1/25
Looks like no tags are added yet.
Name | Mastery | Learn | Test | Matching | Spaced |
|---|
No study sessions yet.
Benedicts reagent test for
sugar
Biuret reagent test for
proteins
Iodine reagent test for
starch
The paper test was used to test for
lipids
A pH of 13 is said to be
basic
A pH of 7 is said to be
neutral
A pH of below 7 is said to be
acidic
Nucleus

Rough ER
Makes proteins

Smooth ER

Golgi body

Mitochondria

Glycocalyx

Phospholipid bilayer

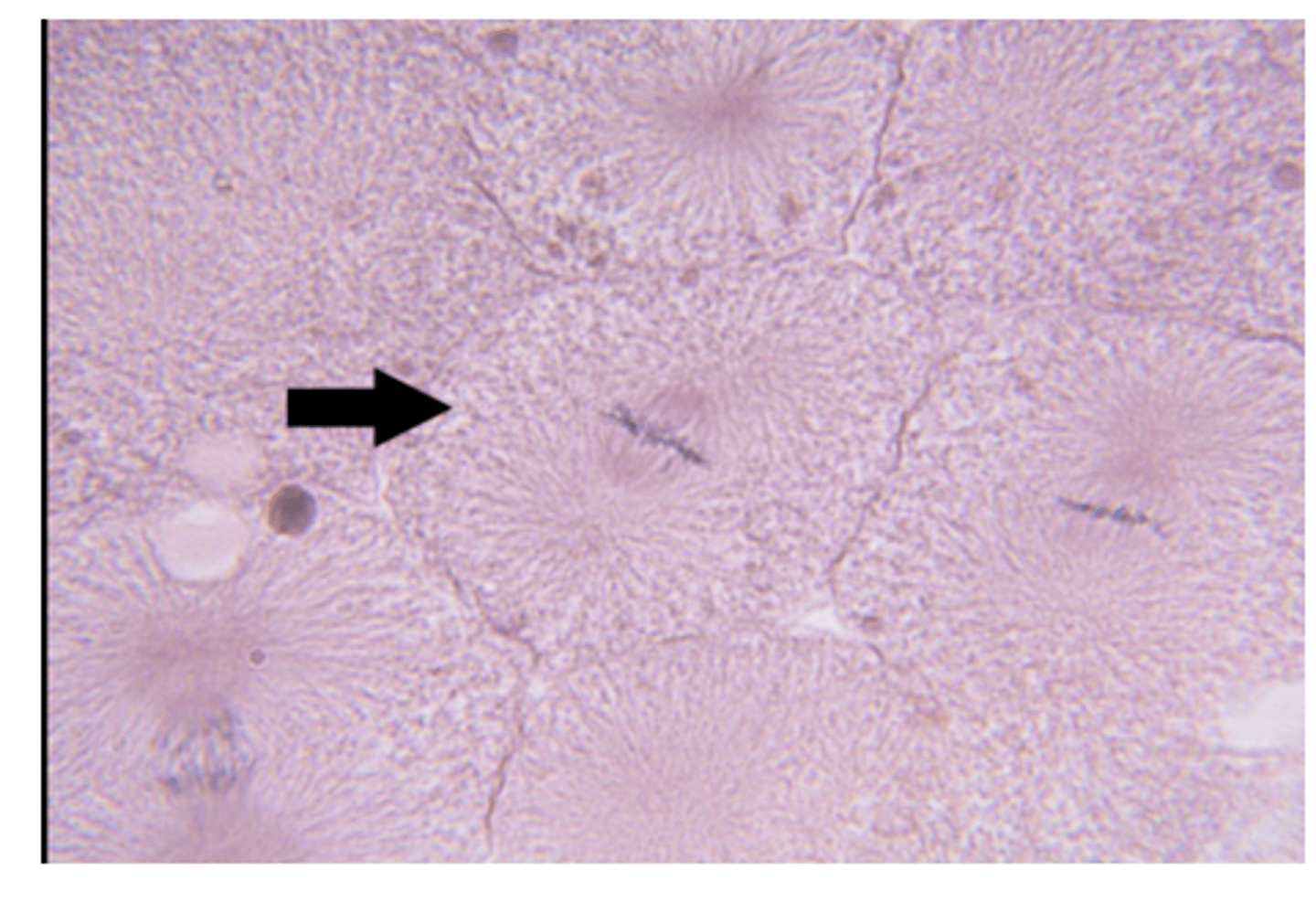
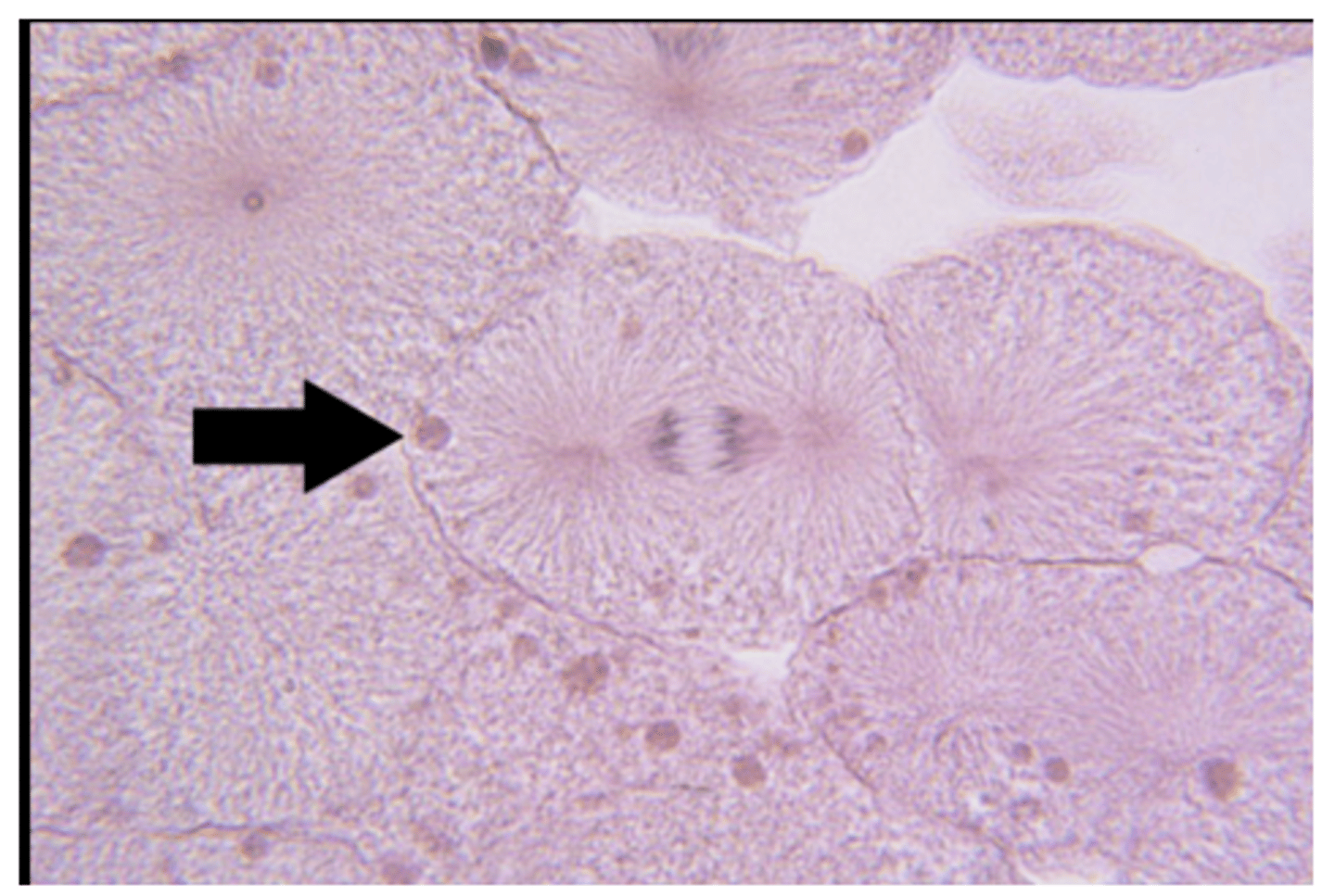
Prophase

Metaphase

anaphase

Telophase/Cytokinesis
\

hypotonic solution
causes lysis(swelling)

Hypertonic solution
causes shrink(crenation)

creation refers to
shrinking
lysis refers to
swelling
isotonic solution

When more water leave the cell than enters, it is said to be in
Hypertonic solution
When more water enter the cell than leaves
, it is said to be in
Hypotonic solution
When there is no net change in water, it is said to be in
isotonic solution