Clinical Skills 1a

0.0(0)
studied byStudied by 0 people
0.0(0)
full-widthCall Kai
learnLearn
examPractice Test
spaced repetitionSpaced Repetition
heart puzzleMatch
flashcardsFlashcards
GameKnowt Play
Card Sorting

1/80

encourage image

There's no tags or description

Looks like no tags are added yet.

Study Analytics
Name
Mastery
Learn
Test
Matching
Spaced

No study sessions yet.

81 Terms

1
New cards

How to Pass Surgical Instruments

passed sharp end away from receiver and positioned in the surgeon’s hand ready to use

2
New cards

What are the three scalpel grips

pencil, fingertip, palm

3
New cards

How to put on scalpel blade

Grasp back side of the blade using needle holders, hold scalpel away from face and pointed down, don’t apply blade with fingers

4
New cards

Fingertip scapel hold is useful for

long straight incisions

5
New cards

Pencil scalpel blade grips is useful for

short and precise cuts

6
New cards

Palm scalpel grip is useful for

most power but is the least precise (tough tissue)

7
New cards

Press cutting is used for

stab incisions into hollow organs

8
New cards

Tripod grip of needle holders provides

max control, best for precise

9
New cards

The palm grip of needle drives is used for

application with speed and power

10
New cards

Hold the needle ___ of the distance from the needle tip

3/4

11
New cards

Introduce the needle at ____ to the incision

90 degrees

12
New cards

Removal of needle from tissue is optimally performed with

needle holders

13
New cards

Tripod grip for scissors allows for

max movement and control of scissors

14
New cards

Two hand tie is best for

precision but slower

15
New cards

One hand tie is best for

speed

16
New cards

Animal Component - Historical experiences

How do they do normally at the vet? What has caused concern for the animal in the past?

17
New cards

Animal Component - Comfort Level

illness/injury, aging and other body changes

18
New cards

Animal Component - Situtational Changes

New owner, changes in environment

19
New cards

Triage Component

what is the patient here for or what is the level of urgency for care? You need to consider both the needs of the patient and the needs of the owner

20
New cards

Veterinary Impact

Interpreting and understanding the behavior in your patients, quiet environment, quiet demeanor, treats, pheromones, medicines

21
New cards

Cattle Working Systems

Halters, squeeze chutes, head lock gates, tilt tables, ropes

22
New cards

Understanding Horse Language

ears, lips, nostrils, teeth/tongue movement, head and body position, tail position and movement

23
New cards

Equine interaction tools and techniques

halter and lead rope, hand distraction/hand twitch, mechanical twitch, stanchions/stocks, chemical support

24
New cards

Muzles are used to

not stop the patient from biting but to minizme damage and control the animal

25
New cards

What gauge needle do you generally use for large/medium animals

20g

26
New cards

What gauge do you generally need for smaller patients

22g

27
New cards

Lavender top - Additive

EDTA

28
New cards

Green top- Additive

Heparin

29
New cards

Blue top - Additive

Citrate

30
New cards

Red Top - Tests

Chem, serology, vit e, most endocrinology

31
New cards

Tiger top - Tests

can relplace red top for most chem and serologies, avoid with some endocrine/chem

32
New cards

Lavender top - Tests

EDTA Plasma - ACTH Endogenous/ Actch and insulin

EDTA Whole Blood - Hemogram, lead, selenium, knott’s heartworm, PCR tests

33
New cards

Green top - Tests

Heprinized Plasma - most chems, toxicology (cu, fe, nitrate/ite, zinc)

Heprain whole blood - Knott’s heartworm, toxiciolgy

34
New cards

Blue Top - Tests

Most comparative coagulation tests

35
New cards

Blood Culture Vials

first in order of draw,

Additives : Media to encourage growth of microbes + anticoagulant

Centrifugation: No

36
New cards

Blue Top

second in order of draw

Additive: Citrate

Centrifugation: Yes if you want citrate plasma

Used for: Coagulation testing

37
New cards

Red Top Tube

Third in order of draw

Additives : None

Centrifugation: Yes after clot has fully fromed

Used for: Chem, serologies, Vit E, Endocrine

38
New cards

What test can you not use red tops for

Endogenous ACTH/ACTH stimulation tests/insulin

39
New cards

Tiger top

third in order of draw

Additives: Serum separator

Centrifugation: Yes, after clot has fully formed

Used for: Interchangable with the red top

40
New cards

Green top

Fourth in order of draw

Additive: Lithium Heparin

Centriguation: Yes if you want heparinized plasms

Used for: Chem, toxicology, heartworm

41
New cards

Purple top

Fifth in order of draw

Additives : Postassium EDTA

Centrifugation: yes if you want plasma

Used for: CBC, insulin, endogenous ACTH, ACTH stim test, heartworm, PCRs, lead/selenium

42
New cards

Gray top tube

Sixth in order of draw

Additive: Sodium Fluoride (preservative) and Potassium Oxalate(Anticoagulant)

Centrifugation: Yes if you want plasma

Used for: Plasma glucose and lactic acid

43
New cards

Coccygeal Venipuncture

Done gloves, stand behidn teh cow and slightly to one side of the tail, hold the tail approximately a 3rd of the way from the base and with your non-dominant hand raise the tail vertically until it is horizontal to the ground, locate the groove lying in the ventral midline of the tail, midway along the body of a coccygeal vertebra, with you dominant hand insert the needle perpendicualy to the surface of the skin slwoly to a depth of a few milimetters (you may hit bone), back the need out very slowly about 1 mm and pull back on plunger, get blood and reove needle from tail, apply pressure to site for 20-30 seconds

44
New cards

Equine Jugular Veinpuncture

Don gloves, stand on the side of the horse you plan to use, with you non-dominant hand distend the jugular vein by compressing the proximal third of the neck (You should be able to visualize the vein now), with your dominant hand, match the angle of the vein with your syringe and needle, insert the needle completly into the vein and pull back on plunger, remove needle and apply pressure to site for 20-30 seconds

45
New cards

Recumency for canine jugular

seated, standing or dorsal recumbency

46
New cards

Recumbency of Feline Jugular

Sternal, lateral, or ventral recumbency

47
New cards

Canine and feline Jugular Venipuncture

Don gloves, cclude jugular with non dominant hand, with dominatn hand insert the needle into the vein at 45 angle and to a depth of a few mm, pul back, remove needle and apply pressure for 20-30 seconds

48
New cards

Cephalic Venipuncture

Don gloves, hold thoracic limb with non-dominant handm with dominant hand insert the needle in the vein at a 25 angle and to a depth of a few milimeters, pull back, remove needle, apply pressure for 20-30 seconds

49
New cards

Lateral and Medial Saphenous Veinpuncture

Don gloves, hold pelvic limb with non-dominant hand, with dominant hand insert the needle at 25 angle and to a depth of a few mm, pul back, remove needle and apply pressure for 20-30 seconds

50
New cards

Facial Sinus Venipuncture

Don gloves, stand on the side of the horse you plan to use, with you dominant hand insert the needle at an upwar 60 through the skin and muscle toward the base of the facial crest, the needle tip will make contact with the bone , back the needle out very slwoly 1-3 mm to enure placement of the needle and pull back, remove needle and apply presure to site for 20-30 seconds

51
New cards
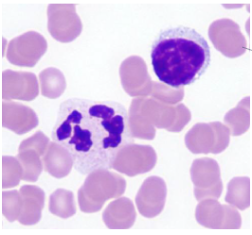
<p>What species blood</p>

What species blood

Dog

52
New cards
<p>What species blood</p>

What species blood

feline

53
New cards
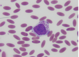
<p>What species blood</p>

What species blood

Bovine

54
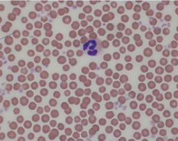
New cards
<p>What species blood</p>

What species blood

equine

55
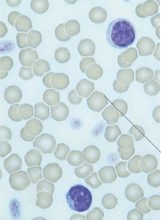
New cards
<p>What species blood</p>

What species blood

Camelid

56
New cards

When to use objective x4

coat brushings and skin scrapes

57
New cards

When to use objective x10

parasites, urine sediment and crystals

58
New cards

When to use objective x40

pATHOLOGICAL SAMPLES

59
New cards

When to use objective x100

cytology, blood and impression smears, FNA and skin impressions

60
New cards

Mature bovine normal Temp

100.5-102.5

61
New cards

Mature bovine normal HR

40-80

62
New cards

mature bovine normal resp rate

10-20

63
New cards

Calf normal tmep

101-103

64
New cards

Calf nromal HR

80-120

65
New cards

Calf Normal Resp rate

20-40

66
New cards

Mature sheep normal temp

100-104

67
New cards

Mature sheep normal HR

70-90

68
New cards

Mature sheep Resp rate

20-40

69
New cards

lamb temp

102.5-104

70
New cards

Lamb hr

120-60

71
New cards

Lamb resp rate

20-40

72
New cards

Goat temp

100-104

73
New cards

Goat HR

70-90

74
New cards

Goat resp rate

20-40

75
New cards

Kid temp

102-104

76
New cards

Kid hr

120-160

77
New cards

Kid resp rate

20-40

78
New cards

Equine temp

99-101.5

79
New cards

Equine HR

28-42

80
New cards

Equine respiration

8-16

81
New cards