RESTORATIVE DENTISTRY

0.0(0)
studied byStudied by 0 people
0.0(0)
full-widthCall with Kai
GameKnowt Play
New
learnLearn
examPractice Test
spaced repetitionSpaced Repetition
heart puzzleMatch
flashcardsFlashcards
Card Sorting

1/24

encourage image

There's no tags or description

Looks like no tags are added yet.

Study Analytics
Name
Mastery
Learn
Test
Matching
Spaced

No study sessions yet.

25 Terms

1
New cards

define restorative dentistry

restorative dentistry: an area of dentistry where the treatment aims are to restore oral structure with regard to

  • the functional

  • psychological

  • and aesthetics 

needs of the patient

2
New cards
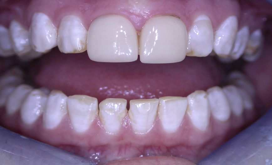
<p>outline notable points about this patient</p>

outline notable points about this patient

  • centrals are a different colour to the rest of the dentition

  • mottling of enamel makes upper centrals look like this

  • calculus between lower anteriors

  • class IV on disto-incisal of LR1

3
New cards

what are the key aspects of restoring in dentistry

  • accurate diagnosis

  • developing a patient-centred treatment plan

  • prevention of recurrence

  • referral or seek advice if unsure

  • providing operative treatment

  • reviewing success of treatment

  • maintenance of any work done to ensure it lasts as long as possible

4
New cards

what are the specialties within restorative dentistry

  • endodontics

  • periodontics

  • prosthodontics

interdependent on each other

5
New cards

what are the key principles of endodontics

  • keep bacteria out of the dental pulp

  • remove bacteria if they penetrate

  • keep bacteria out after treatment

6
New cards

what is an important thing to consider when shaping the restoration to ensure it lasts

ensure they are well adapted and anatomically correct/ close to the original tooth

7
New cards

what are key aspects of periodontics

  • maintenance of a healthy periodontium

    • incl. systemic diseases, prevention, active treatment

8
New cards
<p>outline notable aspects about this patient</p>

outline notable aspects about this patient

  • chronic periodontitis

  • loss of contour of gingival tissues

  • lots of calculus 

  • likely mobility issues

  • likely periapical infections

  • likely halitosis

9
New cards

what are key regimes in periodontics treatment

  • antibiotics sometimes used as an adjunct to treatment

  • important to get oral hygiene as good as possible at the beginning of treatment

  • PMPR

10
New cards
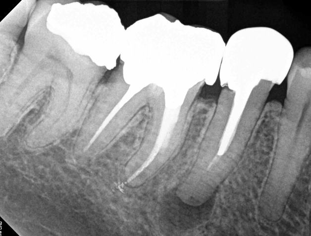
<p>what stands out about this bitewing</p>

what stands out about this bitewing

  • there should be a root fill between the end of the post-crown on the LR5 but it is missing 

11
New cards
<p>what does the red arrow represent</p>

what does the red arrow represent

  • retained root from an extraction

12
New cards

things to remember from a medico-legal aspect

  • practice good quality, ethical dentistry

  • keep excellent records

  • if things have gone wrong then follow up according to procedures

  • informed consent is vital

13
New cards

what is prosthodontics

prosthodontics: replacement of lost tooth tissue

14
New cards

what are the types of dental prostheses 

  • fixed - can be direct or indirect

    • intracoronal restorations (within the crown)

    • extracoronal restorations (over the sides and edges of tooth)

  • removable

    • dentures

15
New cards
<p>classify this type of restoration</p>

classify this type of restoration

intracoronal fixed direct restoration

16
New cards
<p>what class lesion is this&nbsp;</p>

what class lesion is this 

class V

17
New cards

what dental prosthesis combines implants and dentures

implant retained dentures

18
New cards

give examples of indirect restorations

  • veneers

  • bridges

  • crowns

19
New cards

suggest why bleaching teeth is a popular practice

  • fairly straightforward

  • immediate results

20
New cards

if a patient receives a partial denture, what is important to emphasise to them

maintaining oral hygiene of remaining natural teeth

21
New cards
<p>identify the pontic and bridge in this image&nbsp;</p>

identify the pontic and bridge in this image 

  • UL2 = pontic (fake tooth)

  • fixed bridges from premolars

22
New cards

how can we manage patient expectations with all the influence from social media

extensive planning

23
New cards

what is prosthodontics a combination of

  • patient’s needs and wishes

and

  • your skills and knowledge

24
New cards

what aspect of prosthodontics is at the interface of all 3 traditional specialties

implantology

25
New cards

important points for restorative dentistry

  • consider the future health of the whole mouth, not just one restoration

  • don’t be afraid to seek advice/ refer

  • prevent as well as treat

  • know your limits