Benign Solid Breast Masses

0.0(0)
studied byStudied by 0 people
full-widthCall with Kai
GameKnowt Play
learnLearn
examPractice Test
spaced repetitionSpaced Repetition
heart puzzleMatch
flashcardsFlashcards
Card Sorting

1/61

encourage image

There's no tags or description

Looks like no tags are added yet.

Study Analytics
Name
Mastery
Learn
Test
Matching
Spaced

No study sessions yet.

62 Terms

1
New cards

What is fibrocystic condition?

magnification of normal physiologic processes of breast tissue

2
New cards

The tissue in the fibrocystic condition is:

-very fibrous

-dense

-has many cysts

3
New cards

Fibrocystic Condition fluctuates with?

hormonal cycles

4
New cards

Fibrocystic Condition may _______ or _______ breast tumor

mimic or obscure

5
New cards

Fibrocystic Condition is typically a

bilateral process

6
New cards

What is the most common diagnosis at breast biospy?

fibrocystic condition

7
New cards

What are the clinical signs of fibrocystic condition?

-pain

-lumps or lumpy

8
New cards

What is the appearance of fibrocystic condition on mammogram?

-diffuse benign microcalcifications

-adenosis (breast glands are enlarged)

-multiple round masses

-very bright

9
New cards

What is the appearance of fibrocystic condition on Ultrasound?

-various appearances depending on stage

-multiple round masses/cysts

10
New cards

What is this image showing?

fibrocystic condition

11
New cards

What does fibrocystic condition look like microscopicly?

-apocrine metaplasia

-dilated acini

-fibrosis

-epithelial ductal hyperplasia (overgrowth of cells lining the breast)

-sclerosing adenosis (enlarged lobules)

12
New cards

Fibrocystic Condition and Breast Cancer Risk:

  1. non-proliferative lesions

  2. proliferative lesions without atypical cells

  3. proliferative lesions with atypical cellular changes

13
New cards

What is the most common premenopausal benign tumor?

fibroadenoma (30%)

14
New cards

Fibroadenoma is

hormone dependent

15
New cards

What is the composition of fibroadenoma?

-connective

-epithelial

16
New cards

What is the appearance of a fibroadenoma on mammogram?

-radiopaque: brighter on xray/mammo

-oval or round mass

-circumscribed

-smooth margins

-may have lobulated contour or notching

-thin radiolucent halo

-eggshell calcification indicates older lesion

17
New cards

What is this image showing?

fibroadenoma on mammo

18
New cards

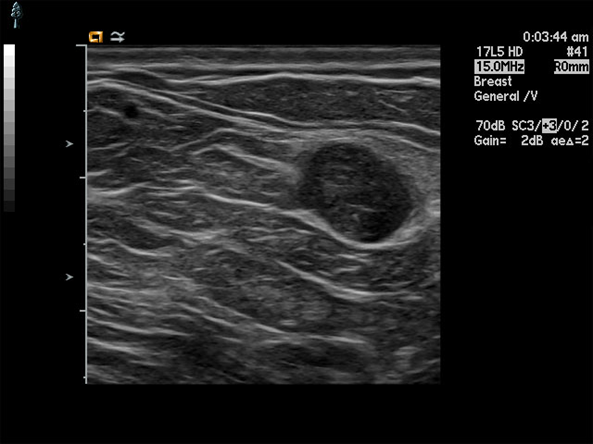
What is the sonographic appearance of an fibroadenoma?

-smooth walls

-oval to round

-lobulations

-homogeneous

-hypoechoic

-may enhance

-bilateral edge shadows

-horizontal

-slightly compressible

-mobile

19
New cards

What are theses images showing?

fibroadenoma on ultrasound

20
New cards

What is this image showing?

a giant fibroadenoma/juvenile fibroadenoma

21
New cards

What is a juvenile fibroadenoma?

-10-20 years old

-extremely large: 6-8 cm

-excision (remove them because cause discomfort

22
New cards

What is a lipoma?

fatty tumor

-encapsulated fat cells

23
New cards

What are the clinical signs of a lipoma?

mobile and palpable

24
New cards

What are the mammo features of a lipoma?

-radiolucent

-smooth margins

they blend in very well

25
New cards

What are the sonographic features of a lipoma?

-isoechoic

-smooth borders

difficult to see on ultrasound

26
New cards

What is this image showing?

lipoma

27
New cards

What is a hot, red breast mean?

inflammation or an infection

28
New cards

What is inflammation of the breast?

mastitis -inflammatory breast cancer

29
New cards

What are the treatments for mastitis?

antibiotics and imaging

30
New cards

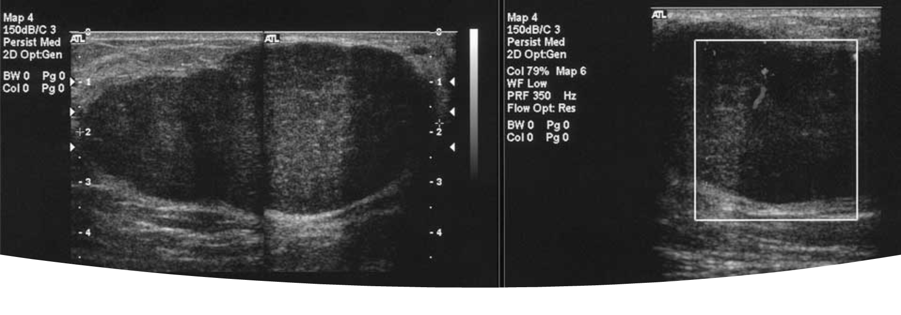
What is the sonographic appearance of mastitis?

-dominant atypical cystic lesion

-possible ductal dilation

31
New cards

What is acute mastitis caused from?

-infection

-trauma

-ductal obstruction

32
New cards

What are the clinical signs of mastitis?

-enlarged

-reddened

-tender

-confined to 1 area

33
New cards

What are these images showing?

acute mastitis

34
New cards

What does chronic mastitis look like?

glandular tissue involvement

-mixed and diffuse echo pattern

-nipple discharge

-retracted/inverted nipple

35
New cards

Chronic Mastitis has what appearance on ultrasound?

heterogeneous

36
New cards

What are these images showing?

chronic mastitis 

37
New cards

Acute Abscess is

poorly defined

38
New cards

Mature abscess is

well encapsulated

39
New cards

What are the clinical signs and symptoms of an abscess?

-pain

-swelling

-reddening

40
New cards

What is this image showing?

a breast abscess

41
New cards

What is the sonographic appearance of an abscess?

-diffuse mottled appearance

-irregular margins

-posterior enhancement

-low level internal echoes

-skin thickening

-hyperemia

42
New cards

What are phyllodes?

rare <1% of breast neoplasms

-transitional

43
New cards

Phyllodes are transitional meaning?

they can turn malignant 27% malignant

44
New cards

What age group does phyllodes fall under?

50-60 years old

45
New cards

What are the clinical features of phyllodes?

rapid growth

46
New cards

What are the sonographic features of phyllodes

similar to fibroadenoma

47
New cards

What is this image showing?

phyllodes

48
New cards

What is a small benign tumor within the acini (ducts) of the breast?

intraductal papilloma

49
New cards

What is the age group of intraductal papilloma?

35-55 years old

50
New cards

What are symptoms of intraductal papilloma?

nipple discharge

51
New cards

What are the sonographic features of intraductal papilloma?

-ductal dilation 

-internal echoes

-blend in pretty well and are small

52
New cards

What is this image showing?

intraductal papilloma

53
New cards

What are traumatic changes of the breast?

-acute trauma

-post-surgical changes

-post-radiation changes

54
New cards

What are other benign findings of the breast?

lymph nodes and papilloma

55
New cards

What is common after surgeries and are caused by serum in tissues?

seroma

56
New cards

What are the sonographic features of a seroma?

fluid collection

septations

57
New cards

What is this image showing?

seroma

58
New cards

Post Surgical/Radiation Changes:

similar imaging appearance

different causes

-focal distortion

-irregular mass

should not have any blood flow within them

59
New cards

What is this image showing

a lumpectomy scar

60
New cards

What are benign breast tissue appear as?

displaced or compressed tissue

61
New cards

What does distorted breast tissue appear as

inflammation

post radiation

trauma

62
New cards

What is this image showing?

lumpectomy post radiation