 Call Kai
Call Kai Learn
Learn Practice Test
Practice Test Spaced Repetition
Spaced Repetition Match
Match1/545
L1-14, UBC
| Name | Mastery | Learn | Test | Matching | Spaced | 
|---|
No study sessions yet.
Define cytosol. Which common ion is high in concentration?
What kind of mutations lead to tumours and cancers?
Mutations in cell cycle regulatory genes can cause uncontrolled cell division → tumour. Further mutations can make the tumour malignant, resulting in cancer.
What makes a mechanistic physiological explanation more complete?
It must include: stimulus, sensor, signal/integrator, effector, and outcome.
Differentiate tissue membrane vs fascia.
Membrane = epithelium + connective tissue.
Fascia = connective tissue only, supporting/separating organs.

What is this?
Muscle tissue

What is this?
Nervous tissue

What is this?
Epithelial tissue

What is this?
Connective Tissue
Why must all 4 tissue types be present in most organs?
What if basement membrane is lost?

What is this?
Gland

What is this?
Mesothelium

What is this?
Cuboidal

What is being labelled?
Keratin

Wht is this?
Pseudostraified + ciliated

What is this?
stratified squamous

What is this?
Endothelium

What is this?
Transitional
Apical vs Basolateral
In contact with lumen vs in contact with ISF
Why is simple squamous ideal for alveoli?
Why is blood connective tissue?
Compare loose vs dense connective tissue.
Loose = fewer fibers, more cell types, flexible (areolar, adipose, reticular).
Dense = more fibers, fewer cells, strong (tendons, ligaments).
Why do tendons heal poorly?
What if collagen is defective?
Why do old wounds reopen with vitamin C deficiency?
Why do wounds bleed more after knocking off a scab?

What is this and what are the arrows pointing at?
connective tissue proper, black = elastin, organge = collagen
Is cartilage a connective tissue? Why?
Yes — cells (chondrocytes) in ECM with collagen/ground substance.
Predict the consequence of impaired fibroblast activity during repair.

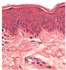
What is this?
Thin skin

what is this?
thick skin