1/43
Looks like no tags are added yet.
Name | Mastery | Learn | Test | Matching | Spaced |
|---|
No study sessions yet.
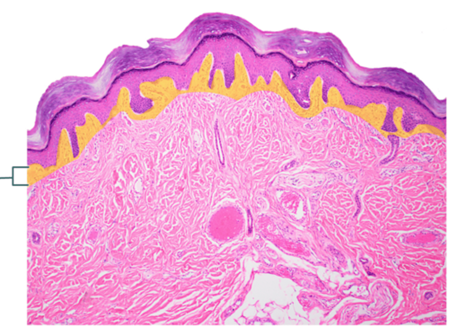
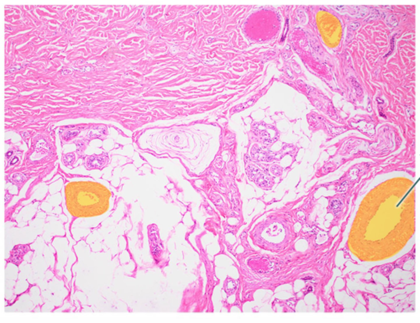
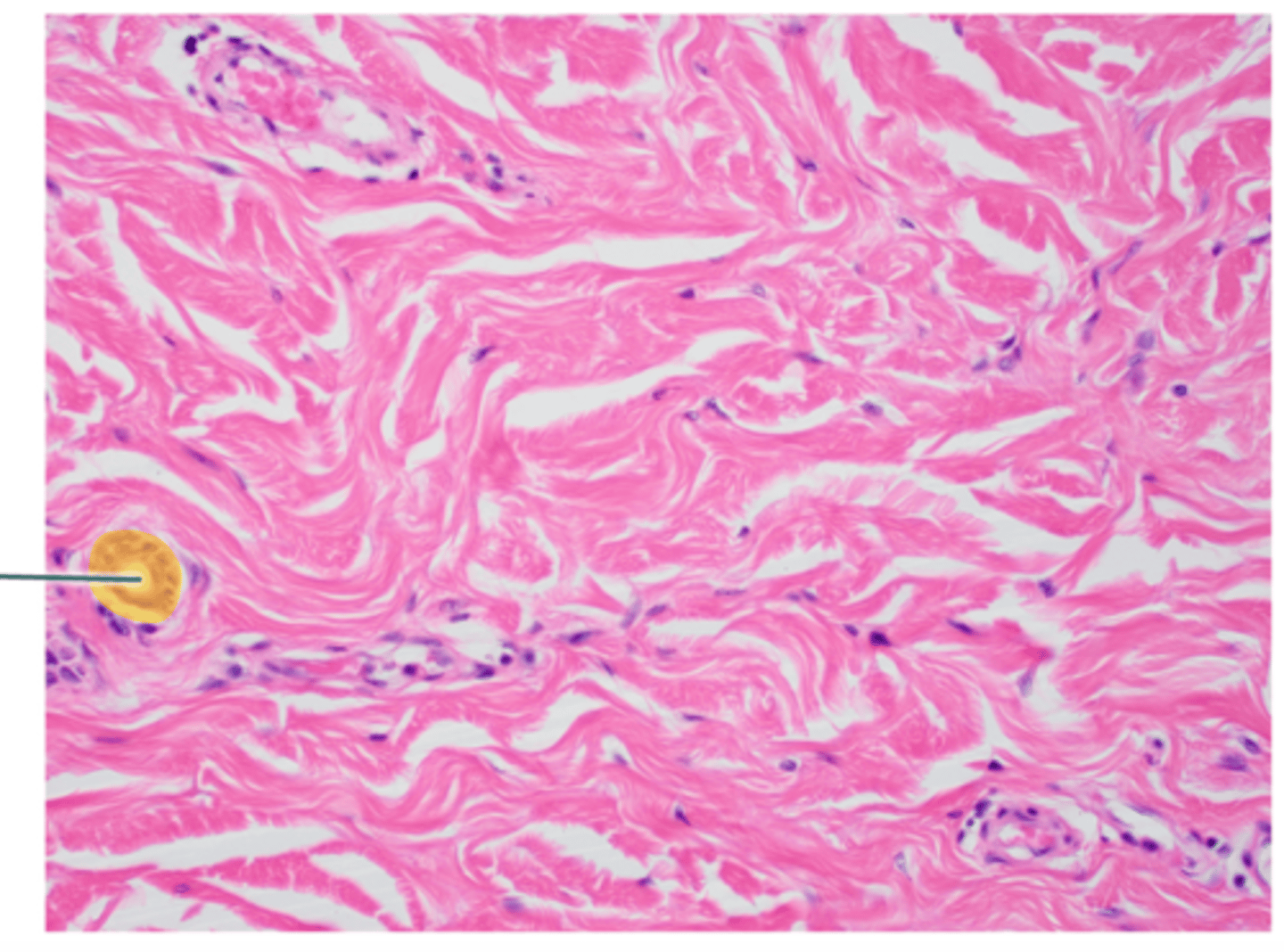
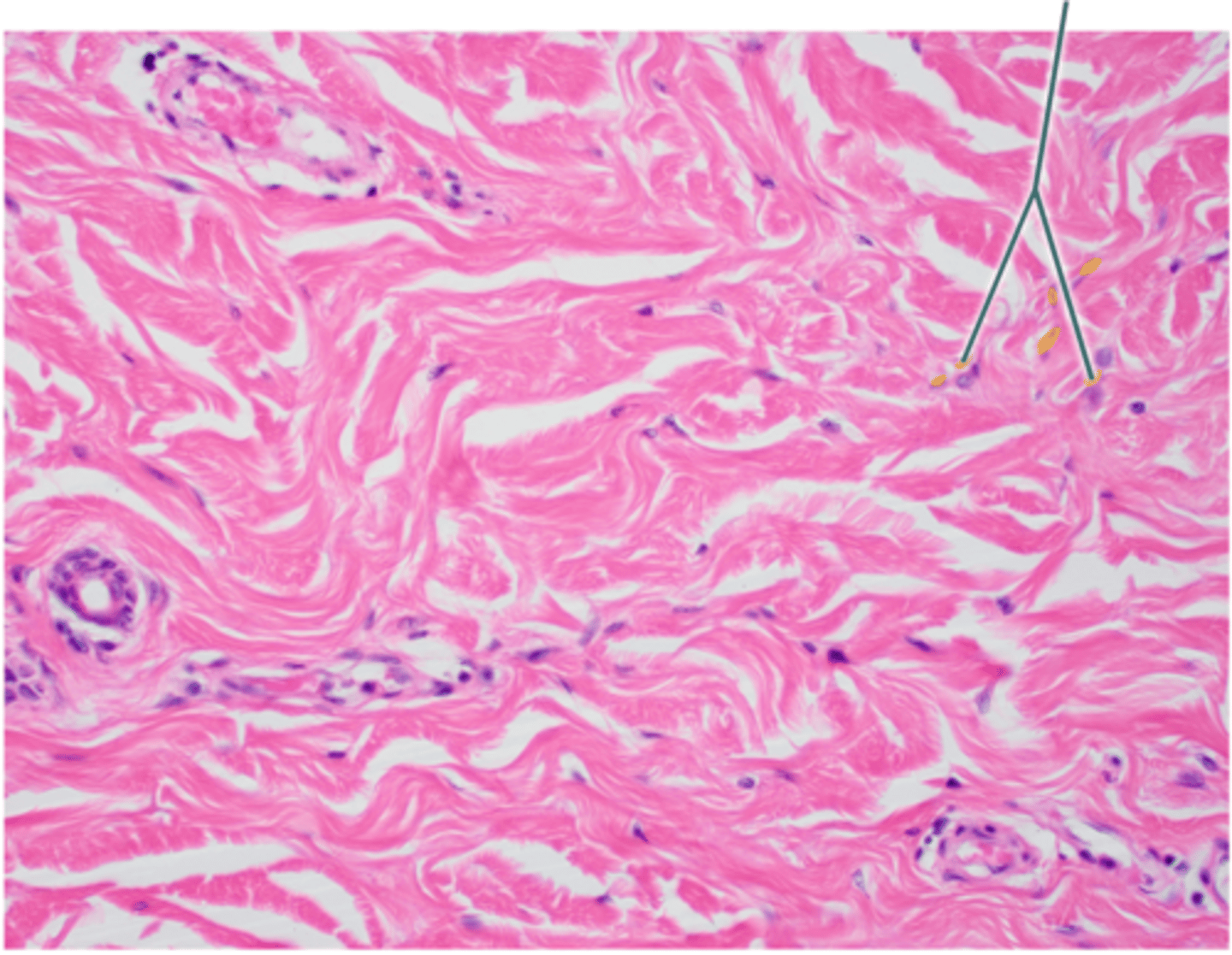
Dermis

Blood Vessels

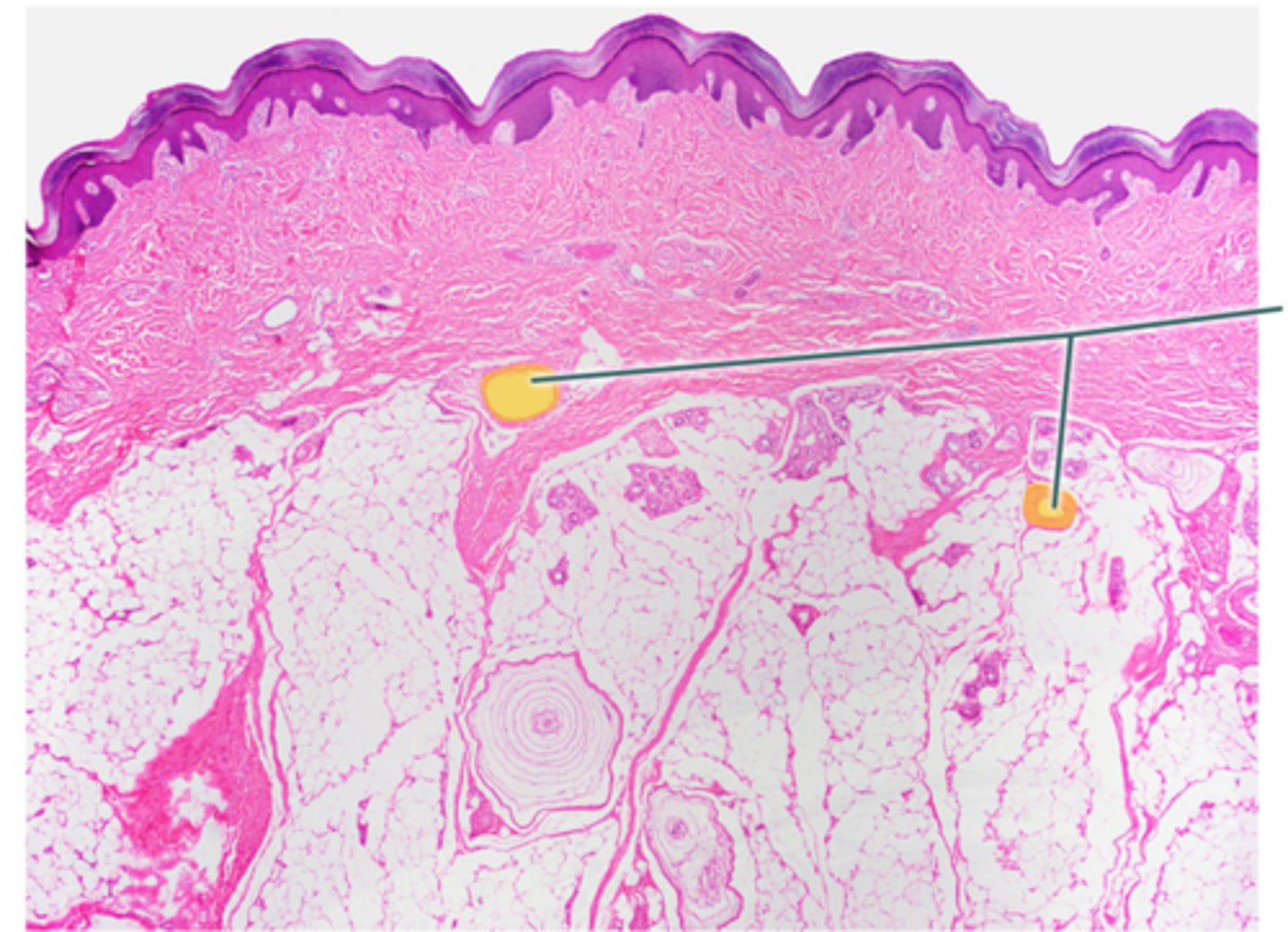
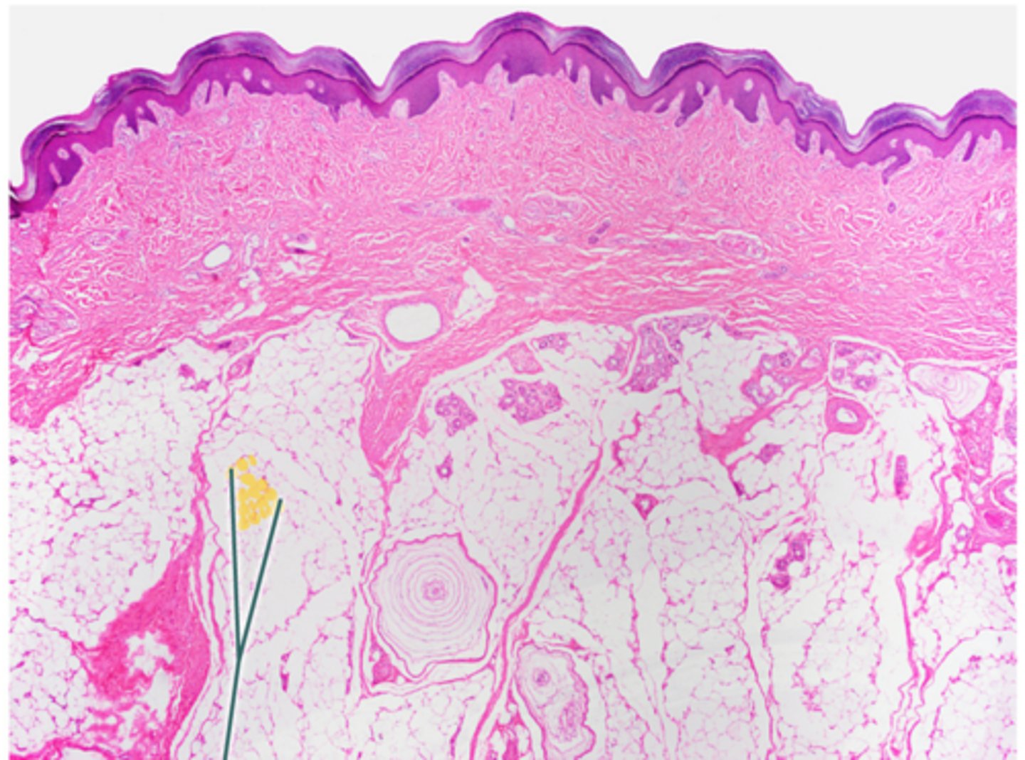
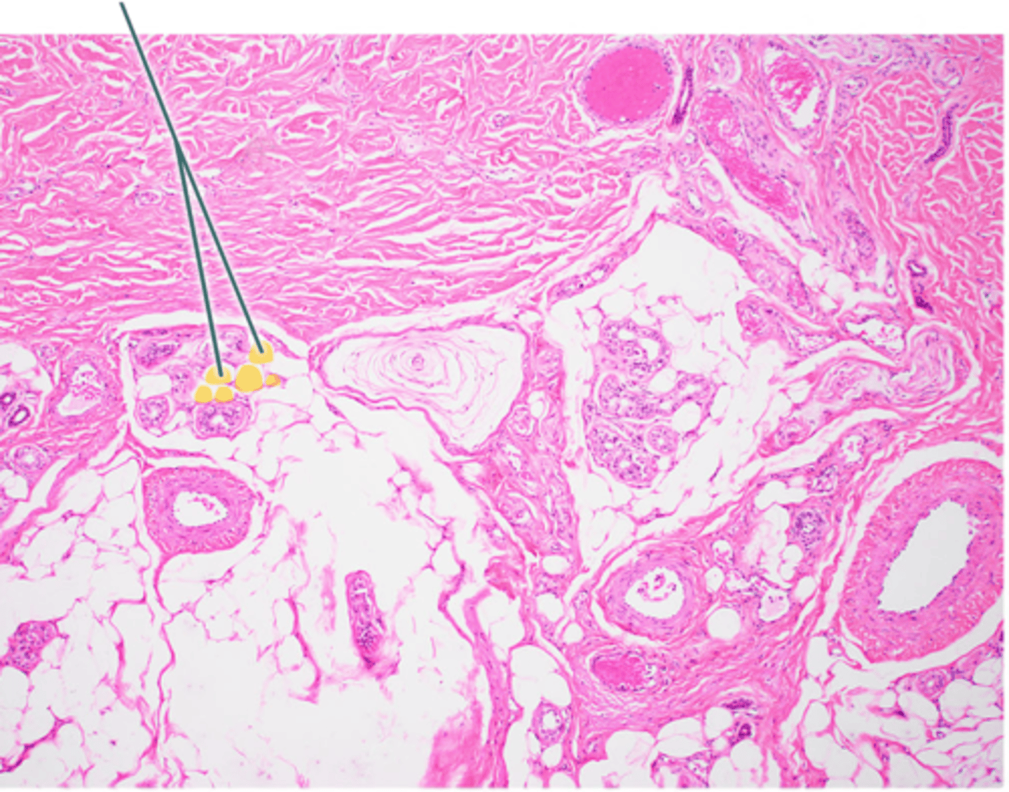
Eccrine Sweat Gland

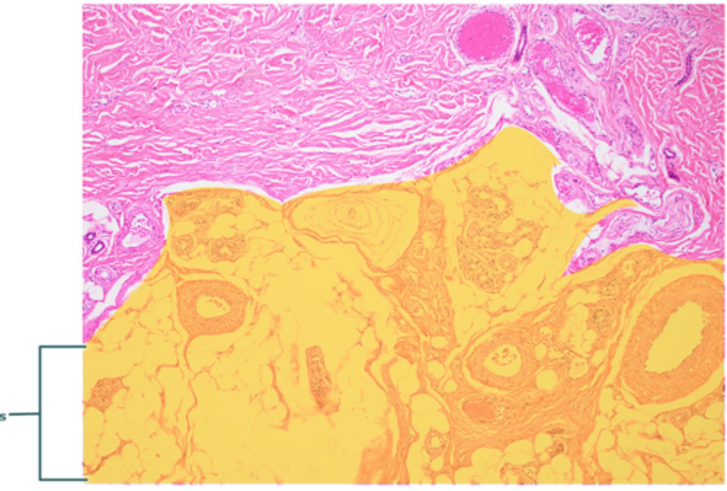
Adipocytes

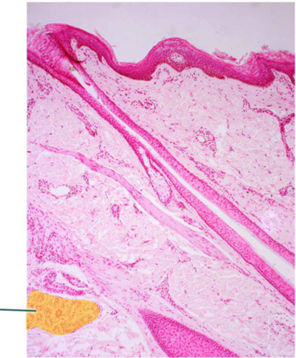
Epidermis

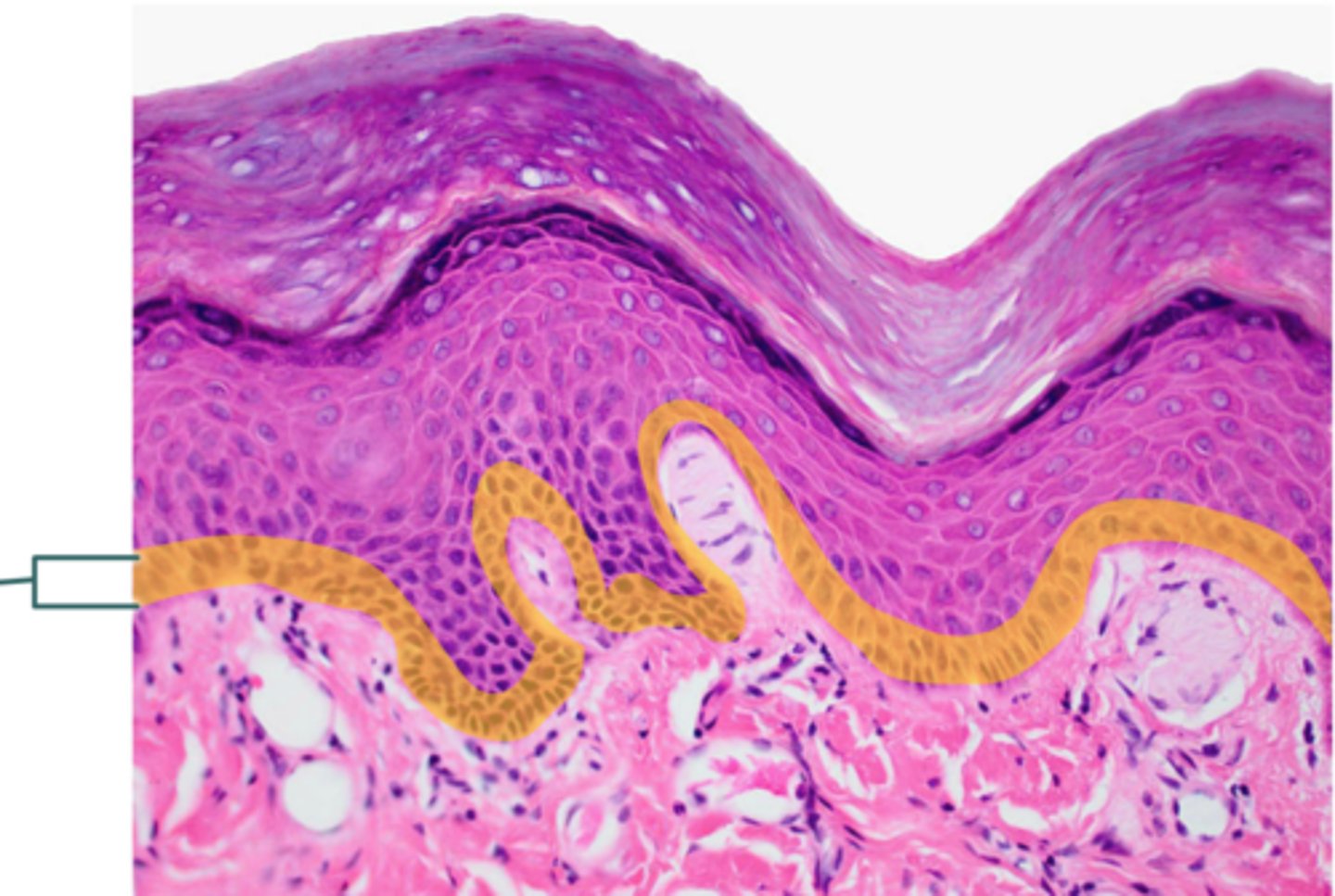
Papillary Layer of Dermis

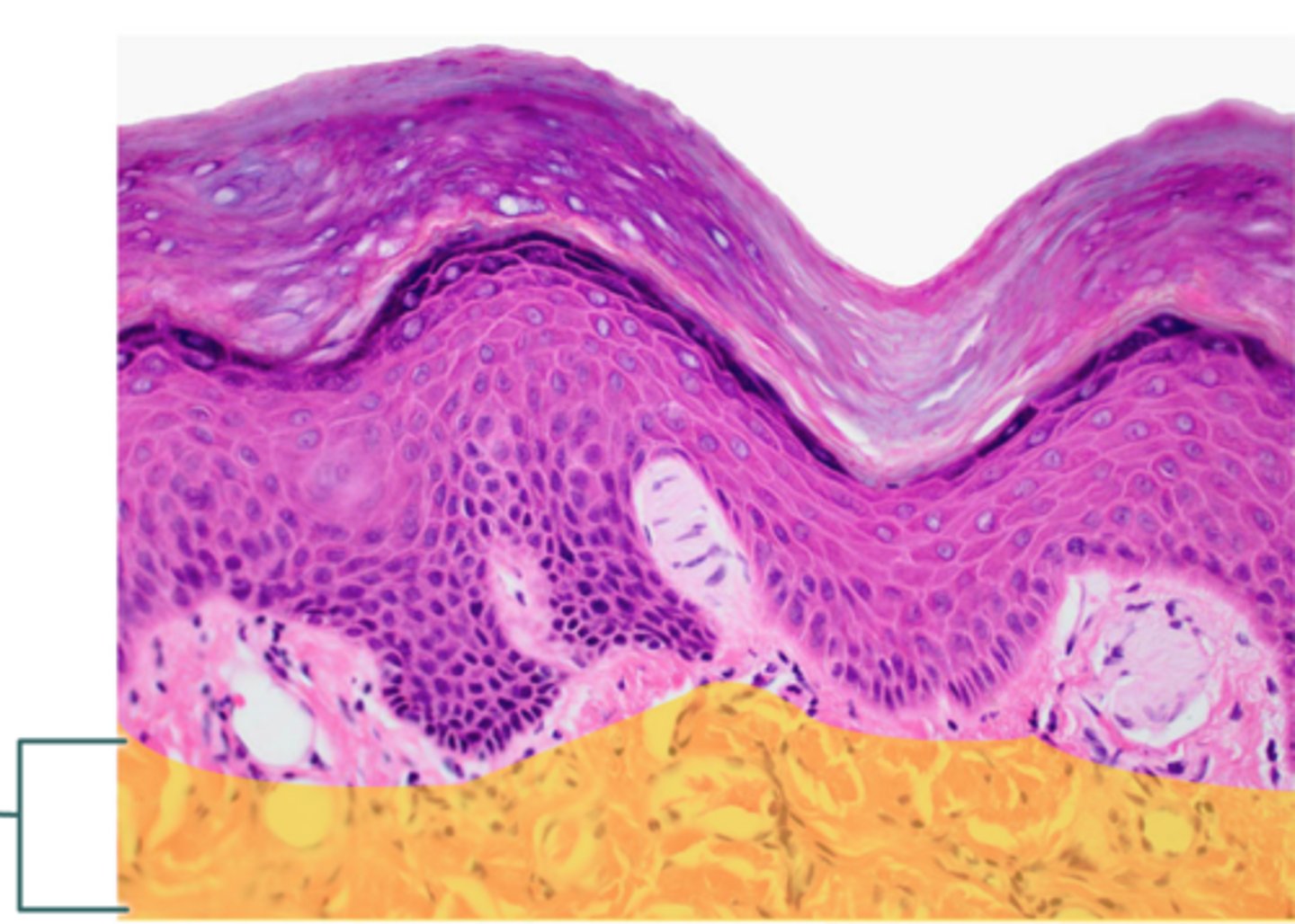
Reticular Layer of Dermis

Collagen Fibers

Hypodermis

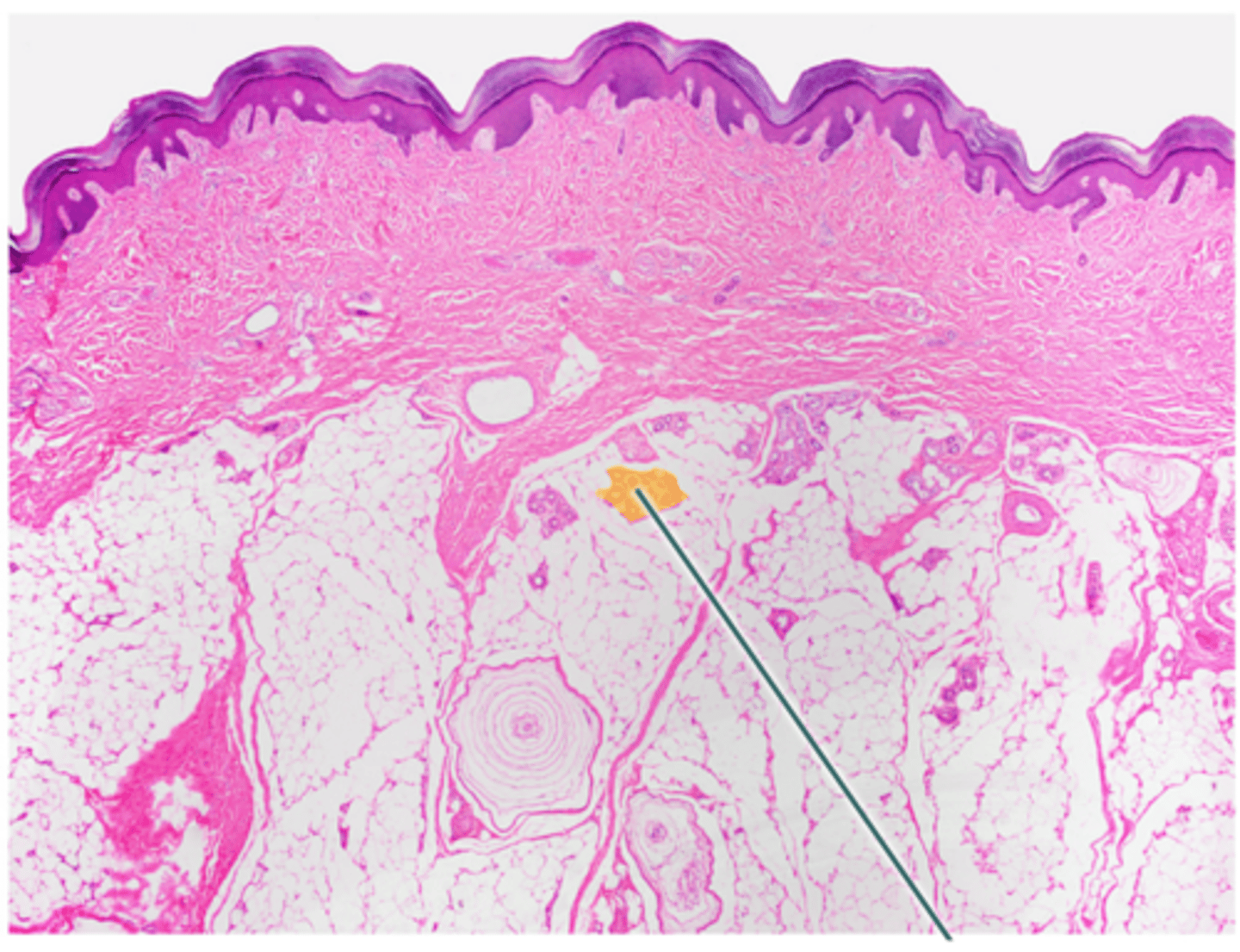
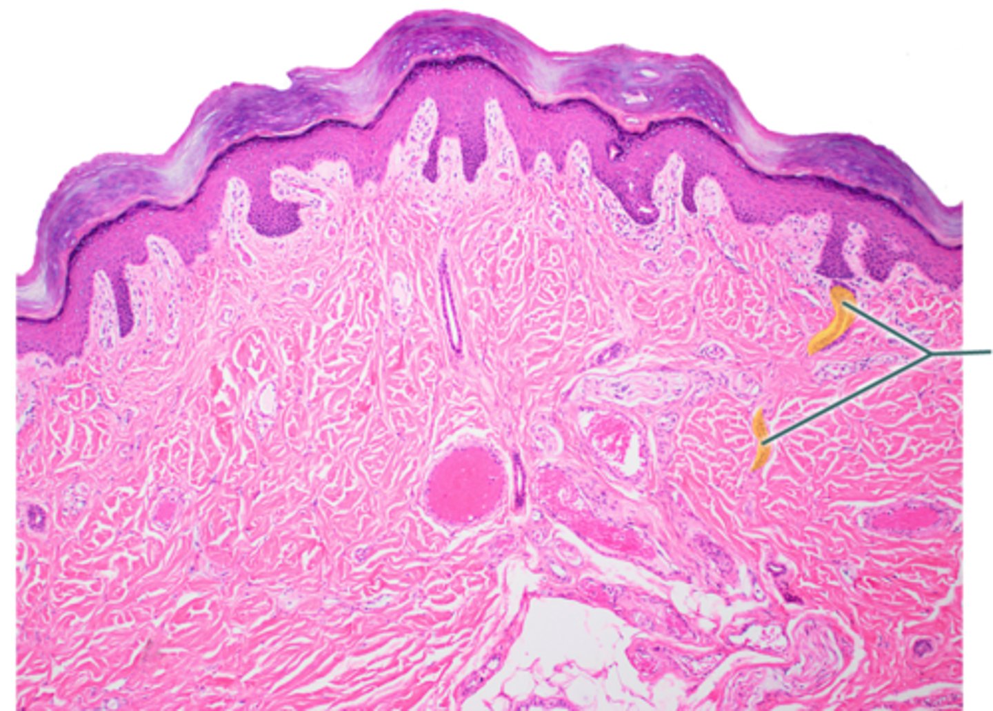
Eccrine Ducts

Hypodermis

Adipocytes

Collagen Fibers

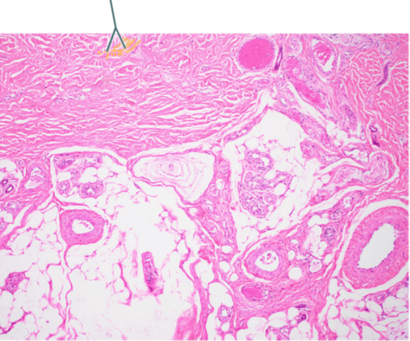
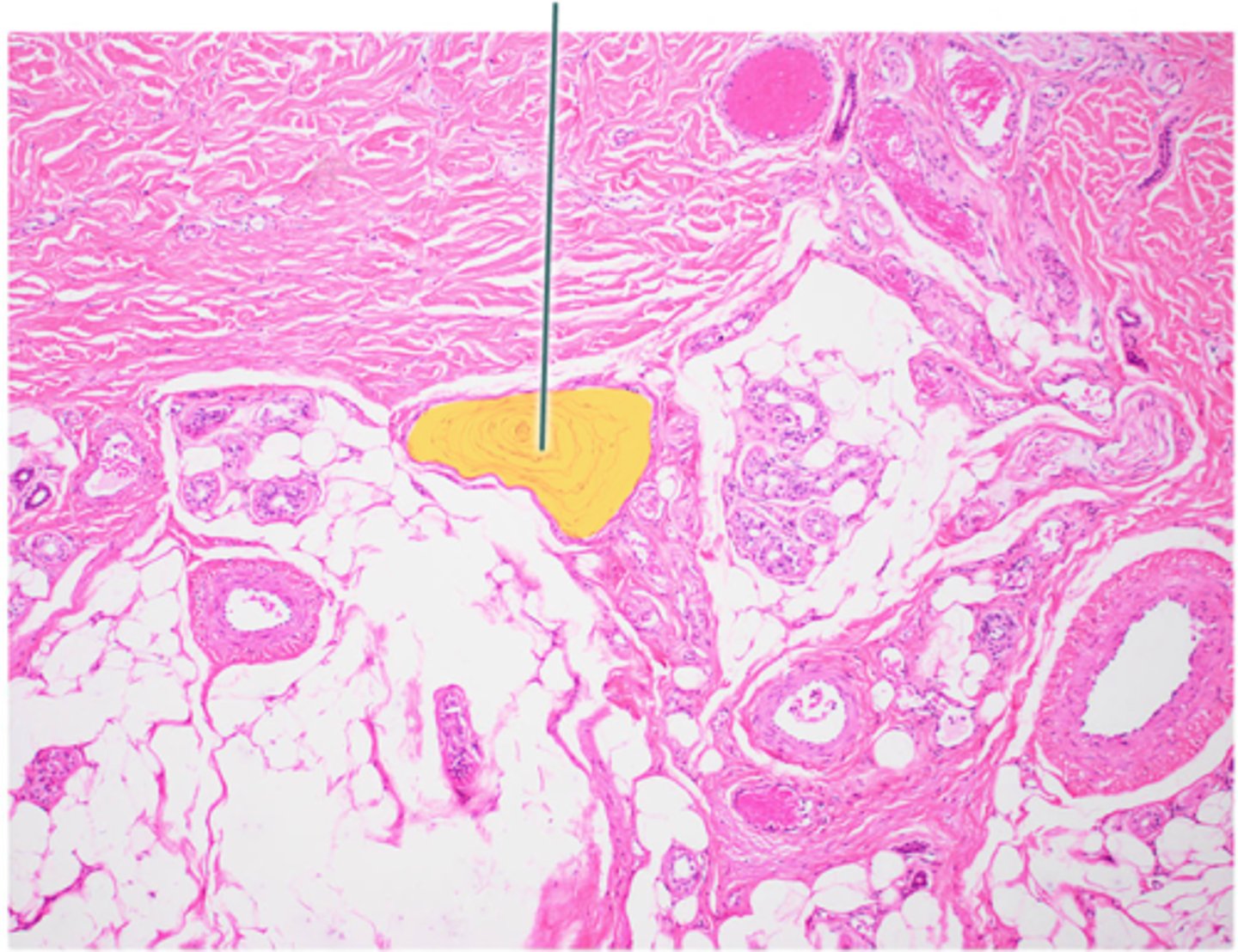
Pacinian Corpuscle

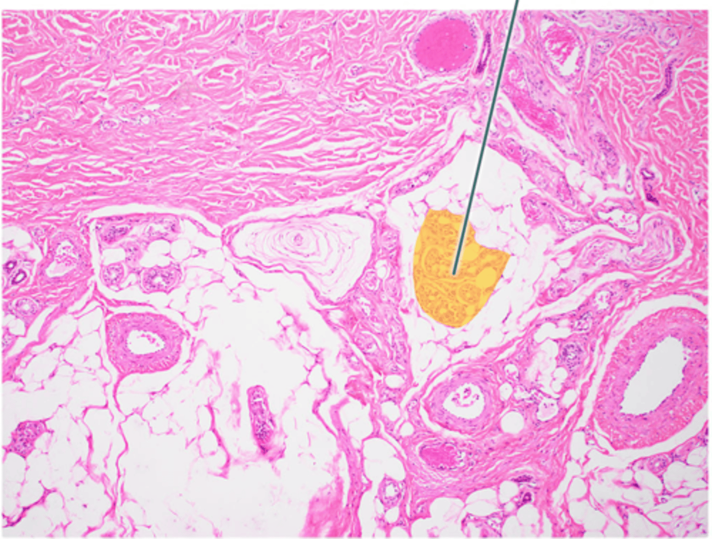
Eccrine Sweat Gland

Eccrine Ducts

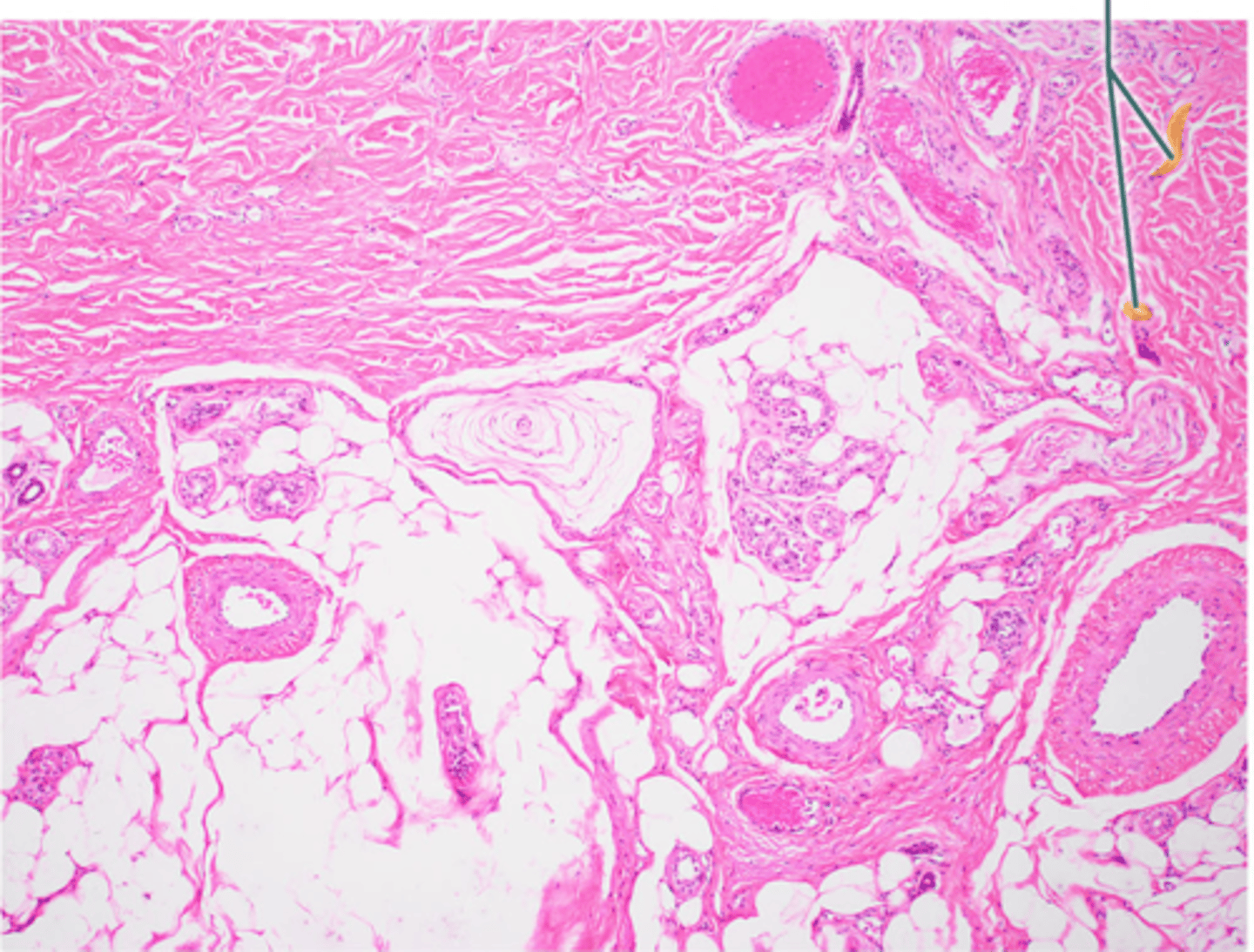
Blood Vessel

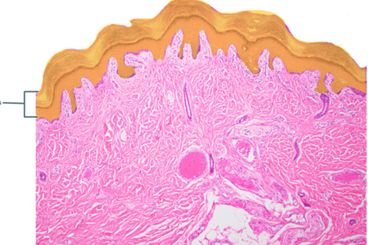
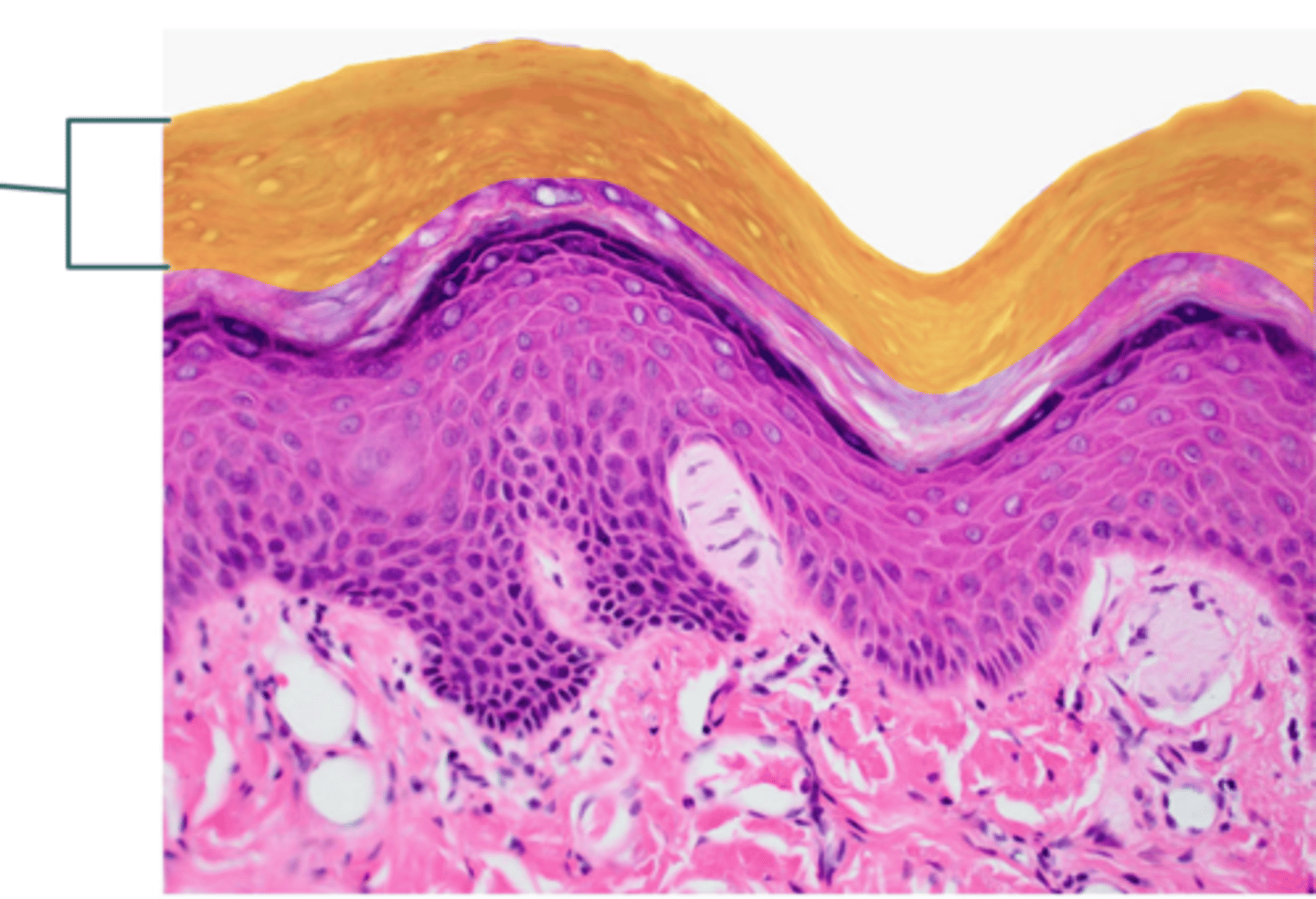
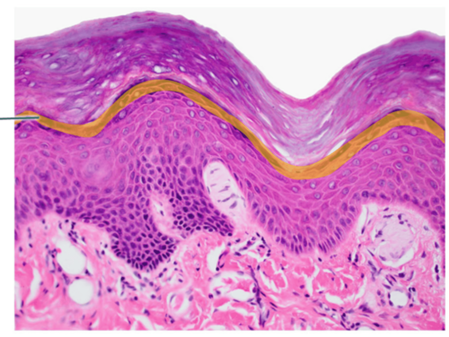
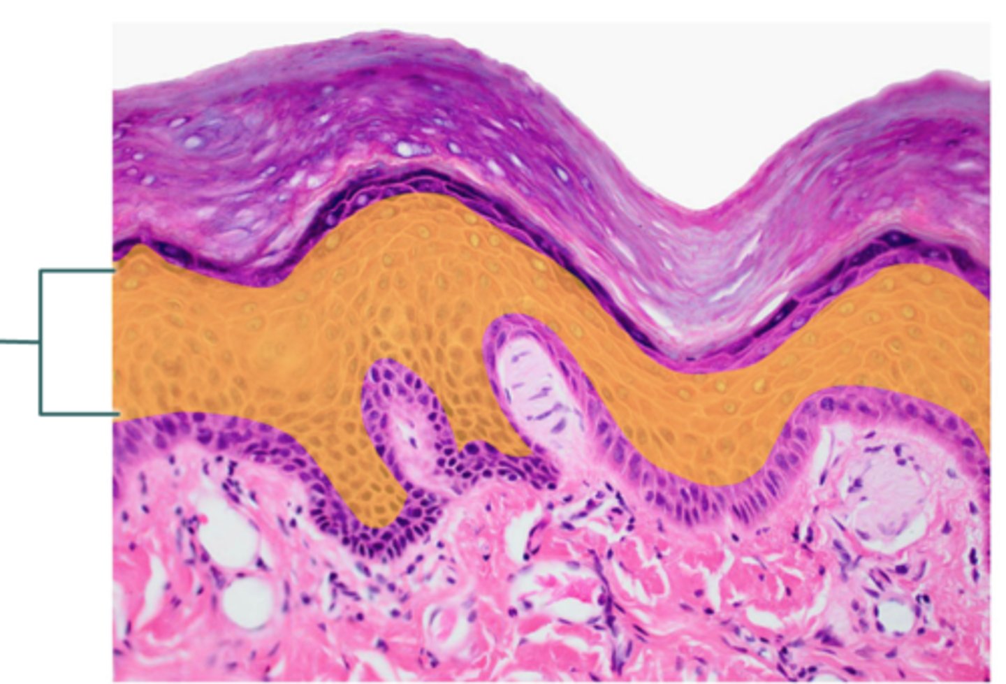
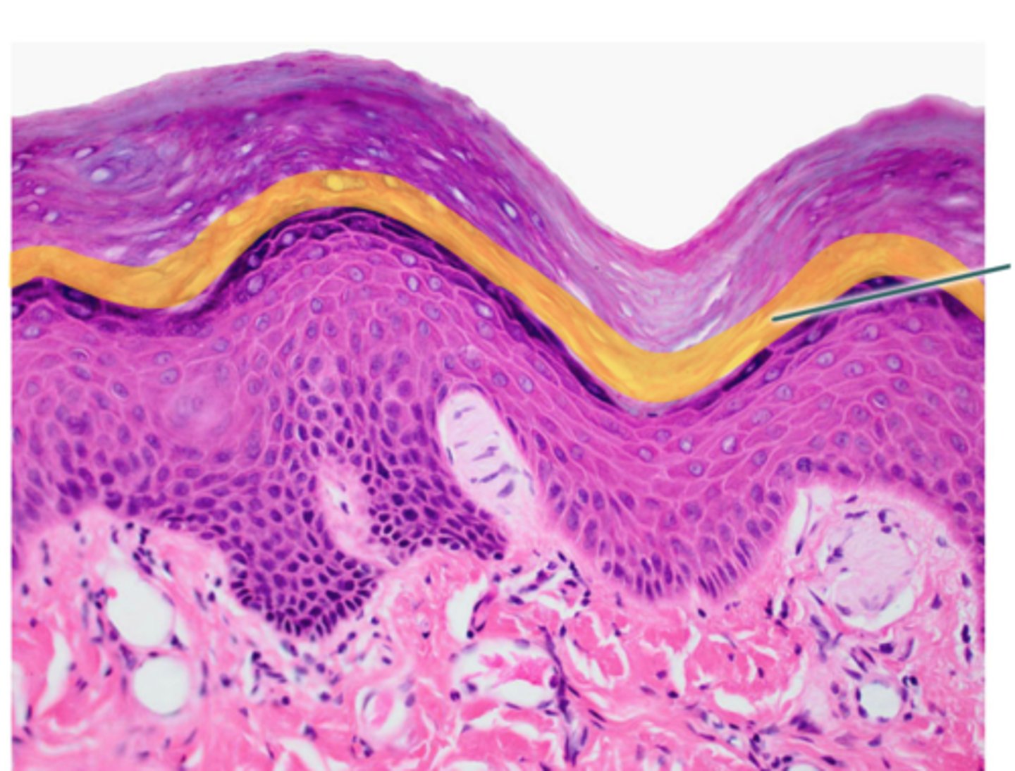
Stratum Corneum

Stratum Granulosum

Stratum Spinosum

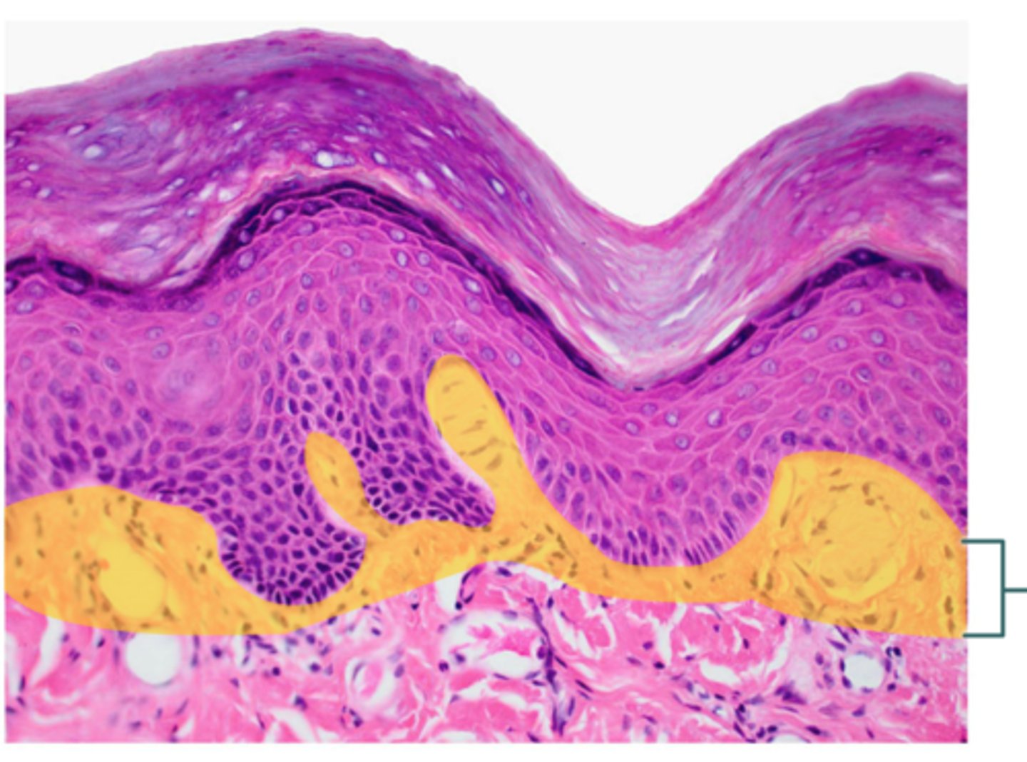
Stratum Basale

Reticular Layer of Dermis

Stratum Lucidum

Papillary Layer of Dermis

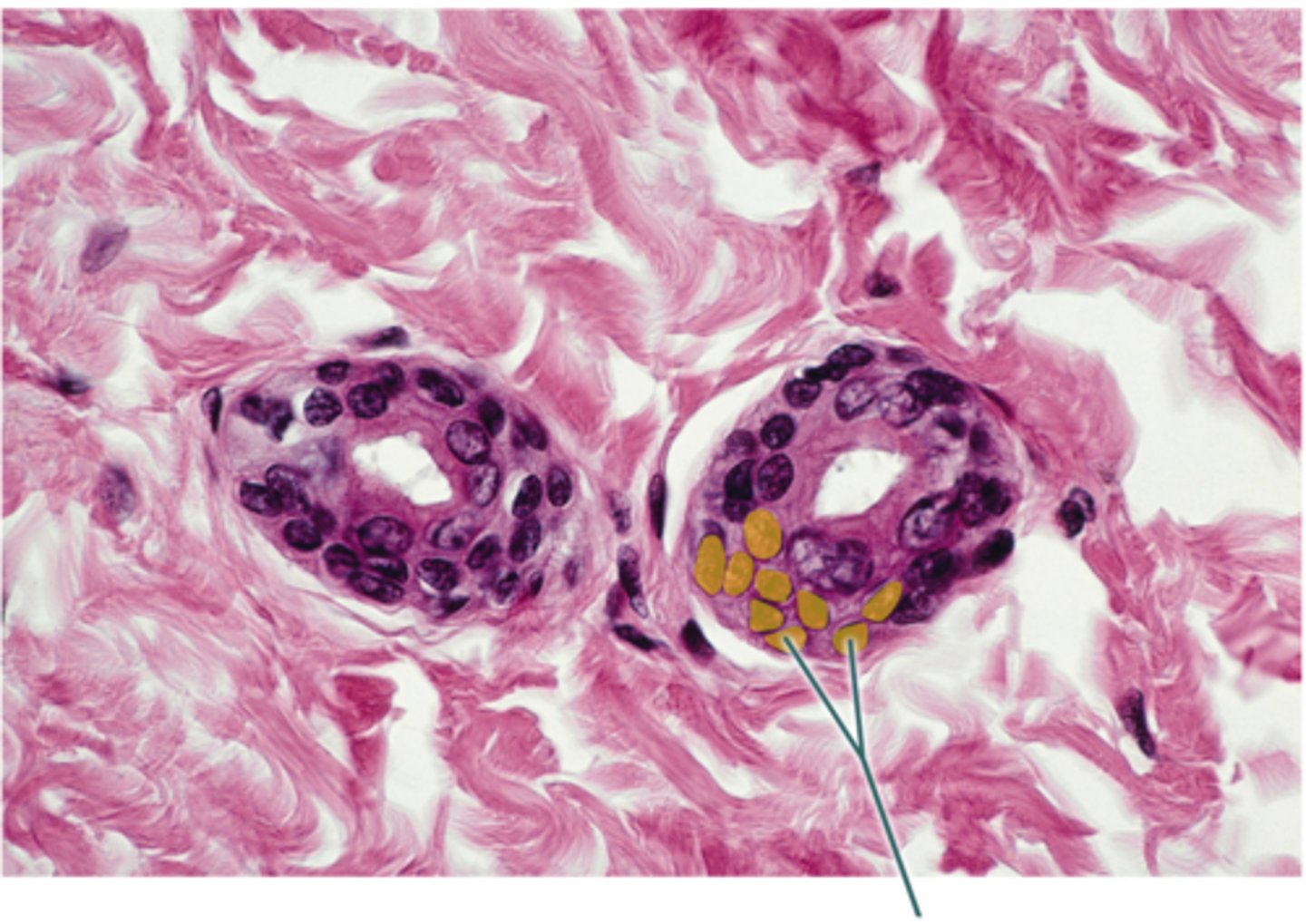
Eccrine Duct

Collagen Fibers

Fibroblast Nuclei

Basement Membrane

Ducts of Sweat Gland

Stratified Cuboidal Epithelium

Nuclei

Sebaceous Gland

Arrector Pili Muscle

Eccrine Sweat Gland

Hair Follicles

Follicle Wall

Arrector Pili Muscle

Eccrine Sweat Gland

Sebaceous Gland

Hair Shaft

Hair Root

Papilla

Matrix

Papilla
