1/153
Looks like no tags are added yet.
Name | Mastery | Learn | Test | Matching | Spaced |
|---|
No study sessions yet.
Wat wat de klas I neutrorelatie?
Dit is de normale relatie. De eerste ondermolaar staat hierbij een halve premolaarbreedte naar mesiaal ten opzichte van de 1ste bovenmolaar. Transversaal (in dwarsdoorsnede gezien) staan boven en onder de middellijnen mooi tegenover elkaar.

Wat is de klasse II afwijking?
Dit heet ook wel een distorelatie. Hierbij staat de eerste ondermolaar een halve premolaarbreedte naar distaal ten opzichte van de eerste bovenmolaar. Dit kan variëren naar meer of minder premolaarbreedte. Je hebt twee soorten klasse II afwijkingen.
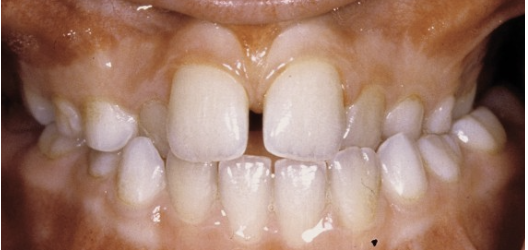
Wat is de klasse II-1 afwijking?
Hier spreken we van een overbeet. De voortanden in de bovenkaak staan dan meestal ook wat verder naar voren. Dit heet ook wel overjet.

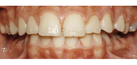
Wat is de klasse II-2 afwijking?
Hier spreken we van een dekbeet. Hierbij overlappen de voortanden in de bovenkaak de voortanden in de onderkaak.

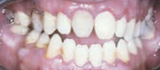
Wat is de klasse III afwijking?
Dit heet ook wel een mesiorelatie. De eerste ondermolaar staat een premolaarbreedte meer naar mesiaal ten opzichte van de eerste bovenmolaar dan bij een neutrorelatie. De onderkaak staat hierbij een stuk naar voren, en de onder incisieven staan voor de boven incisieven. Deze afwijking kan ook variëren naar meer of minder premolaarbreedte.
Hoe ontstaat de klasse II-1 afwijking?
In het melkgebit is een vergrote sagittale overbeet en een distale stap in het afsluitingsvlak. De onderlip bevindt zich ten opzichte van de bovenlip meer naar dorsaal dan normaal (A). De centrale blijvende onder incisief breekt als eerste door. De melk incisief boven maakt verticaal contact met de onderlip. De eerste blijvende molaren geraken na doorbraak in een disto-occlusie met contact over een groot gedeelte van de occlusale vlakken (B). De centrale blijvende boven snijtand breekt door vanuit de positie die hij in de kaak aannam (C). Hij wordt in zijn eruptie afgeremd dor de onderlip (D). De centrale blijvende onder snijtand gaat contact maken met het cervicale gedeelte van de boven snijtand (E). In de volwassen situatie is meer lipmateriaal aanwezig dan bij kinderen. De mond is in rust afgesloten (F). De breedte en vorm van de boventandboog en de grootte van de sagittale en de verticale overbeet zijn gerelateerd aan de mate van disto- occlusie. Een kleine deviatie leidt tot beperkte secundaire veranderingen, een grote deviatie tot een ernstige.
Hoe ontstaat de klasse II-2 afwijking?
De liplijn ligt bij de cervicale rand van de melkincisieven boven. De saggitale overbeet is groot (A). De blijvende snijtanden onder breken normaal door. Die boven gaan al voor de doorbraak terugkippen (B). De bovenlip heeft door zijn hoge ligging slechts een beperkt eMect op de erupterende centralen boven snijtanden (C). Die komen geleidelijk meer onder invloed van de onderlip, wat tot verder terugkippen voert (D). Nadat sagittaal contact is ontstaan gaat de onderlip, via het bovenfront, ook de onder snijtanden naar linguaal verplaatsen. De onderlip bedekt de centrale boven snijtanden volledig. De onder snijtanden groeien door tot het palatum; de boven snijtanden tot de gingiva labiaal van de onder snijtanden.
Hoe ontstaat de klasse III afwijking?
In het melkgebit is al een omgekeerde sagittale overbeet. De positie en inclinatie van de blijvende snijtanden binnen de kaken is normaal. De onderlip bevindt zich meer naar ventraal dan de bovenlip (A). De centrale blijvende onder snijtand erupteert en breekt normaal door. De onderlip heeft geen contact met de centrale melkincisieven boven (B). De eerste blijvende molaren zijn in mesio-occlusie doorgebroken. De centrale snijtand erupteert verder: die boven breekt door vanuit de positie, die hij in de kaak aannam (C). De centrale boven snijtand maakt geen contact met de onderlip die zijn inclinatie dan ook niet beïnvloedt. Verticaal wordt de centrale boven snijtand ook niet door de onderlip afgesteund (D). Zijn labiale incisale rand maakt contact met het linguale vlak van de onder snijtanden (E). De kin prominentie is toegenomen.
Wat zijn de verschillende open beten en non-occlusies?
Openbeten in het front komen veel voor in het melkgebit. Duim- en/of vingerzuigen of speengebruik is meestal de oorzaak. Deze verdwijnt vanzelf wanneer de gewoonte wordt gestaakt. Bij ouderen is de tonginterpositie gewoonlijk de oorzaak. De grootte van de openbeet of non-occlusie in het front is afhankelijk van de mate waarin de tong tussen onder- en boventanden wordt gehouden, dan wel tussen de ondertanden en het palatum. Is dit beperkt, en blijft de tong binnen de boventandboog, dan zal er een non-occlusie zijn. Is het tongdeel dat tussen het onder- en bovenfront wordt gehouden volumineus, dan zal er een openbeet zijn. Het onderscheid tussen openbeten en non- occlusies is arbitrair. De grens ligt bij het al dan niet verticaal overlappen van de antagonisten.
Wat is de rol van de tong bij open beten?
De tongpositie wordt in eerste instantie genetisch bepaald. Het innemen van een andere positie bij het uitgroeien en matureren van het gelaat is terug te voeren op veranderingen in de grootte en relaties van te onderscheiden structuren. Maar ook een toenemende leeftijd genetisch gecodeerde wijziging in tongpositie is van invloed. Sommige non- occlusies en openbeten verdwijnen spontaan, anderen niet. Personen met een openbeet en non-occlusie in het front vertonen een andere tongbeweging bij slikken dan die waarbij de snijtanden elkaar raken. Zij bewegen de tong bij het slikken naar voren en sluiten daarmee de ruimte tussen de tanden af. Een open beet kan veroorzaakt worden doordat de voorzijde van de tong zich in rust tussen de incisale randen van de onder- snijtanden en de palatinale vlakken van de bovensnijtanden bevindt. Zoals eerder gesteld, past de tongbeweging zich aan op de bestaande morfologische situatie en niet omgekeerd. Het is de positie van de tong in rust die grotendeels bepalend is voor de stand van de gebitselementen, niet tijdens het slikken.
Wat is de rol van de tong bij slissen?
Bij slissen kan de tong te laag in de mond zitten of te ver naar achteren staan. Dit verhindert een goede luchtstroom en beïnvloedt de helderheid van de "s"- en "z"- klanken. Als de tongspieren te gespannen of juist te ontspannen zijn, kan dit leiden tot een onjuiste articulatie. Een gespannen tong kan de klank vervormen, terwijl een te losse tong geen goede controle biedt. Soms zijn er anatomische factoren, zoals een kort tongriempje (ankyloglossie), die de beweging en positie van de tong beïnvloeden, wat kan bijdragen aan slissen. Problemen met de coördinatie van de tongbewegingen kunnen ook een rol spelen. Dit kan resulteren in inconsistentie bij het uitspreken van klanken. Bij jonge kinderen kan het gebruik van fopspeentjes of duimzuigen ook invloed hebben op de ontwikkeling van de tongpositie en de spraakproductie.
Wat zijn de oorzaken van asymmetrieën in het gebit?
Asymmetrie van het gebit kan zijn veroorzaakt door een verschil tussen links en rechts skeletale gelaatsopbouw, door een verschil in positie van de gebitselementen binnen de kaken, en door een combinatie van beide. Geringe asymmetrieeen van schedel en gelaat komen veel voor en zijn zelden storend. Dat geld ook voor het niet overstemen van middens van tandbogen. Asymmetrieën kunnen op genetische factoren, op traumata of pathologische processen berusten. Afwijkingen in de gelaatsgroei kunnen Asymmetrieën doen ontstaan en toenemen. Asymmetrieeen van de positie van gebitselementen zijn terug te voeren op verschillen in plaatsen waar corresponderende elementen worden aangelegd, op prematuur verlies of extractie van melkelementen gevolgd door verschuivingen, en op agenesie of extractie van blijvende elementen.
Wat houdt asymmetrie in de gelaatsopbouw in?
Het faciale skelet is zelden symmetrisch. Ook spieren of andere weke delen kunnen links en rechts in volume en vorm verschillen. De onderkaak kan asymmetrisch gepositioneerd zijn, omdat de plaats van de fossae temporales niet overeenkomt. Bovendien kan de onderkaak zelf asymmetrisch zijn (A). Een asymmetrie van het gelaat en van de bovenkaak, zonder dat de onderkaak daaraan bijdraagt, komt weinig voor (B). Bij een asymmetrie van het onderste gedeelte van het gelaat is er al regel een verschil tussen links en rechts in vorm van grootte van de onderkaak (C). Een kleine asymmetrie van het gelaat valt niet op, een grote wel (D). De stand van de gebitselementen past zich aan op de asymmetrie van het faciale skelet.
Wat houdt asymmetrie in de occlusie in?
Schematisch beeld van de ideale situatie (A). Een asymmetrie in kaakgrote of positie kan tot afwijkingen in de occlusie leiden, zoals een klasse 2-1 subdivisie (B), een klasse 2-2 subdivisie (C) of een klasse 3 subdivisie (D). Ook zonder asymmetrie van de kaken en van occlusie van molaren kunnen de middens van de tansbogen niet overeenstemmen. De fout zit dan in de positie van het onder front, bovenfront of beide. Betreft de asymmetrie echter ook de molaren, dan leidt dat tot een klasse 2- subdivisie (E) of een klasse 3-subdivisie (F).
De asymmetrische kan ook door een afwijkingen in de onderkaak veroorzaakt worden en resulteren in een klasse 2-subdivisie (G). Asymmetrieën in de tandbogen kunnen louter gebaseerd zijn op afwijkende posities van gebitselementen (H).
Wat is een transversale relatie?
Dit is een dwarsdoorsnede waar te zien is dat de middellijn boven tegenover de middellijn onder staat, oftewel een rechte mediaanlijn. Een afwijking van transversaal gezien kan een mediaanlijnverschuiving zijn. Als de patiënt dichtbijt, zie je dat de spleetjes tussen de boven- en de ondertanden niet mooi recht boven elkaar zitten.
Wat is een verticale relatie?
Een normale verticale relatie is aanwezig wanneer de patiënt dichtbijt en niet te zien is van de bovenste 2 mm van de onderincisief.
Hoe ziet een laterale dwangbeet eruit?

Hoe ziet een open beet eruit?

Hoe ziet een volledige buitenbeet eruit?

Hoe ontstaan dwangbeten?
Bij asymmetrieën in de gelaatsopbouw en in lokalisatie en occlusie van gebitselementen stemmen de ventrale relatie en habituele occlusie soms niet overeen. Ze gaan dan met een dwangbeet gepaard. Bij dwangbeten wordt bij sluiten in centrale relatie slechts op een of enkele punten contact gemaakt en kan de sluitbeweging niet in de oorspronkelijke richting worden voltooid. Het neuromusculaire systeem past zich daarop aan; bij sluiten wordt prematuur contact vermeden en rechtstreeks in habituele occlusie dichtgebeten. Dwangbeten komen voor in alle stadia van de gebitsontwikkeling. Ze zijn te onderscheiden in laterale en ventrale dwangbeten, en incombinatie van beide. Bij ventrale dwangbeten maken bij sluiten in centrale relatie meestal de hoektanden eerst contact. Bij laterale dwangbeten is de boventandboog vaak te smal ten opzichte van onder. Bij maximaal dichtbijten ontstaat aan een zijde een omgekeerde transversale occlusie, een kruisbeet. De middens van de tandbogen stemmen dan niet overeen. De transversale occlusie kan ook beiderzijds afwijkend zijn. Bij laterale dwangbeten wordt voor het bereiken van habituele occlusie naar een zijde uitgeweken.
Hoe ziet een ectosteem element eruit?

Hoe ziet een endosteem element eruit?

Hoe ziet crowding eruit?

Wat is ectodermale dysplasie?
Bij ectodermale dysplasie bestaat uit hypo- of aplasie van ectodermale structuren, zoals haar, gebitselementen en oppervlakkige klieren. In de meeste gevallen is de overerving X-gebonden recessief. Persisterende koorts op kinderleeftijd wordt veroorzaakt door een inadequate warmteregulatie en afwezigheid van zweetproductie. De huid is dun en droog. De patiënten hebben fijn, dun blond haar maar de nagels zijn relatief normaal. De functie van de speeksel-, traan- en slijmklieren is vaak verminderd en de gebitselementen zijn niet gevormd of kegelvormig en klein.

Wat is osteogenesis imperfecta?
Het omvat een aantal genetische afwijkingen, die leiden tot misvorming van bot en andere mesenchymale weefsels als gevolg van abnormale collageensynsthese. Het meest opvallende klinische kenmerk is de vatbaarheid voor fracturen bij een relatief mild trauma, vooral bij kinderen en ouderen. De patiënten zijn klein, hebben wervelkolommisvormingen, hypermobile gewrichten en gehoorverlies. De schedel is omvangrijk ten opzichte van het gezicht en lichaamsgrootte. De huid is dun en er is capillaire fragiliteit met verhoogde bloedingsneiging. Vaak komt ook dentinogenesis imperfecta (afwijking aan dentine) en amelogenesis imperfecta (afwijking aan glazuur) voor.
Wat gebeurt er bij ontwikkelingsstoornissen aan de lippen?
Bij een milde afwijking (dus niet schisis) als een lipfistel wordt de associatie met een aangeboren afwijking meestal niet zonder meer gelegd. Congenitale lipfistels komen meestal voor op de onderlip en in de mondhoeken. Zowel bij cheilitis glandularis als bij cheilitis granulomatose is vooral de onderlip gezwollen. In het eerste geval zijn de labiale speekselkliertjes vergroot.
Wat gebeurt er bij ontwikkelingsstoornissen aan de orale mucosa?
Ontwikkelingsstoornissen van de orale mucosa zijn meestal onschuldig. De bekendste zijn de Fordyce spots, ectopische talgkliertjes die meestal bilateraal voorkomen op de wangmucosa. Dit ontstaat meestal spontaan.
Wat gebeurt er bij ontwikkelingsstoornissen aan de gingiva?
De belangrijkste stoornis van de gingiva is fibromatosis gingiva, een erfelijke overgroei van gingiva zonder ontsteking, pijn of verhoogde bloedingsneiging.
Wat gebeurt er bij ontwikkelingsstoornissen aan de tong?
Microglossie (te kleine tong) is zeer zeldzaam. Macroglossie (te grote tong) komt veel vaker voor. Lingua bifida betreft een, meestal gedeeltelijk, gespleten tong en is zeldzaam. Ook is er een lingua geografica. Ook een glossitis rhomboidea mediana een roodachtig gebied juist ventraal van de papillae circum vallatae, meestal ligt candidiasis ten grondslag aangezien dit voorkomt bij rokers, inhalatorgebruikers en diabetici.
Omschrijf een afwijking van de tandvorm? (Ontwikkelingsstoornis van gebitselementen)
Dit noem je ectodermale dysplasie. Dit is te zien aan afwijkingen aan de haren, de huid is droog en dun, de elementen zijn klein/kegelvorming of zijn in het geheel niet aanwezig. Bij anodontie zijn er geen enkele tanden aanwezig. Bij oligodontie zijn er meerdere (6 of meer) elementen afwezig maar niet allemaal.
Omschrijf een afwijking in het aantal? (Ontwikkelingsstoornis van gebitselementen)
Afwijking in het aantal: Het gebeurt ook wel eens dat er boventallige elementen zijn. Er zijn meer elementen of er is geen ruimte meer. Het is een kleiner aangelegd element. Een voorbeeld hiervan is een mesiodens, een element extra. Vaak wordt zo’n elementverwijderd en gaat de orthodontist aan de slag om de elementen mooi in een tandboog te krijgen. Deze mesiodens is niet nodig en noemen we dus boventallig.

Omschrijf een afwijking in de groei? (Ontwikkelingsstoornis van gebitselementen)
Er kan ook een afwijkingen zitten in de vorm van het element, dit kan komen door een groeistoornis tijdens het groeien van de tandkiem. Dit kan gebeuren als de moeder lues (syfilis) heeft gehad. Het kind kan dan Hutchinson incisieven krijgen. Hierbij missen alleen de centrale incisieven de middelste knobbel aan de snijrand waardoor het element smaller wordt.

Wat zijn voorbeelden van andere misvormingen?
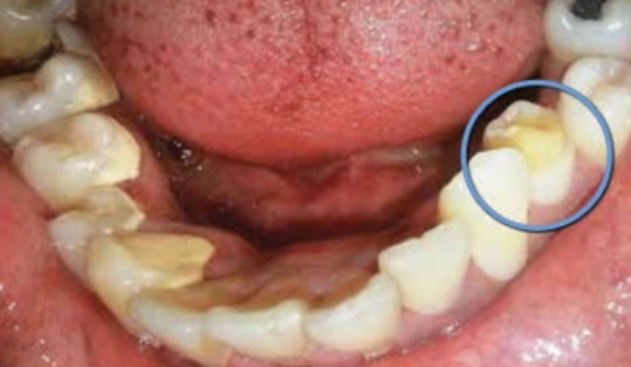
Misvormingen kunnen ook ontstaan door een peri-apicale ontsteking of door een trauma van een melkelement. Als het melkelement ontstoken is geweest, kan het volgende element een glazuurafwijkingen krijgen. Dit noem je turnertand (hierbij is vaak sprake van glazuurhypoplasie) Je kan dan zoals op dit plaatje een premolaar krijgen met een verstoorde ontwikkeling. Dit wordt een turnertand genoemd. Bij een diep carieus melkelement kan door uitbereiding van een pulpitis en door necrose een periapicale ontsteking ontstaan. Bij een melkmolaar ontstaat deze interradiculair. Door deze ontsteking kan de opvolger hypoplastisch worden. Een hypoplasie is een kwantitatief defect met als gevolg dat er meestal een reductie in de glazuurdikte is en het glazuur minder goed gevormd is. Er kunnen hele stukken glazuur ontbreken, maar ook rijen en kolommen gerangschikte putjes te zien zijn.

Wat is macrodontie?
Dit zijn hele grote elementen, groter dan deze elementen normaal gesproken zouden zijn.
Wat is microdontie?
Dit zijn elementen kleiner dan normaal. Elementen die kleiner zijn door erosie, is geen microdontie.
Wat is Dens in dente?
Dit is een heel bijzonder fenomeen waarbij een tand in een tand zit. Dit komt het meest voor in de laterale boven incisief.

Wat is geminatie?
Hierbij is er een dubbele tand, maar heeft 1 wortel. Er lijken hierbij dus 2 kronen te zijn terwijl er maar 1 radix, 1 pulpakamer en 1 wortel is.

Wat is fusie?
Hierbij zijn er meerdere wortels, maar wel 1 kroon. Dit is dus het tegenovergestelde van geminatie.

Wat is dilaceratie?
Er zit een gekke vorm in het element wat tijdens de ontwikkeling is ontstaan. De wortel heeft dus kromming.
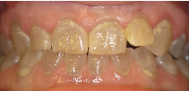
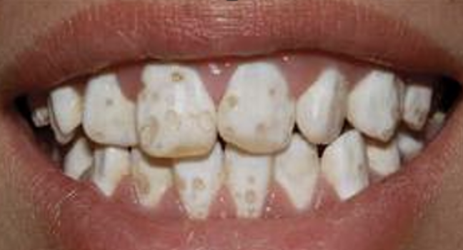
Wat is dentinogenesis imperfecta?
Hierbij is er sneller last van glazuur verlies doordat er een afwijking is aan de dentine. De verbinding tussen het dentine en glazuur is zwakker waardoor het glazuur sneller loslaat. Deze patiënten krijgen niet sneller cariës dan elementen met normale situatie. De mondhygiëne is wel lastiger, door een hobbelig oppervlakte. Dentinegenesis imperfecta is abrasie gevoelig. Vaak hebben ze een afwijkende kleur. Gelukkig heeft het geen verhoogde cariës gevoeligheid. Op een röntgenfoto is vaak een korte radices. Ook zijn er vaak wortelfracturen en zijn het wortelkanaal en de pulpakamer vroeg geoblitereerd.

Welke typen amelogenesis imperfecta zijn er?
Hypoplasie en hypocalcificatie.
Wat is hypoplasie?
Hierbij is er een onvolledig ontwikkeld glazuur. Er was dus een stoornis in de vorming.

Wat is hypocalcificatie?
De vorming zelf is normaal maar er is een stoornis in de calcificatie. Er is iets fout gegaan bij de ameloblasten, die dit opbouwen. De vormins is goed maar er mist iets in de mineralisatie.

Onder welke hoofdgroepen kunnen speekselklierafwijkingen worden onderverdeeld?
Niet-neoplastische afwijkingen en neoplastische afwijkingen.
Wat valt er onder niet-neoplastische afwijkingen?
Virale aandoeningen
Speekselstenen
Ranula
Sialosis
Syndroom van Sjorgen
Hoe diagnostiseren we sialothiasis (speekselstenen)?
De aanwezigheid van een klachten veroorzakende speekselsteen wordt klinisch gekenmerkt door aanvallen van pijn en zwelling in de regio van de speekselklier, voorafgaande aan of tijdens de maaltijden. Deze verschijnselen, een gevolg van speekselstuwing, treden vooral op als de steen zich in de hoofdafvoergang bevindt. De behandeling bestaat uit het verwijderen van het speekselsteen onder anesthesie. Meestal kan dit via intra orale benadering worden verwijderd.
Wat is de oorzaak van sialothiasis (speekselstenen)?
een speekselklier kan verstopt raken en er kan dus een speekselsteen ontstaan. Dit wordt hard. Soms gaat dit er vanzelf uit en anders moet er een kleine ingreep worden gedaan. Ze vormen meestal in de afvoergang van de speekselklier en anders in de speekselklier zelf. De grootte kan variëren van enkele mm tot cm.
Ontstaan nadat speeksel dat rijk is aan calcium een tijd heeft stilgestaan. Dit zou leiden tot een gedeeltelijke afsluiting van de afvoergang van de speekselklier.
Het speekselsteen ontstaat door afzetting van kalkzouten rond een centrale kern, die bestaat uit afgestoten epitheelcellen, bacteriën, een lichaamsvreemd object of producten van bacteriële weefselbeschadigingen.
Wat is epidemiologie speekselstenen?
Het komt niet vaak voor, dit komt maar 1% voor. Het komt in het merendeel (80- 92%) voor in de hoofdductus of de hilus (de plaats waar de afvoerkanalen uit de speekselklier komen) van de glandula submandibularis. Het ontstaat nadat speeksel rijk is aan calcium een tijdje heeft stilgestaan. Dit zou leiden tot een gedeeltelijke afsluiting van de afvoergang van de speekselklier. Het speekselsteen ontstaat door een afzetting van kalkzouten rond een centrale kern. Die bestaat uit afgesloten epitheelcellen, bacteriën, een lichaamsvreemd object of producten van bacteriële weefselbeschadigingen.
Wat is mucocèle?
Dit is een speekselkliercyste van de kleine speekselklier. Dit is een blauwachtig blaasje op de onderlip of op de mucosa. Het kan in principe overal in de mondholte voorkomen waar speekselklieren zitten. Het slijm hoopt zich op en er ontstaat een cyste. In 90% van de gevallen zijn het pseudocysten, deze zijn niet bekleed met een epitheel laag).

Wat is een ranula?
Is een soort Mucocèle maar dan op de mondbodem. Het wordt soms gezien bij patiënten met het syndroom van sjorgen. Het is een slijmcyste uitgaande van de kleine speekselkliertjes. De afwijking wordt vooral gezien aan de binnenzijde van de onderlip en komt vrijwel nooit voor op de bovenlip, wang of palatum. De oorzaak is vaak onduidelijk. Waarschijnlijk is er een obstructie van het afvoergangetje van het doeltreMende speekselkliertje ten grond slag. Het speekselkliertje blijft speeksel produceren, waardoor het kliertje en afvoergang ontwikkelt tot een met epitheel bekleedde vochtblaas. Het is echter ook mogelijk dat het visceuze speeksel zich uitstort in de omgevende weke delen, doordat de basaalmembraan van de acinus of epitheel is doorbroken. Het is een blauwe doorschemerende vochtblaas. Deze kan opengaan als de patiënt er op bijt maar kan ook ineens verdwijnen. Het kan chirurgisch verwijderd worden.
Wat is nasolabiale cyste (cyste van Kleystad)?
Dit is een cyste in de lip die odontogeen is, hij komt dus niet van de tanden of kiezen vandaan. Als een patiënt erge last heeft, wordt dit verwijderd.

Wat is het syndroom van Sjögren?
Dit is een auto-immuunziekte waarbij er een reumatische aandoening is. Deze grijpt aan op de exocriene klieren, in het bijzonder op de speeksel- en traanklieren. Het wordt gekenmerkt door in de tijd toenemende klachten van een droge mond en droge ogen. Dit syndroom komt het meeste voor bij ouderen en vrouwen.
Wat is hyposialie? En de contra-indicaties ervan?
Een orale droogheidsklacht wordt gewoonlijk alleen gerapporteerd als de speekselklierfunctie ten gevolge van medicijngebruik en organische ziekten sterk is verminderd. De droogste monden worden gezien na bestraling van tumoren in het hoofd- halsgebied en bij patiënten die leiden aan het voorstadium van het syndroom vanSjorgen. De droogheidsklacht kan worden gezien als gevolg van de verstoring van de balans tussen speekselproductie en speekselverbruik. De klachten kunnen per persoon verschillen. Monddroogheid gaat vaak samen met andere klachten. Door de toegenomen eiwitconcentratie van het speeksel worden het spreken en slikken bemoeilijkt. Ook kunnen ze last hebben van een branderig gevoel in de mondholte. Het eten kan vastplakken waardoor er steeds gedronken moet worden om het eten weg te krijgen. Causale behandeling van persisterende Hyposialie is meestal alleen mogelijk als de oorzaak een ontsteking of medicamentgebruik is. Als het komt door het syndroom van Sjögren of radiotherapie, is er nog geen therapie mogelijk. Hyposialie gerelateerde tandcariës kan worden voorkomen door het dagelijks gronding verwijderen van tandplaque. Een fluoride houdende mondspoeling kan de oplossing zijn. Daarnaast is er symptomatische therapie, er worden kristalletjes citroenzuur neergelegd op de tong. Als er binnen enkele minuten reactie optreedt, dan vallen ze onder groep 1 (speekselvloed kan voldoende worden gestimuleerd) en anders onder groep 2 (speekselklieren in onvoldoende of nul). Deze patiënten kunnen worden geholpen door farmacologische stimuli.
Contra-indicaties: braken, bradycardie (trage hartslag), buikkrampen en diarree. Als het niet te stimuleren valt, dan kunnen er mondspoelingen en speekselsubstituten worden gebruikt.
Wat is hypersialie?
Te veel speeksel in de mond. Het is een probleem waar vaak zowel de patiënt als zijn omgeving onder lijdt. Patiënten met hypersialie kunnen bijvoorbeeld worden geplaagd door ontstoken mondhoeken, gevoelens van misselijkheid, nat hoofdkussen bij het wakker worden en besmeuring van de kleding. Het is een normaal verschijnsel bij jonge kinderen, vooral rond de tanderuptie. Bij bejaarden kan een toegenomen speekselvloed ontstaan door orofaciale disfuncties, zoals een slechte mondsluiting, maar ook door neurologische afwijkingen. Bij een meervoudig handicap komt dit ook voor. De gevolgen zijn recht evenredig met de ernst. Milde kwijler kunnen veelal volstaan met slikbewegingen, terwijl ernstige kwijlers hun speeksel niet binnen kunnen houden.
Wat is sialose?
Dit is een bilaterale zwelling van de glandula parotis. Deze is niet gebaseerd op neoplastische veranderingen (zoals tumorgroei of kwaadaardige zaken) of ontstekingsreacties, maar op hypertrofie (cellen nemen in grootte toe) van de acinuscellen. De speekselkliercellen worden dus groter. In samenhang met systemische afwijkingen zoals levercirrose, diabetes mellitus, alcoholisme, ondervoeding en dysfunctie van de schildklier en ovaria. Verder ook bij bepaalde medicatie en intoxicaties. De oorzaak is onbekend, maar mogelijk gerelateerd aan endocriene stoornissen, stofwisselingsstoornissen en ziekten van het autonome stelsel.
Wat zijn witte afwijkingen van de orale mucosa?
Een slijmvliesafwijking kan het gevolg zijn van een lokaal proces of een uiting zijn van een gegeneraliseerd ziekteproces. Een voorbeeld hiervan is een contactallergie bij een frameprothese. Een witte afwijking lijkt wit door een afwijking in het epitheel of door een op liggend wit/geel beslag (merendeel is een reactieve afwijking).
Wat zijn afwijkingen in het epitheel?
Hyperkeratose: een verdikking van de hoornlaag.
Acanthose: aantal cellagen huid is toegenomen (dus hyperplasie), verhoogde groei van weefsel
Hypertrofie: celvergroting
Hyperplasie: vermeerdering van cellen

Wat zijn afwijkingen door wit/geel beslag?
Fibrineus exsudaat: vocht uittredend uit de bloedvaten → stollingseiwitten
Oppervlakte debris: afval van weefselafbraak
Schimmelkolonies
Wat is leukodeem?
Melkachtige sluiering. Dit is afschraapbaar. Komt door roken of alcoholgebruik. Dit is een chronische aandoening en is merendeel een reactieve afwijking.
Wat is linea alba?
Is een witte lijn, meestal dubbelzijdig in het gebied van de occlusie vlakken. Dit is niet afschraapbaar. Geen behandeling voor nodig.
Wat is morsicatio?
Dit is wanneer een patiënt op de wang of lip bijt, meestal aan een kant te zien. Dit is te zien als een afschilferende, beschadigde mucosa.
Wat is stomatitis nicotina?
Ontstekingsreactie met name bij palatum en tong. Komt door overmatig tabakgebruik.
Wat is Hairy leukoplakie?
Dit is een ruwe/gerimpelde afwijking die te zien is aan de longrand. Dit is niet afschraapbaar en komt door een verminderde weerstand. Dit kan veel voorkomen bij mensen met HIV. Er zijn vaak geen klachten, behandeling is vaak niet nodig.
Wat is lingua geografica (landkaarttong)?
Gladde erythemateuze gebieden met aan de randen witte afschilferende zones. Een kenmerk hiervan is een sterk wisselend klinisch beeld. Hier is geen behandeling voor nodig.
Wat is lichen planus?
Veel voorkomend chronische ontstekingsreactie, witte afwijking van de orale mucose. Bilateraal voorkomend, is een benigne afwijking. Dit kan auto-immuunziekte, erfelijk of infectie gerelateerd zijn, bvb bij hepatitis.
Wat is Cheilitis Solaris?
Ontstaat door reactie overmatige blootstelling aan zonlicht. Het komt vaak voor op de onderlip en is dan korstvormig en schilferig. Dit is een premaligne afwijking, kan een voorstadium zijn van mondkanker.
Wat is leukoplakie?
Dit is een witte, niet afschraapbare afwijking. Dit is een premaligne afwijking, dus doorsturen voor biopsie.
Wat is candidiasis?
Schimmelinfectie in de mond. Kan te zien zijn bij patiënten met een verminderde weerstand. Candidiasis is een schimmelinfectie die wordt veroorzaakt door een gistachtige schimmel (candida albicans).
Wat is glossitis rhomboideu mediana?
Wordt gezien als chronische candidiasis. Dit komt vaak voor bij patiënten die inhalatiecorticosteroïden gebruiken. Er is geen behandeling voor nodig. Is klinisch te kenmerken als een vlek op de tong.
Wat is fordyce spots?
Witgelige afwijking die worden veroorzaakt door ectopisch gelegen talgklieren. Zij worden beschouwd als een aangeboren afwijking van de orale mucosa.
Wat is papillaire hyperplasie?
Tot de verruceuze/papillaire afwijkingen worden de afwijkingen gerekend die een uitwas zijn van de mucosale membraan. Deze afwijkingen hebben diverse verschijningsvormen met een lokale exofytische groeipotentie en kunnen variëren van enkele millimeters tot enkele centimeters. De afwijkingen kunnen overal op orale mucosa voorkomen. De oorzaak is een niet goed passende prothese of chronische candidiasis. Aan het begin is het rood en ontstoken, vervolgens oedematische slijmvliezen en tenslotte ontstaan er kenmerkende papillaire beeld. Je kan dit behandelen door de prothese aan te passen of de candidiasis aan te pakken.

Wat is papilloom?
Het is een lokaal op de orale mucosa voorkomende epitheelproliferatie en kan overal in de mond voorkomen. Voorkeurslocaties zijn het palatum durum, palatum molle en de uvula. De oorzaak is niet geheel bekend, maar heeft een relatie met het hiv- virus. Klinisch gekenmerkt het papilloom zich door betrekkelijk kleine, gesteelde, grijs/gele afwijkingen met een bloemkoolachtig aspect. De behandeling bestaat uitexcisie, waarbij altijd histopathologisch onderzoek is geïndiceerd. Meestal komt het na verwijdering niet meer terug.

Wat is condyloma acuminatum?
Aandoening gerelateerd een hiv en is een infectieuze aandoening. Klinisch wordt de aandoening gekenmerkt door een onregelmatige worstvormige verdikking van een mondslijmvlies, meestal aan de binnenzijde van de wang of overgang van wang naar
lip. Het wordt chirurgisch verwijderd.

Wat is herpes simplex (koortslip)?
Een type 1 afwijking die voornamelijk bij de mond voorkomt. De diagnose zien we meestal aan de hand van het klinisch beeld. Deze afwijking wordt verspreid door contact, meestal al op jonge leeftijd. Je krijgt dan maar 1 keer een infectie van (primaire infectie) en daarna kan dit zich terugkerend uiten.

Wat is pemphigus vulgaris?
Een mucocutane afwijking door een auto-immuunstoornis. Het klinisch beeld hierbij is epitheliale blaren.

Wat is reactieve ulcera?
Kunnen komen door mechanisch trauma, chemische beschadiging, abnormale gewoonte, bestraling, chemotherapie of micro-organismen. Er is altijd een oorzaak-gevolg vast te stellen.
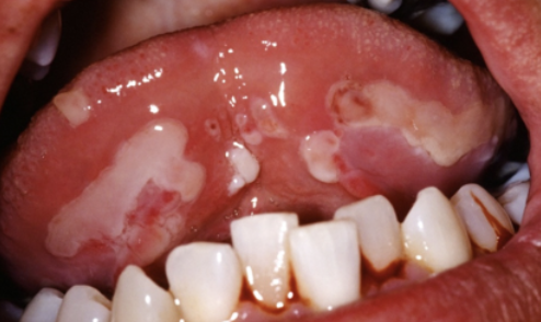
Wat zijn aften?
Ziet er zweerachtig en wit uit met rood eromheen. De oorzaak hiervan is nog onbekend. Wel weten we dat het een reactie is op een bepaalde stof. Bevorderende factoren zijn traumatische beschadiging van de slijmvliezen, overgevoeligheid vanvoedingsstoMen, hormonale schommeling en stress. Een normale aft is niet groter dan 0,5 cm en verdwijnt na 7-10 dagen. Een grote aft is groter dan 1 cm en verdwijnt pas na 4-6 weken. Deze laat meestal een litteken achter.
Wat is bestralingsmucositis?
Effect van ioniserende stralen, dus radio- of chemotherapie. Er ontstaat eerst een ontstekingsreactie in het mondslijmvlies. Dit leidt tot witte verkleuring van de mucosa (door hyperkeratose) en vervolgens word het rood en gezwollen als gevolg van verhoogde doorbloeding. Na 3 weken kan dit verergeren tot geheel defecte slijmvliezen en ulceraties bedekt met een fibrineus beslag. Dit is een pseudomembraneuze mucositis. De genezing duurt meestal 2-3 weken na de bestraling. 30% van de patiënten krijgen voedingsproblemen. De behandeling hiervoor is een goede mondhygiëne aanhouden.
Wat zijn de directe en indirecte effecten na chemotherapie bij betralingsmucositis?
Direct effect: de celdeling wordt geremd en defecten ontstaan.
Indirect effect: door beenmergdepressie neutropenie (vermindering witte bloedcellen) word ook de ontstekingsreactie verstoord. Wat het risico op slijmvliesontstekingen verhoogt. Tussen de 7de en 11de dag na start van chemokuur is het meestal pseudomembraneuze/ulceratieve mucositis. Bij deze vormen van mucositis ontbreekt meestal het witte/rode stadium. Spoelen met fysiologisch zout kan verlichten.
Wat is lupus erythematodes?
Je ziet vaak een vlindervormige rode vlek op de huid en dit kan gepaard gaan met witte strepen in de mond. dit is te behandelen met corticosteroïden.
Wat is neoplasmata?
Zweerachtig aspect. Verruceus carcinoom en plaveiselcelcarcinoom. Dit is maligne. 3-4% van de maligniteiten zit in de mond en orofarynx, 25-40% aan de tong.
Wat is venous varices?
Dit komt frequent voor en bestaat uit meer of minder oppervlakkig gelegen gebiedjes met verwijdingen van veneuze vaten. Afhankelijk van de diepte, de grootte en de mate van doorbloeding van de venous varices kan het klinisch beeld meer of minder herkenbaar worden. Het komt meestal voor aan de onderzijde van de tong, maar ook wel eens aan de wangmucosa of lippen. Het hoeft niet behandeld te worden.
Een hemangioom ziet eruit als een bloedvatgezwel en verdwijnt na de geboorte. Hemangiomen zijn goedaardige woekeringen van bloedvaten (Goedaardige tumor). De vasculaire anomalie verdwijnt helaas niet en kan juist in grootte toenemen of duidelijker worden. Het hemangioom bevindt zich meestal alleen in de weke delen, de vasculaire anomalie niet.
Wat is een lymfangioom?
Dit is een goedaardige tumor en ontstaat in de lymfevaten. Dit kan in combinatie met een hemangioom. Een lymfangioom geneest vanzelf. Er zijn 3 soorten:
Kleine, min of meer oppervlakkig gelegen afwijking
Een grotere afwijking, meestal bestaande uit een combinatie lymfangioom met hemangioom of vasculaire anomalie.
Het cysteuze lymfangioom van de hals.
Wat is een pyogeen granoloom?
Het kan ontstaan op een chronische prikkel, bijvoorbeeld tandsteen. De afwijking heeft de interdentale papil als voorkeurslocatie. In geval van klachten kan het operatief worden verwijderd en het wegnemen van oorzaak prikkel.
Wat is ephelis?
Het is een afwijking van de slijmvliezen die vergelijkbaar is met een sproet van de huid. Het komt vooral voor op het aan de zon blootgestelde lippen. Er hoeft geen behandeling plaats te vinden, tenzij dit cosmetisch is gewenst.
Wat is focale melanose?
Is een goedaardige pigmentvlek op de slijmvliezen die meestal een paar millimeter groot is. De vlek verschijnt vaak op de lippen, vooral de onderlip, maar kan ook voorkomen op het gehemelte, het wangslijmvlies, of het tandvlees (gingiva) van zowel de boven- als onderkaak. De kleur varieert van lichtbruin tot zwart en de laesie is doorgaans kleiner dan 1 cm. Het betreft vermoedelijk een potentieel maligne afwijking omdat soms vanuit een focale melanose (soms pas jaren later) een maligne melanoom kan ontstaan.
Wat is een melanoom?
Het komt vooral voor bij 50-plussers. Het is te vinden op de gingiva en palatum durum. Het is heel zeldzaam. Het heeft een donkere kleur, pijnlijk en neemt snel toe qua grote. 5 jaars overleving is minder dan 20%. Het kan worden herkend aan een donkere tot zeer donkergekleurde, enigszins verheven afwijking. De afwijking kan pijnlijk zijn en in korte tijd in diameter toenemen. Ook kan het af en toe wat bloeden. De prognose is vaak slecht.
Wat is een fibroom (irritatie)?
Dit komt veel voor bij gebitsdragers, maar ook bij wangbijters. Het verdwijnt niet vanzelf, het moet chirurgisch verwijderd worden.
Wat is gegeneraliseerde gignivahyperlasie (hormonaal, medicijngebruik)?
Dit kan zijn van enkele papillen tot alle kronen van de elementen bedekt. Een goede mondhygiëne is meestal voldoende om ervan af te komen. Kan ook optreden bij leukemie. Medicijn bij hoge bloeddruk en epilepsie.
Wat is een lipoom?
Dit is een vetweefsel. Het is erg zeldzaam, groeit langzaam en geeft geen klachten.
Wat si een torus mandibularis?
Is een benigne bottumor, opgebouwd uit compact of spongieus bot. Er hoeft geen behandeling uit gevoerd te worden als er geen klachten zijn. Osteomen van het kaakgewricht kunnen leiden tot beperkte mondopening. Dan kan het chirurgisch verwijderd worden. De torus mandibularis is een meestal symmetrisch voorkomende, beenharde zwelling aan de linguale zijde van de onderkaak in het premolaargebied. De overliggende mucosa vertoont een normaal aspect. De etiologie is onbekend. De afwijking kan zich manifesteren als een enkelvoudige zwelling, maar ook als meerdere achter elkaar gelegen zwellingen. Behandeling is geïndiceerd bij het plaatsen van een prothese.
Wat is een torus maxillaris?
Is een benige, goedaardige uitsteeksel dat voorkomt in het gehemelte (bovenkaak) van sommige mensen. Het bevindt zich meestal langs de middellijn van het harde gehemelte. Dit botuitsteeksel varieert in grootte en vorm en kan langzaam in de loop van de tijd toenemen. Torus maxillaris is niet pijnlijk en hoeft meestal niet behandeld te worden, tenzij het problemen veroorzaakt, zoals irritatie of problemen bij het dragen van een kunstgebit.
Wat is een ameloblastoom?
Het benigne ameloblastoom is een odontogene tumor die vooral voorkomt in de molaarstreek en kaakhoekregio van de onderkaak. In het voorstadium is het vaak een toevalsbevinding. Ondanks een soms forse uitbreiding van de tumor, geeft het Ameloblastoom zelden aanleiding tot uitval van sensibiliteit van betrokken nervi. Ze zorgen vaak voor verplaatsing van de naburige elementen.

Wat is een odontoom?
Het kan eigenlijk beter als ontwikkelingsstoornis worden beschouwd dan als een tumor. Er is sprake van een afwijking met een vergaande diMerentiatie van zowel epitheliale als mesenchymale structuren, waaruit glazuur en dentine worden gevormd. Er is een compound odontoom en complex odontoom.
Samengesteld odontoom: Lijkt op een verzameling kleine, tandachtige structuren.
Complex odontoom: Bestaat uit een onregelmatige massa tandweefsel zonder herkenbare tandstructuur.
Simpel uitgelegd: Een odontoom is een goedaardige tumor die bestaat uit tandweefsel, zoals glazuur, dentine en cement, dat normaal voorkomt in tanden.
Wat is pulpitis en welke verschillende vormen zijn er?
Er zijn diverse diagnosen te stellen. Acute pulpitis komt redelijk opeens en doet heel veel pijn. De patiënt spoelt het liefst met koud water. Zo krimpen de bloedvaten. Pulpitis is een ontsteking van de tandpulpa. Een gevolg van pulpitis is het optreden van kiespijn. Als de tandpulpa ontstoken raakt - wat pulpitis genoemd wordt - kan er hevige pijn ontstaan. Cariës is de meest voorkomende oorzaak van pulpitis. De bacteriën in de cariës produceren stoMen die giftig zijn voor de tandpulpa. Eerst wordt de tand gevoelig voor koude (alhoewel er ook nog andere oorzaken zijn voor tandgevoeligheid), in een later stadium wordt de tand vooral gevoelig voor warmte en ten slotte zal de tand hevige kloppende pijn geven die vooral 's nachts zal opkomen. De tand zal dan ook gevoelig worden bij het bijten (de patiënt heeft dan de indruk dat de tand te hoog zit, bij de onderste tanden). Maar een pulpitis kan nog andere oorzaken hebben onder andere toxische invloed van vullingsmaterialen bij te diepe caviteiten, door toxische invloed van bleekproducten, als gevolg van parodontitis, door tandbreuk, tandoverbelasting. Pulpitis kan bij vroeg ingrijpen, door het wegnemen van de oorzaak genezen (reversibele pulpitis). Slechts zelden overleeft de pulpa een acute pulpitis, en wanneer ze niet behandeld wordt gaat ze over in necrose (=afsterven van het pulpaweefsel) wat op zijn beurt een tandabces zal veroorzaken. De tandarts moet bij irreversibele pulpitis overgaan tot een kanaalbehandeling, waarbij de tandpulpa (met zenuwen en bloedvaten) weggenomen wordt, gereinigd en verbreed wordt, waarna de pulpakamer en de wortelkanalen hermetisch gevuld en afgesloten worden. Chronische pulpitis sluimert vaak op de achtergrond. Pulpitis komt vaak door een verwaarloosd gebit (desolaat).
Wat zijn de oorzaken van pulpitis?
Fracturen van gebitselementen
Chemische prikkels bijvoorbeeld door ets bij het vullen met composiet
Thermische prikkels bijvoorbeeld door te prepareren zonder voldoende te koelen
Galvanische prikkels bijvoorbeeld door metalen in de mond
Onvoldoende doorbloeding door bijvoorbeeld te snelle orthodontische verplaatsing van een tand.
Wat zijn de behandelingsmogelijkheden bij een pulpa aandoening?
Acute pulpitis: dit is niet meer reversibel en het gebitselement moet endodontisch behandeld worden en anders geëxtraheerd.
Chronische pulpitis: ook hier moeten de aangetaste elementen endodontisch behandeld of geëxtraheerd worden.
Wat is pulpa necrose?
Hierbij kan de pulpa afsterven. Als deze is afgestorven, wordt een element avitaal genoemd. Een acute pulpitis leidt altijd tot een volledige necrose van de pulpa of chronische pulpitis, waarna de pijnklachten verdwijnen evenals de verhoogde gevoeligheid op thermische en elektrische prikkels.
Wat is een pulpa poliep?
Een pulpa poliep of chronische hyper plastische pulpitis, is het gezwollen roze ontstoken weefsel dat te zien groeien is in de mondholte van een open ruimte aan de buitenzijde van de tand. Het is een aandoening die niet vaak voorkomt en dan uitsluitend bij kinderen en jonge volwassenen met sterk carieuze elementen waarbij een opening aanwezig is van de pulpakamer. Het granulatieweefsel in de pulpaholte woekert door de opening naar buiten waarna het geëpitheliailiseerd wordt. De patiënten hebben geen pijnklachten en manipulatie van de pulpa poliep is niet pijnlijk omdat het granulatieweefsel niet geïnnerveerd is. Manipulatie kan wel aanleiding geven tot een bloeding, omdat het granulatieweefsel doorgaans goed gevasculariseerd is. Een goede vascularisatie van de pulpa en een wijd foramen apicale gecombineerd met een grote weefselweerstand zijn noodzakelijk voor het ontstaan van een pulpapoliep.
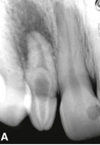
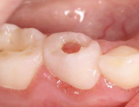
Wat is cariës profunda?
Cariës tot in de pulpa.
