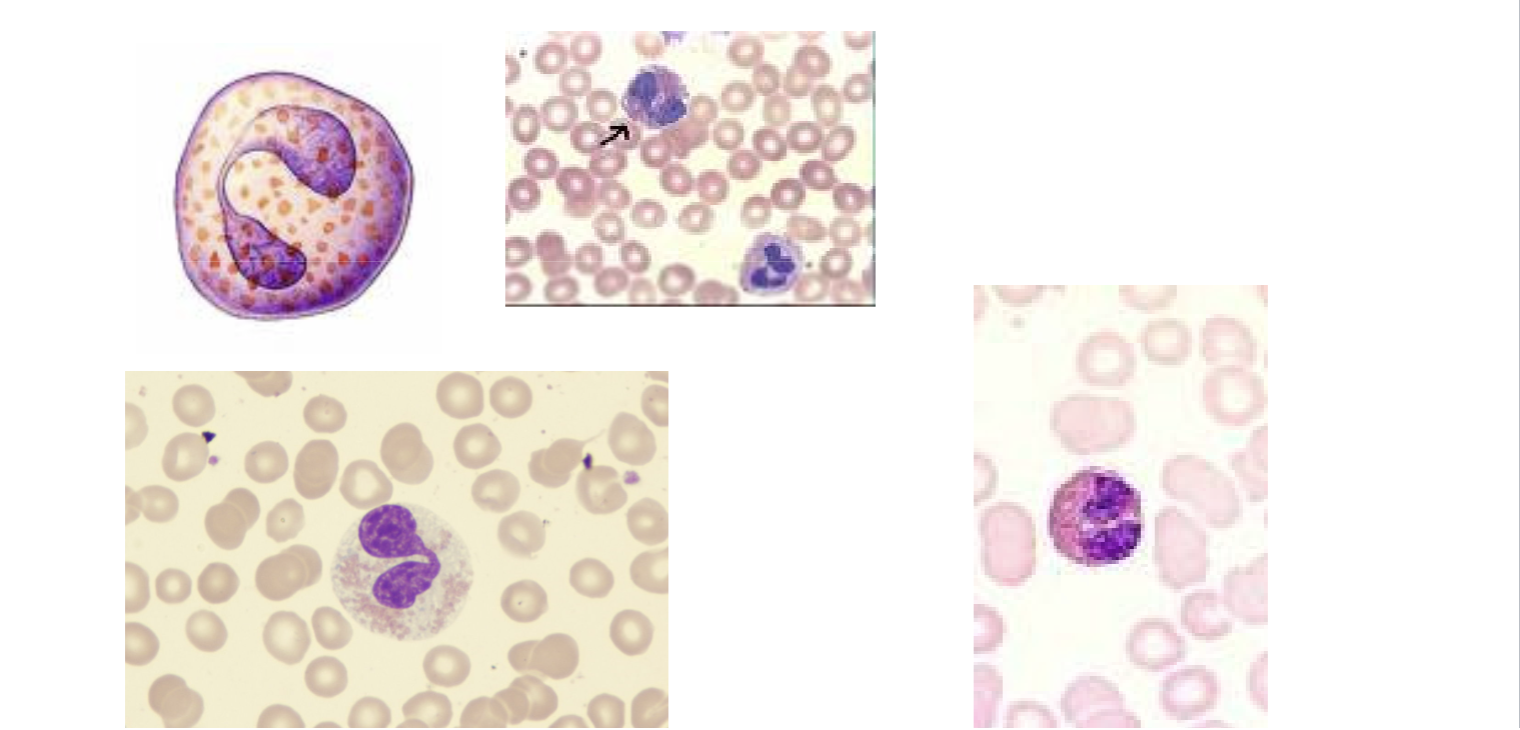
Eosinophils: bilobed nuclei; lobes
connected with thin strip

Basophils: dark, granulated nuclei.
Rare

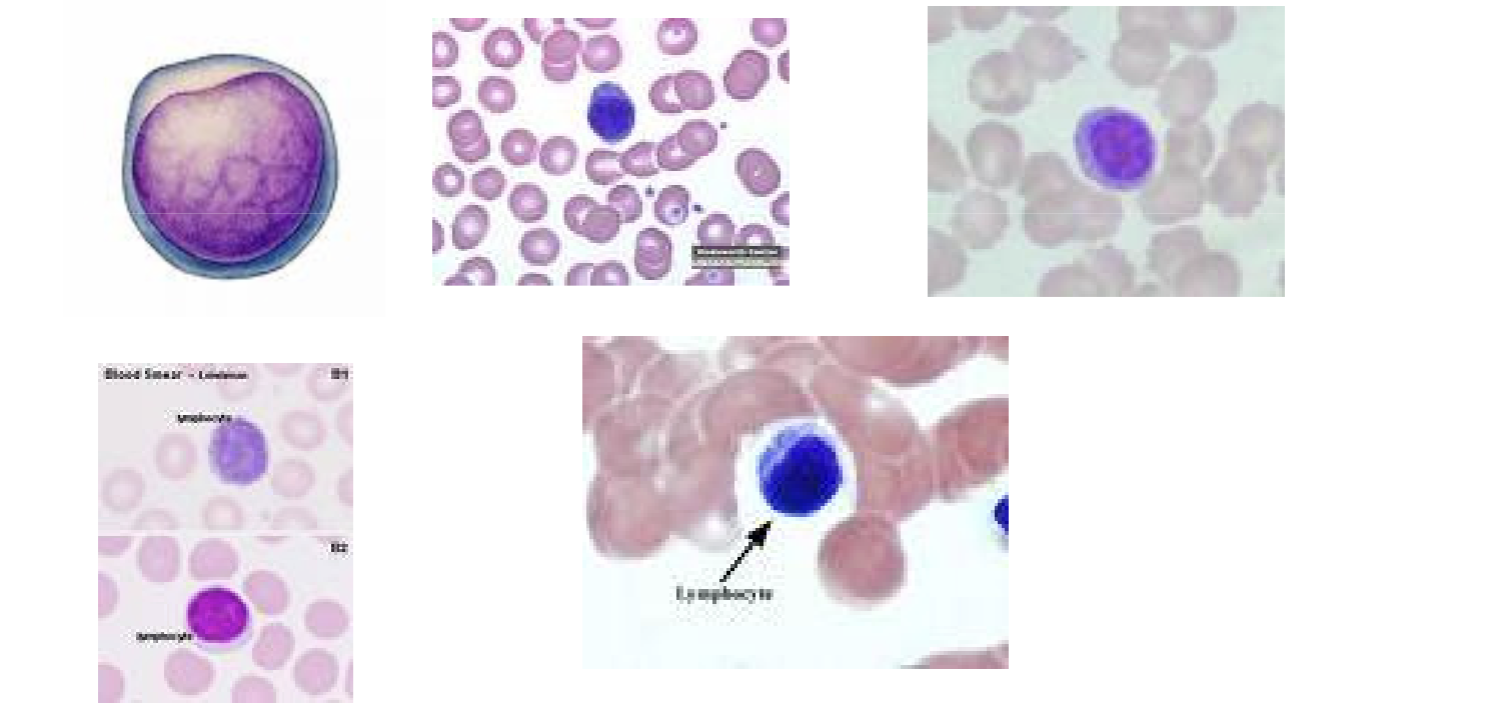
Lymphocytes: small cells; large,
smooth nucleus with tiny sliver of
light purple cytoplasm

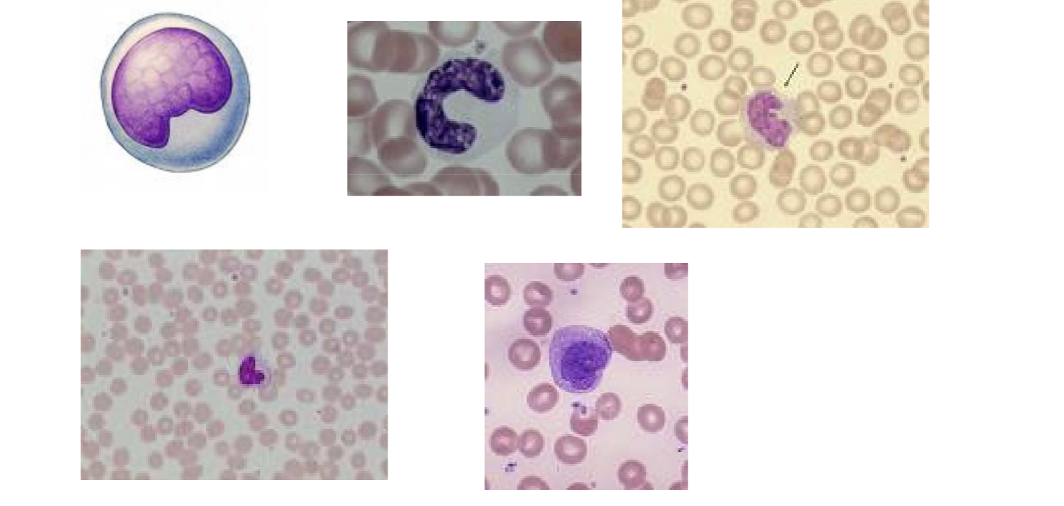
Monocytes: huge cells; thick,
kidney-shaped nucleus
