Arterial System (Arteries)

0.0(0)
studied byStudied by 0 people
full-widthCall with Kai
GameKnowt Play
learnLearn
examPractice Test
spaced repetitionSpaced Repetition
heart puzzleMatch
flashcardsFlashcards
Card Sorting

1/144

flashcard set

Earn XP

Description and Tags

Chapter 10

Study Analytics
Name
Mastery
Learn
Test
Matching
Spaced

No study sessions yet.

145 Terms

1
New cards

What is the tunica interna composed of?

Note: Another name for tunica interna is tunica intima

Simple squamous epithelium underlain by delicate connective tissue

2
New cards

Do veins, arteries or both have valves in their tunica interna ?

Only veins

3
New cards

Why do veins have valves?

Becuase veins are low pressure vessels, they need valves to prevent gravity from causing backflow of blood.

4
New cards

What is the tunica media mainly composed of?

Smooth Muscle

5
New cards

What is the function of the tunica media?

The contraction and relaxation will constrict and dilate the vessel

6
New cards

What is the tunica externa mainly composed of?

Note: Another name for tunica interna is tunica adventitia

Dense irregular connective tissue

7
New cards

What is the function of the tunica externa?

Anchors and stabilizes the vessel

8
New cards
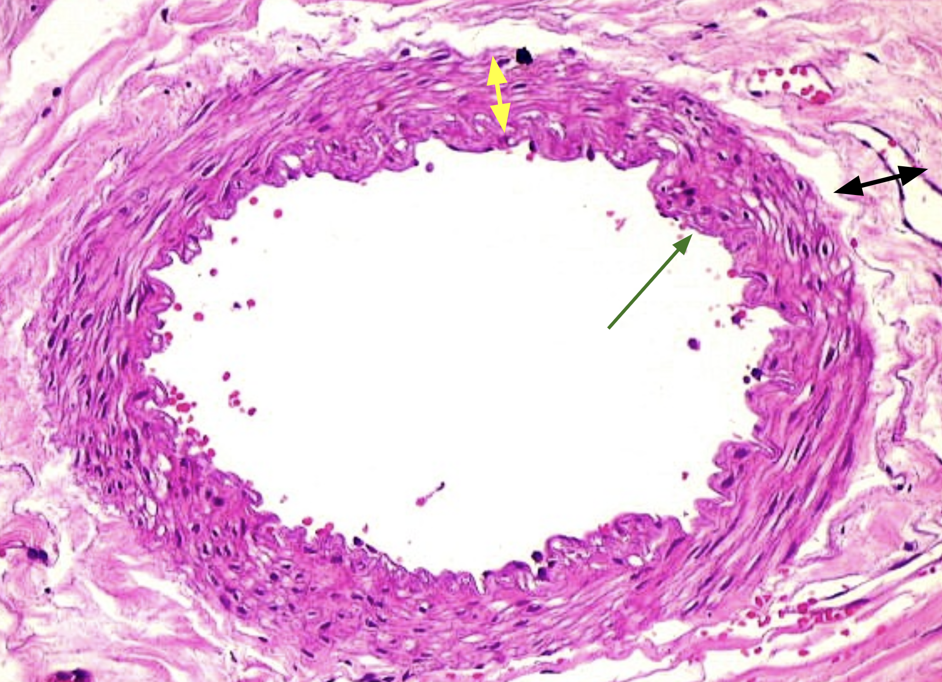
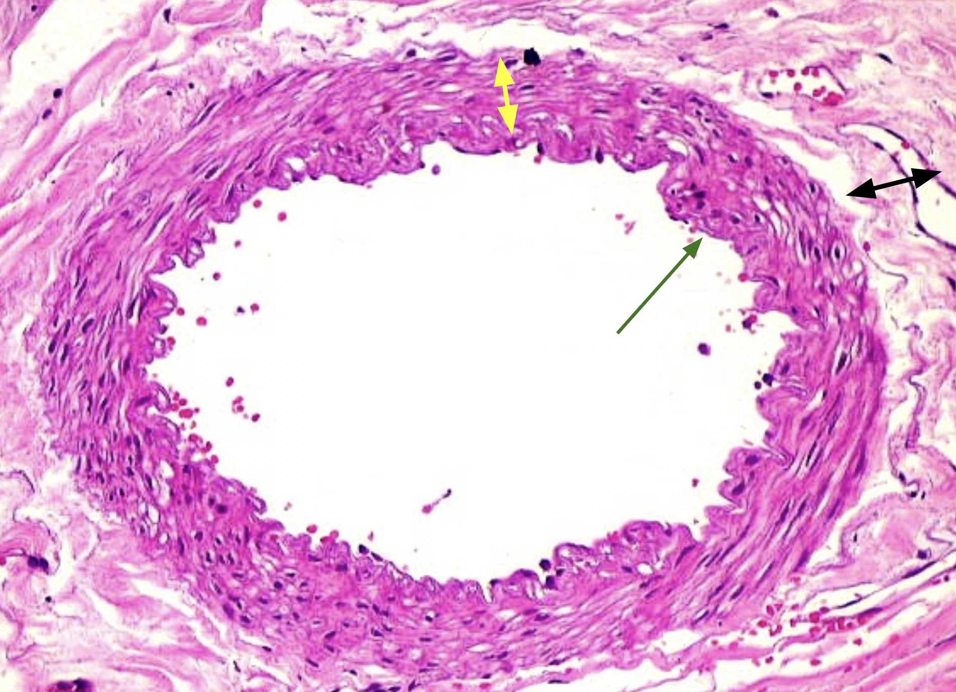
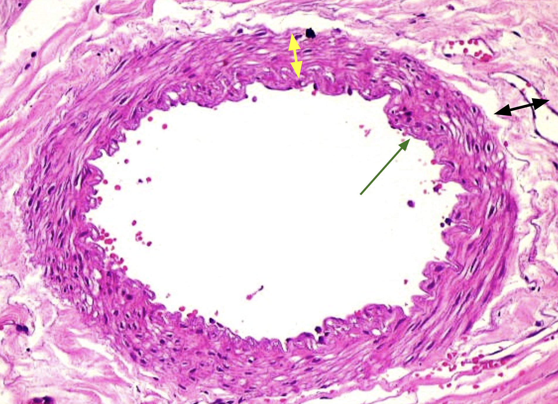
<p>What is the <span style="color: green;"><strong>GREEN</strong></span> arrow pointing to?</p>

What is the GREEN arrow pointing to?

Tunica interna or initima

9
New cards
<p>What is the <span style="color: yellow;"><strong>YELLOW</strong></span> arrow pointing to?</p>

What is the YELLOW arrow pointing to?

Tunica media

10
New cards
<p>What is the <strong>BLACK</strong> arrow pointing to?</p>

What is the BLACK arrow pointing to?

Tunica externa or adventitia

11
New cards
<p>Is the lumen with the PINK block an artery or vein?</p>

Is the lumen with the PINK block an artery or vein?

Artery

12
New cards
<p>Is the lumen with the ORANGE block an artery or vein?</p>

Is the lumen with the ORANGE block an artery or vein?

Vein

13
New cards
<p>Identify blood vessel 1</p>

Identify blood vessel 1

Ascending aorta

14
New cards
<p>Identify blood vessel 2</p>

Identify blood vessel 2

Aortic arch

15
New cards
<p>Identify blood vessel 3</p>

Identify blood vessel 3

Brachiocephalic artery

16
New cards
<p>Identify blood vessel 4</p>

Identify blood vessel 4

Left common carotid artery

17
New cards
<p>Identify blood vessel 5</p>

Identify blood vessel 5

Left subclavian artery

18
New cards
<p>Identify blood vessel 6</p>

Identify blood vessel 6

Left axillary artery

19
New cards
<p>Identify blood vessel 7</p>

Identify blood vessel 7

Left vertebral artery

20
New cards
<p>Identify blood vessel 8</p>

Identify blood vessel 8

Left common carotid artery

21
New cards
<p>Identify blood vessel 9</p>

Identify blood vessel 9

Right common carotid artery

22
New cards
<p>Identify blood vessel 10</p>

Identify blood vessel 10

Right vertebral artery

23
New cards
<p>Identify blood vessel 11</p>

Identify blood vessel 11

Right subclavian artery

24
New cards
<p>Identify blood vessel 12</p>

Identify blood vessel 12

Right axillary artery

25
New cards
<p>Identify blood vessel 13</p>

Identify blood vessel 13

Pulmonary Trunk

26
New cards
<p>Identify blood vessel 14</p>

Identify blood vessel 14

Left pulmonary artery

27
New cards
<p>Identify blood vessel 1</p>

Identify blood vessel 1

Right subclavian artery

28
New cards
<p>Identify blood vessel 2</p>

Identify blood vessel 2

Right vertebral artery

29
New cards
<p>Identify blood vessel 3</p>

Identify blood vessel 3

Right common carotid artery

30
New cards
<p>Identify blood vessel 4</p>

Identify blood vessel 4

Left common carotid artery

31
New cards
<p>Identify blood vessel 5</p>

Identify blood vessel 5

Left external cartoid artery

32
New cards
<p>Identify blood vessel 6</p>

Identify blood vessel 6

Left facial artery

33
New cards
<p>Identify blood vessel 7</p>

Identify blood vessel 7

Left vertebral artery

34
New cards
<p>Identify blood vessel 8</p>

Identify blood vessel 8

Left subclavian artery

35
New cards
<p>Identify blood vessel 1</p>

Identify blood vessel 1

Right radial artery

36
New cards
<p>Identify blood vessel 2</p>

Identify blood vessel 2

Right ulnar artery

37
New cards
<p>Identify blood vessel 3</p>

Identify blood vessel 3

Right brachial artery

38
New cards
<p>Identify blood vessel 4</p>

Identify blood vessel 4

Right axillary artery

39
New cards
<p>Identify blood vessel 1</p>

Identify blood vessel 1

Right brachial artery

40
New cards
<p>Identify blood vessel 2</p>

Identify blood vessel 2

Right radial artery

41
New cards
<p>Identify blood vessel 3</p>

Identify blood vessel 3

Right ulnar artery

42
New cards
<p>Identify blood vessel 4</p>

Identify blood vessel 4

Right superifical palmar arch

43
New cards
<p>Identify blood vessel 5</p>

Identify blood vessel 5

Right metacarpal artery

44
New cards
<p>Identify blood vessel 6</p>

Identify blood vessel 6

Right digital artery

45
New cards
<p>Identify blood vessel 1</p>

Identify blood vessel 1

Liver

46
New cards
<p>Identify blood vessel 2</p>

Identify blood vessel 2

Spleen

47
New cards
<p>Identify blood vessel 3</p>

Identify blood vessel 3

Right kidney

48
New cards
<p>Identify blood vessel 4</p>

Identify blood vessel 4

Left gastric artery

49
New cards
<p>Identify blood vessel 5</p>

Identify blood vessel 5

Splenic artery

50
New cards
<p>Identify blood vessel 6</p>

Identify blood vessel 6

Common hepatic artery

51
New cards
<p>Identify blood vessel 7</p>

Identify blood vessel 7

Celiac artery

52
New cards
<p>Identify blood vessel 8</p>

Identify blood vessel 8

Superior mesentric artery

53
New cards
<p>Identify blood vessel 9</p>

Identify blood vessel 9

Abdominal aorta

54
New cards
<p>Identify blood vessel 10</p>

Identify blood vessel 10

Left renal artery

55
New cards
<p>Identify blood vessel 11</p>

Identify blood vessel 11

Inferior mesentric artery

56
New cards
<p>Identify blood vessel 12</p>

Identify blood vessel 12

Left common iliac artery

57
New cards
<p>Identify blood vessel 13</p>

Identify blood vessel 13

Left internal iliac artery

58
New cards
<p>Identify blood vessel 14</p>

Identify blood vessel 14

Left external iliac artery

59
New cards
<p>Identify blood vessel 1</p>

Identify blood vessel 1

Left femoral artery

60
New cards
<p>Identify blood vessel 2</p>

Identify blood vessel 2

Left popliteal artery

61
New cards
<p>Identify blood vessel 1</p>

Identify blood vessel 1

Left posterior tibial artery

62
New cards
<p>Identify blood vessel 2</p>

Identify blood vessel 2

Left anterior tibial artery

63
New cards
<p>Identify blood vessel 3</p>

Identify blood vessel 3

Left dorsalis pedis artery

64
New cards
<p>Identify blood vessel 4</p>

Identify blood vessel 4

Left medial plantar artery

65
New cards
<p>Identify blood vessel 1</p>

Identify blood vessel 1

Right dorsalis pedis artery

66
New cards
<p>Identify blood vessel 2</p>

Identify blood vessel 2

Right digital artery

67
New cards
<p>Identify blood vessel 1</p>

Identify blood vessel 1

Aortic arch

68
New cards
<p>Identify blood vessel 2</p>

Identify blood vessel 2

Descending throacic aorta

69
New cards
<p>Identify blood vessel 3</p>

Identify blood vessel 3

Brachiocephalic artery

70
New cards
<p>Identify blood vessel 4</p>

Identify blood vessel 4

Right common carotid artery

71
New cards
<p>Identify blood vessel 5</p>

Identify blood vessel 5

Left common carotid artery

72
New cards
<p>Identify blood vessel 6</p>

Identify blood vessel 6

Right pulmonary artery

73
New cards
<p>Identify blood vessel 7</p>

Identify blood vessel 7

Left pulmonary artery

74
New cards
<p>Identify blood vessel 1</p>

Identify blood vessel 1

Right common carotid artery

75
New cards
<p>Identify blood vessel 2</p>

Identify blood vessel 2

Left common carotid artery

76
New cards
<p>Identify blood vessel 3</p>

Identify blood vessel 3

Left internal carotid artery

77
New cards
<p>Identify blood vessel 4</p>

Identify blood vessel 4

Aortic arch

78
New cards
<p>Identify blood vessel 1</p>

Identify blood vessel 1

Abdominal aorta

79
New cards
<p>Identify blood vessel 2</p>

Identify blood vessel 2

Splenic artery

80
New cards
<p>Identify blood vessel 3</p>

Identify blood vessel 3

Superior mesentric artery

81
New cards
<p>Identify blood vessel 4</p>

Identify blood vessel 4

Left common iliac artery

82
New cards
<p>Identify blood vessel 5</p>

Identify blood vessel 5

Left internal iliac artery

83
New cards
<p>Identify blood vessel 6</p>

Identify blood vessel 6

Left external iliac artery

84
New cards
<p>Identify blood vessel 1</p>

Identify blood vessel 1

Ascending aorta

85
New cards
<p>Identify blood vessel 2</p>

Identify blood vessel 2

Aortic arch

86
New cards
<p>Identify blood vessel 3</p>

Identify blood vessel 3

Brachiocephilac artery

87
New cards
<p>Identify blood vessel 4</p>

Identify blood vessel 4

Left common carotid artery

88
New cards
<p>Identify blood vessel 5</p>

Identify blood vessel 5

Left subclavian artery

89
New cards
<p>Identify blood vessel 6</p>

Identify blood vessel 6

Right common carotid artery

90
New cards
<p>Identify blood vessel 7</p>

Identify blood vessel 7

Right subclavian artery

91
New cards
<p>Identify blood vessel 8</p>

Identify blood vessel 8

Pulmonary trunk

92
New cards
<p>Identify blood vessel 9</p>

Identify blood vessel 9

Left pulmonary artery

93
New cards
<p>Identify blood vessel 1</p>

Identify blood vessel 1

Left common carotid artery

94
New cards
<p>Identify blood vessel 2</p>

Identify blood vessel 2

Left external carotid artery

95
New cards
<p>Identify blood vessel 3</p>

Identify blood vessel 3

Left internal carotid artery

96
New cards
<p>Identify blood vessel 4</p>

Identify blood vessel 4

Right common carotid artery

97
New cards
<p>Identify blood vessel 5</p>

Identify blood vessel 5

Left subclavian artery

98
New cards
<p>Identify blood vessel 6</p>

Identify blood vessel 6

Right subclavian artery

99
New cards
<p>Identify blood vessel 1</p>

Identify blood vessel 1

Celiac artery

100
New cards
<p>Identify blood vessel 2</p>

Identify blood vessel 2

Superior mesenteric artier