1/85
Looks like no tags are added yet.
Name | Mastery | Learn | Test | Matching | Spaced |
|---|
No study sessions yet.
anisotropic means what with respect to bones
having a physical property that has a different value when measured in different directions
bone is (homogeneous//nonhomogeneous)
nonhomogeneous
(which refers to the natural, inherent differences in bone structure and composition)
what’s the % breakdown of bone composition amongst its 3 main components
35% organic material
20% water
45% minerals
what is the organic material in bones?
collagen
GAGs
what is the mineral content in bones?
calcium
phosphate
the ______ provide the strength and stiffness to the bone
mineral crystals
the _______ provide the flexibility and resilience of bone
organic materials
________ refers to the mechanical work done in deforming an elastic material
resilience
a _____________ returns as much mechanical work in regaining its original shape and dimensions as was done upon it in straining it originally
perfectly resilient material
when you fracture a bone, the callus that forms to heal it back together will be even (stronger//weaker) than it was before the fracture, and the surrounding areas will be (stronger//weaker)
stronger; weaker
stress/strain is a _________ version of a load deformation plot
normalized
_____ is the percent change in length of material
strain (as a normalized value)
___is force per unit area
stress (as a normalized value)
____ is a nonhomogeneous anisotropic composite structure that behaves viscoelastically
bone
bone is surrounded by _____, which covers the entire bone except for joints
periosteum
_____ layer of bone is permeated by blood vessels and nerves
outer
_____ indicates how much you can deform something before it ultimately breaks
strain
(inner//outer), osteogenic layer contains bone cells responsible for growth and repair with osteoblasts
inner
central (in long bones), ______ lines medullary cavity
endosteum

_____ is filled with marrow, osteoblasts, and osteoclasts
endosteum

bone healing timeline
6-8 wks is normal
more like 4-6 wks for kids
higher than 8 wks for older people
bone composition is a bit like ______, which is a combo of glass (brittle) and resin (makes it bendy)
fiberglass
structural unit of bone
osteon
transverse or diagonal canals that run perpendicular to osteons, connecting blood vessels and nerves from the periosteum to Haversian canals
Volkmann’s canals

path from surface for blood vessels and nerves
Volkmann’s (or Haversian) canals

longitudinal canals that run parallel to the length of the bone, located at the center of each osteon, carrying blood vessels and nerves
Haversian canals

a cylindrical unit of compact bone made of concentric lamellae wrapped around a central Haversian canal
osteon

what is the structural unit of bone?
osteon
____ surround osteons in concentric rings
lamellae

small spaces b/w lamellae that house osteocytes (bone cells)
lacunae

_____ are at boundaries of lamellae, and the cavities contain a single bone cell
lacunae

there seems to be a (universal//conditional) relationship b/w bone density and its mechanical behavior
universal
there is a marked reduction of density in bone with age, especially (cortical//cancellous)
cancellous
(Cancellous bone density declines more rapidly, especially in women after menopause due to accelerated bone turnover and loss of trabecular structure.)


in this load deformation plot, B and C indicate what
B indicates the point after which bone will deform past a point of no return (it will never be the same)
C indicates the point at which bone will break (ultimate failure)
a load-deformation graph relates what to what
stress (force/unit area) to strain (change in length)

the normalized version of load-deformation is what
stress-strain
what are the 3 parameters for determining the strength of a structure
ultimate failure point (sustained load before failing)
deformation before failing
energy (defined as area under the curve)
bone is (monophasic//biphasic)
biphasic
(contains minerals + collagen and ground substance)
(cortical//cancellous) bone is stiffer
cortical

(cortical//cancellous) bone can handle more strain
cancellous (75% strain = failure)

(cortical//cancellous) bone can withstand more stress
cortical


(cortical//cancellous) bone can handle less strain til failure
cortical (2% strain = failure)
______ is the property of a material or object having different physical or mechanical properties when measured along different directions. This is in contrast to an isotropic material, which has the same properties in all directions
anisotropy
________ refers to different mechanical properties when loaded along different axis
anisotropy

which is the stiffest, can handle the most stress before its yield point, and has the highest ultimate failure point?
L, the top one
bone can handle the most stress/strain in the direction that is ______ loaded
normally
b/w cortical and cancellous bone, which can handle the most…
compression?
tension?
shear?
cortical bone can handle way more than cancellous bone for all of these!

bone is strongest in… (rank shear, compression, and tension from highest to lowest)
compression
tension
shear
in animal studies, immobilization (increased//decreased) the amount of load to failure, energy storage, and stiffness of bone
decreased
bone is more brittle when loaded at (higher/lower) speeds
higher
bone is stiffer when loaded at a (higher/lower) rate
higher
bone can sustain a higher load to failure when loaded at a (higher/lower) rate
higher


bone can store more energy when loaded at a (higher/lower) rate
higher

bone experiences less deformation at failure when loaded at a (lower/higher) rate
higher

the ultimate failure point shows less deformation (but higher load) prior to failure at (lowest//highest) loading rate
highest
do loading rates influence the fracture pattern?
YES
what are the 2 possible causes of fracture?
result of a single load > ultimate material strength
result of repeated low level loads

cortical (compact) bone is (inner//outer)
outer

cancellous (trabecular, spongy) bone is (inner//outer)
inner

(cancellous//cortical) bone has a trabeculae oriented lattice pattern
cancellous

what percent porosity is the density of cortical bone?
5-30% porous

what percent porosity is the density of trabecular bone?
30-90% porous

the effect of _______ is a decrease in load to failure, energy storage, and stiffness
immobilization

not all trauma to bone results in either fully reversible loading or a fracture— instead, what could happen that’s much less common?
bone can permanently bend!
(like in Rickets)

_______ produces micro structural damage to bone tissue
cyclic loading
damage accumulates faster at (higher//lower) intensities of cyclic loading
higher
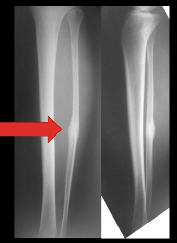
if bone is bent, which side will break first
the side experiencing tensile forces, NOT the compressed side

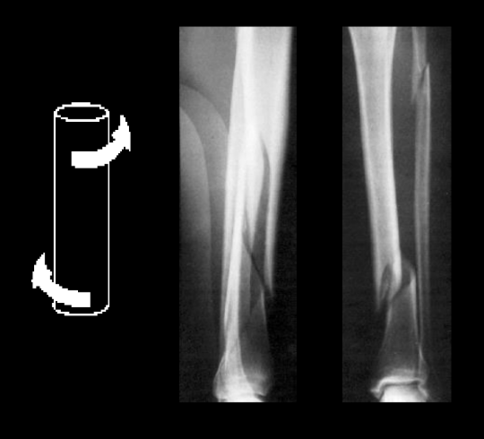
torsion load will cause spiral and tibia fractures which heal (faster//slower) than some transverse fractures. why?
faster!
more surface area and less soft tissue damage → low load injury

butterfly fragment is always located on the (tension//compression) side of bone
compression

the following are all types of _____ for bones:
tension
compression
bending
torsional force
axial compression and bending
loading
the greater the force ______, the higher its energy content and hence more tissue destruction
magnitude
the more ____ the fracture pattern, the greater the energy needed to produce the fracture
complex
Any sudden change in material shape alters the distribution of stresses within the structure, giving rise to what engineers refer to as…
stress concentrations (or stress risers)

what are some structural considerations of “stress concentrations” in the body?

after a person gets a screw hole created in their bone during surgery, they will experience a 60% decrease in how much energy the bone can handle. When the screw is removed, the person will experience a ___% decrease in how much energy the bone can handle
50

an open section defect of bone means the defect is (greater//less) than the bone diameter
greater
area segments farther from the neutral axis contribute significantly (more//less) to the area moment of inertia
more
a callous following a fracture (increases//decreases) the area and polar moment of inertia during the healing process
increases
(later excess bone is re-absorbed as bone returns to normal strength)

can bone increase due to screw movement?
yes
nice lecture pic of bone healing and polar moment of inertia

through third decade of life, people have (increased//decreased) elastic modulus and (increased//decreased) yield strength
increased; increased
elongation to failure of bone (increases//decreases) throughout life
decreases
(old//young) bone is more brittle with decreased energy storage capacity
old
chart of classification of fractures of indirect injury mechanism

chart of classification of fractures by direct injury mechanisms

review questions
