1/40
Looks like no tags are added yet.
Name | Mastery | Learn | Test | Matching | Spaced | Call with Kai |
|---|
No analytics yet
Send a link to your students to track their progress

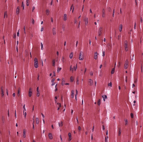
What tissue is this?
cardiac muscle

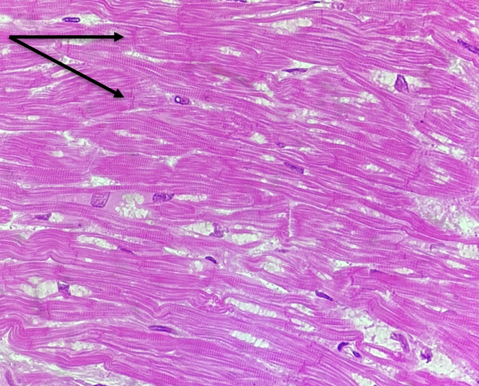
What are these arrows pointing to?
intercalated disc

What is this pointer pointing to?
Intercalated discs

Identify the chambers
1) right atrium
2) left atrium
3) right ventricle
4) left ventricle

identify the chambers
1) left atrium
2) right atrium
3) left ventricle
4) right ventricle

Identify the following structures
2
1 and 3
7
4
6
5

identify the blood vessels at the tip of the pointer
1) aorta
2) superior vena cava
3) pulmonary veins
4) pulmonary trunk
5) branches of coronary circulation

identify the blood vessels at the tip of the pointer
1) aorta
2) superior vena cava
3) pulmonary artery (left)
4) pulmonary artery (right)
5) pulmonary veins (left)
6) pulmonary veins (right)
7) coronary sinus
8) inferior vena cava

label them
1) brachiocephalic trunk
2) left common carotid artery
3) left subclavian artery
4) arch of aorta
5) aorta
6) pulmonary trunk
7) great cardiac vein
8) anterior interventricular artery

Identify the blood vessels
1) superior vena cava
2) aorta
3) pulmonary trunk
4) left pulmonary vein

Identify the valves
1) pulmonary valve
2) tricuspid valve
3) bicuspid valve

identify
1) ascending aorta
2) superior vena cava
3) pulmonary trunk
4) auricle
5) left atrium
6) circumflex artery
7) left ventricle
8) anterior interventricular artery

identify
heart
apex of heart
diaphragm

identify
1) right coronary artery
2) left coronary artery
3) great cardiac vein
4) anterior interventricular artery
Where should I listen to hear the aortic valve and pulmonary valve?
2nd intercostal space
Where should I listen to hear the tricuspid valve and bicuspid valve?
5th intercostal space

Name the pulse points
superficial temporal artery
facial artery
common carotid artery
brachial artery
radial artery
femoral artery
popliteal artery
posterior tibial artery
dorsalis pedis artery
What is systolic pressure?
Maximum pressure in the arteries during ventricular contraction
What is diastolic pressure?
Minimum pressure in the arteries during ventricular relaxation
If a person has a blood pressure 130/95 mm of Hg
What will be the pulse pressure
what will be the MAP
PP= 130-95= 35 mmHg
MAP= 95+(1/3)(35)= 95+11.7= 107 mmHg
What do you use to measure blood pressure?
sphygmomanometer

Name the cardiac conduction system
1) sinoatrial node (sa node)
2) atrioventricular node (av node)
3) AV bundle or bundle of his
4) bundle branches
5) purkinje fiber

What kind of rhythm is this?
normal sinus rhythm

What kind of rhythm is this?
junctional rhythm

What kind of rhythm is this?
Second-degree heart block

What kind of rhythm is this?
ventricular fibrillation

identify
1) right auricle
2) left common carotid artery
3a) pulmonary vein
3b) oxygenated blood

identify
4) myocardium
5) tricuspid valve

what component is due to ventricular repolarization?
D

Identify the organ
Identify the specific structure at the tip of the pointer
1) cardiac muscle
2) intercalated disc

Identify
8) ligamentum arteriosum
9) pulmonary trunk
10) pericardium

identify
A) pulmonary valve
B) aortic valve

identify
1) pulmonary system or left atrium
2) left pulmonary vein

Give another name for the left atrioventricular valve
Give another name for the right atrioventricular valve
Give another name for the mitral valve
Name the two valves that have chordae tendineae attached to their flaps
Which valve prevents the backflow of blood
- into the right ventricle
- into the left ventricle
1) mitral (bicuspid) valve
2) tricuspid valve
3) bicuspid valve
4) tricuspid and bicuspid valve
5) tricuspid valve, bicuspid valve
Pulse points at the back of the knee is called
popliteal artery
Pulse point near the wrist which is most commonly used for measuring pulse rate is
radial artery
Name the instrument used to measure blood pressure
sphygmomanometer
Name the instrument used to measure heart sound
stethoscope
What is sound of korotkoff
tapping sounds heard through a stethoscope
What is pulse rate? Which artery is most commonly used to measure pulse rate?
Number of heartbeats per minute felt through an artery
radial artery
What artery is palpated for measuring blood pressure?
brachial artery