1/13
Looks like no tags are added yet.
Name | Mastery | Learn | Test | Matching | Spaced |
|---|
No study sessions yet.
what happens at the fovea with blood vessels
none present - avascular to allow maximum light to reach the photoreceptors
so retina relies completely on blood supply from choroid
foveola
centre of fovea- rod free
250- 300 microns diamter
covers 1 degree of visual field
parafovea
area directly around fovea
½ mm wide
where rods start appearing
perifovea
1.5mm wide- extends to optic disc
what are all these regions combined
the macula
sometimes has yellow pigment
what’s the ora serrate
most anterior part of the retina
regions

benign degenerations

assessing retina
may see reflective light on retina- especially on young people when pictures taken on fundus photo
light may follow blood vessels- not a problem on retina
may see foveal reflex (light)when doing Volk but not usually in photos

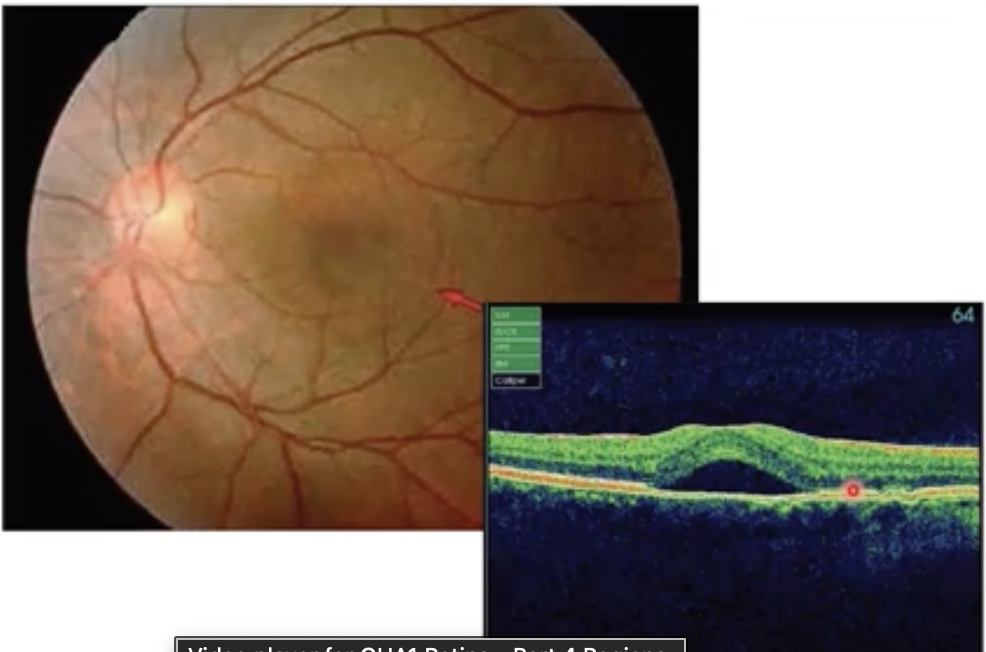
what’s wrong with this image
fluid built up under the fovea