Darby Clinical Oral Structure, Dental Anatomy, and Root Morphology

0.0(0)
studied byStudied by 0 people
0.0(0)
full-widthCall with Kai
GameKnowt Play
New
learnLearn
examPractice Test
spaced repetitionSpaced Repetition
heart puzzleMatch
flashcardsFlashcards
Card Sorting

1/51

encourage image

There's no tags or description

Looks like no tags are added yet.

Study Analytics
Name
Mastery
Learn
Test
Matching
Spaced

No study sessions yet.

52 Terms

1
New cards

CASE A

Permanent Dentition

A 29-year-old male presents for an initial dental hygiene appointment. The patient has no significant medical history. The patient brushes once a day. It has been 4 years since he has been to a dentist because he did not have dental insurance. He presents today with a chief concern about his front teeth breaking and would like a cleaning. He also notes that he thinks his teeth are getting yellower and is interested in whitening. During dietary counseling the clinician noted the patient drinks Mountain Dew all day.

questions 1 to 10

2
New cards
<p>1. After reviewing Fig. 5.23, what term would you use to describe this wear?</p><p>a. Abfraction</p><p>b. Abrasion</p><p>c. Attrition</p><p>d. Erosion</p>

1. After reviewing Fig. 5.23, what term would you use to describe this wear?

a. Abfraction

b. Abrasion

c. Attrition

d. Erosion

d. Erosion

3
New cards

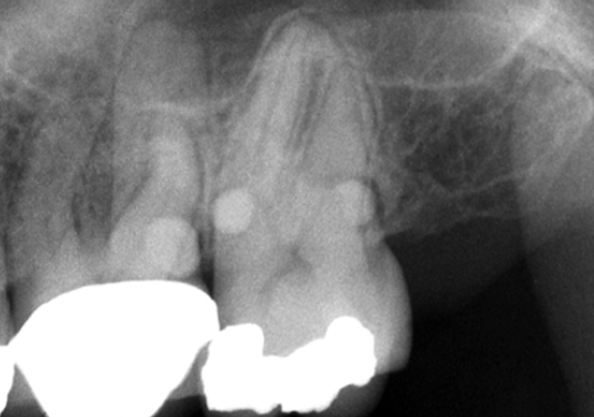
2. Using the Universal Numbering System what tooth numbers are wearing in Fig. 5.23?

a. 8, 9

b. 24, 25

c. 2.1, 1.1

d. 1.1, 3.1

a. 8, 9

4
New cards

3. What in the patient’s history could be contributing to his condition?

a. Not being to the dentist in 4 years

b. Drinking Mountain Dew

c. Not having dental insurance

d. Brushing his teeth

b. Drinking Mountain Dew

5
New cards
<p>4. Using Fig. 5.24, what would you call the enamel projections seen on the maxillary molars?</p><p>a. Enamel pearl</p><p>b. Enamel projection</p><p>c. Hypercementosis</p><p>d. Dens in dente</p>

4. Using Fig. 5.24, what would you call the enamel projections seen on the maxillary molars?

a. Enamel pearl

b. Enamel projection

c. Hypercementosis

d. Dens in dente

a. Enamel pearl

6
New cards

5. What is the structure called on the hard palate that is firm and has irregular ridges branching off the palatine raphe?

a. Palatine fovea

b. Rugae

c. Incisive papilla

d. Maxillary tuberosity

b. Rugae

7
New cards
<p>6. What tooth tissue is seen in Fig. 5.23 that is yellow in color?</p><p>a. Enamel</p><p>b. Dentin</p><p>c. Cementum</p><p>d. Pulp</p>

6. What tooth tissue is seen in Fig. 5.23 that is yellow in color?

a. Enamel

b. Dentin

c. Cementum

d. Pulp

b. Dentin

8
New cards

7. What is wear called on cusps of posterior teeth?

a. Wear facets

b. Grooves

c. Pits

d. Decalcification

a. Wear facets

9
New cards
<p>8. Looking at Fig. 5.25, what gingiva is edematous?</p><p>a. Gingival margin</p><p>b. Attached gingiva</p><p>c. Interdental papilla</p><p>d. a. and c.</p>

8. Looking at Fig. 5.25, what gingiva is edematous?

a. Gingival margin

b. Attached gingiva

c. Interdental papilla

d. a. and c.

d. a. and c.

10
New cards
<p>9. Looking at Fig. 5.23, which tooth/teeth looks suspicious on the mesial surface using the International Numbering System?</p><p>a. 1.2</p><p>b. 1.3</p><p>c. 2.3</p><p>d. b. and c.</p>

9. Looking at Fig. 5.23, which tooth/teeth looks suspicious on the mesial surface using the International Numbering System?

a. 1.2

b. 1.3

c. 2.3

d. b. and c.

a. 1.2

11
New cards

10. What would you call a tooth that is malpositionally rotated?

a. Torsiversion

b. Extrusion

c. Infraocclusion

d. Linguoversion

a. Torsiversion

12
New cards

CASE B

Mixed dentition

A 12-year-old female presents to your clinic for an initial hygiene appointment. Her medical history is significant for congenital syphilis.

questions 11 to 15

13
New cards

11. After the clinical exam notching of the maxillary incisors is seen, what are these incisors called?

a. Hutchinson’s incisors

b. Mulberry incisors

c. Peg incisors

d. Macrodontia incisors

a. Hutchinson’s incisors

14
New cards

12. What other anatomy anomalies can be caused due to congential syphilis?

a. Microdontia

b. Fusion

c. Mulberry molars

d. Dens in dente

c. Mulberry molars

15
New cards

13. Using the Universal Number System, which teeth are showing notching of the incisors?

a. O and P

b. 24 and 25

c. E and F

d. 8 and 9

d. 8 and 9

16
New cards

14. What surface of the incisors is affected by the notching (Hutchinson’s incisors)?

a. Marginal ridge

b. Facial ridge

c. Lingual ridge

d. Incisal ridge

d. Incisal ridge

17
New cards

15. A small fold of soft tissue located on each side of the frenulum linguae in the floor of the mouth is called:

a. Sublingual folds

b. Labial folds

c. Vermillion folds

d. Foliate folds

a. Sublingual folds

18
New cards

16. Which trait would distinguish a premolar from a canine?

a. Set trait

b. Type trait

c. Class trait

d. Arch trait

c. Class trait

19
New cards

17. Another term for cervical line would be?

a. Gingival crest

b. Line angle

c. Cemento-dentinal junction

d. Cemento-enamel junction

d. Cemento-enamel junction

20
New cards

18. In which quadrant is tooth #4.3 located?

a. Maxillary right

b. Maxillary left

c. Mandibular right

d. Mandibular left

c. Mandibular right

21
New cards

19. What is formed by the junction of the distal and occlusal surfaces of a posterior tooth?

a. An incisal edge

b. A point angle

c. A cusp tip

d. A line angle

d. A line angle

22
New cards

20. For mandibular incisors, on which surface is a root depression usually more distinct?

a. Facial

b. Lingual

c. Mesial

d. Distal

d. Distal

23
New cards

21. Which tooth has the longest root in the oral cavity?

a. Maxillary canine

b. Mandibular canine

c. Maxillary first premolar

d. Mandibular first premolar

a. Maxillary canine

24
New cards

22. Which premolar develops from five lobes?

a. Maxillary first premolar

b. Maxillary second premolar

c. Mandibular first premolar

d. Mandibular second premolar

d. Mandibular second premolar

25
New cards

23. Which premolar usually has a deep, mesial depression on the crown and the root?

a. Maxillary first premolar

b. Maxillary second premolar

c. Mandibular first premolar

d. Mandibular second premolar

a. Maxillary first premolar

26
New cards

24. Which term is used to describe an extra rounded projection on a tooth usually found on the cingulae of anterior teeth or occlusal surface of posterior teeth?

a. Enamel pearl

b. Mammelon

c. Tubercle

d. Exostosis

c. Tubercle

27
New cards

25. What class of teeth is present in the permanent dentition that is NOT present in the primary dentition?

a. Incisors

b. Canines

c. Premolars

d. Molars

c. Premolars

28
New cards

26. Which tooth tissue is the most calcified?

a. Pulp

b. Cementum

c. Dentin

d. Enamel

d. Enamel

29
New cards

27. Which permanent tooth erupts into the space previously held by the primary second molar?

a. First molar

b. Second molar

c. First premolar

d. Second premolar

d. Second premolar

30
New cards

28. How many pulp horns does tooth #13 have?

a. 1

b. 2

c. 3

d. 4

b. 2

31
New cards

29. Which anterior tooth may have a bifurcated root?

a. Maxillary canine

b. Mandibular canine

c. Maxillary central incisor

d. Maxillary lateral incisor

b. Mandibular canine

32
New cards

30. Which tooth has a mesial marginal ridge groove?

a. Maxillary first premolar

b. Maxillary second premolar

c. Mandibular first premolar

d. Mandibular second premolar

a. Maxillary first premolar

33
New cards

31. Which molar usually has the roots closest together?

a. First premolar

b. First molar

c. Second molar

d. Third molar

d. Third molar

34
New cards

32. Name the roots of the maxillary first molar.

a. Mesial and distal

b. Facial and lingual

c. Mesiobuccal, distobuccal, and buccal

d. Mesiobuccal, distobuccal, and lingual

d. Mesiobuccal, distobuccal, and lingual

35
New cards

33. Where is a cervical enamel projection normally found?

a. Near any furcation

b. Near the incisal edge

c. Near the apex

d. Near the occlusal surface

a. Near any furcation

36
New cards

34. Which term is used to describe the amount of vertical overlap of maxillary teeth?

a. Crossbite

b. Overjet

c. Overbite

d. Supraversion

c. Overbite

37
New cards

35. Which is usually the first permanent tooth to erupt in the oral cavity?

a. Mandibular central incisors

b. Maxillary central incisors

c. Maxillary first molars

d. Mandibular first molars

d. Mandibular first molars

38
New cards

36. What statement is TRUE of teeth that are dilacerated?

a. The root and/or crown may be unusually bent

b. The root is unusually short

c. The marginal ridges are very prominent

d. There is a deep crevice in the cingulum

a. The root and/or crown may be unusually bent

39
New cards
<p>37. The anterior teeth in Fig. 5.29 exhibits:</p><p>a. Perikymata</p><p>b. Fluorosis</p><p>c. Attrition</p><p>d. Mamelons</p>

37. The anterior teeth in Fig. 5.29 exhibits:

a. Perikymata

b. Fluorosis

c. Attrition

d. Mamelons

d. Mamelons

40
New cards
<p>38. What type of papillae is involved with the condition seen in Fig. 5.26?</p><p>a. Fungiform</p><p>b. Circumvallate</p><p>c. Foliate</p><p>d. Filiform</p>

38. What type of papillae is involved with the condition seen in Fig. 5.26?

a. Fungiform

b. Circumvallate

c. Foliate

d. Filiform

d. Filiform

41
New cards
<p>39. Which of the following is the correct assessment of the following patient’s tongue? (Fig. 5.26)</p><p>a. Hairy</p><p>b. Fissured</p><p>c. Coated</p><p>d. Ulcerated</p>

39. Which of the following is the correct assessment of the following patient’s tongue? (Fig. 5.26)

a. Hairy

b. Fissured

c. Coated

d. Ulcerated

a. Hairy

42
New cards

40. When there is a space between the maxillary central incisors, what is the space called?

a. Open bite

b. Fremitus

c. Centric relation

d. Diastema

d. Diastema

43
New cards
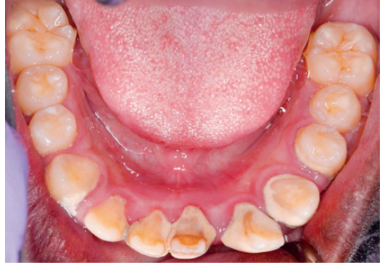
<p>41. What is seen on the incisal edge of the picture (Fig. 5.27)?</p><p>a. Recession</p><p>b. Abrasion</p><p>c. Attrition</p><p>d. Abfraction</p>

41. What is seen on the incisal edge of the picture (Fig. 5.27)?

a. Recession

b. Abrasion

c. Attrition

d. Abfraction

c. Attrition

44
New cards
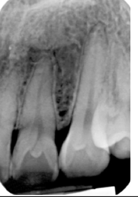
<p>42. What is seen in the radiograph (Fig. 5.28) on tooth #7?</p><p>a. Peg lateral</p><p>b. Dens in dente</p><p>c. Supernumerary tooth</p><p>d. Bifurcated root</p>

42. What is seen in the radiograph (Fig. 5.28) on tooth #7?

a. Peg lateral

b. Dens in dente

c. Supernumerary tooth

d. Bifurcated root

b. Dens in dente

45
New cards
<p>43. What is the term for the extra tooth in Fig. 5.29 pointed out by the arrow?</p><p>a. Mesiodens</p><p>b. Macrodontia</p><p>c. Microdontia</p><p>d. Anodontia</p>

43. What is the term for the extra tooth in Fig. 5.29 pointed out by the arrow?

a. Mesiodens

b. Macrodontia

c. Microdontia

d. Anodontia

a. Mesiodens

46
New cards

44. What is another name for the corner of the mouth?

a. Philtrum

b. Buccal mucosa

c. Commissure

d. Frenum

c. Commissure

47
New cards

45. What tonsillar tissue hangs from the soft palate and closes the nasopharynx when swallowing?

a. Palatine tonsils

b. Uvula

c. Pterygomandibular raphe

d. Pharyngeal tonsils

b. Uvula

48
New cards

46. The mesiobuccal cusp of the maxillary first molar meets up with the buccal groove of the mandibular first molar. What type of occlusion relationship is this?

a. Class I

b. Class II Division I

c. Class II Division II

d. Class III

a. Class I

49
New cards

47. What papilla on the tongue function in taste of bitter?

a. Fungiform

b. Filiform

c. Foliate

d. Circumvallate

d. Circumvallate

50
New cards

48. What structure on the buccal mucosa carries saliva from the parotid gland?

a. Parotid papilla

b. Stenson’s duct

c. Wharton’s duct

d. a. and b.

d. a. and b.

51
New cards
<p>49. What is a possible cause of the recession seen in Fig. 5.30?</p><p>a. Labial frenum attachment</p><p>b. Chewing tobacco</p><p>c. Toothbrushing</p><p>d. All of the above</p>

49. What is a possible cause of the recession seen in Fig. 5.30?

a. Labial frenum attachment

b. Chewing tobacco

c. Toothbrushing

d. All of the above

d. All of the above

52
New cards
<p>50. What terminology would you use to describe the location of tooth #24 seen in Fig. 5.31?</p><p>a. Torsiversion</p><p>b. Infraocclusion</p><p>c. Labioversion</p><p>d. Linguoversion</p>

50. What terminology would you use to describe the location of tooth #24 seen in Fig. 5.31?

a. Torsiversion

b. Infraocclusion

c. Labioversion

d. Linguoversion

c. Labioversion