Hematology hemoglobin and RBC indices

0.0(0)
studied byStudied by 0 people
full-widthCall with Kai
GameKnowt Play
learnLearn
examPractice Test
spaced repetitionSpaced Repetition
heart puzzleMatch
flashcardsFlashcards
Card Sorting

1/43

encourage image

There's no tags or description

Looks like no tags are added yet.

Study Analytics
Name
Mastery
Learn
Test
Matching
Spaced

No study sessions yet.

44 Terms

1
New cards

Hemoglobin

4 globular subunits (each with heme group) - one group = 1 o2

<p>4 globular subunits (each with heme group) - one group = 1 o2</p>
2
New cards

Hb dimers

2 unlike chains (one alpha, one non-alpha)

<p>2 unlike chains (one alpha, one non-alpha)</p>
3
New cards

Fetal Hb

a2y2 (2 alpha 2 gamma) → 90-95% blood before birth

<p>a2y2 (2 alpha 2 gamma) → 90-95% blood before birth</p>
4
New cards

Adult (HBA)

a2b2 (95% blood)

<p>a2b2 (95% blood)</p>
5
New cards

Heme

iron must be in the Fe2+ state Ferrous iron has 6e- pairs/bind sites (4 bind to nitrogen, 1 to histidine, 1 to oxygen) → synthesized in mitochondria

<p>iron must be in the Fe2+ state Ferrous iron has 6e- pairs/bind sites (4 bind to nitrogen, 1 to histidine, 1 to oxygen) → synthesized in mitochondria</p>
6
New cards

Deoxyhemoglobin

T state with low o2 affinity, stabilized by intersubunit salt bridges, stable at higher temperatures

<p>T state with low o2 affinity, stabilized by intersubunit salt bridges, stable at higher temperatures</p>
7
New cards

Oxyhemoglobin

R relaxed state, high o2 affinity, salt bridges gone, lower temps

<p>R relaxed state, high o2 affinity, salt bridges gone, lower temps</p>
8
New cards

Allosteric effects

o2 affinity decreases in response to allosteric effects (ph, co2, 2,3 BPG) → allosteric effectors form salt bridges for T state

<p>o2 affinity decreases in response to allosteric effects (ph, co2, 2,3 BPG) → allosteric effectors form salt bridges for T state</p>
9
New cards

Cooperative o2 binding

o2 binding leads to higher affinity of other o2 binding → break salt bridge →hb goes T to R state → 2,3 BPG expelled

10
New cards

CO2 transport

most co2 as carbonic acid (in rbc) → some binds to n-terminal of hb (carbaminohemoglobin), some in plasma

<p>most co2 as carbonic acid (in rbc) → some binds to n-terminal of hb (carbaminohemoglobin), some in plasma</p>
11
New cards

Hemosiderinuria

presence of iron-containing pigment (hemosiderin) in urine (chronic hemolysis)

<p>presence of iron-containing pigment (hemosiderin) in urine (chronic hemolysis)</p>
12
New cards

Hemoglobinuria

Presence of free hemoglobin in the urine

<p>Presence of free hemoglobin in the urine</p>
13
New cards

Methemoglobin

Hb iron in ferric state cannot combine with o2 → CHOCOLATE BLOOD

<p>Hb iron in ferric state cannot combine with o2 → CHOCOLATE BLOOD</p>
14
New cards

Sulfhemoglobin

Sulfur combines with hb (GREEN BLOOD)

<p>Sulfur combines with hb (GREEN BLOOD)</p>
15
New cards

Carboxyhemoglobin

CO carbon monozide ocmbines with Hb (CHERRY RED blood)

<p>CO carbon monozide ocmbines with Hb (CHERRY RED blood)</p>
16
New cards

RBC count

amount of RBC/unit volume of blood (RI$ 4.4-5)

<p>amount of RBC/unit volume of blood (RI$ 4.4-5)</p>
17
New cards

Hematocrit

RI= 36-53%

<p>RI= 36-53%</p>
18
New cards

Hb

RI = 12-17.4

<p>RI = 12-17.4</p>
19
New cards

RBC indices

classify RBC by size and Hb content (RBC, Hct, Hb)

<p>classify RBC by size and Hb content (RBC, Hct, Hb)</p>
20
New cards

Mean cell volume

MCV average volume of individual rbc (RI = 80-100 fL) [hct%/#RBCs * 10] HIGH MCV = larger cells (macrocytic)

<p>MCV average volume of individual rbc (RI = 80-100 fL) [hct%/#RBCs * 10] HIGH MCV = larger cells (macrocytic)</p>
21
New cards

Macrocytic

high MCV

<p>high MCV</p>
22
New cards

Microcytic

low MCV

<p>low MCV</p>
23
New cards

Normocytic

normal MCV (same size as lymphocyte)

<p>normal MCV (same size as lymphocyte)</p>
24
New cards

Mean corpuscular Hb (MCH)

weight if hb in RBC (RI = 28-34) NOT ACCOUNT FOR SIZE OF CELL + linear relationship with MCV (small cells = low hb) [ hb/rbc * 10]

<p>weight if hb in RBC (RI = 28-34) NOT ACCOUNT FOR SIZE OF CELL + linear relationship with MCV (small cells = low hb) [ hb/rbc * 10]</p>
25
New cards

Mean cell HB Concentration MCHC

accounts for cell size (RI = 32-36 g/dL) [hb/hct *100]

<p>accounts for cell size (RI = 32-36 g/dL) [hb/hct *100]</p>
26
New cards

Normochromic

central pallor about ⅓ cell

<p>central pallor about ⅓ cell</p>
27
New cards

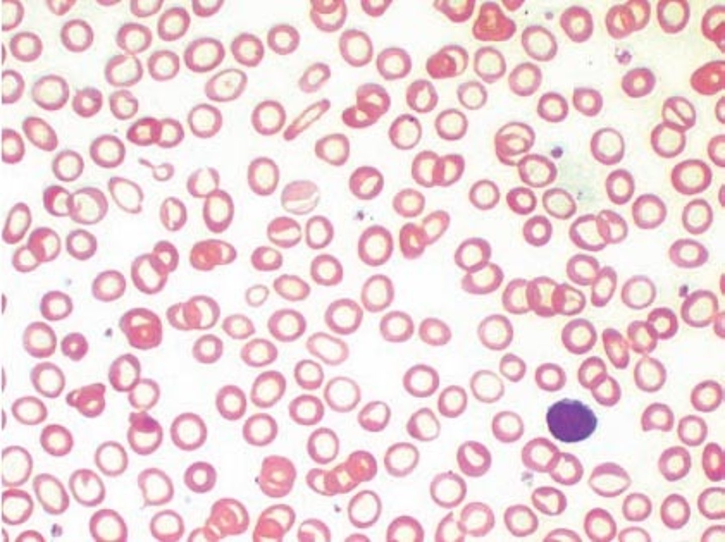
Hypochromic

central pallor more than ⅓ (LOW hb)

<p>central pallor more than ⅓ (LOW hb)</p>
28
New cards

Hyperchromic

central pallor less than ⅓ (high Hb proportionally) IN SPHEROCYTES

<p>central pallor less than ⅓ (high Hb proportionally) IN SPHEROCYTES</p>
29
New cards

Red Cell Distribution width RDW

MCV average of rbs volume (RI = 11.5-14.5%) GREATER = anisocytosis [1SD/MCV * 100]

<p>MCV average of rbs volume (RI = 11.5-14.5%) GREATER = anisocytosis [1SD/MCV * 100]</p>
30
New cards

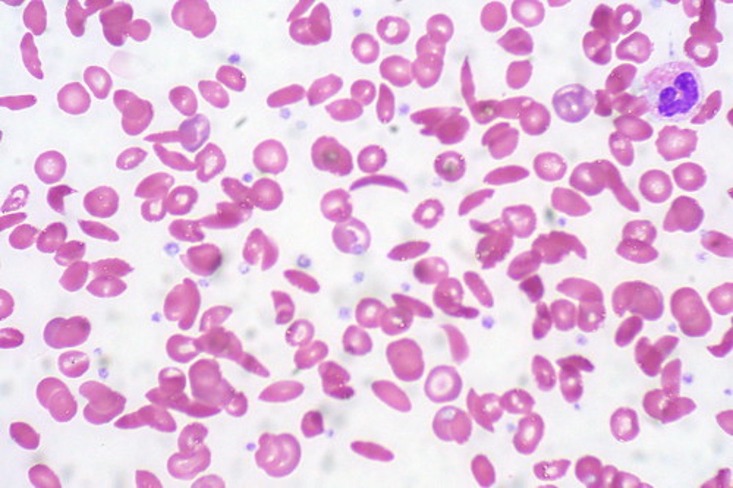
Anisocytosis

lots of variation in cells (RDW>14.5%) → skew MCV values

<p>lots of variation in cells (RDW&gt;14.5%) → skew MCV values</p>
31
New cards

Reticulocyte count

indicate bone marrow activity and RBC production (esp in anemia)

<p>indicate bone marrow activity and RBC production (esp in anemia)</p>
32
New cards

Relative Reticulocyte count RRC

RI = 0.5 - 2.0% [#reticulocytes/#RBCs * 100]

<p>RI = 0.5 - 2.0% [#reticulocytes/#RBCs * 100]</p>
33
New cards

Absolute reticulocyte count

BETTER INDICATOR RI = 25 - 75 mcL [RBC count * RRC(%)/100] higher in anemic patients

<p>BETTER INDICATOR RI = 25 - 75 mcL [RBC count * RRC(%)/100] higher in anemic patients</p>
34
New cards

Anemic results

high BM activity and higher # RBCS

<p>high BM activity and higher # RBCS</p>
35
New cards

Low reticulocyte counts

BM failure, low iron, liver disease

<p>BM failure, low iron, liver disease</p>
36
New cards

High reticulocytes count

hemolysis, hemorrhage. Leukemia, sickle cell anemia

<p>hemolysis, hemorrhage. Leukemia, sickle cell anemia</p>
37
New cards

Platelet count PLT

RI 150 - 400 mcL

<p>RI 150 - 400 mcL</p>
38
New cards

WBC count and differential

RI= 4.5 -11 mcL (total WBC high = leukocytosis, low = leukemia)

<p>RI= 4.5 -11 mcL (total WBC high = leukocytosis, low = leukemia)</p>
39
New cards

Serum Iron

RI = 50 -180 mcg/dL

<p>RI = 50 -180 mcg/dL</p>
40
New cards

Total iron binding capacity TIBC

RI = 250 - 450 microgram of iron/deciL

<p>RI = 250 - 450 microgram of iron/deciL</p>
41
New cards

Transferrin saturation

Indicates available iron for erythropoiesis RI = 16-50%

<p>Indicates available iron for erythropoiesis RI = 16-50%</p>
42
New cards

ZPP

absence of iron → zinc is incorporated into the protoporphyrin ring, forming ZPP (RI = 1 - 45 mcg/dL)

<p>absence of iron → zinc is incorporated into the protoporphyrin ring, forming ZPP (RI = 1 - 45 mcg/dL)</p>
43
New cards

Folate

RI = 4-20 mg/L (needed with vitamin b1 to make thymine → dna → THF active form)

<p>RI = 4-20 mg/L (needed with vitamin b1 to make thymine → dna → THF active form)</p>
44
New cards

Cobalamin

RI = 150 - 400 pg/mL (Cofactor required for DNA synthesis)

<p>RI = 150 - 400 pg/mL (Cofactor required for DNA synthesis)</p>