1/123
Looks like no tags are added yet.
Name | Mastery | Learn | Test | Matching | Spaced | Call with Kai |
|---|
No analytics yet
Send a link to your students to track their progress

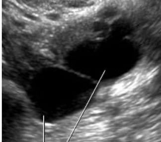
Polycystic ovary

What is this and what type of scan
Ovarian Cyst, Pelvic US

What is this
Ovarian Cancer

What is this
Bladder Cancer

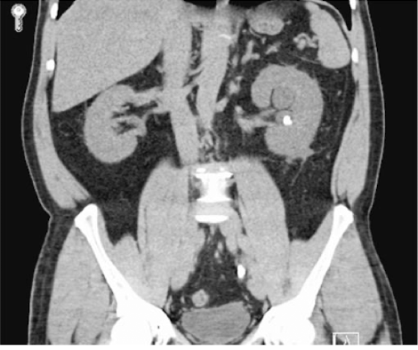
What is this and what type of scan
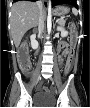
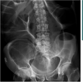
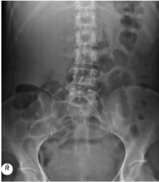
Polycystic kidney disease, CT scan

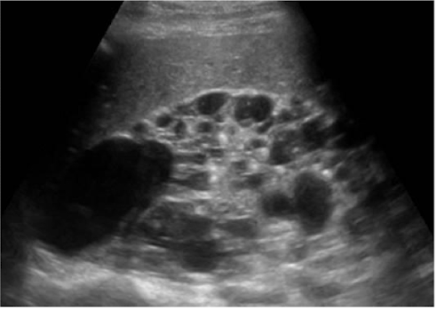
What is this and what type of scan
Polycystic kidney disease, US

What is this
Renal Calculi

What is this and what type of scan
Renal Calculi, US

What is this and what type of scan
Cirrhotic liver, CT

What is this and what type of scan
Normal liver, CT

What is this and what type of scan
Liver Cirrhosis, US

What is this and what type of scan
colon polyp, barium enema

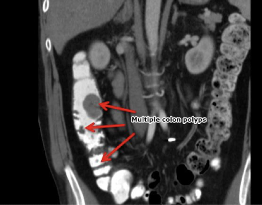
What is this and what type of scan
Colon polyp, CT

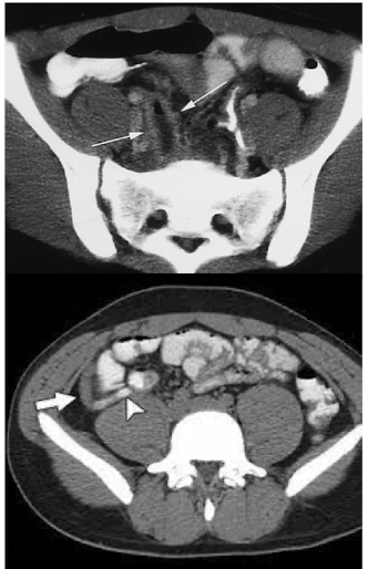
What is this and what type of scan
Diverticulosis, Barium Enema

What is this and what type of scan
Diverticulosis, CT

What is this and what type of scan
Fatty liver, US

What is this and what type of scan
Perforation, Barium Enema

What is this and what type of scan
Appendicits, US

What is this and what type of scan
Appendicits, CT

What is this and what type of scan
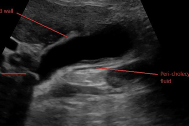
Cholecystitis, US

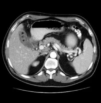
What is this and what type of scan
Cholecystitis, CT

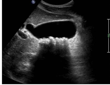
What is this
Cholelithiasis

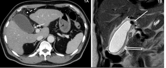
What is this and what type of scan
Cholelithiasis, CT

What is this
Ulcerative colitis

What is this
Ulcerative colitis

What is this and what type of scan
crohns, CT

What is this and what type of scan
Crohns, Upper GI w sm bowel follow through

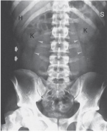
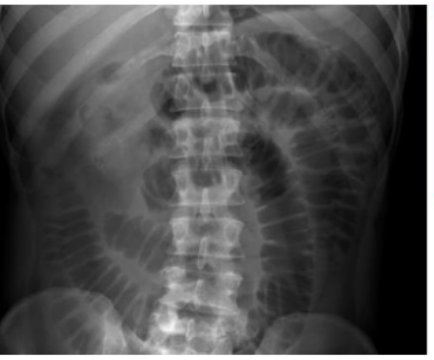
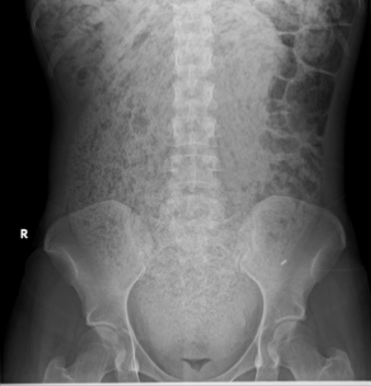
What are H, S, K what type of scan is this
H: Hepatic angle, S: spleen, K: kidney, Normal Abdominal X-ray

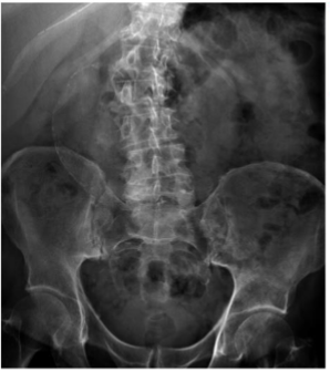
What is this and what type of scan
Stomach, AXR

What is this
small bowel

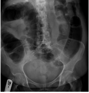
What is this and what type of scan
Large bowel, AXR

What is this and what type of scan
Liver, AXR

Identify Psoas muscles, lumbar vertebrae, femur, illiacus
yes


Identify parts of pelvis (6)
yes


What is this and what type of scan
Calcifications, AXR

What is this and what type of scan
free gas under the diaphragm 2/2 perforated duodenal ulcer (abnormal bowel gas pattern), ABX

What is this and what type of scan
free air in bowel 2/2 perforated bowel, abx

What is this and what type of scan
normal stomach bubble, axr

What is this and what type of scan
small bowel obstruction/ileus, abx

What is this
Large bowel obstruction

What is this and what type of scan
sigmoid volvulus (twisted) “bird beak sign or coffee bean sign”, abx

What is this and what type of scan
Bowel wall inflammation/toxic mega colon, abx

What is this and what type of scan
chronic constipation, abx

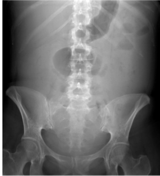
What is this and what type of scan
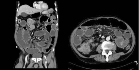
AAA, Abx

What is this and what type of scan
Hepatomeagly, abx

What is this and what type of scan
Splenomegaly

What is this and what type of scan
ascites, abx

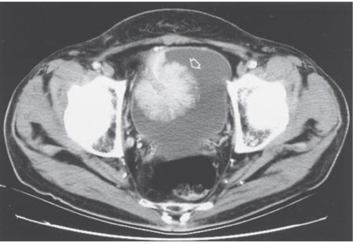
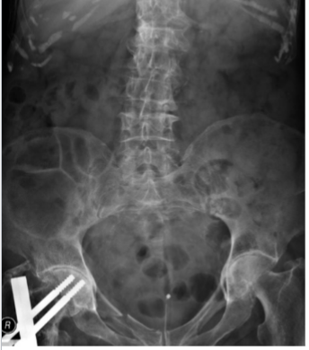
What is this and what type of scan
small pelvic mass, abx

What is this and what type of scan
fracture and osteoarthritis, abx

What is this and what type of scan
bone mets, abx

What is this
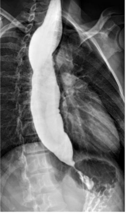
Achalasia

What is this
Zenkers Diverticulum

What is this
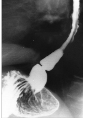
Hiatal hernia

What is this and what type of scan
GERD, barium swallow

What is this
Esophageal ca

What is this
Esophageal web

What is this
Schatzki ring

What is this and what type of scan
Varices, Barium swallow

What is this and what type of scan
Peptic ulcer disease, barium swallow

What is this
Pancreatic ca

What is this
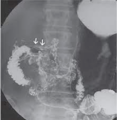
duodenal cancer

What is this and what type of scan
gastric polyps, barium swallow

What is this
small bowel obstruction, barium swallow

What is this
small bowel obstruction

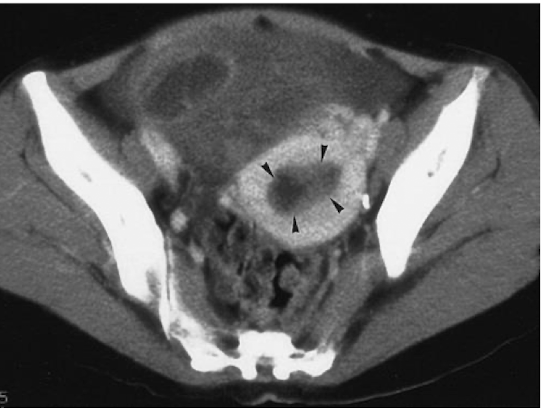
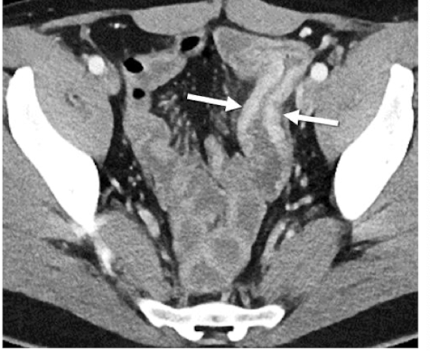
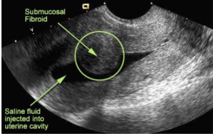
What is this and what type of scan
fibroids, transvaginal US

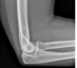
What is this
normal elbow

What is this
post + ant fat pad

What is this and what type of scan
normal knee, x-ray

What is this and what type of scan
fat fluid level, x-ray

What is this and what type of scan
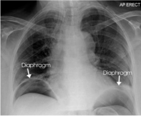
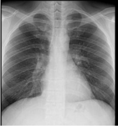
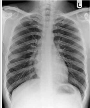
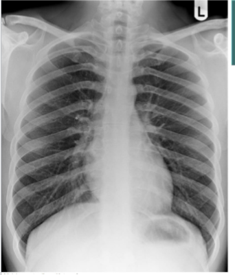
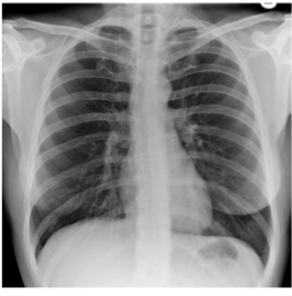
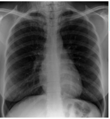
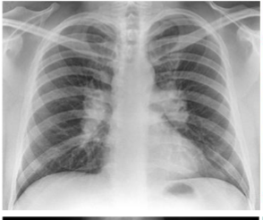
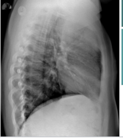
PA CXR

What is this
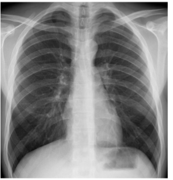
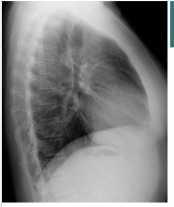
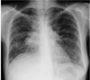
AP

What is this and what type of scan
CT angio

Echogenicity of this
isoechoic

Echogenicity of this
Kidney = hypoechoic to liver
Liver = hyperechoic to kidney

Echogenicity of this
Gallbladder = anechoic
stone = hyperechoic

Echogenicity of this
tumor = hypoechoic to surrounding tissue

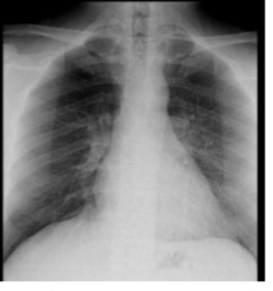
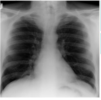
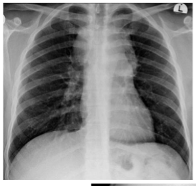
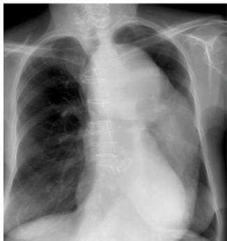
Label this CXR (10 things)
1) trachea 2) hilum- should have R and L 3) lungs 4) diaphragm 5) heart 6) aortic knuckle 7) ribs 8) scapulae 9) breasts 10) bowel gas


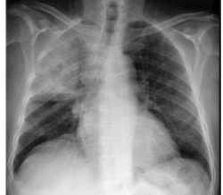
Identify trachei, bronchi, aortic nuckle
yes


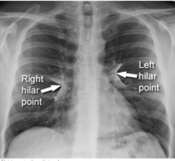
Idenfity R + L hila
yes


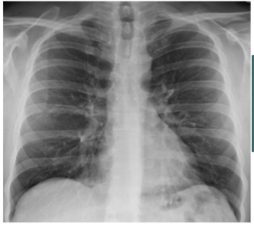
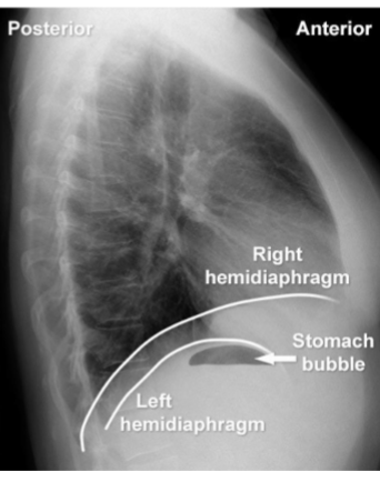
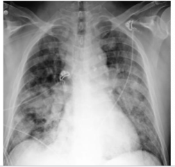
Identify cardiophrenic angle, R + L hemidiaphragms, stomach bubble, liver, spleen
yes


identify hemi diagrams (2) and stomach bubble
yes


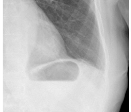
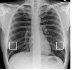
identify costophrenic angles
yes


Identify costophrenic angles (post + ant)
yes


Identify soft tissues/what are you looking for?
nipples


identify nipple shadows
yes


what do u see?
under penetration

what do you see?
hair

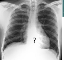
what is this?
tracheal displacement


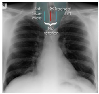
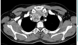
what is this and what kind of scan
tracheal displacement, CT

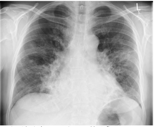
what is this? and what causes it
B/L hilar enlargement, Sarcoidosis

what is this? and what causes it
asymmetric hilar enlargement, breast ca, metastatic disease

what is this? and what causes it
Mediastinal mass (aortic knuckle deviated), hodgkin lymphoma

what is this? and what causes it
Mediastinal mass, hodgkin lymphoma

what is this? and what causes it
Thoracic aortic aneurysm

what is this?
lobar pna

what is this?
multifactorial pna

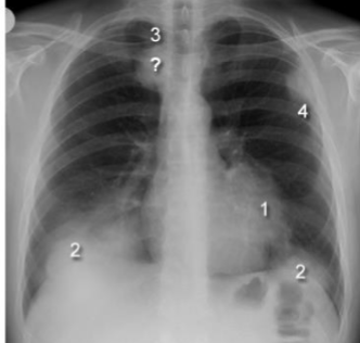
What are these silhouette signs? what causes them?
1: L Heart boarder (lingula disease), 2: Hemidiaphragm (lower lobe lung disease), 3: paratracheal stripe (paratracheal disease), 4: chest wall (lung, pleural or rib disease)

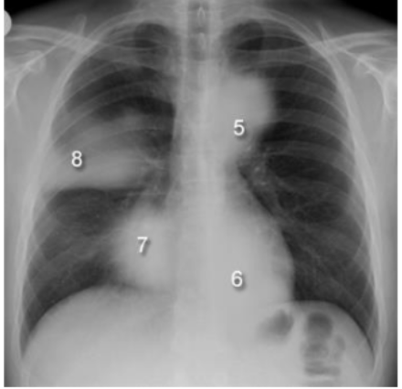
What are these silhouette signs? what causes them?
5: aortic knuckle (anterior mediastinal or L upper lobe disease), 6: paraspinal line (post thorax disease), 7: R heart boarder (middle lobe disease) 8: density above horizontal fissure

What is this? and what causes it?
air space filling w air bronchograms, PNA

What is this? and what causes it?
viral pna caused by influenza