1/537
Looks like no tags are added yet.
Name | Mastery | Learn | Test | Matching | Spaced |
|---|
No study sessions yet.
T/F: Nifidepine causes gingival hyperplasia.
True - calcium channel blocker
Large space between 11 and 12. What do you do?
a. Mini implant
b. Do a bridge
c. Leave it alone
Leave it alone
Papilloma on a tongue

How do you treat this? (Mucocele)
Excise with salivary gland remnants
Mucocele- noncancerous cyst-like space in mouth that contains mucus (causes lip biting or trauma to face or mouth)

What is the problem with resin bonded bridges?
Debonding
Hepatitis A/ Jaundice is fine to treat after
1 week
Allergic reaction to barbiturate on the lip. What do you give?
Antihistamines (Benadryl)
Picture of patient that didn't like the look of their canine and premolar, and asked what it was?
Hypoplasia - results in thin enamel, making teeth more vulnerable to decay

Facial erosion on teeth due to
Aacidic bevarages
Amelogenesis imperfecta Xray
(Look up other examples too) Amelogenesis imperfect is a disorder of tooth development - causes teeth to be unusually small, discolored, pitted or grooved, and prone to rapid wear and breakage

[Picture of blue sclera] What other dental findings should you see?
Dentinogenesis imperfecta - dentin dysplasia that causes teeth to be discolored and translucent giving teeth an opalescent sheen

Hyperthyroid symptoms are all except:
1. Exopthalmos
2. Tachycardia
3. Tremors of extremities
4. Fatigue
4. Fatigue
Exophthalmos = bulging of the eye anteriorly out of the orbit
Minimum axial reduction for a crown is
1.5mm
Replacing #9 crown. Which measurement is correct? (weird question with weird wording)
2mm
What is the maximum amount of unsupported porcelain allowed?
2mm
T/F: Cyclosporine causes gingival hyperplasia
True - immunosuppressive
Most important treatment for ANUG is
Debridement
What is the treatment for gingival hyperplasia?
Gingivectomy
Patient presents with a liver clot. What is the treatment?
Irrigate, apply pressure, reassess
liver clot aka "currant jelly clot" is a rare periodontal postsurgical complication - incomplete fibrin clotting and manifests as a slowly developing, red-brown clot.
Would you rather overcontour or under contour the temporary crown to preserve gingival health
Undercontour
Picture of a patient with all crowns on upper and lower. What is wrong?
Impingement on gums/gum health
(Other choices were incorrect overjet/overbite, improper contour of crown)
Patient has pain on swallowing when wearing their denture, why?
Overextension of lingual flange
Patient presents with space in between 3rd molar with class 2 mobility and premolar. What do you do to fix this?
Implant
Patient missing #2 and #3. #1 has class 3 mobility and furcation involvement. What would be the optimal treatment plan?
Extract #1 and either implant for #3 or #2 and #3.
If you cannot pick a color for a crown what do you chose?
Something with lower shade saturation and less gray
Worst place for implant is
Maxillary posterior
Best place for implant is
Either mandibular posterior or anterior
Best long term prognosis for an implant?
Either mandibular posterior or anterior
Worst cement for deep restoration?
Zinc phosphate
BW xray of a tooth with an amalgam and patient complained of pain when provoked by hot or cold. Why?
Deep amalgam filling
Leave perio pack in for how long?
1 week - surgical dressing applied over an area involved in periodontal surgery to enhance healing and tissue recovery.
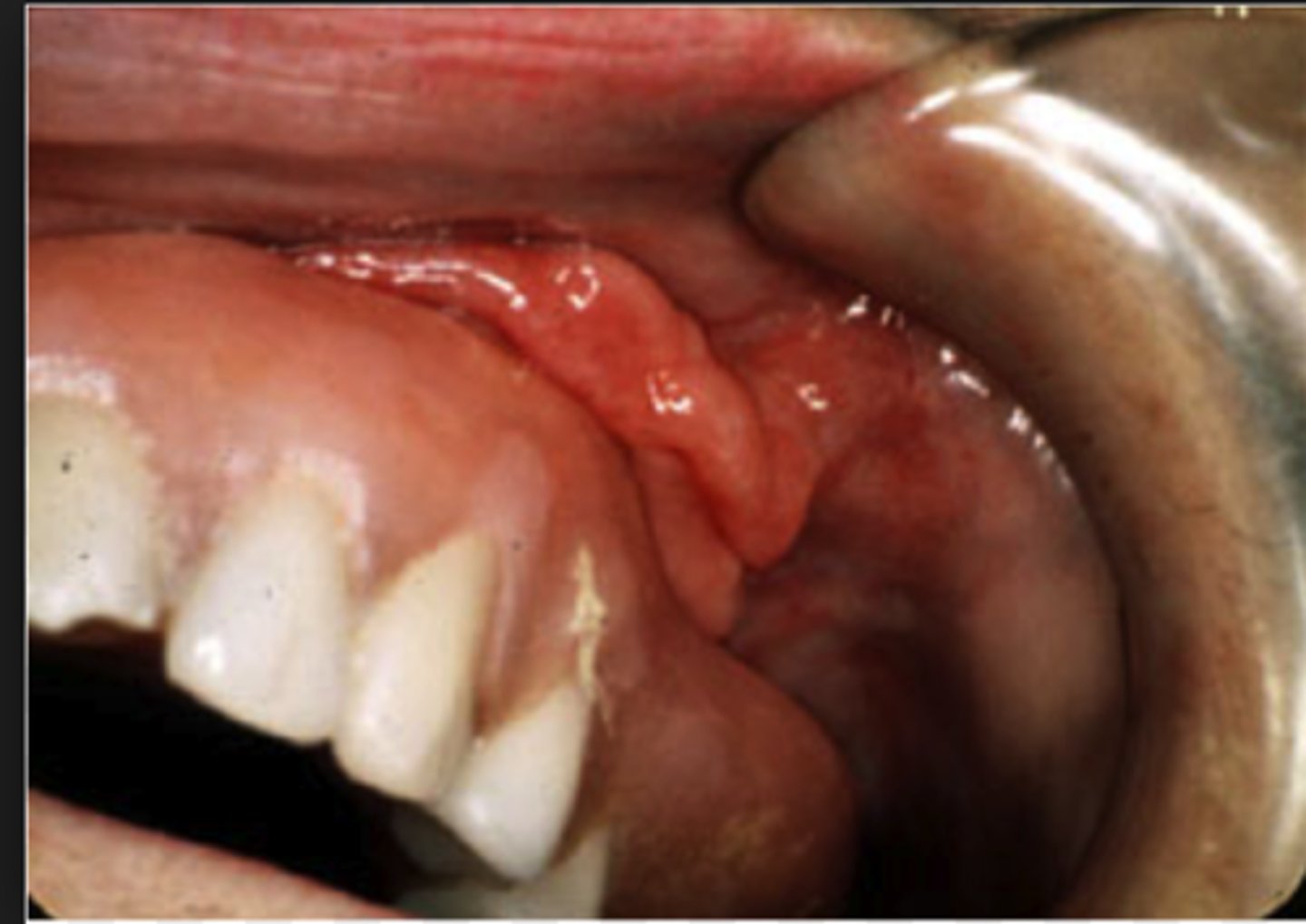
Picture of an epulis fissuratum. How do you treat this before making a new denture?
Excision.
[Other answer choices: Apply tissue conditioner, leave lesion alone, prescribe antibiotics] - Epulis fissuratum - benign hyperplasia of fibrous CT that develops as a reactive lesion to chronic mechanical irritation produced by flange of poorly fitting denture
![<p>Excision.</p><p>[Other answer choices: Apply tissue conditioner, leave lesion alone, prescribe antibiotics] - Epulis fissuratum - benign hyperplasia of fibrous CT that develops as a reactive lesion to chronic mechanical irritation produced by flange of poorly fitting denture</p>](https://knowt-user-attachments.s3.amazonaws.com/e6d0ee0f-5fe8-4f46-b20e-671a3cf1de70.jpg)
Reason for perio flap?
Access for instrumentation
Maxillary tori in denture patient. What do you do before making a new denture?
Remove it
What does a major connector of a denture need?
Rigidity
According to OSHA you need to check the autoclave with what frequency?
Weekly
HIV ELISA test was negative for a person who had a needle stick. What does that mean?
Patient has no Ab's present
Ortho case- what was the most important thing they did in maxillary arch?
Align the teeth for future restorative procedures
(Not close upper and lower diastema)
What pain reliever do you give to a patient who has kidney disease?
Acetaminophen because of the absence of the platelet impairment, gastrointestinal toxicity, and nephrotoxicity associated with nonsterioldal antiinflammatory drugs
Picture of surveyor. Asked what we were looking at?
Space for guideplane
What is a major complication of Phlebitis?
Pulmonary Embolism
Phlebitis - means inflammation of a vein
Patient complaining of space in between teeth after SRP. Why?
Reduction in edema
1-2 mm of reduction in probing depth after performing SRP. What is the cause?
Formation of long junctional epithelium ( the tissue responsible for attachment of the gingiva to teeth) rather than the regeneration of a new CT periodontal attachment
If a patient has a shunt on the left arm where do you take BP?
Right arm
Picture of #10 and #11 lingual surface, what is wrong with the gingiva?
Edema
Space in between #29 and #30 in a very old patient with no #31 and #32 and barely occluding with #3. Why is this happening?
No occlusion or mesial drifting premolars
Surgical stent fits the gums but immediate denture doesn't fit. What do you do?
Relieve until it seats
Picture of the bottom of the tongue with multiple white lesions. Stated that the patient had complaint of sore gums and tongue, fever of 101 degrees. What is most likely diagnosis?
Primary herpetic stomatitis - caused by initial infection with the herpes simplex virus Type 1
Treatment of Primary herpetic stomatitis
Palliative
Patient with purple lesions on palate and said they had similar lesions on body too. What is most probable cause?
HIV (Kaposi Sarcoma)
Other answer choices: Sturge weber, erythema multiforme
What disease will effect wearing complete dentures the most?
Sjogren's Disease (xerostomia)
Lesion in the mouth that heals with a scar?
Major aphthous ulcer
Picture with an arrow pointing to a soft tissue mass on FOM. This is the opening of
Wharton's Duct (Submandibular Duct)
Lichen planus is present on the tongue that was asymptomatic, asked what is the treatment?
Corticosteroids (Would have picked "Nothing" but "Nothing" was not an option)
Picture of white things on buccal mucosa, and asked what it was.
Lichen planus (but it also looked like leukoedema, cheek biting, etc. and all were answer choices)
Panoramic xray with radiopacity underneath the mandibular incisors, asked what was it?
???? Supernumerary tooth (maybe odontoma)
Gingival edema is caused by
Anaerobes
Post crown cementation sensitivity is due to
Microleakage
Before you line a complete denture you must first establish:
Posterior occlusion
Picture of patient's maxilla with a FPD and RPD attached to it. Asked how they are attached?
Semiprecision attachment?
Precision attachments are not good with patient with
Low dexterity
Patient on steroids. What do you need to know before dental treatment?
Duration and dosage
What is the most important thing for calculating medication dosage for child?
Patient's weight
Patient just had a stroke. What do you need to worry about?
If they are on anticoagulants
Contraindication for apically positioned flap is
Esthetics
Purpose of a wedge during a restoration is
Adaptation of he matrix band
CI for a patient with hyperthyroidism is
Vasoconstrictions (Epinephrine)
No hair and missing teeth?
Ectodermal dysplasia - disorders in which two or more of the ectodermally derived structures (skin, sweat glands, hair, nails, teeth and mucous membranes) develop abnormally
What is anemia
Decrease in RBC
Hemolytic, B12, and folate deficiency-- 2 questions
What is pernicious anemia
Decrease in RBC when body can't absorb enough vitamin B12
ID a mental ridge on radiograph

Hereditary telangiectasia is associated with what?
Iron deficiency anemia - one of the underlying causes of iron deficiency is chronic blood loss from telangiectasia leading to iron store depletion
Hereditary hemorrhagic telangiectasia (HHT or Osler-Weber-Rendu syndrome) is an inherited disorder characterized by malformations of various blood vessels (vascular dysplasia)< potentially resulting in bleeding and shunting of blood
Gave normal ranges of patient's numbers for RBC, WBC, and platelets. What is wrong with this person?
> high WBC count
Leukemia
(Pt also had sore lymph nodes, painful gums)
What antibiotic can cause arm rash?
Penicillin
Patient was on penicillin for 2 weeks. His tongue is sore. What do you do?
Fungal test (test for candida)
Picture of a red painful tongue in an uncontrolled diabetic. What is it due to
Malnutrition
If there is a red and white mixed lesion, what do you biopsy?
The red and white portions of the mixed lesion
Multiple questions about eruption and looking at BW to see if its normal
STUDY ERUPTION TIMES!
Most likely reason that sealants fail
Contamination
There is an unconscious patient in your waiting room. What is the first thing you do?
Check breathing (airway??)
How long do you wait for a lab reline of immediate complete denture?
6 months
Radiopacity on a pan. What is it?
Mucous retention cyst in the maxillary sinus

Difference in anaphylaxis vs. Syncope
Anaphylaxis has wheezing and bronchoconstriction
Patient returns with pain 72 hours after extraction. What do you do?
Give irrigation and use eugenol soaked gauze
Extraction of tooth and patient comes back with a big infection. What is it?
Subperiosteal abscess
Picture of a patient with Down Syndrome. What do you need to be worried about as a dentist?
Congenital heart disease
When can you use tissue conditioner and soft reline on a complete denture patient?
Anytime
dentinogenesis imperfecta

What is the reason for a try in for an immediate denture?
VDO
Picture of a patient with a very large diastema. What do you do?
Leave it alone
Radiolucency next to a premolar. What do you do?
Refer to oral surgery
Panoramic of Radiolucency at ramus. What do you do?
Retake for diagnostic reasons or refer to oral surgery?
Broken coronal portion of a canine. What do you do?
Conservative endo and prepare post and core.
Does acid etching create a chemical bond?
NO
Study Multiple odontoma!!!
:)
After a cleaning patient still has bleeding on probing. What is this due to?
Retained subgingival plaque
Swollen lesion on the tongue. What do you do next?
Palpate lesion and see if it is firm.
Picture of a lip with something on the corner of it. What is it?
It was either SCC or syphilis.
Other choices: Angular chelitis, herpes labialis
Bone loss on #4, what is it?
Crater defect
GTR best for what kind of furcations?
Class 2 furcation