1/44
Looks like no tags are added yet.
Name | Mastery | Learn | Test | Matching | Spaced |
|---|
No study sessions yet.
A patient with a supranuclear/upper motor neuron palsy will present with what?
a. Weakness on the contralateral 2/3 of the lower face
b. Weakness on the contralateral 2/3 of the upper face
c. Weakness on the ipsilateral 2/3 of the lower face
d. Weakness on the ipsilateral 2/3 of the upper face
A

A patient presents with a palsy of the left upper motor neuron. What do you expect to see when you ask her to wrinkle her brows and blow out her cheeks?
Patient is able to wrinkle her brows but when she blows out her cheeks, her right cheek is unable to go out as much as her left.
A patient presents with a palsy of the left upper motor neuron. What do you expect to see when you make her laugh?
Patient is able to have a normal smile because CN VII controls voluntary facial movement not involuntary so something natural like smiling without thinking will come out normal
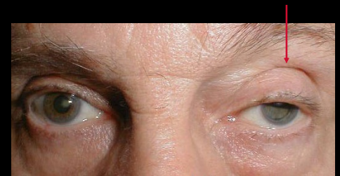
A patient with an infranuclear/lower motor neuron palsy will present with what?
a. Weakness on the ipsilateral lower face
b. Weakness on the ipsilateral upper face
c. Both
C

Your patient presents with a facial palsy of the lower motor neuron. Which of the following is NOT a finding that you would see?
a. Loss of brow furrows
b. Loss of nasolabial folds
c. Entropion
d. Corneal dessication
C - you would see ectropion instead, which is why you should also check for corneal dessication

Match the following finding with either lesion in the motor cortex/internal capsule or a lesion in the facial nucleus/pons (some may have two answers).
Contralateral paralysis of limbs
Contralateral facial paralysis
Ipsilateral facial palsy
Motor cortex/internal capsule: 1 and 2
Facial nucleus/pons: 2 and 3
Bell’s Palsy is a diagnosis of exclusion in which you would need to rule out which of the following differential diagnoses (select all that apply):
a. Trauma
b. Herpes zoster
c. Tumor
d. Infection
All of themO
Of the differential diagnoses, which is the most common?
Trauma

If a patient presents with a facial palsy that involves vesicles on the right ear as well as an inability to squeeze their right eye shut most likely has what?
Herpes zoster, specifically Ramsay-Hunt because ear is involved
What is the etiology of Bells Palsy?
a. Bacterial infection from staph aureus
b. Viral inflammatory immune reaction from HSV
B
T/F A patient with Bells palsy experiences pain around the ear that has more external pain compared to Ramsay Hunt
True
What is a Bells patient’s most likely complaint?
a. Facial numbness
b. Changes in taste
c. Inability to close eyes and facial droop
d. Pain around the ear
C
Because Bells is self limiting and non-progressive, how long do we expect a patient to recover after symptoms show?
a. 1 week
b. 3 weeks
c. 4 weeks
d. 8 weeks
B
What are 5 clinical signs of a Bells Palsy?
Ptosis, ectropion, decreased basal tearing, drooling, and facial droop
Bilateral Bells account for 0.3 to 2% of all cases and is a red flag diagnosis due to which of the following etiologies? Select all that apply.
a. HIV
b. Lyme
c. Syphilis
d. Sarcoidosis
e. Miller Fisher
f. Bordatella pertussis
A - E
Flip card for Houseman Brackman Grading System of Bells Palsy

Most management for Bells patients is supportive such as lubrication with gels, lid taping, and ointment. Medical treatments such as botox should be used for what type of patient?
a. Patient whose left mouth contracts when she closes her eyes
b. Patient who tears up while eating
c. Patient who has ptosis on right eye
A - we use botox for patients with synkinesia to improve symmetry
T/F Steroids that are used within 72 hours of Bells do not need to be tapered and reduces the relative risk of incomplete recovery by 37%
True
What is the rate of recurrence of Bells?
a. 1-5%
b. 7-10%
c. 12-15%
d. 18-20%
B
T/F Aberrant regeneration occurs in CN III and CN VII
True
What is the gustolacrimal reflex?
Aberrant regeneration that results in tearing while eating
Which of the following about ptosis is false?
a. May be referred to as blepharoptosis
b. Defined as drooping of upper eyelid
c. Normal fissure height is 10 mm
d. Upper lid margin lies at limbus
D - it lies 1-2 mm below limbus
Your patient presents with a stiff levator muscle that produces a lagophthalmos in downgaze with ipsilateral strabismus and amblyopia, blepharophimosis (hypoplasia of eyelids), and Marcus Gunn Jaw Winking. What type of ptosis do they have?
a. Acquired
b. Congenital
B
T/F Marcus Gunn Jaw Winking is similar to cross linking of the orbicularis oris
False - MGJW is when a patient has a unilateral ptosis that opens up when their mouth opens. Cross linking is when there is a facial palsy in which closure of the eye results in ipsilateral contraction of the mouth.
Which of the following are causes of congenital ptosis? Select 2.
a. CN III palsy
b. Birth injuries
c. Contact lens wear
d. Horner’s syndrome
e. Bells Palsy
A and B
To rule out neurogenic causes of acquired ptosis such as CNIII palsy, Horners, and Bells, we must perform what?
Pupils, lids, and EOMs
T/F Senile involutional is a myogenic cause of ptosis and results from disinsertion of the levator accompanied by loss of tone in Mueller’s
True
Senile involutional results in what clinical signs?
a. Ptosis with increase in ipsilateral sulcus
b. Ptosis with decrease in ipsilateral sulcus
c. Ptosis with increase in contralateral sulcus
d. Ptosis with decrease in contralateral sulcus
A

What are 3 myogenic causes of ptosis?
a. Senile involutional
b. CL wear
c. Myasthenia Gravis
d. Chronic Progressive External Ophthalmoplegia
A, C, D
Match the following as either a traumatic or mechanical cause of ptosis?
a. Trapped CL in upper fornix
b. CL wear
c. Corneal disease
d. Tumors/chalazia
e. Lid edema
f. Iatrogenic from surgery
g. Lid scarring
A,B,C, F - Trauma
D, E, G - Mechanical
When evaluating a ptosis patient, if the patient has a complain of the ptosis waxing and waning, they most likely have what?
a. Senile involutional
b. MG
c. CPEO
d. Bells
e. Horners
B
On your gross external examination of a ptosis patient, what are you looking at (select 3).
a. Forehead
b. Lid crease
c. Contralateral lid retraction
d. Ipsilateral lid retraction
A B C
What are 2 tests you can do to check for orbicularis function?
Fatigue test and squeeze test
What are 4 clinical measurements that you need to take if your patient presents with ptosis?
MRD ½
Vertical Interpalpebral height
Upper eyelid Crease position
Levator Excursion test
(MICE)
MRD 1+2 equals what?
Vertical interpalpebral height
MRD 1 >2.5mm is normal (UL)
MRD 2 >5.0mm is normal (LL)
What is a normal vertical interpalpebral height?
9-10mm
The margin crease distance is the distance between the upper eyelid crease and upper lid margin. A normal value is about 8-10mm in men and 10-11 mm in women. An abnormal value is usually (lower/higher)?
Higher
T/F A normal levator excursion measurement is greater than 5 mm
False - greater than 10 mm
It is poor if it is less than 5 mm
What type of amblyopia can be caused by a congenital ptosis?
a. Strabismic amblyopia
b. Anisometropic amblyopia
c. Occlusion amblyopia
C
If you are to refer a ptosis patient for surgery, what do you need to base it on?
a. Amount of levator function
b. Amount of Muller function
A - and make sure to perform VFs with ptosis lid taped up
Which of the following is NOT a neurogenic cause of lid retraction?
a. Dorsal midbrain syndrome (posterior commissure)
b. MS
c. Progressive supranuclear palsy
d. Parkinson’s
e. MGJW
f. Horner’s
F
If your patient presents with a retracted lid secondary to Grave’s ophthalmopathy, what are 3 clinical signs that we’ll see?
a. Contracture of levator
b. Sympathetic overactivity
c. Adhesions to orbital tissue
d. Myotonic dystrophy
A B C
If patient has a congenital eyelid retraction, what are two signs that you would see?
a. Myotonic dystrophy
b. Malformation of the levator
c. Axial myopia
d. Buphthalmos
e. Shallow orbit
A and B
A patient that presents with a prominent globe may have which of the following? Select all that apply.
a. Axial myopia
b. Buphthalmos
c. CL wear
d. Shallow orbit
A, B, D
What are surgeries that can mechanically cause lid retraction? Select 3
a. Scleral buckle
b. Trabeculectomy
c. Cataract
d. ILM peel
A B C