Lymph Node Cytology

0.0(0)
studied byStudied by 0 people
0.0(0)
full-widthCall with Kai
GameKnowt Play
New
learnLearn
examPractice Test
spaced repetitionSpaced Repetition
heart puzzleMatch
flashcardsFlashcards
Card Sorting

1/19

encourage image

There's no tags or description

Looks like no tags are added yet.

Study Analytics
Name
Mastery
Learn
Test
Matching
Spaced

No study sessions yet.

20 Terms

1
New cards

Reasons why a lymph node can be enlarged?

Abundant fat in capsule (due to BCS or age), a reactive lymph node where lymphocyte within have met their specific antigen, a lymphadentitic lymph node (infiltration of inflammatory cells either due to draining an area of inflammation or of the node itself), or a neoplasticism lymph node (increase in immature large lymphocytes)

2
New cards

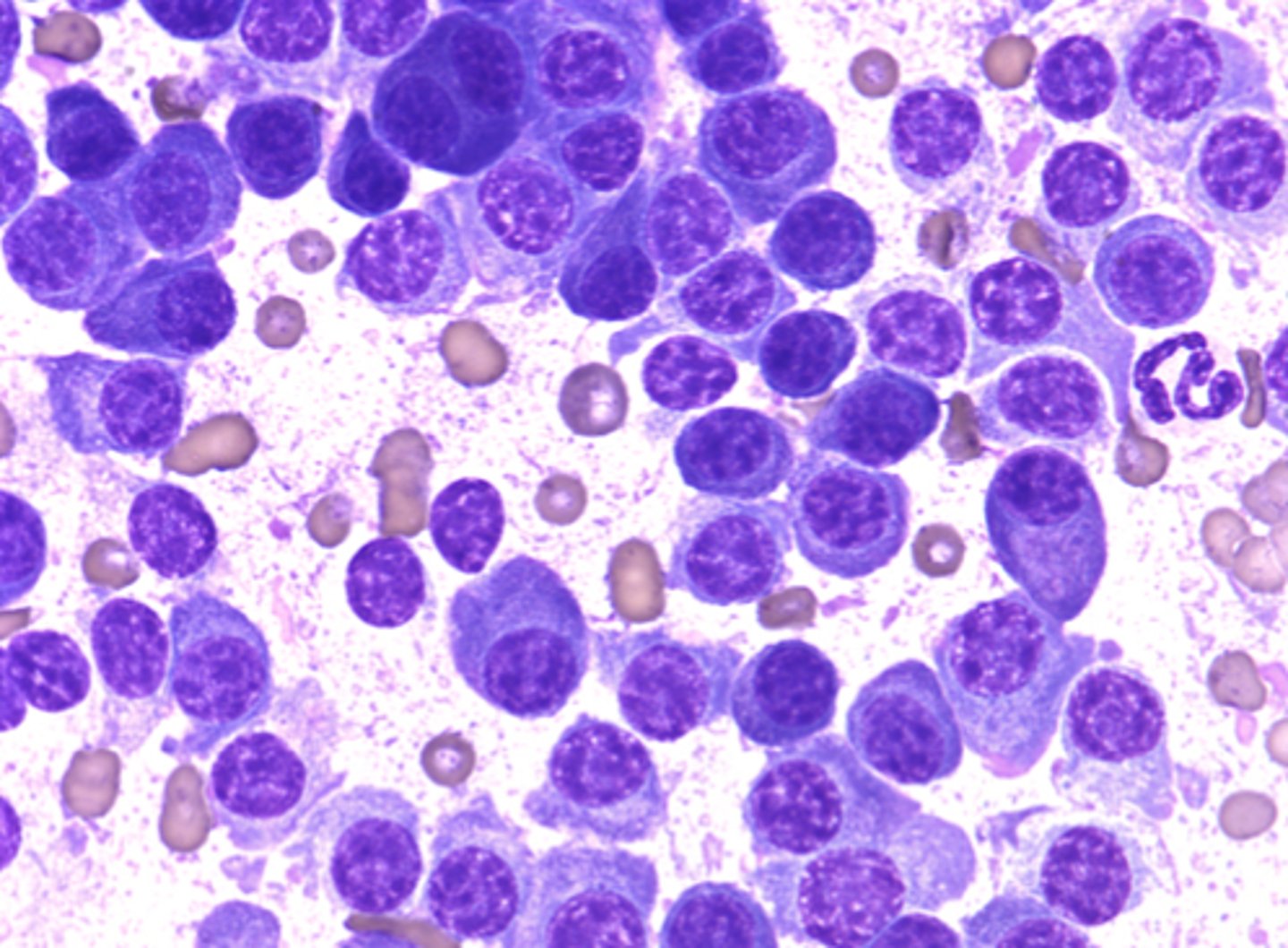
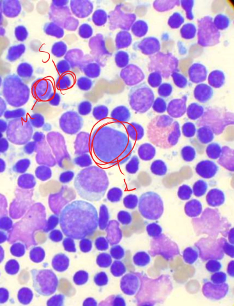
Small lymphocytes in lymph node

knowt flashcard image
3
New cards

Large lymphocytes in lymph node

knowt flashcard image
4
New cards

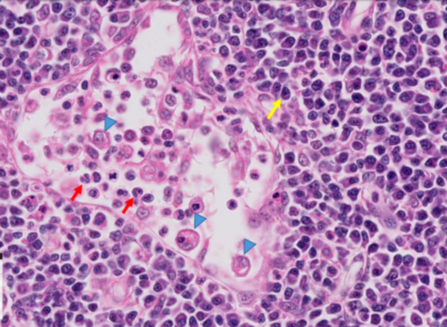
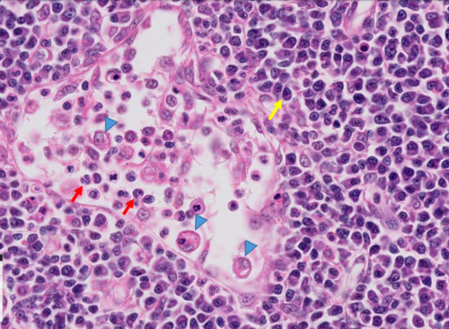
Plasma cell in lymph node - yellow arrow

knowt flashcard image
5
New cards

Macrophage in lymph node - blue arrows

knowt flashcard image
6
New cards

What criteria will you use to determine the size of lymphocytes?

Size of neutrophils?

7
New cards

What would a normal lymph node cytology sample consist of?

Composed mostly of small lymphocytes (80-90%), low numbers of immature lymphocytes, and low numbers of other cells such as macrophages, neutrophils, plasma cells, etc

8
New cards

Which lymph node might you sample if a mass/lesion is found on the manus, antebrachium, or lateral brachium, neck or back of head?

Superficial cervical lymph node

9
New cards

Which lymph node might you sample if a mass/lesion is found on the pes or crus?

Popliteal lymph node.

10
New cards

Which lymph node might be swollen if a mass or lesion is on the medial aspect of the brachium, a deep structure of the thoracic wall, thoracic mammary and cranial abdominal mammal?

Axillary lymph node

11
New cards

How could you tell if you took a sample of salivary gland, rather than the mandibular lymph nodes

Upon cytology, salivary gland cells will clump together like epithelium, while lymph node cells would not do this. You should also expect to see lymphocytes in lymph node tissue, but not in the salivary gland

12
New cards

Plasma cells

knowt flashcard image
13
New cards

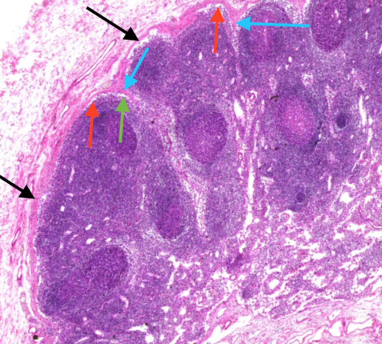
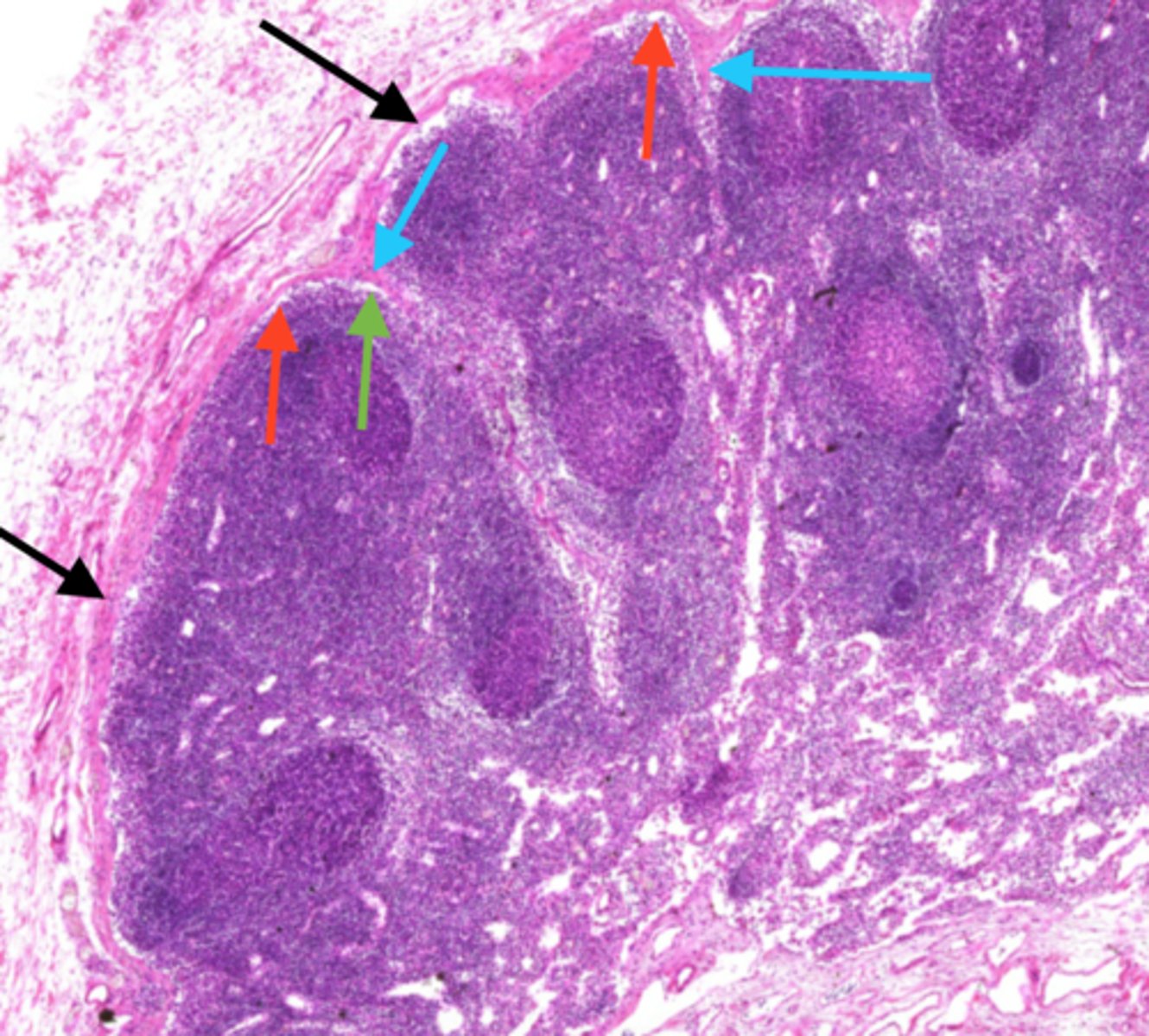
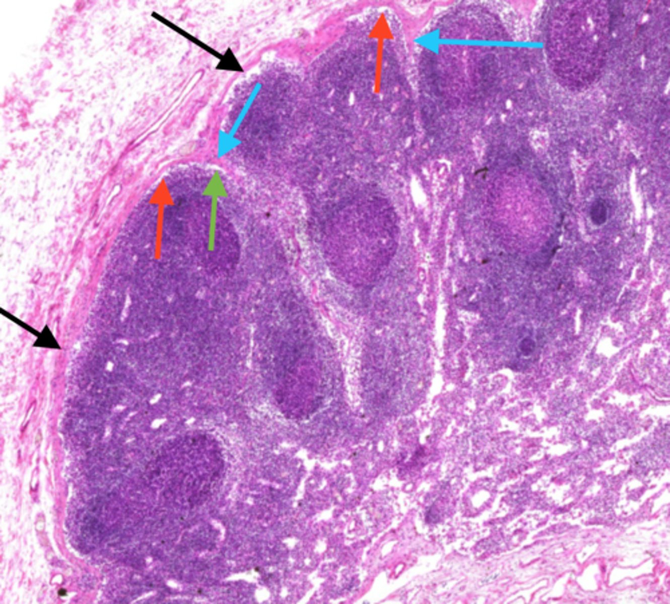
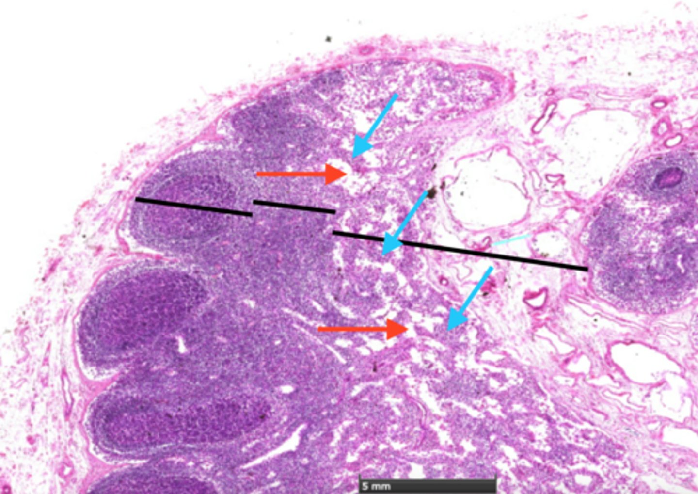
Trabecula of Lymph node

(indicated by blue arrow)

<p>(indicated by blue arrow)</p>
14
New cards

Subcapsular sinus of lymph node

(indicated by red arrows)

<p>(indicated by red arrows)</p>
15
New cards

Trabecular Sinus of lymph node

(indicated by green arrows)

<p>(indicated by green arrows)</p>
16
New cards

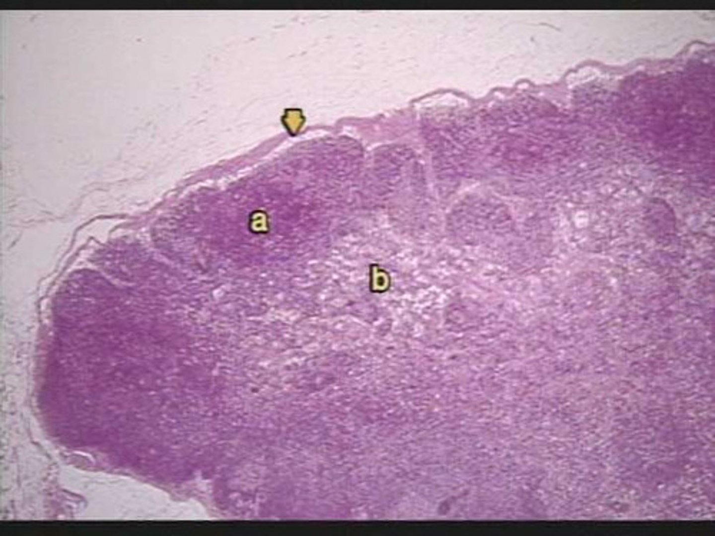
Lymphatic Nodules (follicles)

knowt flashcard image
17
New cards

Capsule of Lymph node

indicated by yellow arrow

<p>indicated by yellow arrow</p>
18
New cards

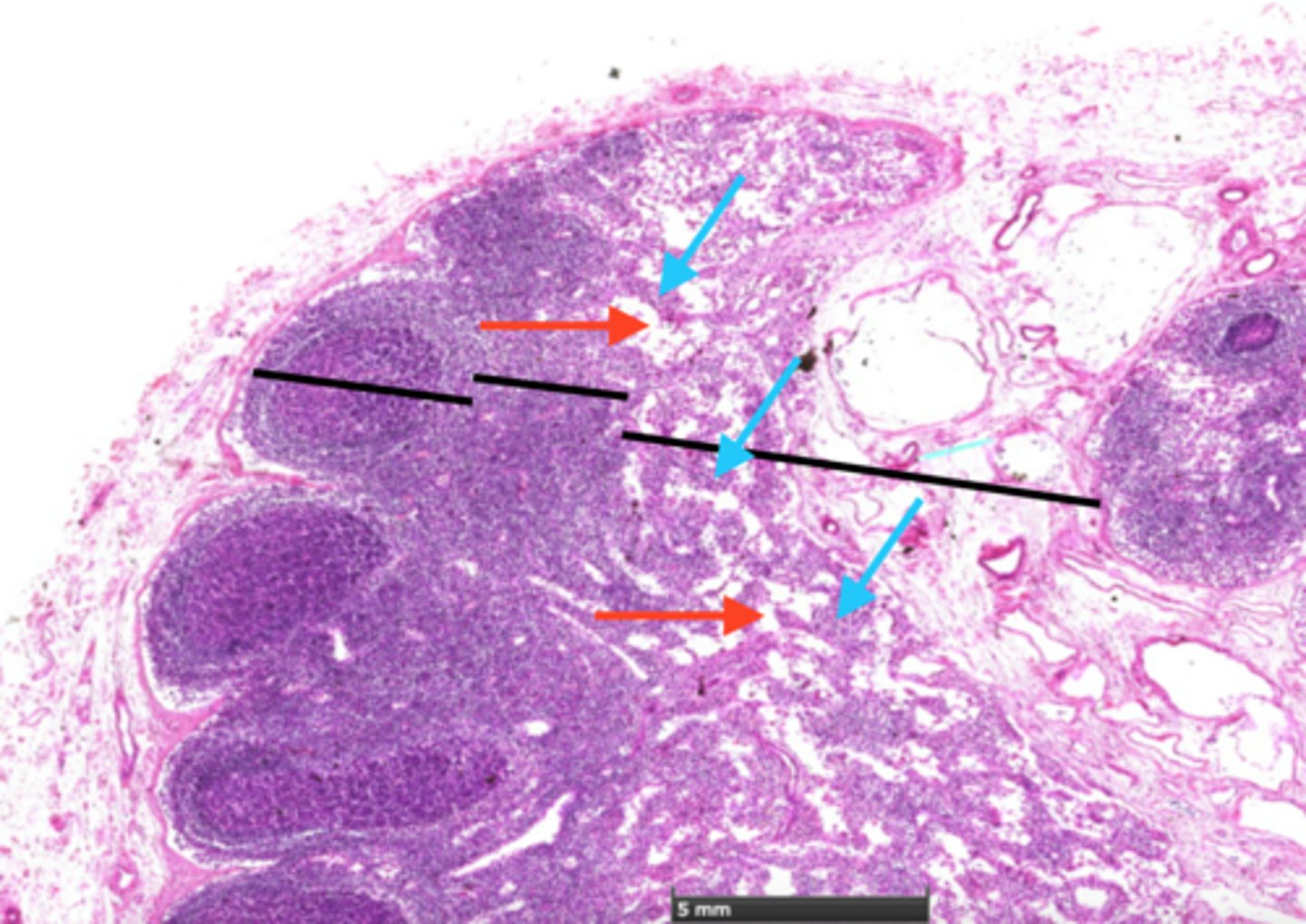
medullary sinuses of lymph node

indicated by red arrows

<p>indicated by red arrows</p>
19
New cards

Medullary cords of lymph node

indicated by blue arrows

<p>indicated by blue arrows</p>
20
New cards

consider buying Sarah a coffee :)

your contribution is much appreciate and supports a resident during their boards studying

<p>your contribution is much appreciate and supports a resident during their boards studying</p>