Muscalar System

0.0(0)
studied byStudied by 0 people
0.0(0)
full-widthCall with Kai
GameKnowt Play
New
learnLearn
examPractice Test
spaced repetitionSpaced Repetition
heart puzzleMatch
flashcardsFlashcards
Card Sorting

1/18

encourage image

There's no tags or description

Looks like no tags are added yet.

Study Analytics
Name
Mastery
Learn
Test
Matching
Spaced

No study sessions yet.

19 Terms

1
New cards

The 3 Types of Muscle

Skeletal Muscle

Cardiac Muscle

Smooth Muscle

2
New cards

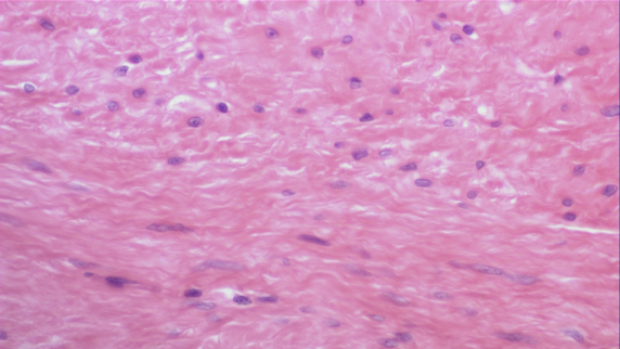
Smooth Muscle

Non-striated Involuntary muscle

Found in 2 forms

  • Visceral (stomach/intestines)

    • Large sheets of cells in walls of hollow organs

  • Multiunit (iris)

    • Small discrete groups of cells

<p>Non-striated Involuntary muscle</p><p></p><p>Found in 2 forms</p><ul><li><p>Visceral (stomach/intestines)</p><ul><li><p>Large sheets of cells in walls of hollow organs</p></li></ul></li><li><p>Multiunit (iris)</p><ul><li><p>Small discrete groups of cells</p></li></ul></li></ul><p></p>
3
New cards

Visceral Smooth Muscle

Smooth muscle that forms large sheets of cells in walls of hollow organs

  • Stomach, Intestine, Uterus, Urinary bladder, Blood Vessels, Respiration

Does not carry out fine movements, but reacts in rhythmic waves

  • Peristalsis in the gastrointestinal tract

<p>Smooth muscle that forms large sheets of cells in walls of hollow organs</p><ul><li><p>Stomach, Intestine, Uterus, Urinary bladder, Blood Vessels, Respiration</p></li></ul><p></p><p>Does not carry out fine movements, but reacts in rhythmic waves</p><ul><li><p>Peristalsis in the gastrointestinal tract</p></li></ul><p></p>
4
New cards

Multiunit Smooth Muscle

Smooth muscle that forms small discrete groups of cells for delicate movement

  • Iris and Ciliary body of eye, Small blood vessels and air passageways

Require specific impulses from nervous system to contract

  • Changes in light, oxygen demand

<p>Smooth muscle that forms small discrete groups of cells for delicate movement</p><ul><li><p>Iris and Ciliary body of eye, Small blood vessels and  air passageways</p></li></ul><p></p><p>Require specific impulses from nervous system to contract</p><ul><li><p>Changes in light, oxygen demand</p></li></ul><p></p>
5
New cards

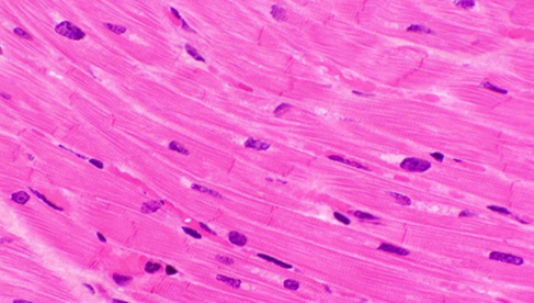
Cardiac Muscle

Striated Involuntary muscle

Forms most of the volume of the heart and makes up most of the walls of the cardiac chambers.

Contracts rhythmically, without external stimulation

  • Groups of cardiac muscle cells adopt the contraction rate of the most rapid cell in the group.

<p>Striated Involuntary muscle</p><p></p><p>Forms most of the volume of the heart and makes up most of the walls of the cardiac chambers.</p><p></p><p>Contracts rhythmically, without external stimulation</p><ul><li><p>Groups of cardiac muscle cells adopt the contraction rate of the most rapid cell in the group.</p></li></ul><p></p>
6
New cards

Skeletal Muscle

Striated Voluntary muscle

In charge of movement

“Cruise Control”

  • Breathing, swallowing, posture

<p>Striated Voluntary muscle</p><p></p><p>In charge of movement</p><p></p><p>“Cruise Control”</p><ul><li><p>Breathing, swallowing, posture</p></li></ul><p></p>
7
New cards

Ligaments

Attach bone to bone

Ex. Anterior Cruciate Ligament (ACL)

<p>Attach bone to bone</p><p></p><p>Ex. Anterior Cruciate Ligament (ACL)</p>
8
New cards

Tendons

Muscle to bone

Ex. Gastrocnemius tendon, Patellar tendon

<p>Muscle to bone</p><p></p><p>Ex. Gastrocnemius tendon, Patellar tendon</p>
9
New cards

Aponeuroses

Muscle to bone or to another muscle

Ex. Linea alba

<p>Muscle to bone or to another muscle</p><p></p><p>Ex. Linea alba</p>
10
New cards

Muscle Actions

Have one job… move the skeleton

Stimulated by a nerve impulse > Contracts by pulling on its attachment sites on bone > Movement of bones and other structures

Work in groups, seldomly do they work alone

<p>Have one job… move the skeleton</p><p></p><p>Stimulated by a nerve impulse &gt; Contracts by pulling on its attachment sites on bone &gt; Movement of bones and other structures </p><p></p><p>Work in groups, seldomly do they work alone</p>
11
New cards

Prime mover (agonist)

Muscle group that directly produces a desired movement

12
New cards

Antagonist

Muscles that directly opposes the action

13
New cards

Synergist

Muscles that contracts at the same time as a prime mover and assists in the action.

14
New cards

Fixator

Muscles that stabilize joints to allow other movements to take place.

15
New cards

Extrinsic Muscles

Muscle that attach the limb to the body

  • Muscles originate on the neck and thorax and extend to the shoulder or forelimb

All domestic mammals have 8 extrinsic muscles including:

  • Superficial Pectoral

  • Deep Pectoral

  • Trapezius

  • Latissimus dorsi

  • Serratus ventralis

16
New cards

Intrinsic Muscles

Muscles that attach only to the bones within the limb

Includes:

  • Infraspinatus

  • Supraspinatus

  • Subscapularis

  • Triceps brachii

  • Biceps brachii

  • Brachialis

  • Extensor carpi radialis

  • Common digital extensor

  • Superficial digital flexor

  • Deep digital Flexor

17
New cards

Muscles of Neck and Head

Muscles that are:

  • Vital for neck and head movement

  • Necessary for chewing

  • Important injection site for food producing animals

18
New cards

Muscles of the Pelvic Limb

Muscles that:

  • Help propel the animal forward when walking or jumping.

  • Have large musculature and are a common place for intramuscular  injections.

  • Location in relation to the sciatic nerve is important.

19
New cards

Muscles of the Abdominal Wall

Muscles that work to flex the ventral column and assist in:

  • Urination/defecation, Parturition, Vomiting

The lateral and ventral abdominal wall is made up of four pairs of muscles:

  • External abdominal oblique

  • Internal abdominal oblique

  • Transversus abdominis

  • Rectus abdominis