Hematology Ch 13: Lymphoproliferative Disorders & Plasma Cell Disorders

0.0(0)
studied byStudied by 0 people
0.0(0)
full-widthCall with Kai
GameKnowt Play
New
learnLearn
examPractice Test
spaced repetitionSpaced Repetition
heart puzzleMatch
flashcardsFlashcards
Card Sorting

1/21

encourage image

There's no tags or description

Looks like no tags are added yet.

Study Analytics
Name
Mastery
Learn
Test
Matching
Spaced

No study sessions yet.

22 Terms

1
New cards

Lymphoproliferative disorders

•Clonal, malignant proliferation of B and T lymphocytes.

•Primarily affects the elderly

•Chronic and progresses slowly.

•Most related to compromised immune systems.

•Diagnosed with flow cytometry and chromosomal analysis.

2
New cards

Leukemia

Clonal malignancy that originates in the bone marrow and is noted in the general circulation.

3
New cards

List the types of lymphoproliferative and plasma cell disorders (7)

•CLL Chronic Lymphocytic Leukemia (B cells)

•Hairy Cell Leukemia (B cells)

•Sezary Syndrome

•Prolymphocytic Leukemia

•Hodgkin's and Non- Hodgkin's lymphoma

•Multiple Myeloma

•Waldenstrom's Macroglobulinemia

4
New cards

CLL Chronic Lymphocytic Leukemia

•Clonal proliferation of B lymphocytes

•Malignant lymphocytes have B cell markers: CD15, 19, 20, 22 and CD5 (usually only found on T cells).

•Small lymphocytes accumulate in the spleen, lymph nodes, and BM and can spill out into peripheral circulation.

-key feature: presence of mature lymphs that are dysfunctional

5
New cards

CLL Chronic Lymphocytic Leukemia Presenting signs and symptoms AND lab findings

  • Presenting signs/symptoms:

    • Fatigue, pallor, weight loss, and lymphadenopathy

  • lab findings

    • PBS shows small lymphs (90%) and some lymphoblasts

    • smudge cells may be present

    • high WBC counts (>100,000)

    • M:E ratio is 10-20:1

6
New cards

CLL Chronic Lymphocytic Leukemia Immunologic Function and Treatment Options

  • In 80% an anti apoptosis gene is present, so dysfunctional B cells live on

  • B cell function is compromised, patients show hypogammaglobinemia and bacterial skin infections

  • Treatment options:

    • Irradiation (palliative if lymphadenopathy or splenomegaly)

    • Drugs

    • Alkylating agents

    • Monoclonal antibodies

    • Allogeneic stem cell transplant

7
New cards

PLL Prolymphocytic Leukemia

  • Variant of chronic lymphocytic leukemia, rare disorder

  • Poor prognosis and severe

  • PBS shows mostly circulating prolymphocytes

  • Symptoms:

    • Splenic enlargement

    • Liver involvement

    • Escalating white counts.

<ul><li><p>Variant of chronic lymphocytic leukemia, rare disorder</p></li><li><p>Poor prognosis and severe</p></li><li><p>PBS shows mostly circulating prolymphocytes</p></li></ul><ul><li><p>Symptoms:</p><ul><li><p>Splenic enlargement</p></li><li><p>Liver involvement</p></li><li><p>Escalating white counts.</p></li></ul></li></ul><p></p>
8
New cards

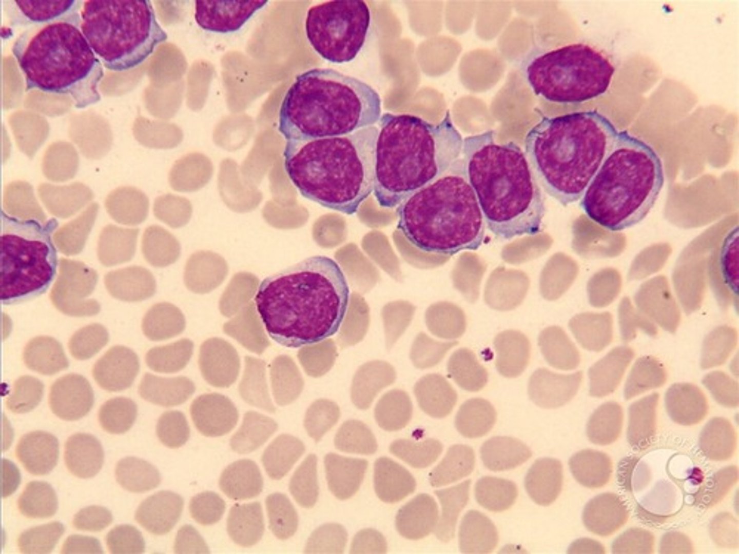
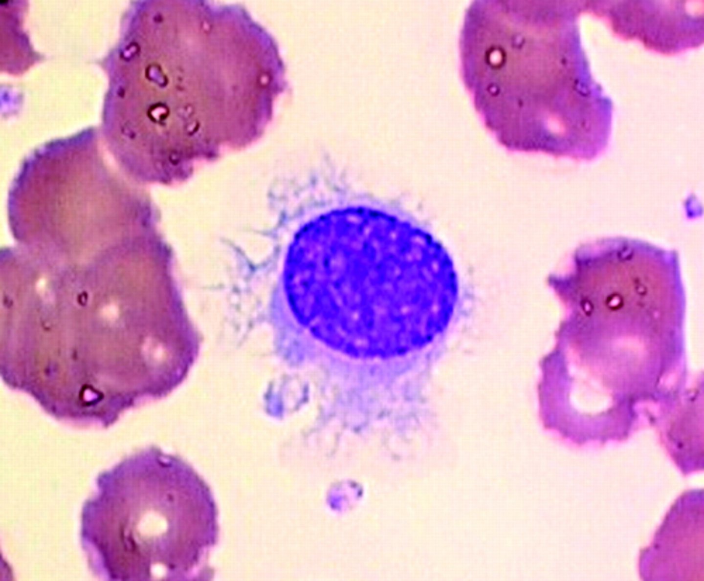
Hairy Cell Leukemia

  • Rare B cell malignancy.

  • cells are fragile and mononuclear

  • Hair-like projections of the cytoplasm.

  • Spongy appearance of chromatin.

  • Diagnosis with cytochemical stain tartrate-resistant acid phosphatase (TRAP)

    • other cells don’t stain with the tartrate

<ul><li><p>Rare B cell malignancy.</p></li></ul><ul><li><p>cells are fragile and mononuclear</p></li><li><p>Hair-like projections of the cytoplasm.</p></li><li><p>Spongy appearance of chromatin.</p></li><li><p>Diagnosis with cytochemical stain tartrate-resistant acid phosphatase (TRAP) </p><ul><li><p>other cells don’t stain with the tartrate</p></li></ul></li></ul><p></p>
9
New cards

Hairy Cell Leukemia Symptoms and treatment

  • symptoms

    • Thrombocytopenia

    • Pancytopenia

    • Massive spleen

    • Abdominal discomfort

    • Bleeding

    • Infection

    • Anemia

    • Dry tap

      • BM becomes filled with fibrotic material and marrow cannot be aspirated.

  • treatment

    • therapuetic splenectomy

10
New cards

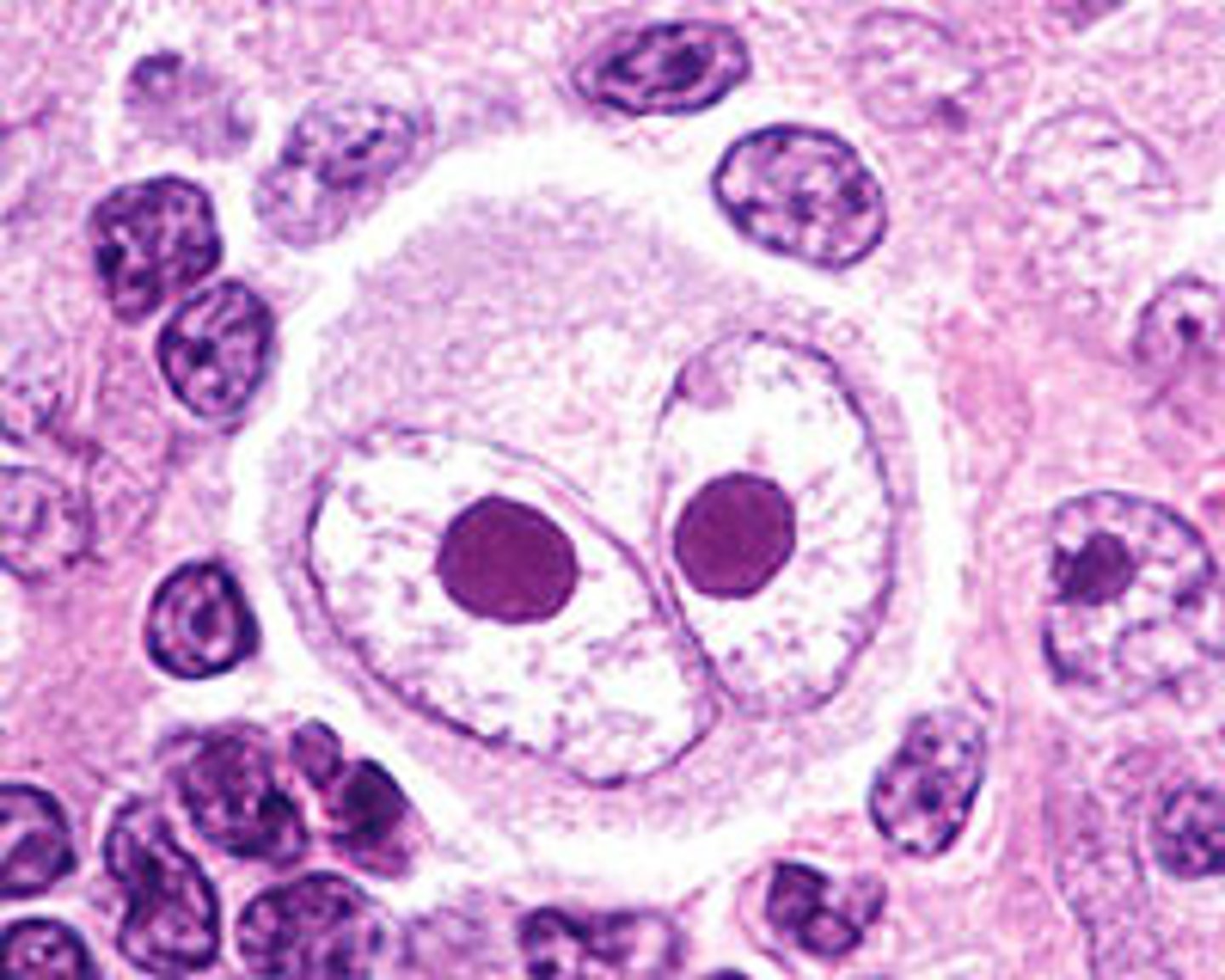
Hodgkin's Lymphoma

  • One of the most common lymphomas in young males 12-40, also seen in people over 50.

  • Usually, single cervical lymph node becomes firm to the touch and does not disappear

  • People exposed to EBV or environmental hazards are at increased risk.

  • Symptoms of hypermetabolism show:

    • Low-grade fever and weight loss.

  • Diagnosis based on lymph node biopsy.

  • May involve liver, spleen, and bone marrow.

  • Presence of Reed-Sternberg cell:

    • Large and multinucleated, resembles "owl's eye"

<ul><li><p>One of the most common lymphomas in young males 12-40, also seen in people over 50.</p></li></ul><ul><li><p>Usually, single cervical lymph node becomes firm to the touch and does not disappear</p></li></ul><ul><li><p>People exposed to EBV or environmental hazards are at increased risk.</p></li></ul><ul><li><p>Symptoms of hypermetabolism show: </p><ul><li><p>Low-grade fever and weight loss.</p></li></ul></li><li><p>Diagnosis based on lymph node biopsy.</p></li><li><p>May involve liver, spleen, and bone marrow.</p></li></ul><ul><li><p>Presence of Reed-Sternberg cell:</p><ul><li><p>Large and multinucleated, resembles "owl's eye"</p></li></ul></li></ul><p></p>
11
New cards

Non-Hodgkin's Lymphomas

  • 3X more common than Hodgkin's lymphoma.

  • May present as painless cervical lymph node involvement.

  • Lymphoma cells may be seen in peripheral smear.

  • Diagnosis based on histological types of lymphocytic cells.

  • Treatment includes radiation and chemotherapy

  • treated with chemo and radiation.

  • Disease may spread:

    • Gastrointestinal, respiratory, skin, liver, or spleen

12
New cards

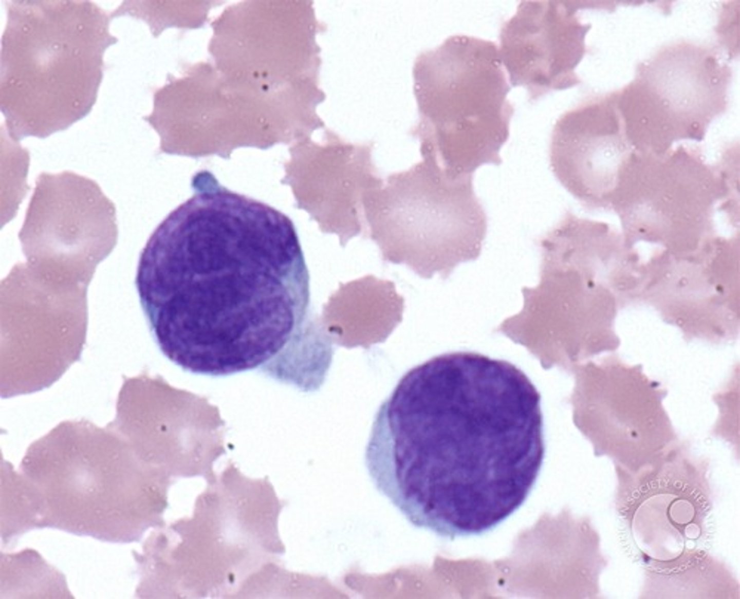
Sezary Syndrome

  • T-cell lymphoma with cutaneous mycosis fungoides

  • skin biopsies reveal an infiltration of lymphocytes.

  • spleen, bone marrow, and lymph nodes may become affected.

  • sezary cells are present in the PBS

    • large, convoluted ovoid nucleus

    • may be mistaken for monocytes

<ul><li><p>T-cell lymphoma with cutaneous mycosis fungoides</p></li></ul><ul><li><p>skin biopsies reveal an infiltration of lymphocytes.</p></li></ul><ul><li><p>spleen, bone marrow, and lymph nodes may become affected.</p></li></ul><ul><li><p>sezary cells are present in the PBS</p><ul><li><p>large, convoluted ovoid nucleus</p></li><li><p>may be mistaken for monocytes</p></li></ul></li></ul><p></p>
13
New cards

Describe normal plasma cells

  • evolves from B lymphs and makes immunoglobulins

  • BM diff shows no more than 5% of these cells

  • Very rarely seen in peripheral blood.

  • If seen in periphery, it is in response to infection, inflammation or malignancy

<ul><li><p>evolves from B lymphs and makes immunoglobulins</p></li><li><p>BM diff shows no more than 5% of these cells</p></li><li><p>Very rarely seen in peripheral blood.</p></li><li><p>If seen in periphery, it is in response to infection, inflammation or malignancy</p></li></ul><p></p>
14
New cards

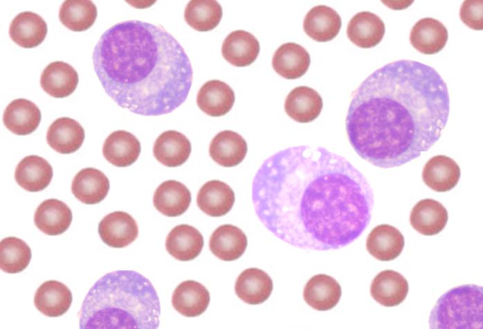
Multiple Myeloma

  • Disorder of plasma cells

  • Accumulation of plasma cells in bone marrow and other locations.

  • monoclonal proliferation of IgG antibodies

  • excess globulin production causes hyperviscosity of the blood (blurred vision and headaches)

  • Occurs at older age.

15
New cards

Multiple Myeloma Diagnosis

  • rouleaux formation in the PBS

    • nonspecific binding of red cells, caused by RBCs circulating in abnormal proteins

    • can cause falsely decreased RBC and elevated MCV and MCHC

    • elevated ESR

  • Bence Jones proteins are found in the urine

16
New cards

Symptoms of Multiple Myeloma

•Fatigue, due to anemia

•Excessive thirst/urination, due to excess calcium

•Nausea, due to excess calcium

•Bone pain/back and ribs, due to plasma cell acceleration

•Bone fractures, due to calcium leaching from bones into circulation. Punched out lesions on X ray.

•Unexpected infections, due to compromised immunity

•Weakness and numbness in the legs, due to vertebrae compression.

<p>•Fatigue, due to anemia</p><p>•Excessive thirst/urination, due to excess calcium</p><p>•Nausea, due to excess calcium</p><p>•Bone pain/back and ribs, due to plasma cell acceleration</p><p>•Bone fractures, due to calcium leaching from bones into circulation. Punched out lesions on X ray.</p><p>•Unexpected infections, due to compromised immunity</p><p>•Weakness and numbness in the legs, due to vertebrae compression.</p>
17
New cards

Waldenstrom's Macroglobulinemia

•Overproduction of IgM caused by abnormal B lymphocytes.

•Increased IgM interferes with coagulation factors by coating platelets and impeding their function.

•Hyperviscosity syndrome: slow flowing blood may lead to CNS symptoms ex. Vision disturbances, dizziness.

•Peripheral smear may show rouleaux and plasmacytoid lymphocytes.

•Cryoglobulins may be found in some patients

•May lead to Raynaud's phenomenon.

•Causes bleeding.

18
New cards

Waldenstrom's Macroglobulinemia Treatment

•Chemotherapy

•Possible stem cell transplantation

•Plasmapheresis: Blood is removed and separated; then, cells are returned, and offending plasma is discarded.

19
New cards

What is the most common presenting symptom in patients with CLL?

enlarged lymph nodes

20
New cards

What are the peripheral smear indicators of an autoimmune hemolytic anemia in a patient with CLL?

nRBCs and spherocytes

21
New cards

In contrast to other leukemias, which of the following conditions presents with pancytopenia?

hairy cell leukemia (HCL)

22
New cards

What is the most characteristic change seen in the PBS of a patient with multiple myeloma?

rouleaux formation