1/45
Looks like no tags are added yet.
Name | Mastery | Learn | Test | Matching | Spaced | Call with Kai |
|---|
No analytics yet
Send a link to your students to track their progress
Complete fracture
a break that extends through the entire thickness of the bone

Incomplete fracture
bone is not broken all the way through

Oblique fracture
fracture at an angle to the bone

Transverse fracture
complete fracture that is straight across the bone at right angles to the long axis of the bone

Spiral fracture
a fracture in which the bone has been twisted apart

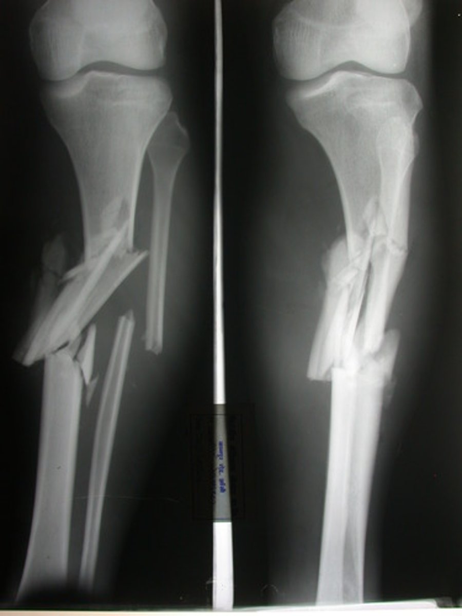
Comminuted fracture
fracture in which the bone is splintered or crushed

Compression (aka stress, hairline, fissure) fracture

Greenstick fracture
bending and incomplete break of a bone; most often seen in children

Hematoma
a solid swelling of clotted blood within the tissues.

Fibrocartilage (Soft) Callus
Rubber-like cartilage bridge that stabilizes the break.
Bony Callus
Soft callus hardens into spongy bone.

Remodeling
The process by which bone is constantly renewed by the resorption and formation of the bone structure.

Osteoporosis
a condition in which the bones become fragile and break easily

Rheumatoid arthritis
a chronic autoimmune disorder in which the joints and some organs of other body systems are attacked

Gout
a type of arthritis characterized by deposits of uric acid crystals in the joints

Joint/Articulation
The place where two bones come into contact.

Metabolic Bone Disease
Any disorder affecting bone strength (ex: osteoporosis, rickets).
Rickets
Vitamin D deficiency → soft, weak bones in children.

Paget's Disease
Bone breaks down & rebuilds abnormally → enlarged, weak bones.
Fibrous
Bones joined by fibrous tissue, no movement (skull sutures).

Cartilaginous
Bones joined by cartilage, slight movement (vertebrae).

Synovial
Bones separated by joint cavity, lots of movement (knee, shoulder).

Synarthrotic
No movement (skull).

Amphiarthrotic
Slight movement (vertebrae).

Diarthrotic / Synovial
Freely movable (knee, elbow, shoulder).

Synovial Joint Types: Ball and Socket
All directions (shoulder, hip).

Synovial Joint Types: Hinge
Back and forth (knee, elbow).

CONNECTIVE TISSUE: Ligament
Bone to bone

CONNECTIVE TISSUE: Tendon
Muscle to bone.

JOINT STRUCTURES: Synovial Membrane
The lining of the joint capsule that produces synovial fluid.

JOINT STRUCTURES: Synovial Fluid
Lubricates joint, reduces friction.

MUSCLE ATTACHMENTS: Origin
Fixed end of muscle.
MUSCLE ATTACHMENTS: Insertion
Moving end of muscle.
Flexion
Bending (decrease angle).

Extension
Straightening (increase angle).

Abduction
Move away from midline.

Adduction
Move toward midline.

Rotation
Turn around an axis.
Dorsiflexion
Foot up (toes to shin).

Plantar Flexion
Foot down (tiptoes).

Circumduction
Circular movement (arm circles).

Pronation
Palm down.

Supination
Palm up.

Phagocyte
Cell that eats bacteria/debris (cleanup crew).
ACL
anterior cruciate ligament of the knee

PCL
posterior cruciate ligament
