7. Intracellular Accumulations

0.0(0)
studied byStudied by 0 people
0.0(0)
full-widthCall with Kai
GameKnowt Play
New
learnLearn
examPractice Test
spaced repetitionSpaced Repetition
heart puzzleMatch
flashcardsFlashcards
Card Sorting

1/48

encourage image

There's no tags or description

Looks like no tags are added yet.

Study Analytics
Name
Mastery
Learn
Test
Matching
Spaced

No study sessions yet.

49 Terms

1
New cards

What can cause injured cells to accumulate endogenous by products or exogenous substances?

metabolic abnormalities

genetic mutations

exposure to indigestible exogenous material

2
New cards

T/F: mutations can be harmless or promote cell degeneration and death

true

3
New cards

what are the types of accumulations?

lipids

glycogen

proteins

inclusions

storage disorders

4
New cards

lipidosis

accumulation of lipids within parenchyma cells

<p>accumulation of lipids within parenchyma cells</p>
5
New cards

Although lipidosis can occur in many organs and tissues, what are the classic organs?

liver and kidney

6
New cards

_____ plays a major role in lipid metabolism

liver

7
New cards

briefly explain lipid metabolsim

lipids from adipose tissue/ GI tract -> liver -> esterified to triglycerides or converted to cholesterol, phospholipids, or ketone bodies

triglycerides can be comeplexed as energy source for tissues

8
New cards

what are some causes of lipidosis?

increased mobilization of free FA

abnormal hepatocellular metabolism

impaired release of lipoproteins

9
New cards

what could increase the mobilization of free fatty acids?

high dietary fat

starvation

diabetes mellitus

lactation

10
New cards

what could cause abnormal hepatocellular metabolism?

hypoxia or cell injury

11
New cards

what is the mechanism of lipidosis?

excess delivery of free FA -> decreased oxidation/ use of FA -> impaired syn of apoprotein -> impaired combination of protein and triglycerides to form lipoproteins -> impaired release of lipoproteins

<p>excess delivery of free FA -&gt; decreased oxidation/ use of FA -&gt; impaired syn of apoprotein -&gt; impaired combination of protein and triglycerides to form lipoproteins -&gt; impaired release of lipoproteins</p>
12
New cards

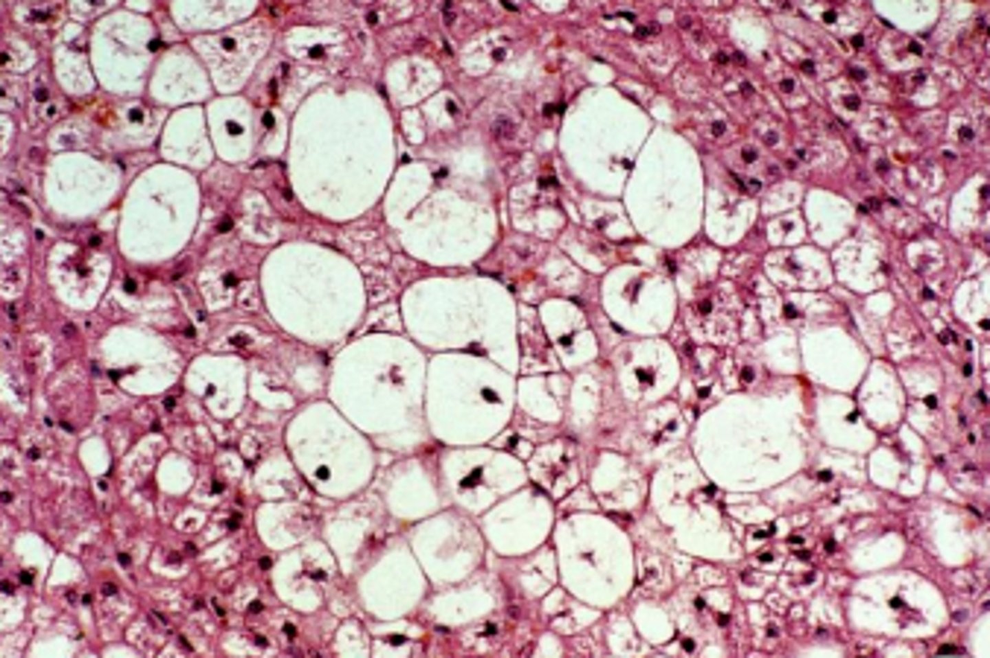
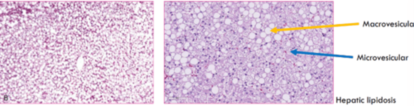
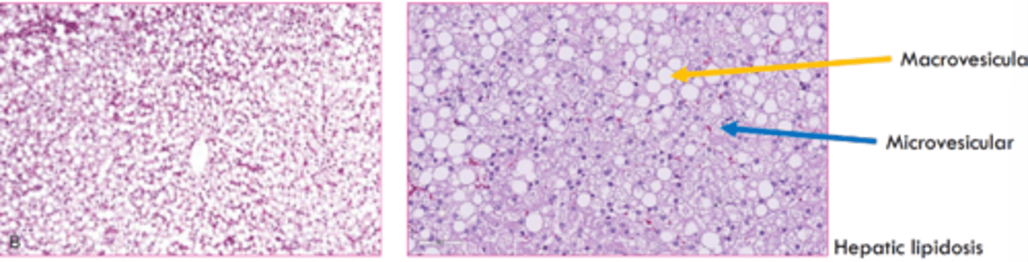
The microscopic appearance of lipolysis can be macrovesicular or microvesicular. Which is most common?

macrovesicular

13
New cards

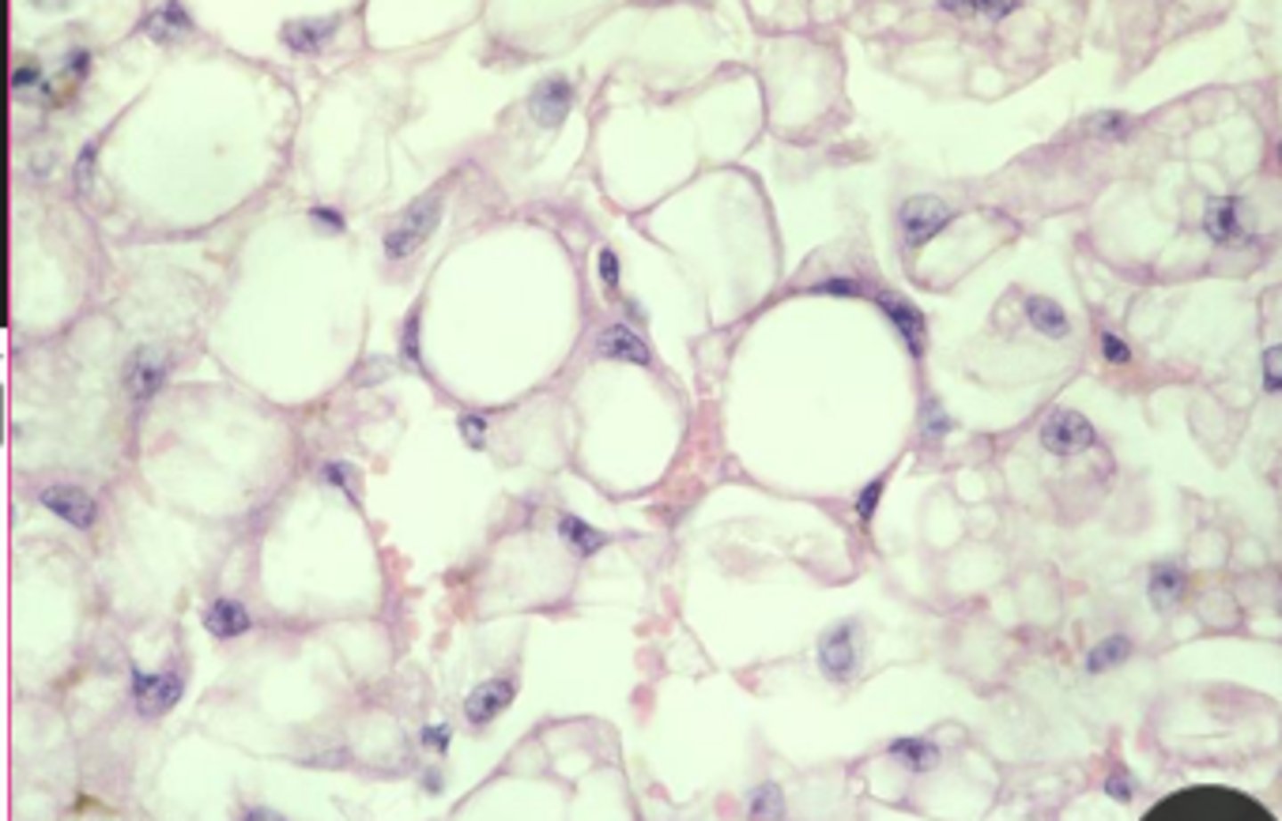
macrovesicular microscopic changes

large, clear, sharply defined vacuoles that are larger than the nucleus, distend the cytoplasm, and displace the nucleus

<p>large, clear, sharply defined vacuoles that are larger than the nucleus, distend the cytoplasm, and displace the nucleus</p>
14
New cards

microvesicular changes

multiple small round clear vacuoles that do not displace the nucleus

<p>multiple small round clear vacuoles that do not displace the nucleus</p>
15
New cards

what stain can we use to confirm lipid? what do they not work on?

Oil red O stain - do not work on paraffin embedding

Sudan Black B

16
New cards

what is the gross appearance of lipidosis?

organ is swollen, yellow, greasy texture, possibly friable, may float

<p>organ is swollen, yellow, greasy texture, possibly friable, may float</p>
17
New cards

What are some causes of lipidosis in ruminants?

late pregnancy or heavy lactation

physiological- normal

may be due to insufficient dietary energy intake

18
New cards

What are some causes of lipidosis in equines?

equine hyperlipemia

donkeys, mini horses - genetic predisposition to negative energy balance = elevated VLDLs

19
New cards

What are some causes of lipidosis in felines?

feline hepatic lipidosis

obese, nutritionally stressed -> increased mobilization, altered formation/ release of VLDL, alterations in FA oxidation

20
New cards

where is glycogen normally stored?

hepatocytes and skeletal muscle

21
New cards

why would we see glycogen accumulations?

due to depletion in starvation or illness

metabolic abnormalities

storage diseases

endocrine disorder (diabetes mellitus, hyperadrenocorticism)

22
New cards

how does glycogen appear microscopically?

clear granules, vacuoles

less sharply defined than lipid and less likely to displace nucleus

<p>clear granules, vacuoles</p><p>less sharply defined than lipid and less likely to displace nucleus</p>
23
New cards

amount of glycogen observed microscopically is dependent on what?

original concentration

delay between death and fixation

type of fixation

24
New cards

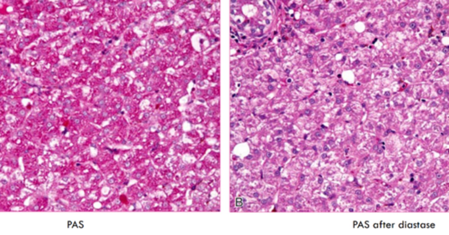
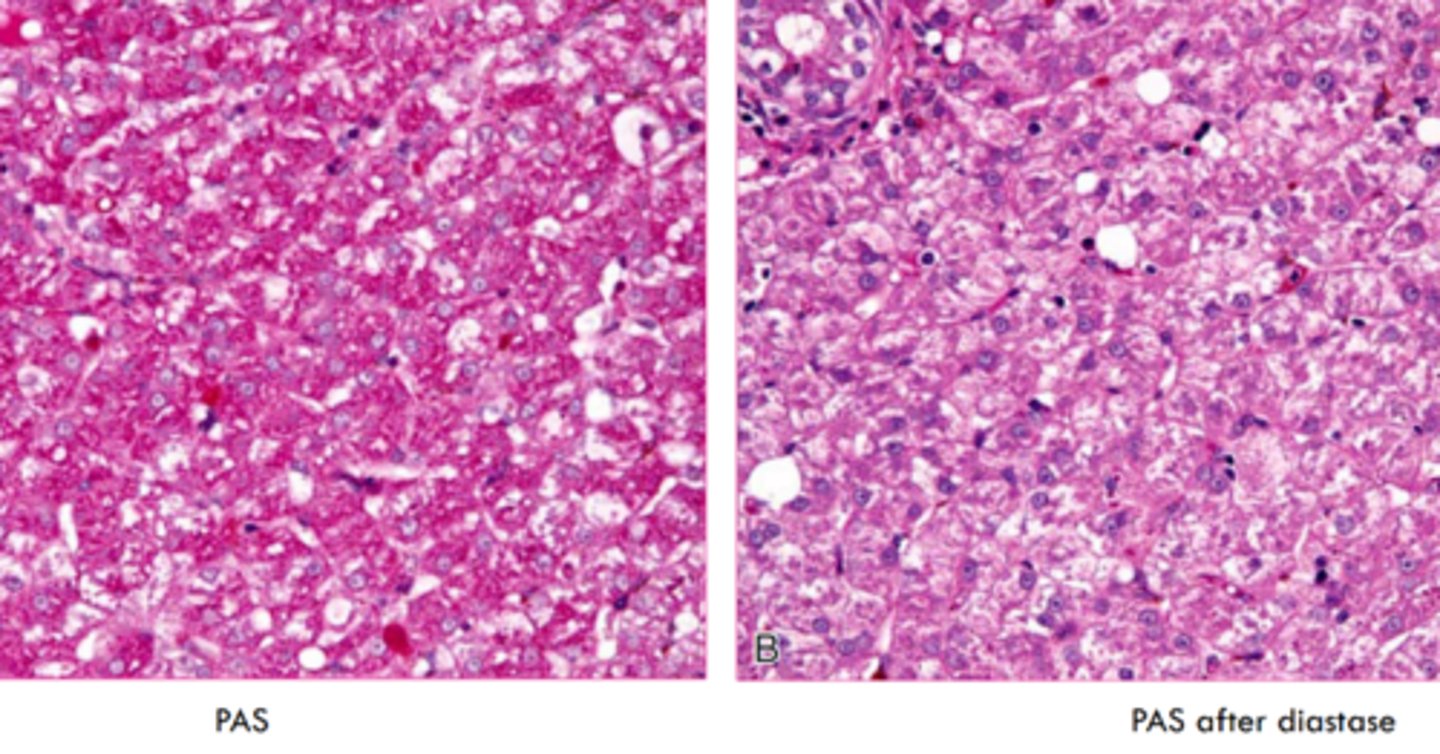
what stain do we use for glycogen?

periodic acid - schiff stain

<p>periodic acid - schiff stain</p>
25
New cards

why would we use PAS in conjunction with diastase?

diastase digests glycogen- prove glycogen storage

<p>diastase digests glycogen- prove glycogen storage</p>
26
New cards

gross appearance of glycogen accumulation

swollen, pale brown, mottled

<p>swollen, pale brown, mottled</p>
27
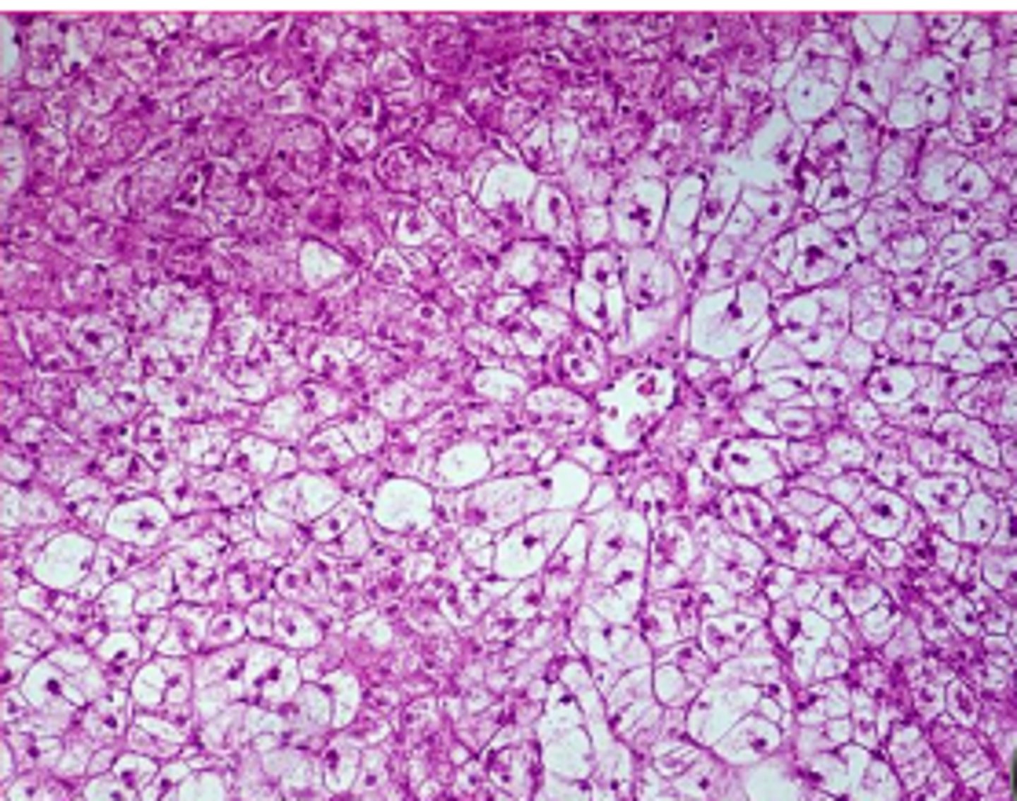
New cards

glycogen or lipid?

glycogen

spiderwork webbing of cytoplas, and central nucleus

<p>glycogen</p><p>spiderwork webbing of cytoplas, and central nucleus</p>
28
New cards

glycogen or lipid?

lipid

displaced nuclei,

<p>lipid</p><p>displaced nuclei,</p>
29
New cards

glycogen or lipid?

glycogen

central nuclei, some webbing

<p>glycogen</p><p>central nuclei, some webbing</p>
30
New cards

are proteins eosinophilic or basophilic?

proteins

31
New cards

If we say a substance looks hyaline, how does it appear?

homogenous, eosinophilic, and translucent

can be intracellular or extracellular

<p>homogenous, eosinophilic, and translucent</p><p>can be intracellular or extracellular</p>
32
New cards

T/F: protein accumulation can be normal in some cells

true, russell bodies in plasma cells

<p>true, russell bodies in plasma cells</p>
33
New cards

Abnormal protein accumulation can occur in various diseases. Where in the kidney do we see protein resorption vesicles?

cytoplasm of proximal renal tubular epithelial cells

<p>cytoplasm of proximal renal tubular epithelial cells</p>
34
New cards

autophagic vacuoles are ___________ _______________ inclusions that may be extruded from a cell or remain as lipofuscin pigment

eosinophilic cytoplasmic

35
New cards

Crystalline protein inclusions have an unknown significance. They increase with ________ and are common where?

age

hepatocytes and rental tubular epithelial cells

<p>age</p><p>hepatocytes and rental tubular epithelial cells</p>
36
New cards

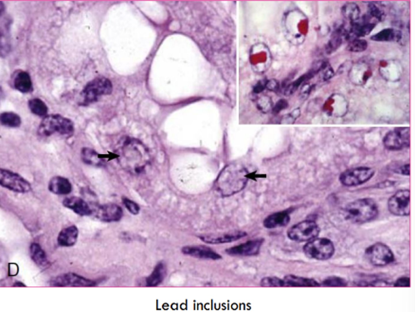
Lead inclusions are _____________ inclusions in _______________________________.

intranuclear, renal tubular epithelial cells

<p>intranuclear, renal tubular epithelial cells</p>
37
New cards

Since lead inclusions are a mix of lead and protein they are best seen with what type of stain?

acid fast

38
New cards

T/F: viral inclusion bodies are only intranuclear

false, they can be intracytoplasmic or intranuclear

39
New cards

what are storage diseases characterized by?

by mutations that result in accumulation of complex substrates or blockage of metabolic pathway

40
New cards

what are some general causes of storage diseases?

defect processing of metabolic substrate -> accumulation

inborn errors of metabolism (lysosomal or glycogen disease)

inhibition of enzymes

41
New cards

what characterizes a storage disease as lysosomal?

deficiency of lysosomal acid hydrolases

42
New cards

what could cause lysosomal storage diseases?

incomplete breakdown of substrates

accumulation of partially degraded, insoluble metabolite within lysosomes

43
New cards

sphingolipidoses

enzymes associated with different products

44
New cards

globoid cell leukodystrophy

knowt flashcard image
45
New cards

what characterized glycogen storage diseases?

deficiency of an enzyme involved in synthesis or degradation of glycogen

46
New cards

pompe disease

47
New cards

what causes induced storage diseases?

inhibition of enzymes

48
New cards

what is an examples of an induced storage disease?

Locoweed toxicosis which inhibits a lysosomal enzyme

chronic consumption causes proprioceptive defects and abnormal behvaior

49
New cards

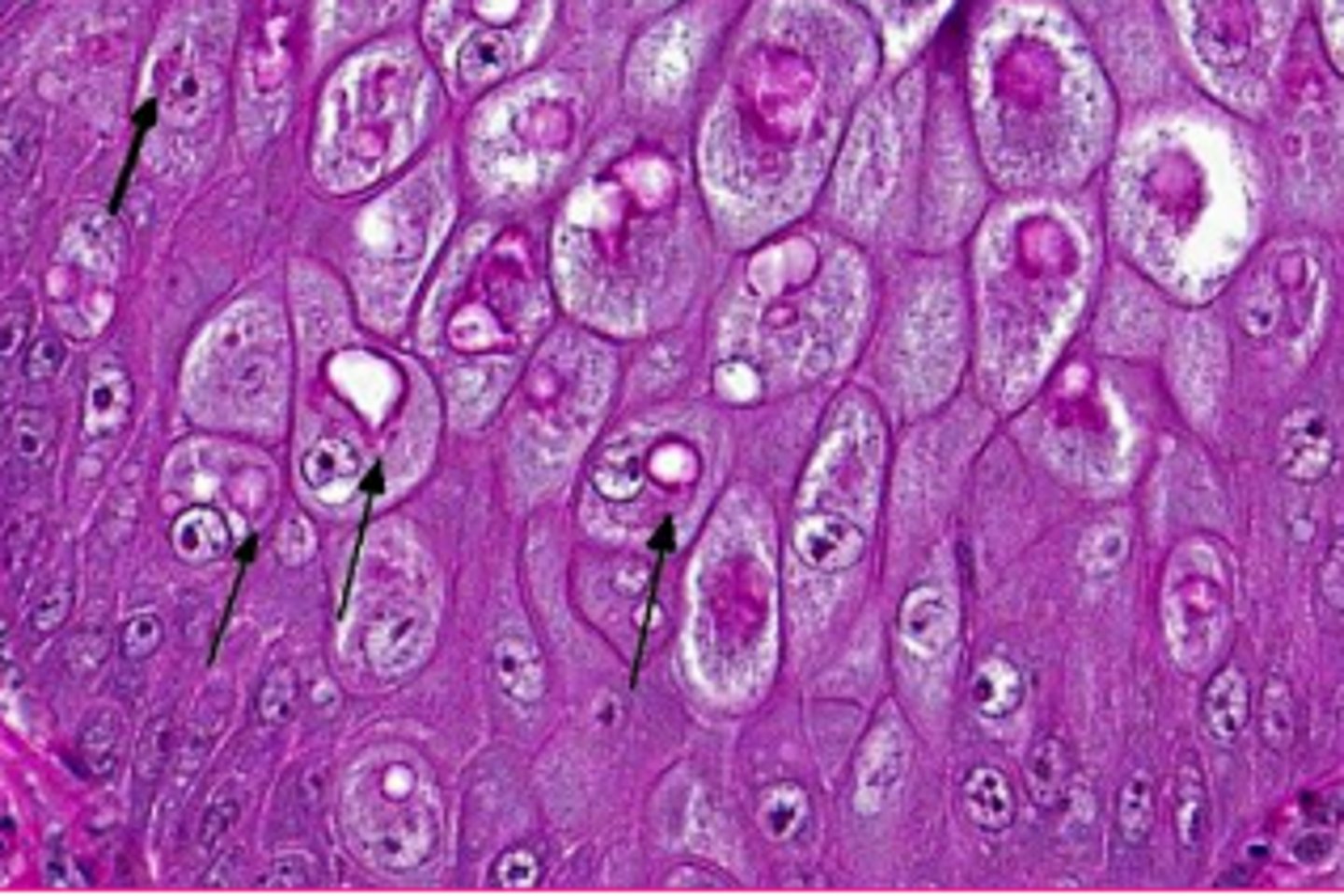
what is this?

viral inclusions

<p>viral inclusions</p>